Вот смотрите, верхняя стрелка показывает на молочный зуб. Ниже стоматолог одной клиники на прицельном рентгене увидел нечто непонятное. Стали разбираться. На КТ увидели довольно обширную полость в костной ткани. Это киста — пузырь жидкости, давящий на окружающие ткани. Проблема в том, что эта киста росла несколько лет, и кость челюсти стала тонкой, как спичка. И сломаться она готова буквально от морковки или удара веткой.
В студенчестве со мной было что-то похожее. С той лишь разницей, что решения, существовавшие на тот момент, предполагали совсем другие подходы. Мне тогда полностью сняли левую ветвь челюсти, а потом делали новую из кусков моих же тазовых костей. Всё это потребовало от меня годового академического отпуска.
И вот клинический случай, где я увидел у коллеги-врача то, что было со мной. С той лишь разницей, что сейчас врачи могут решить эту проблему гораздо менее инвазивным способом, и об этом — ниже. Наверное, это одно из самых приятных переживаний в жизни врача: знать, что у вас есть наука, технология, отработанные навыки и все возможности для того, чтобы взять реванш. Конечно, на момент КТ радоваться было рано, но это всё же было большой удачей.

Как это работает
Итак, то, что вы видите, — это ортопантомограмма. Мимо пациента проехал КЛКТ-сканер (вы наверняка видели такие в клиниках, как, например, наш из клиники на «Динамо»).

Грубо говоря, каждый из серии снимков был 3D, затем софт сшил их в облако точек, и врачи получили воксельную модель челюсти пациента.
Вот красивая визуализация другого пациента, которая показывает, какого качества облако получается. Это маркетинговая картинка, на самом деле врачи никогда не делают сам рендер, а ориентируются по срезам. Тем не менее в этом инструменте можно примерять разные конструкции к пациенту и планировать установку всяких дополнительных деталей в организм, делая всё с точностью до десятой доли миллиметра:

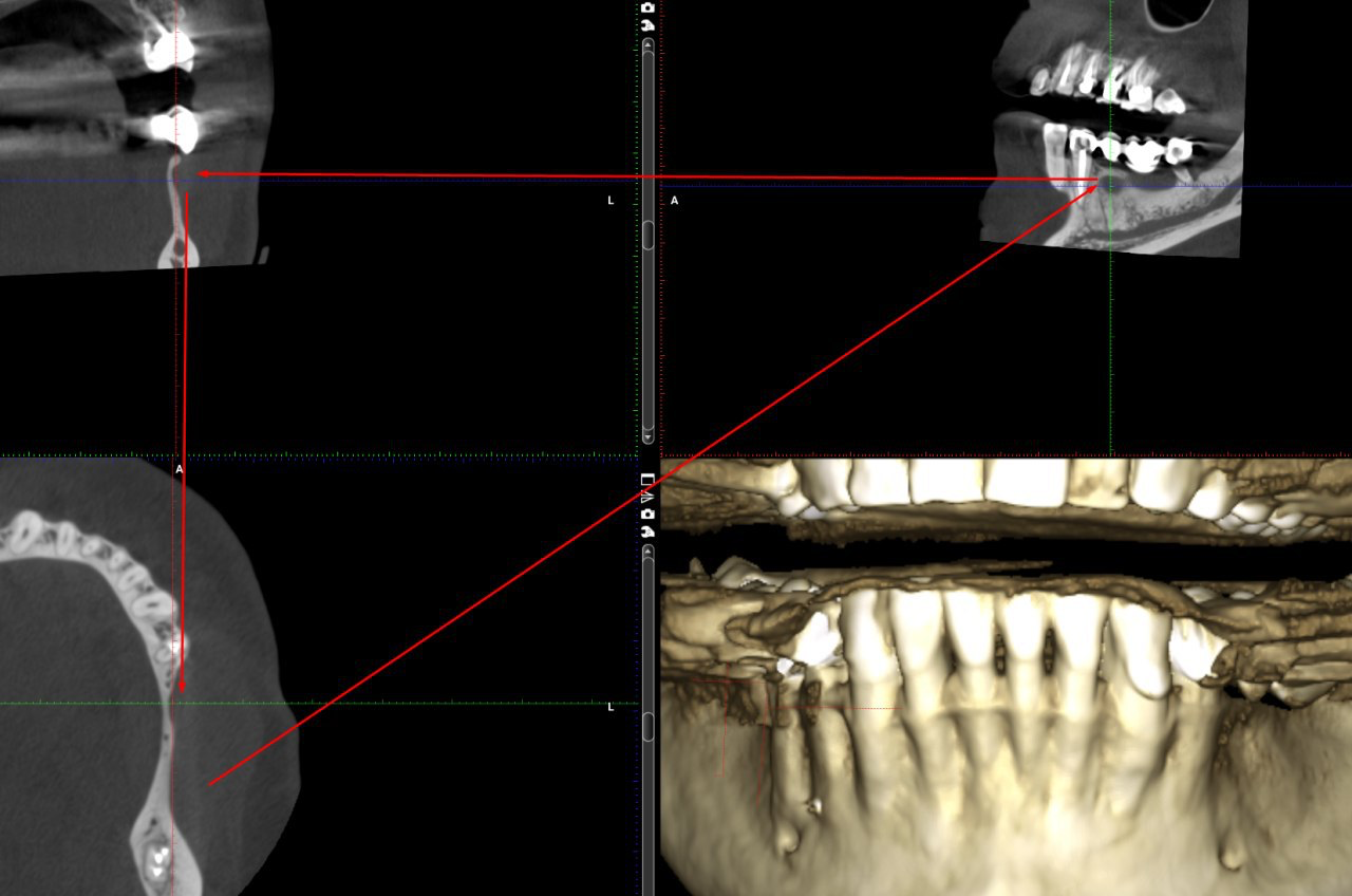
В результате сканирования нижней части головы пациента получается некий цилиндр, в котором есть разные органы, и навигацией в этом цилиндре врачи и занимаются.
Вот так выглядит эта навигация:

Но когда нам нужно добавить фото пациенту на аватарку или когда мы объясняем самому пациенту, что происходит, используется развёртка этого рулона в плоскость. Получается что-то вроде плоской карты мира вместо глобуса. Причём карта мира делается на глубине 13 миллиметров. Обычно как раз там находится всё самое интересное.
Итак, это 13-миллиметровый срез через толщу челюсти. Возможно, вы запоминаете людей в лица. Мы, стоматологи, запоминаем вас вот в такие 13-миллиметровые срезы.
Продолжаем с кистой
Поскольку врачи не могут ставить диагноз по картинке, то тому пациенту сделали тонкую пункцию (проткнули это место иголкой-зондом). И получили жидкость янтарного цвета, который дают кристаллы холестерина — яркий признак кисты. На гистологию отдали тот кусочек, который убрали в самом конце, и отправили клетки на исследование. Патолог подтвердил кисту. Это вообще-то очень хорошо.
Многие недооценивают патологоанатома. Принято думать, что он режет только кадавров или злобно сидит в подвале больницы. На самом деле большая часть работы патолога — срезы тканей: надо взять кусочек пациента и мелко-мелко нарезать, а потом каждый срез вручную рассмотреть через микроскоп. Где-то помогает автоматика, но по большей части это достаточно скучная работа. Одна из немногих радостей патолога — когда в свежем целом пациенте, выписанном из остальной больницы, находится что-то, что резко меняет картину выписного эпикриза. В этот момент бывает, что патологоанатом начинает проявлять оживление и неиллюзорную радость.
Этот случай был для него скучным. Обычная киста. Врач начал лечение.
Киста — это пузырёк газа, выстланный эпителием, он продуцирует жидкость, которая его наполняет. Постепенно жидкости становится больше, и в конечном итоге она раздвигает всё вокруг по мере увеличения. Кость — тоже, да.
Первым делом просверлили дырочку побольше уже сверлом (естественно, не в самом тонком месте) и дали возможность жидкости кисты свободно выходить. У пациента появилось непредусмотренное анатомией сквозное отверстие в формально внутреннюю полость организма. Пациент несколько месяцев брызгал туда антисептик.
Киста выстлана мягким эпителием. По мере оттока жидкости кость начала регенерировать в нужную сторону (грубо говоря, организм на уровне генетического кодирования примерно «представляет», какой формы он должен быть), и в итоге киста уменьшилась примерно до сантиметрового шарика эпителия посреди кости. Дальше врач вошёл туда через созданный им порт, иссёк эпителий и выскоблил всё то, что не было костью. Делается это вообще под местной анестезией (проводникового типа, прерывающей целый нерв, вот тут детали про виды местной анестезии). После цистотомии осталась только дырка в кости, которая постепенно заросла.
Счастливый финал, как я и обещал.
Вот было-стало:

Как видите, в итоге пациент в порядке. Прекрасная медицинская находка, которая спасла ребёнка от серьёзной проблемы.
Почему стоматологи не любят мосты
Вот другой пример коллег — это мостовидный протез с очень плохим состоянием тканей под ним:

Как видите, челюсть из-за отсутствия трофики тоже очень сильно истончилась. И пациент тоже уязвим к любому, даже довольно слабому удару. Морковку в отличие от прошлого примера ещё выдержит, потому что мост распределяет нагрузку на более широкие участки кости, а вот стоит быть чуточку неаккуратным — и приехали.
Чтобы вас не пугать лишний раз, на всякий пожарный отмечу, что этот случай редкий и характерен для очень малого количества мостов и пациентов. Обычно ткань кости уходит медленно, скорость такая, что опасность наступает далеко после окончания ожидаемого срока жизни пациента. Но здесь всё прошло куда быстрее.
Вот поэтому врачи и не любят мостовидных протезов: костная ткань под ними не работает. Если имплант даёт трофику, потому что на него идут постоянные нажатия, то здесь под мостом трофики нет. То, что вы видите, называется экстремальным истончением костной ткани.
Мост нужно удалять, потом аугментировать кость. Причём само удаление моста — уже захватывающий процесс, чтобы не повредить то, что осталось от кости. Затем аугментация ещё интереснее: обычного графта не хватит. Графт — это выжженная от белка кость бычка, в которую врач добавляет ткани из крови пациента и делает из этого новую кость, в которую прорастает уже имеющаяся, используя все материалы, которые есть на месте для строительства. Здесь же просто графта не хватило. Врачи взяли для аугментации ещё блок из нижней челюсти.
Сейчас пациент в процессе, говорить об успехе рано, но статистически риски очень малы. Само лечение ещё не окончено, про него говорить рано.
Ещё пара картинок
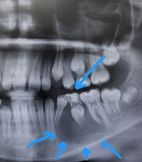
Вот другой пример кисты:


Это ещё киста вокруг зуба. И в данном случае только на томограмме можно увидеть купол.

Лечение зуба без хирургии бесперспективно. Зуб не спасти, если не убрать кисту. Киста растёт в пазуху вокруг зуба, деформируя её. В конце удаляли вместе с верхушками корней.
Здесь пациент хотел имплантацию. Как и всегда, врачи сначала снимают, потом планируют, а не сверлят по наитию: это гарантирует, что врач не воткнётся в нерв, сосуд или ещё куда-то, куда не надо. Без КТ в принципе не стоит делать никакого серьёзного вмешательства. В данной ситуации, если бы операцию делали в клинике классом ниже без КТ, имплантация была бы обречена на провал.
Что нужно знать
Делать полную конусно-лучевую компьютерную томографию перед разными вмешательствами — хорошая практика. Если вам нужен снимок, то просто знайте, что разница по лучевой нагрузке между КЛКТ для составления облака точек и склеиванием панорамы челюстей из нескольких плоских рентген-снимков в нагрузке — буквально несколько десятков процентов в случае применения аппаратов одинакового поколения. И КЛКТ даёт существенно меньшую нагрузку, если вы вдруг сравниваете её со стандартным рентгеном в региональной ОМС-клинике.
Полезно это не только потому, что за незначительное повышение дозы можно сразу узнать обо всех начинающихся патологиях и вовремя что-то сделать, но и потому, что вы таким образом ведёте лог своей челюсти. Это очень важно: возможность вернуться к историческим данным часто нужна многим врачам. В нашей практике мы отправляем результаты сканирования в приложение каждому пациенту через несколько часов после процедуры, и их можно пересылать кому угодно. Вот так это выглядит:

Точнее, мы пересылаем как раз ортопантомограмму, но у себя в архиве ещё храним исходные файлы плотности тканей, то есть даже не облако точек, а «сырые» измерения, которые позволяют всё более и более современному софту строить облака лучше. Эти наборы файлов уже потяжелее, но их мы тоже без проблем выдаём на флешке или высылаем по запросу. Собственно, точно так же мы поступаем со всеми данными с приёма, включая протокол вмешательства и карточку. Всё всегда у пациента.
Ну и вопрос напоследок: хотите, покажу ещё странные и редкие находки с КЛКТ, которые нашли врачи наших клиник и которые вошли в обучение?
Автор: Антон Артеменко
