Предисловие
Я вообще считаю, что Хабр не место для всех возможных тем, и в том числе не медицинский блог. Однако, как по мне, хорошо бы иметь некоторый небольшой набор материалов, подготовленный с достаточным качеством, дабы и читатели ознакомились с наиболее массовыми и актуальными.
Несмотря на то, что на хабре уже хватает текстов медицинской тематики, я удивился, что адекватной статьи, посвященной плоскостопию нет. А задав вопрос гуглу – в основном вываливаются либо статьи содержащие нарушающие понимание проблемы упрощения, либо реклама очередного ортопеда, изготавливающего индивидуальные стельки. Поэтому, данная статья, за счет ее актуальности будет интересна и полезна людям и за пределами сайта. Кому-то эта тема может показаться банальностью, однако, я часто в своей жизни встречаю людей, страдающих от плоскостопия и игнорирующих проблему. Последним таким примером стало целое семейство, убежденное, что усталость в ногах и боль при прохождении дистанции в пару километров – это нормально и просто они недостаточно тренированны. При том что в семье был медицинский работник.
Представьте, что ваша опорно-двигательная система — это небоскреб, а стопы — его фундамент. Если фундамент проседает, трещины постепенно добираются до верхних этажей. Так и с плоскостопием: уплощение сводов стопы нарушает биомеханику всего тела. Колени начинают «заваливаться» внутрь, таз перекашивается, а позвоночник не здорово искривляется, пытаясь компенсировать дисбаланс. Результат? Артроз к 40 годам, хронические головные боли из-за перенапряжения шейных мышц и даже проблемы с дыханием из-за деформации грудной клетки и банальная невозможность пройтись даже на 3-4 километра, не испытав боли в ногах.
1. Базовые анатомия и биомеханика стопы
Эволюция VS Цивилизация
Стопа человека формировалась миллионы лет как универсальный инструмент для ходьбы босиком по песку, камням и траве. Эволюция человека – это эволюция человека босого, и именно в босом виде приспособлена работать наша стопа. Ее своды работали как пружины, а пальцы цепко хватались за неровности. Но с появлением обуви и городской среды всё изменилось. Развитие обуви дало нам каблуки, приподнимающие нашу пятку и распластывающие передний отдел стопы, дало нам жесткую подошву, делающую хождение по твердым поверхностям более приятным и безопасным, дало восхитительную амортизацию, благодаря которой комфортно бегать можно даже по бетону, а технология изготовления обуви и мода подарило узкий носок, собирающий пальцы в кучу.
Исследования антропологов показывают, что у народов, не носящих обувь (например, некоторые племена в Африке), плоскостопие встречается многократно реже (Lieberman D. The Story of the Human Body. 2013). Почему?
Босиком - естественный процесс: Ходьба по неровным поверхностям тренирует мелкие мышцы стопы. Камни, деревья, цветки, галька, лесная подстилка хоть не всегда являются приятными для хождения по ним — обеспечивают именно здоровое применение наших стоп. Не даром кожа на стопах такая толста и быстро грубеет.
Обувь‑»кокон»: Современные кроссовки с толстой подошвой берут на себя роль амортизаторов, лишая стопу нагрузки. Мышцы атрофируются, связки растягиваются.
Интересный факт: В 2017 году компания Vivobarefoot выпустила кроссовки с ультратонкой подошвой, имитирующие ходьбу босиком. Исследование, проведенное в Гарварде, показало, что их ношение увеличивает силу мышц стопы до 60% за 6 месяцев (Harvard Gazette. «Going Barefoot» Study. 2017.)
«Архитектура» стопы
Стопа — это не просто «мешок с костями». Это сложная система из:
-
28 костей (это четверть всех костей тела),
-
33 суставов (да, большая часть из них приходится на пальцы),
-
107 связок,
-
19 мышц (в т.ч. находящиеся за пределами стопы, но прямо влияющие на ее работу)
Описывать подробно анатомию стопы не буду, лишь приложу несколько картинок для лучшей визуализации того, что обывателю врятли может пригодиться, желающие же подробно ознакомиться легко найдут подробнейшие статьи в анатомических атласах.



Мы же рассмотрим стопу, не с морфологической, а с функциональной стороны, минимально вдаваясь в морфологию.
Стопа имеет сводчатое строение:
-
А - подошвенный бугор пяточной кости
-
В - головка пятой плюсневой кости
-
С- головка первой плюсневой кости
Эти три точки опоры, между которыми распределяется основная нагрузка соединены между собой сводами стопы. Поперечный свод между B и C и два продольных между C и A, B и A.
-
А-С — образован пяточной, таранной, ладьевидной, тремя клиновидными, первой, второй и третьей плюсневыми костями, представляет собой дугу, которая проходит через всю стопу, начинается от пяточного бугра и заканчивается в точке опоры головки первой плюсневой кости и образует своеобразную арку — рессору, способную уплощаться и расправляться;
-
А‑В — образован пяточной, кубовидной, четвертой и пятой плюсневыми костями, также имеет форму дуги, которая проходит через всю стопу, начинаясь от пяточного бугра и заканчиваясь в точке опоры головки пятой плюсневой кости.
-
Поперечный свод расположен в плоскости перпендикулярно к дугам продольных сводов над плюсневыми костями и плюснефаланговыми суставами С‑В.
Подошвенный апоневроз (aponeurosis plantaris), играющий ведущую роль в поддержании функции стопы— это плотная соединительнотканная структура, играющая ключевую роль в поддержании сводчатой формы стопы.

Он берет начало от медиального (внутреннего) бугра пяточной кости и веерообразно расходится к дистальным (дальним) отделам плюсневых костей, фиксируясь у оснований проксимальных фаланг пальцев. Вместе со связками и сухожилиями мышц он образует динамическую систему, работающую по принципу «пружины»:
-
В состоянии покоя апоневроз расслаблен, своды (здоровой) стопы сохраняют арочную форму.
-
Под нагрузкой (например, при ходьбе) апоневроз натягивается, предотвращая чрезмерное распластывание стопы, а затем возвращает своды в исходное положение.
Механизм «эффекта лебедки»
Этот феномен, описанный хирургом Хиксом в 1954 году, объясняет, как разгибание пальцев усиливает натяжение подошвенного апоневроза:
-
Фаза отталкивания при ходьбе: Большой палец разгибается в плюснефаланговом суставе.
-
Скольжение апоневроза: Волокна фасции «наматываются» на головки плюсневых костей, как трос на барабан лебедки.
-
Подъем свода: Натяжение апоневроза создает рычаг, приподнимающий продольный свод и преобразующий кинетическую энергию в упругую деформацию.
Клиническое значение: при плоскостопии этот механизм нарушается — апоневроз теряет эластичность, а свод «проседает» даже в фазе отталкивании.
Помимо подошвенного апоневроза, своды стопы удерживаются комплексом связок:
1. Длинная подошвенная связка (ligamentum plantare longum):
Тянется от пяточной кости к кубовидной и основаниям плюсневых костей.
Основной стабилизатор поперечного свода.
2. Пяточно-ладьевидная связка (ligamentum calcaneonaviculare):
Формирует «дно» для таранной кости, предотвращая ее смещение.
3. Подтаранные связки (ligamentum talocalcaneum interosseum:
Контролируют супинацию и пронацию заднего отдела стопы.

Четыре функции стопы
1. Рессорная функция
Стопа смягчает ударные нагрузки при ходьбе, прыжках и беге за счет упругой деформации сводов. Эта система напоминает рессоры автомобиля, только много сложнее, совершеннее, и включающее работу активной части (мышц).
Механизм работы:
-
Фаза нагрузки: Своды уплощаются, поглощая энергию удара.
-
Фаза разгрузки: Эластичные структуры (связки, апоневроз) возвращают стопу в исходную форму, высвобождая энергию для следующего шага.

2. Балансировочная функция
Стопа адаптируется к неровностям поверхности. Здоровый человек будет устойчив и на круглом камне, и на меске, и на гальке, и попадание под стопу какой-нибудь веточки или булыжника может вызывать дискомфорт, однако человек останется устойчив благодаря:
-
Трехплоскостной подвижности суставов (сагиттальной, фронтальной, горизонтальной).
-
Сенсорной обратной связи: 70% механорецепторов стопы сосредоточены в подошвенном апоневрозе и связках, что координирует работу мышц.

Пример: при ходьбе по камням стопа постоянно меняет форму, предотвращая падение. Связки содержат проприорецепторы, которые передают в данные о положении стопы, участвуя в балансировке. При плоскостопии адекватная проприорецепция нарушается, и система обратной связи работает не корректно, балансирование нарушается.
3. Опорная функция
По сути, уже описана – стопа распределяет нагрузку веса всего веса, весите вы 50 или 150 килограмм, весь вес концентрируется на стопе. Три точки опоры:
-
Пятка (60% нагрузки).
-
Головки I и V плюсневых костей (40% нагрузки).
При плоскостопии нагрузка смещается на центральные плюсневые кости, вызывая метатарзалгию (боль в переднем отделе стопы).
4. Толчковая функция
В фазе отталкивания стопа работает как рычаг, преобразуя энергию мышечного сокращения в поступательное движение. Этапы:
-
Накопление энергии: при перекате с пятки на носок подошвенный апоневроз и связки растягиваются.
-
Высвобождение энергии: В момент отрыва пальцев от опоры упругие структуры «выстреливают», увеличивая силу толчка

Голеностопный сустав: шарнир, объединяющий биомеханику
Голеностопный сустав (articulatio talocruralis) — ключевое звено, связывающее стопу с вышележащими отделами. Особенности:
-
Одноосное движение: Сгибание (плантарная флексия) и разгибание (дорсифлексия).
-
Силовое замыкание: под нагрузкой таранная кость «вклинивается» между лодыжками, стабилизируя сустав без мышечных усилий.
-
Эверсия и инверсия: помогают реализовать балансировочную функцию.

Роль в ходьбе:
-
Приземление: Голеностоп гасит удар через дорсифлексию.
-
Отталкивание: Плантарная флексия передает усилие икроножной мышцы в толчок.

Шаговый цикл: как стопа управляет движением
Полный цикл ходьбы (100%) делится на две фазы:
1. Фаза опоры (65% цикла):
-
Период приземления (0–15%): Контакт пятки с опорой → перекат на всю стопу.
-
Средняя опора (15–45%): Максимальное уплощение сводов под весом тела.
-
Отталкивание (45–65%): Разгибание пальцев → активация «эффекта лебедки».
2. Фаза переноса (35% цикла):
-
Стопа отрывается от земли, готовясь к новому шагу.
Динамика нагрузки:
-
Пятка: Пиковое давление при контакте — до 250% массы тела.
-
Плюснефаланговые суставы: Давление при отталкивании — до 180% массы тела.
Патобиомеханика: что происходит при плоскостопии?
-
Нарушение рессорной функции: Ударная волна не гасится, вызывая микротравмы коленных и тазобедренных суставов, распространяется по позвоночнику.
-
Дисбаланс проприорецепции: получает искаженные сигналы о положении стопы → падения, неустойчивость.
-
Перегрузка подошвенного апоневроза: Хроническое воспаление → плантарный фасциит.
К тому же у пациентов с III степенью плоскостопия амплитуда движений в голеностопе снижается на 40%, а энергозатраты при ходьбе возрастают на 25%
2. О самом плоскостопии
«Плоскостопие — изменение формы стопы, характеризующееся опущением её продольного и поперечного сводов.
Предупреждение! Эту главу я пишу довольно нудным, медицинским языком, дабы не растягивать и без того длинную статью. Если вам тяжело воспринимать такое – лучше сразу перейдите к следующей главе.
Как уже написано, ведущую роль в удержании сводов играют связки стопы. Если они растягиваются, теряют упругость, нарушается их трофика, они травмируются – наступает деформация стопы и ухудшение в выполнении ей своих функций. И что же со связками может случиться? Факторов, на самом деле довольно много.
Связки стопы на 70% состоят из коллагена I типа — жесткого белка, устойчивого к растяжению. Остальные 30% — эластин и протеогликаны, отвечающие за упругость. Например снижение активности генов COL1A1 и COL3A1 делает связки «дряблыми».
Ген FLNB кодирует белок филамин B, стабилизирующий цитоскелет. Мутации приводят к синдрому Ларсена с тяжелым плоскостопием. Гиперметилирование гена SOX9 у курящих матерей повышает риск врожденной слабости связок у ребенка.
Есть и метаболические причины – например, медь входит в состав лизилоксидазы — фермента, «сшивающего» коллагеновые волокна. Дефицит вызывает нарушение функции связок. Кремний – также непосредственно задействован в структуре соединительной ткани, и его дефицит вызывает нарушение синтеза коллагена, нарушения связи белков с протеогликанами.
Эндокринологические причины – эстроген, например, повышает эластичность связок, что необходимо для нормального родоразрешения, у женщин в менопаузе количество этого гормона постоянно снижается, что влечет увеличение рисков развития плоскостопия. А длительное воздействие кортизола и вовсе вызывает катаболизм коллагена, так что люди, будьте чуть расслабленнее.
И, конечно, же, самые важные для большинства причины, носящие чисто антропогенный характер – гиперамортизированная обувь в качестве постоянной, плоские жесткие подошвы, тесная обувь, гиподинамия, каблуки (особенно высокие).
Прошу заметить – описанное выше – это примеры, а не полная и исчерпывающая, а не полная и исчерпывающая информация.
2.1 Классификация плоскостопия
Плоскостопие, в редких случаях (около 3 процентов популяции) может быть и врожденным. Но остальные 97% являются приобретенными формами. И помимо травматической,рахитической и паралитической форм выделяют форму статического плоскостопия, которое составляет 80% всех случаев плоскостопия, которая является звездой статьи. Однако, раз упомянул другие формы, скажу и о причинах:
-
Травматические повреждения. Слабость связок и изменение анатомических соотношений между различными отделами стопы возникают после переломов пяточной кости, лодыжек и костей предплюсны.
-
Полиомиелит. Следствием полиомиелита становится паралич мышц стопы и голени, который влечет за собой перераспределение нагрузки во время ходьбы, ослабление связок и нарушение соотношений между структурами ступни.
Рахит. Из-за уменьшения количества кальция кости стопы ослабляются и не могут выдерживать нормальные физиологические нагрузки. В настоящее время рахитическое плоскостопие встречается крайне редко.
Плоскостопие разделяют на поперечное и продольное – в соответствии со сводом, по которому произошло уплощение. Нередки случае сочетанного плоскостопия. Разделяют также плоскостопие по степени тяжести течения заболевания.
2.2 Продольное плоскостопие: когда стопа становится похожей на медвежью лапу

Продольное плоскостопие развивается при уплощении внутреннего свода стопы, что влечет за собой каскад биомеханических нарушений. В процесс вовлекаются не только кости стопы, но и связочно-мышечный аппарат голени. Кости смещаются по принципу «трехплоскостного коллапса»: пятка отклоняется внутрь (вальгусная деформация), передние отделы стопы разворачиваются наружу (абдукция), а средняя часть расширяется, теряя арочную форму. Это приводит к дисбалансу мышечных тяжей: сухожилия малоберцовых мышц, отвечающих за пронацию, перенапрягаются, тогда как передняя большеберцовая мышца, стабилизирующая свод, ослабевает. Внешне это проявляется характерной «медвежьей» походкой — пациент широко расставляет ноги, разворачивая носки в стороны, чтобы компенсировать неустойчивость.

Стадии развития (степени тяжести) продольного плоскостопия:
1. Стадия предболезни (продромальная)
Начальные изменения носят функциональный характер. Пациенты жалуются на усталость в ногах после длительной ходьбы (более 5 000 шагов в день) или стояния, тянущие боли в области свода стопы и икроножных мышцах. Симптомы исчезают после отдыха. При осмотре отмечается легкая гиперемия кожи под головками плюсневых костей, но форма свода сохраняется. Рентгенологически угол продольного свода (между пяточной костью и первой плюсневой) не превышает 135–145° (норма — 125–130°).
2. Перемежающееся плоскостопие
На этой стадии деформация становится непостоянной: утром свод визуально нормален, но к вечеру уплощается из-за перерастяжения подошвенного апоневроза и связок. Боли усиливаются, появляются даже после непродолжительной ходьбы (1–2 км). Возникает напряжение в икроножных мышцах, возможны ночные судороги. При пальпации болезненны точки прикрепления задней большеберцовой мышцы (внутренняя лодыжка) и место перехода апоневроза в пяточный бугор. На рентгене угол свода увеличивается до 141–155°, высота свода снижается до 25–30 мм (норма — 35–40 мм).
3. Плоская стопа
Свод стопы уплощается постоянно, исчезает рессорная функция. Пациенты испытывают боль даже после 15–20 минут стояния. Стопа расширяется в средней части, походка становится тяжелой, «шлепающей». На подошве формируются натоптыши под головками II–III плюсневых костей. Рентген выявляет угол свода 156–170°, высоту менее 25 мм. В суставах стопы (Шопара, Лисфранка) начинаются дегенеративные изменения: сужение суставных щелей, субхондральный склероз — признаки остеоартроза.
I степень: Высота свода 17–25 мм. Боль локализуется в стопе, усиливается при ношении узкой обуви.
II степень: Высота 10–17 мм. Боль распространяется на голеностоп и колени. На рентгене — остеофиты (костные шипы) в суставах предплюсны.
III степень: Высота свода менее 10 мм. Передний отдел стопы распластан, первый палец отклоняется кнаружи (Hallux valgus). Боли временно уменьшаются из-за анкилозирования (обездвиживания) суставов.

4. Плосковальгусная стопа
Крайняя степень деформации. Стопа резко развернута подошвой внутрь, пятка выступает кнаружи. Ходьба возможна только в ортопедической обуви. Боли становятся постоянными, отдают в поясницу и тазобедренные суставы. На рентгене — угол свода >170°, признаки артроза в голеностопном и подтаранном суставах.

Осложнения и вторичные изменения
-
Голень: Вальгусная установка голеностопа → перегрузка медиальной коллатеральной связки колена → гонартроз.
-
Позвоночник: Укорочение шага → увеличение нагрузки на поясничный лордоз → протрузии дисков L4–L5.
-
Сосуды: Сдавление большеберцового нерва в тарзальном канале → нейропатия, чувство «жжения» в стопе.
Диагностические критерии
-
Тест Фридланда: Измерение высоты свода от пола до ладьевидной кости (норма — 3,5–4 см).
-
Плантография: Отпечаток стопы показывает заполнение свода более чем на 50%.
-
КТ стопы: Оценка степени тарзального артроза и смещения костей.
Лечение на разных стадиях
-
I–II стадия: Индивидуальные стельки с выкладкой свода, ЛФК (упражнения на балансборде), ударно-волновая терапия.
-
III стадия: Ортопедическая обувь с жестким берцем, артродез сустава Шопара.
-
Плосковальгусная стопа: Реконструктивные операции (остеотомия пяточной кости, пересадка сухожилия длинной малоберцовой мышцы).
Прогноз
При ранней диагностике и адекватной коррекции возможно остановить прогрессирование. На стадии плосковальгусной стопы изменения необратимы, лечение направлено на уменьшение боли и профилактику инвалидизации.
2.2. Поперечное плоскостопие.

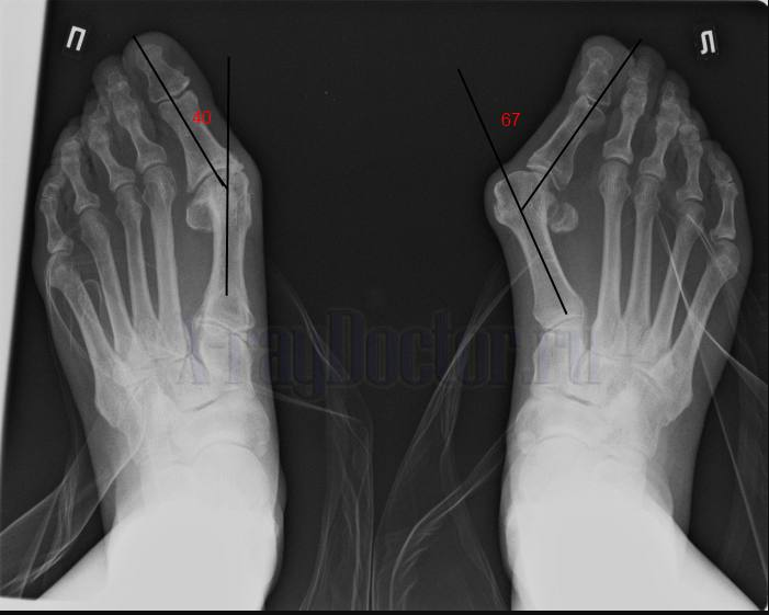
В норме поперечный свод стопы, образованный головками пяти плюсневых костей, напоминает арку, где основная нагрузка при ходьбе приходится на первую (большой палец) и пятую (мизинец) плюсневые кости. Эта конструкция обеспечивает равномерное распределение веса тела и амортизацию. Однако при ослаблении поддерживающих структур — подошвенного апоневроза, межкостных мышц и связок — свод «проседает». Головки центральных плюсневых костей (II–IV) опускаются, принимая на себя до 80% нагрузки, которая в норме не должна превышать 20–30%. Это приводит к каскаду патологических изменений: первая плюсневая кость смещается внутрь, а большой палец отклоняется наружу, формируя угол в первом плюснефаланговом суставе. Постепенно в суставе развивается деформирующий остеоартроз: суставные поверхности истираются, появляются костные разрастания (остеофиты), движения становятся болезненными и ограниченными.
Смещение нагрузки на центральные плюсневые кости вызывает истончение жировой подушки на подошве, что усугубляет амортизационную недостаточность. Кожа в проекции головок плюсневых костей грубеет, формируя гиперкератозы («натоптыши»), которые при нагрузке воспаляются, вызывая жгучую боль. Параллельно развивается молоткообразная деформация II–IV пальцев: из-за перерастяжения сухожилий сгибателей и разгибателей фаланги фиксируются в положении сгибания, а их тыльная поверхность травмируется об обувь, образуя болезненные мозоли.

Степень поперечного плоскостопия определяется углом между осью первой плюсневой кости и первой фалангой большого пальца (HV-угол):
-
I степень (слабовыраженная): Угол <20°. Визуально стопа выглядит нормально, но пациенты отмечают усталость после длительной ходьбы и дискомфорт в узкой обуви. На рентгене — начальные признаки подвывиха в плюснефаланговом суставе.
-
II степень (умеренная): Угол 20–35°. Появляется видимая «косточка» у основания большого пальца, боли усиливаются при ношении каблуков. На подошве формируются стойкие натоптыши под II‑III плюсневыми костями.
-
III степень (тяжелая): Угол >35°. Большой палец «наезжает» на соседние, сустав деформирован, движения резко ограничены. Из‑за перегрузки центральных отделов стопы развивается метатарзалгия — острая боль при малейшей опоре на ногу.

Люди чаще обращаются к ортопеду на II–III стадиях, когда деформация становится заметной. Жалобы включают не только косметический дефект, но и жгучую боль в переднем отделе стопы, усиливающуюся к вечеру, трудности с подбором обуви, recurrent bursitis (воспаление сумки сустава) в области «косточки». При осмотре выявляется уплощение поперечного свода, вальгусное отклонение большого пальца, омозолелости на тыле пальцев и под головками плюсневых костей. В запущенных случаях присоединяется неврома Мортона — утолщение межпальцевого нерва, вызывающее стреляющие боли.
Диагностика основывается на:
-
Плантографии: Отпечаток стопы показывает расширение переднего отдела и отсутствие дуги поперечного свода.
-
Рентгене стопы с нагрузкой: Измерение HV‑угла, оценка подвывиха фаланг и степени артроза.
-
МРТ: Выявляет повреждение связок, невриномы, синовиты.
Лечение зависит от стадии:
-
I‑II степень: Ортопедические стельки с метатарзальным пелотом, разделители пальцев, упражнения для укрепления мышц стопы (сбор мелких предметов пальцами ног).
-
III степень: Хирургическая коррекция — остеотомия первой плюсневой кости, резекция экзостозов, артропластика. После операции — ношение ортоустройств.
Прогрессирование деформации без лечения приводит к хроническому бурситу, некрозу головок плюсневых костей и инвалидизации. Ранняя диагностика и коррекция образа жизни (отказ от узкой обуви, контроль веса) позволяют замедлить процесс даже на поздних стадиях.
3. Выявление, риски
Если вы всё-таки прочли предыдущую главу, то в принципе и так уже должны иметь представление о выявлении плоскостопия на начальных стадиях. Однако вот вам простой чек-лист:
1. Визуальный осмотр
-
Мокрый тест:
1. Намочите стопу.
2. Встаньте на лист бумаги.
3. Изучите отпечаток:
Норма: Узкая «перемычка» между пяткой и передним отделом.
Плоскостопие: Широкая перемычка или полная «заливка» внутреннего края.
-
Форма стопы:
-
Продольное плоскостопие: Стопа выглядит вытянутой, внутренний край «завален».
-
Поперечное: Передний отдел расширен, есть «косточка» у большого пальца.
2. Проверка обуви
-
Осмотрите подошву старых туфель/кроссовок:
-
Норма: Равномерный износ по центру.
-
Плоскостопие: Сильный износ с внутренней или внешней стороны.
-
3. Симптомы
Отметьте, есть ли у вас:
-
Быстрая усталость ног при ходьбе.
-
Отеки лодыжек к вечеру.
-
Боль в стопах, икрах, коленях или пояснице после нагрузки.
-
Чувство «тяжести» в ногах.
-
Мозоли или натоптыши под головками плюсневых костей (передний отдел стопы).
4. Тесты
Тест на гибкость. Сядьте на стул, вытяните ногу вперед. Попытайтесь рукой поднять большой палец вверх, сохраняя стопу неподвижной. Палец в норме отклоняется на 50-60 градусов.
Тест с карандашом: попросите друга провести карандашом по внутреннему краю стопы. Если он свободно проходит под сводом — всё в порядке.
Тест на лестнице: Встаньте на ступеньку так, чтобы пятки свисали. Попытайтесь поднять их. Если не получается — задняя большеберцовая мышца слабая
5. Проверка походки
-
Пройдитесь босиком по полу и обратите внимание:
-
Носки сильно разворачиваются наружу («утиная походка»).
-
Стопы «шлепают» при ходьбе.
-
Вы часто спотыкаетесь.
-
6. Дополнительные признаки
-
Невозможно долго (несколько минут) стоять на цыпочках.
-
Увеличился размер обуви за последние 1–2 года.
-
У близких родственников есть плоскостопие или «косточки» на ногах.
Если вы выявляете у себя признаки заболевания и дискомфорта – это повод обязательно обратиться к ортопеду, а до похода к врачу по крайней мере принять меры, способные затормозить процесс или вовсе обратить его, если симптомы слабовыраженный.
Что можно сделать?
Если вы наблюдаете у себя заметные изменения – вам необходимо обратиться к ортопеду. Безальтернативно. Если же вы только замечаете у себя минорные признаки – возможно, ситуация еще обратима, и вам следует исключить провоцирующие факторы из своей жизни. Если есть возможность – выбрать мягкую, свободную обувь и побольше гулять в ней по лесам да полям, не использовать гиперамортизированную обувь на постоянной основе – а только для бега по асфальту, отказаться от гадости в виде каблуков, кушать разнообразную пищу и конечно же стараться удерживать свою массу тела в адекватных пределах. Также я настоятельно рекомендую, если ношение жесткой обуви не избежать, использовать хорошие стельки. Примером хороших стелек, в меру жестких, имеющих адекватную поддержку и не стоящих как крыло от боинга являются стельки Talus модель Sport. Особенно их применение оправданно при высоконагруженных действиях – я, например, использую их в горных походах.
Про натуральную (естественную) обувь
Концепция «натурального бега» и натуральной обуви вообще возникла как ответ на проблему, которую создала современная обувь. Толстые подошвы с усиленной амортизацией, супинаторы и жесткие стабилизаторы, призванные защищать стопу, ослабили ее естественные механизмы. Мышцы и связки, не получая должной нагрузки, атрофируются, что стало одной из причин эпидемии плоскостопия. Обувь вроде Vibram FiveFingers, Merrell Barefoot или Xero Shoes предлагает альтернативу — максимально приближенный к босоногому движению опыт.
Звучит просто замечательно.
Но подходит ли это при плоскостопии?
Философия натуральной обуви проста: стопа эволюционно адаптирована к бегу босиком по естественным поверхностям. При таком беге:
-
Приземление происходит на передний отдел стопы, а не на пятку. Это снижает ударную нагрузку на суставы.
-
Мелкие мышцы стопы и голени активно работают, поддерживая своды.
-
Пальцы свободно двигаются, улучшая баланс и толчок.
Исследование 2010 года, опубликованное в Nature, показало, что босоногие бегуны (например, племя календжин в Кении) на 50% реже страдают от травм, связанных с ударными нагрузками, по сравнению с теми, кто использует классические кроссовки. Однако ключевой момент — они с детства тренируют стопы, чего не скажешь о среднестатистическом городском жителе.
Особенности натуральной обуви:
-
Тонкая подошва (3–7 мм): позволяет чувствовать рельеф поверхности, но не блокирует естественную амортизацию стопы.
-
Zero drop (нулевой перепад): Пятка и носок находятся на одном уровне, что предотвращает перегрузку ахиллова сухожилия.
-
Широкая носовая часть: Пальцы свободно расправляются, как в босом состоянии.
-
Отсутствие супинаторов и жестких вставок: Свод стопы поддерживается только собственными мышцами.
Vibram FiveFingers — самый радикальный вариант такой обуви. Каждый палец помещен в отдельный «чехол», что имитирует ходьбу босиком.

Преимущества:
1.Укрепление мышц: Исследование University of Valencia (2019) доказало, что ношение FiveFingers по 30 минут в день в течение 3 месяцев увеличивает силу коротких сгибателей пальцев на 40%.
2.Улучшение проприоцепции: Тонкая подошва усиливает нейромышечную связь —
3.Коррекция техники бега: Приземление на передний отдел снижает пиковую нагрузку на колени на 25% (данные Journal of Sport Rehabilitation).
Для чего подойдет такая обувь?
1. Профилактика плоскостопия: Для детей и взрослых без выраженной деформации — как тренажер для мышц стопы.
2. Реабилитация: После курса ЛФК при I степени плоскостопия — для закрепления результатов.
3. Спорт: Бегуны, скалолазы, туристы — для развития баланса и естественной биомеханики.
Риски при плоскостопии:
Однако такая обувь совершенно не подходит людям с выраженным плоскостопием – их стопы УЖЕ потеряли способность адекватно функционировать, и для них как раз необходимо использование обуви которая будет снижать ударную нагрузку и препятствовать развитию патологий. В этом случае хождение босиком или применение натуральной обуви должно восприниматься только как часть лечебного или восстановительного процесса. А такой процесс должен проходить под контролем специалиста.
-
Перегрузка подошвенного апоневроза: у людей с продольным плоскостопием слабые связки. Резкий переход на естественную обувь может спровоцировать подошвенный фасциит.
-
Усиление вальгуса: При поперечном плоскостопии давление на плюсневые кости возрастает, что усугубляет Hallux Valgus.
-
Отсутствие коррекции: не исправляют уже существующую деформацию — они лишь дают естественную нагрузку для человека.
Личного опыта применения такой обуви в силу нищеты у меня нет, хотя давно хочу попробовать использовать ее как в повседневном ношении – так и в походной деятельности. Сам по себе обожаю ходить босым и порой в горах на дневках сбрасывал с себя обувь исходил пешком по безопасным с точки зрения ног местам с большим удовольствием.
4. Профилактика плоскостопия
Плоскостопие, как и многие ортопедические проблемы, проще предупредить, чем лечить. Профилактика должна быть комплексной и начинаться с первых шагов ребенка, но даже во взрослом возрасте можно значительно снизить риски. Основная задача — укрепить мышцы и связки стопы, сохранить подвижность суставов и избегать перегрузок.
Для детей:
-
Босиком, но правильно. До 5–6 лет позвольте ребенку ходить босиком по неровным поверхностям: песок, трава, ортопедические коврики с камешками. Это стимулирует развитие мелких мышц свода. Асфальт и плоский пол — не лучший вариант. Если дома холодно, используйте тонкие носки с прорезиненными «пупырышками» на подошве.
-
Первая обувь — только при выходе на улицу. Выбирайте модели с гибкой подошвой (должна сгибаться при нажатии пальцем), широким носком и жестким задником. Каблук — 5–7 мм. Откажитесь от «наследственных» ботинок: разношенная обувь деформирует свод.
-
Спорт с умом. Плавание (особенно кроль), скалолазание, восточные единоборства (босиком на татами) — лучшие варианты. Избегайте ранней специализации в видах спорта с осевой нагрузкой (тяжелая атлетика, художественная гимнастика).
Для взрослых: как не допустить «проседания» сводов
-
Ходьба — лекарство. 7–10 тыс. шагов в день по пересеченной местности (лес, парк с грунтовыми дорожками) в мягкой обуви поддерживают тонус мышц. Если ходите по асфальту, чередуйте обычную обувь с минималистичной (например, Merrell Barefoot 40-60 минут в день).
-
Упражнения сидя.
-
Сбор предметов: вы можете раскидать небольшие предметы с разной текстурой под столом и собирать их ногами
-
Теннисный мяч: Сидя, поставьте стопу на теннисный мяч. Прокатывайте его от пятки к пальцам, формируя волну. Тенисный мяч можно заменить массажным или другим круглым предметом
-
-
Работа сидя — не приговор. Каждые 30 минут делайте микропаузу: встаньте, поднимитесь на носки 10 раз, постойте на одной ноге 20 секунд. Используйте под столом массажный коврик-аппликатор.
-
Контролировать свойвес! Ожирение — прямая дорога к плоскостопию и еще целой горе заболеваний.
Баланс нагрузки и восстановления
-
Бегуны: Чередуйте кроссовки с амортизацией и минималистичные модели. Например, 80% тренировок — в обычных, 20% — в FiveFingers для укрепления стоп.
-
Туристы: Используйте треккинговые палки. Они снижают давление на стопы до 30%, и колени скажут спасибо и стопы.
После 60 лет: акцент на стабильность
-
Обувь с «умной» подошвой. Выбирайте модели с широкой основой, гелевыми вставками в области пятки и метатарзальным пелотом (поддержка поперечного свода).
-
Скандинавская ходьба. Палки задействуют мышцы верхнего плечевого пояса, снижая давление на стопы, при этом можно сохранять дистанции прогулок.
Питание
Больная дляменя тема. Терпеть не могу то, что называется «правильным питанием» и всю маркетингово‑социальноинжинерную чушь. Кушайте всё, и чем разнообразнее — тем лучше. Кушайте соленую рыбку, кушайте овсянку, ешьте фундук и печень трески, запивайте холодец киселем и квашенную капусту заедайте стейком, наворачивайте оливье с вареной колбасой и курагу с йогуртом. Рациональное питание в каждый дом, без ограничений и маркетинга, а рациональное оно лишь тогда, когда отвечает требованиям конкретного человека в каждой конкретной ситуации.
Чего избегать?
-
Длительное ношение свободных шлепанцев. Отсутствие фиксации заставляет пальцы «цепляться» за край, нарушая нормальную биомеханику ходьбы.
-
Каблуки. Смещают нагрузку на передний отдел стопы. Если работа требует, используйте стельки-подпяточники.
-
Бег по асфальту в минималистичной обуви. Без подготовки это прямой путь к микроразрывам подошвенного апоневроза, убийству коленей, и проблемам с позвоночником.
Помните: Даже идеальная профилактика не исключает осмотры у ортопеда. Детям — ежегодно до 16 лет, взрослым — раз в 3 года. При наследственной слабости связок или диабете — каждые 6 месяцев. Плоскостопие коварно тем, что прогрессирует незаметно. Лучший индикатор — ваши ощущения. Если после прогулки стопы «горят» или отекают — это повод для визита к врачу.
Спасибо за внимание.
P.S.
Я что-то тут понаписал. У меня в голове еще несколько тем, которые на мой взгляд необходимо также разобрать (гастрит, подагра, осанка, артериальная гипертония), но, возможно я упускаю из вида какую то животрепещущую тему. Если вам понравилось что и как я написал - вы можете предложить тему в комментариях, и если я буду достаточно сведущ и подкован (или мои друзья) я возможно напишу о проблеме. Если не понравилось - поставьте минус и я буду знать, что подобная деятельность не востребована на ресурсе.
Автор: Jurgomeister
