48-летняя Милена Каннинг (Milena Canning) не была слепой от рождения, пишет ScienceAlert. Она лишилась зрения 18 лет назад — после сильной респираторной инфекции, нескольких инсультов и восьмимесячной комы. Через шесть месяцев после выхода из комы женщина впервые сообщила, что как будто бы может что-то увидеть (это была яркая подарочная сумка; женщина сказала друзьям, что, как ей кажется, видит что-то зеленое).
Затем она посетила офтальмолога Гордона Даттона (Gordon Dutton) из Глазго, Шотландия. Каннинг отметила, что у нее нет эффективного зрения — однако она смогла воспроизвести движения руки врача, а также назвать цвета крупных движущихся объектов. «Она может увидеть капли дождя, стекающие по стеклу, однако не видит что-либо за ними», — сообщал Даттон в работе 2003 года. Врач отмечал, что, например, когда перед ней шла дочь, Каннинг видела движущуюся из стороны в сторону косичку дочери, но саму девочку увидеть не могла.
Даттон порекомендовал женщине использовать кресло-качалку для улучшения зрения, и Каннинг также стала двигать головой, чтобы разглядеть, что находится перед ней. Однако состояние женщины оставалось загадкой — тогда врач решил обратиться к специалистам Института и
Нейропсихолог Джоди Калхэм (Jody Culham) и другие исследователи провели женщине ряд тестов и, кроме того, просканировали
Western University
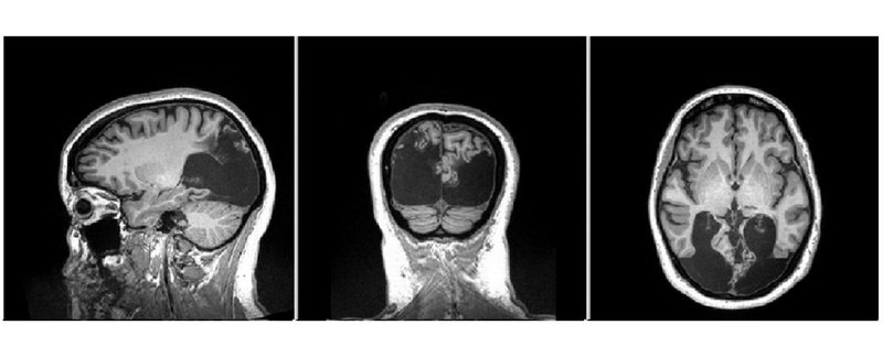
Синдром, как считают ученые, вызывается поражениями в затылочной доле — области
По словам Калхэм, у Каннинг в задней области
Ученые обнаружили, что Каннинг была способна замечать катящийся к ней шар и точно ловить его, а также ориентироваться между стульев. При этом специалисты установили, что ее способность к идентификации цветов была непостоянной и она могла верно определить, куда обращен большой палец находящейся перед ней руки — вверх или вниз, лишь в половине случаев.
Случай Каннинг демонстрирует, насколько пластичным может быть
Исследование было опубликовано в журнале Neuropsychologica.
