Мужчина, который живёт без 90% мозга, озадачил учёных

в 1:38, , рубрики: водянка головного мозга, гидроцефалия, Здоровье гика, мозг, Научно-популярное, радикальная пластичность, сознание, метки: ,

Мужчина, который живёт без 90% мозга, озадачил учёных - 1
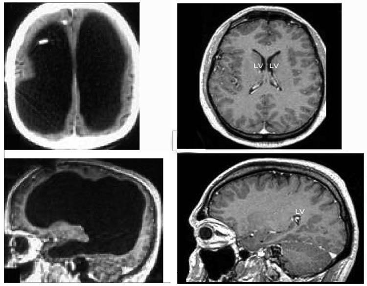
Магнитно-резонансная томограмма пациента с практически отсутствующим мозгом, но ведущим нормальную социальную жизнь. Фото: Feuillet et al./The Lancet

Французский мужчина, живущий относительно нормальной и здоровой жизнью, несмотря на отсутствие 90% мозга, заставляет учёных пересмотреть теории о биологической сущности сознания.

Несмотря на десятилетия исследований, специалисты до сих пор не могут объяснить феномен сознания — фундаментального способа, каким человек соотносится с миром. Нам известно, что это нечто формируется в головном мозге, на базе нейронов. Но каким образом сохраняется сознание, если отсутствует подавляющее большинство нейронов?

Впервые описанный в научном журнале Lancet клинический случай уже почти десять лет обсуждается в научном сообществе.

На момент поступления в клинику пациенту было 44 года, и до того момента он не делал томограммы и не знал, что у него практически отсутствует мозг. В научной статье не раскрывается личность пациента для сохранения конфиденциальности, но учёные объясняют, что большую часть своей жизни он прожил вполне нормально, даже не подозревая о своей особенности.

Сканирование мозга мужчине сделали практически случайно. Он пришёл в больницу с жалобой на слабость в левой ноге, но врач направил его на томограмму. Результаты МРТ показали, что череп мужчины практически полностью заполнен жидкостью. Остался только тонкий внешний слой с мозговым веществом, а внутренняя часть мозга практически отсутствует.

На иллюстрации слева показана томограмма мозга пациента, у которого большая часть черепа заполнена жидкостью. Для сравнения, на томограмме справа — через обычного мозга без аномалий.

Мужчина, который живёт без 90% мозга, озадачил учёных - 2

Учёные считают, что мозг пациента медленно уничтожался в течение 30 лет по мере накопления жидкости — процесс, известный как гидроцефалия (водянка головного мозга). Ему поставили такой диагноз ещё в подростковом возрасте и провели шунтирование для восстановления движения ликворной жидкости, но в 14 лет шунт убрали. С тех пор жидкость в черепе накапливалась, а мозг постепенно уничтожался.

Несмотря на это, мужчину не признали умственно отсталым. У него не очень высокий IQ 75, но это не мешало ему работать госслужащим, жениться и завести двоих детей.

Когда история необычного пациента была опубликована в научной прессе, она сразу привлекла внимание нейробиологов. Удивитильно, что человек с таким анамнезом вообще оставался в живых, а уж тем более находился в сознании, нормально жил и работал.

В то же время этот случай позволил проверить некоторые теории о человеческом сознании. В прошлом учёные предполагали, что сознание может быть связано с различными специфическими областями мозга, такими как клауструм (ограда) — тонкая (толщиной около 2 мм) нерегулярная пластинка, состоящая из серого вещества и расположенная под корой больших полушарий головного мозга в глубине белого вещества. Ещё одна группа исследователей из Принстонского университета выдвигала теорию, что сознание связано со зрительной корой. Но анамнез французского пациента ставит под большое сомнение обе эти теории.

«Любая теория сознания должна быть в состоянии объяснить, почему такой человек, у которого не хватает 90% нейронов, по-прежнему демонстрирует нормальное поведение», — говорит Аксель Клиреманс (Axel Cleeremans), когнитивный психолог из Брюссельского свободного университета (Бельгия). Учёный выступил с лекцией на 20-й международной конференции по научному изучению сознания в Буэнос-Айресе в июне 2016 года.

«Сознание — это неконцептуальная теория мозга о самом себе, полученная через опыт — через обучение, взаимодействие с самим собой, с миром и другими людьми», — говорит Аксель Клиреманс. В своей научной работе учёный объясняет, что наличие сознания означает, что человек не просто обладает информацией, но ещё и знает о том факте, что он обладает информацией. Другими словами, в отличие от термометра, который показывает температуру, сознательный человек одновременно и знает температуру, и заботится об этом знании. Клиреманс заявляет, что мозг непрерывно и бессознательно обучается заново описывать собственную активность самому себе, и эти отчёты «самодиагностики» формируют основу сознательного опыта.

Другими словами, в мозге вовсе нет конкретных регионов, где «живёт» сознание.

Свою теорию Аксель Клиреманс впервые опубликовал в 2011 году. Он называет её «положением о радикальной пластичности» мозга. Этот тезис вполне соотносится с последними научными исследованиями, которые показывают необычную пластичность взрослого мозга, способного восстанавливаться после травм, «перепрограммировать» отдельные участки на новые задачи, восстанавливать сознание и полную работоспособность.

Теория Клиреманса может объяснить случай с французским мужчиной, который сохраняет сознание в отсутствие 90% нейронов. По мнению учёного, даже в этом крохотном мозге оставшиеся нейроны продолжают описывать собственную активность, так что человек отдаёт отчёт своим действиям и сохраняет сознание.

Наши знания о работе мозга увеличиваются с каждым годом. Несмотря на принцип «Ни одна система не может создать систему сложнее себя самой», мы постепенно изучаем работу центральной нервной системы и учимся воспроизводить её функции. Например, буквально несколько дней назад опубликована научная работа с описанием, как слепой мыши частично восстановили зрение с помощью наращивания ганглионарных (нервных) клеток сетчатки глаза — части нервной системы между мозгом и глазом.

В этой области происходит всё новые открытия. Правда, иногда появляеся странное чувство, что чем больше мы узнаём о работе мозга, тем более сложным кажется его устройство.

Автор: alizar

Источник

* - обязательные к заполнению поля


https://ajax.googleapis.com/ajax/libs/jquery/3.4.1/jquery.min.js