Доктора придумали способ использовать популярные нынче 3D-принтеры для того, чтобы ещё эффективнее спасать детские жизни. Свои идеи американские врачи высказали на международном съезде кардиологов, который состоялся в городе Чикаго.

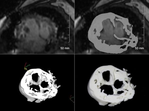
Реплики сердец были разработаны для того, чтобы врач мог изучить каждую мельчайшую деталь того органа, с которым ему предстоит работать в ходе операции. Такой макет сердца в натуральную величину позволит доктору заранее знать, где совершить разрез, как лучшим образом перенаправить кровоток, а также как залатать отверстия в сердечных мышцах.

Пока было использовано всего несколько макетов детских сердец, но даже благодаря им доктора уже открыли множество важных для успеха будущих операций деталей, которые ранее они довольно часто упускали из виду. Также, благодаря использованию трёхмерных моделей, была разработана совершенно новая методика лечения сердечных заболеваний у детей младшего возраста, которая позволит значительно увеличить продолжительность их жизни.

«Уже после двух операций с использованием трёхмерных моделей сердец мы достигли просто невероятных результатов», — поделился своим оптимизмом с журналистами доктор Мэтью Брэмлет, детский кардиолог из Университета Иллинойса.

И ведь с этим трудно поспорить: напечатанные 3D-модели сердец могут значительно улучшить понимание хирургами тех дефектов, с которыми им предстоит иметь дело во время многочасовых операций. Особенно критично понимание ситуации именно в случае с детскими сердечными заболеваниями потому, что детские сердца, а особенно сердца младенцев, настолько маленькие, что даже опытным врачам довольно сложно не ошибиться в ходе проведения столь точного хирургического вмешательства.

Напечатать модель сердца ребёнка несложно. Нужен всего лишь массив данных, полученный при помощи магнитно-резонансной томографии, а также специальный софт для 3D-принтера, который способен преобразовать исходные данные в полноценный трёхмерный макет, который врач сможет тщательно изучить. Именно благодаря этим моделям хирурги способны принять гораздо более взвешенные решения, способные продлить, а то и спасти жизни множества детей.

Хирурги, разработавшие этот метод, на сегодняшний день стараются распечатывать как можно больше моделей сердец своих юных пациентов, чтобы более тщательно изучать различные патологии и передавать свои знания последующим поколениям врачей. Одно можно сказать совершенно точно: эра 3D-печати сделала очень многие сферы нашей жизни куда более удобными и выгодными для человечества.
