Низкорослые пациенты из Великобритании, прошедшие курс лечения гормоном роста человека, получили таким образом бета-амилоиды (основной компонент амилоидных бляшек, встречающихся в страдающих от болезни Альцгеймера). Расследование британских врачей впервые указало на то, что определенные медицинские процедуры могут стать источником заражения смертельной болезнью, которая считается незаразной. Об этом сообщает журнал Nature.

Передача прионной болезни от человека к человеку посредством медицинских процедур (ятрогенное заражение) произошло с крайне длительным инкубационным периодом — более 50 лет. Выяснилось, что в 1958-1985 годах 1848 британцев низкого роста получали инъекции гормона роста, извлеченного из гипофиза покойников, причем часть органов была заражена прионами (врачи об этом не знали). К 1985 году этот метод был запрещен из-за случаев болезни Крейтцфельдта-Якоба (БКЯ) среди пациентов.
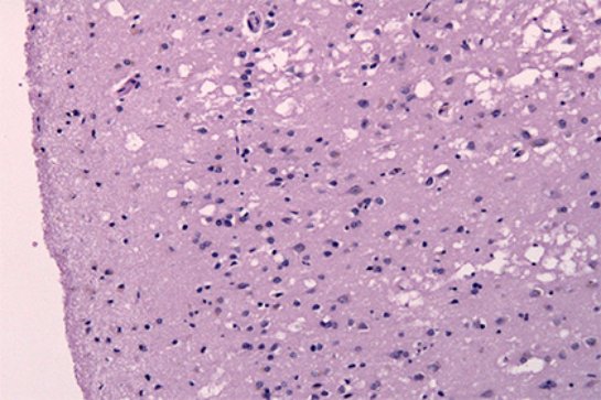
Джон Коллиндж (John Collinge) и его коллеги провели вскрытие и анализ тканей
Риск заражения неизлечимыми нейродегенеративными болезнями через инъекции гормонов роста, полученных от трупов, можно считать доказанным. Ученые призывают тщательно исследовать и другие ятрогенные пути переноса прионов (через хирургические инструменты и переливание крови), чтобы понять, не несут ли и они риск заражения болезнью Альцгеймера.
Впечатляющее видео мощнейшего ядерного взрыва под землей:
