Исследование, опубликованное в журнале Nature, показало, что искусственный интеллект (ИИ) может повысить точность скрининга на рак молочной железы, которым, как утверждается, страдает каждая восьмая женщина в мире.
Изучая маммограммы, система искусственного интеллекта Google показала себя не хуже, чем опытные врачи и продемонстрировала перспективу уменьшения количества ошибок.
По данным Американского онкологического общества, радиологи пропускают около 20% случаев рака молочной железы, и половина всех женщин, которые прошли скрининг в течение 10 лет, имеют ложноположительный результат.
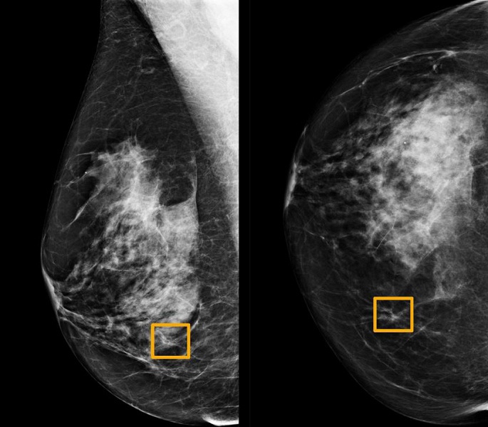
Система разработана компанией DeepMind, в 2014 году приобретенной холдингом Alphabet, совместно с Google Health. Команда, в которую вошли исследователи из Имперского колледжа Лондона и Британской национальной службы здравоохранения, провела обучение системы для выявления рака молочной железы на десятках тысяч маммограмм. Затем они сравнили результаты работы системы с фактическими результатами из набора 25 856 маммограмм из Великобритании и 3097 из США. Исследование показало, что система искусственного интеллекта может идентифицировать рак с такой же степенью точности, что и опытные радиологи, при этом уменьшая количество ложноположительных результатов на 5,7% в группе в США и на 1,2% в группе из Великобритании. Сократилось и количество ложных негативов, где тесты ошибочно классифицируются как нормальные — на 9,4% в группе из США и на 2,7% в группе из Великобритании.
Различия отражают способы чтения маммограмм. В Соединенных Штатах тесты проводятся каждые один-два года, а из результаты интерпретирует один радиолог. В Британии тесты проводятся каждые три года, и читаются двумя радиологами. Если они не приходят к консенсусу, то обращаются за консультацией к третьему.
В отдельном тесте группа сопоставила систему искусственного интеллекта с шестью радиологами и обнаружила, что она превосходит их по точности обнаружении рака молочной железы.
Источник отмечает, что идея использования компьютеров для улучшения диагностики рака не нова. Более того, системы автоматизированного обнаружения широко распространены в клиниках маммографии, но они пока не смогли повысить точность диагностики на практике.
Дело в том, что эти системы обучены распознавать то, что и так видят радиологи, в то время как ИИ учится распознавать рак на основе фактических результатов тысяч маммограмм и в результате может выявить тонкие признаки, которые, по словам исследователей, «не замечает человеческий глаз и мозг».
Исследование имеет некоторые ограничения. Большинство тестов проводилось с использованием оборудования для визуализации одного и того же типа, а в группе США было много пациентов с подтвержденным раком молочной железы.

