До ведения блога на Хабре у нас очень редко спрашивали, что же именно на томограмме. Предполагалось, что пациенту для большинства ситуаций достаточно словесного описания, увиденного врачом, а в крайнем случае он без проблем возьмёт исходные файлы и отнесёт съёмку в другую клинику.
Но вы не такие. Вы очень часто спрашиваете, как же именно читать томограмму и что там нарисовано. Это укладывается в психологию визита ИТ-пациента, поэтому мы объясняем, но объяснять мы можем только на примере вашего снимка и недолго.
В целом, врачу никогда не придёт в голову учить пациента читать КТ, потому что это бессмысленно. Но я подумал: а почему бы и нет? Конечно, вы не наработаете 20-летний опыт определения разных сложных случаев по рентгеновской тени тканей, но, по крайней мере, сможете определить 40–50% базовых картин.

Видно отражение от металла, его дают множественные снимки
Я покажу, как выглядит воспалённая пазуха, металл, запломбированные и незапломбированные каналы, очаги.
Небольшая вводная часть
Итак, томограммой называется множество DICOM-файлов, каждый из которых представляет параллельный срез вашего организма. Только вместо скальпеля гистолога мы используем излучение ниже гаммы, но выше УФ, делающее вас слегка прозрачным. От обычного рентгена это отличается тем, что получается целостная трёхмерная модель.
Мы прошиваем вас электромагнитным потоком и смотрим, что у вас внутри. В отличие от магнитно-резонансных томографов, мы работаем с рентгеновским излучением.
Соответственно, ткани могут:
- Быть почти прозрачными для излучения (это мягкие ткани, обычно их очень слабо видно).
- Быть частично-прозрачными (тогда мы увидим структуру всего участка ткани на просвет).
- Быть непрозрачными (тогда излучение полностью поглощается внутри участка ткани). Например, эмаль как раз такая.
- Отражать лучи. Например, это металл. Тогда мы не только не увидим, что там внутри, но ещё и получим помехи вокруг.
- И быть специально маркированными для «подсвечивания» на КТ. Например, врачи так поступают с пломбировочным материалом для корневых каналов.
Соответственно, светлое задерживает или отражает лучи, тёмное пропускает. Но при этом тёмные участки называют «очагом просветления», поскольку изображение инвертированное.

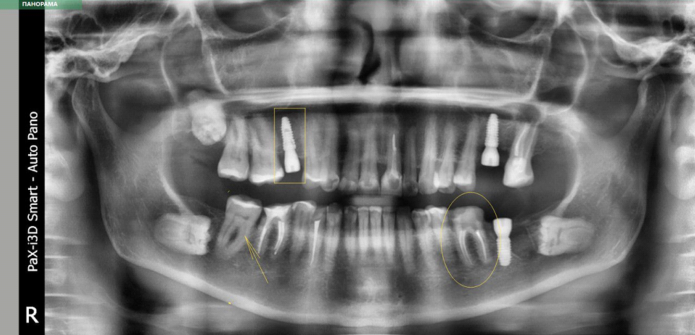
Фронтальная панорама (совмещение нескольких снимков). Прямоугольник — имплантат, его металл отражает излучение, но здесь включён постобработчик, который компенсирует гало-эффект. В овале зуб с пролеченными каналами, в каналах контрастный материал. Стрелка — зуб с живым нервом и пульпой.
Металлы, соответственно, дают очаги затемнения, как видите.
Пластик, равно как и некоторые стеклоиномеры, не видно. Современные томографы хорошо видят слизистые, но плохо — смолы и композитные материалы, если только в них не добавили что-то рентгеноконтрастное, например, соединения бария. В пластик добавляют бариевый силикат или другой контраст для того, чтобы его можно было увидеть. Отсюда, кстати, распространённый миф про то, что можно убить человека пластиковой палочкой через ухо и никто это не увидит. Патолог увидит и ещё как.
Томограф — это та штука, которая ездит вокруг вашего лица в клинике. И ещё это та штука, в которую можно залезть в больнице. В отличие от обычного рентгеновского аппарата она делает не одну проекцию, а множество идущих подряд с небольшим шагом снимков, что позволяет собрать трёхмерную модель с разрешением, примерно равным шагу между «срезами».
Томографом можно сделать и прицельный снимок, как рентген-аппаратом.
Цилиндрические томографы (большие из стационаров) очень редко используются в стоматологии, поскольку не дают нужного разрешения. Мы используем конусно-лучевые, хорошо знакомые вам по проезду жужжащего робота мимо головы. Они дают перспективные искажения (из-за близкой круговой траектории), но их можно скомпенсировать в постобработке. Эти же конусно-лучевые томографы используются для диагностики других органов головы у отоларинголога.
Результат работы современного томографа — пачка DICOM-файлов. Несмотря на то, что во всём мире используется общий стандарт DICOM для снимков, это вовсе не означает, что каждый производитель одинаково понимает и реализует формат. При том что каждый отдельный срез можно открыть где угодно, трёхмерная модель выстроится только в проприетарном просмотрщике этого производителя или же в специализированном софте для проектирования, в котором есть плагины для конкретных реализаций производителей.
Обычно томограмма двух челюстей весит около 750 Мб, и именно так называется самый популярный альбом группы CD-R. Но в региональных клиниках вы можете столкнуться с просьбой принести флешку, потому что прожиг доступен после активации лицензии (обычно подписочная, то есть обновляется раз в год), а вот сервисный доступ через USB у некоторых производителей этого не требует. Причём в таком случае вам чаще всего запишут на флешку образ с томограммой и просмотрщиком, что немного сделает вас пиратом. Но это популярная практика, потому что только так можно убедиться, что врач в другом месте сможет просмотреть всё это. Опять же, не особо удивляйтесь, если второй врач попросит вас прийти со своим ноутбуком: вполне возможно, что у них в политике безопасности клиники админ запретил запуск непонятных программ с флешек.
Можно приложить модель импланта к снимку. В просмотрщике у нас есть линейка, чтобы сразу замерять объекты на проекциях. Также мы можем импортировать всё это в проектировочное ПО и накладывать разные модели имплантов, например, прямо на снимок. Туда же можно добавить панорамное сканирование ротовой челюсти и получить максимальную детализацию для навигационных шаблонов будущей операции.
КТ не даёт поставить диагноз
Мы делаем все выводы по разнице интенсивности «свечения» тканей. Это означает, что все объекты, которые мы видим, являются тенями чего-то, что есть у вас в организме. Мы не можем увидеть сам объект, но мы можем осветить его рентген-лучами с разных сторон и попробовать по теням предположить, как он выглядит.
То есть мы видим красивую картинку 3D-модели и срезы, в которых можем двигать точку зрения. Врачи обычно работают именно со срезами, 3D-модель нужна для продажи ПО на выставках.
Ещё раз напоминаю, что мы светим снаружи головы и стараемся пробить её насквозь в области зубов рентгеновскими лучами. Это значит, что любой непрозрачный или отражающий объект перекроет то, что находится за ним. Вот отличный пример того, что будет, если сделать КТ девушки в серьгах:

Это фронтальная панорама. Серьги тут видно в овалах по бокам, а в прямоугольниках видно, как отражения от них перекрывают корни зубов.
Итак, мы смотрим на тени чего-то и пытаемся догадаться, что это было. Врач не может поставить диагноз по томограмме, но может написать что-то вроде: «я вижу признаки такого-то состояния» или «картина соответствует такому-то заболевания в большей степени, такому-то в меньшей». Чем больше пациентов открыл врач после КТ, тем лучше он делает такие догадки. Ещё мы учимся на картинках и кадаврах, но настоящая практика всё же гораздо важнее.
КТ — точный, но дополнительный метод исследования. При этом он даёт навигацию. Например, мы не должны без томограммы удалять ретинированные зубы (непрорезавшиеся), категорически не должны проводить никакую имплантацию. Без томограммы нежелательно ортодонтическое решение. Можно ли проводить без неё? Можно, но тогда не будет страховки от рисков. У себя в клиниках мы также не берёмся за повторное лечение корневых каналов без томограммы, особенно если видим, что врач другой клиники оставил нам в подарок кусочек инструмента.
КТ также нередко делается на первичных осмотрах терапевта. Нагрузка минимальная: КТ органов брюшной полости и таза — 10 мЗв, КТ грудной клетки — 7 мЗв, цифровой рентген грудной клетки — 0,1 мЗв, конусно-лучевая томография головы — 0,01–0,014 мЗв, интерпроксимально три-четыре зуба — 0,003 мЗв, восемь зубов одной челюсти — 0,04 мЗв, восемь зубов на двух челюстях — 0,06 мЗв, обе челюсти — 0,07 мЗв, съесть один банан — 0,0001 мЗв, досмотр в аэропорту рентгеновским сканером — 0,0005 мЗв. КТ, как говорят пациенты, «без видимых причин» после 40 лет делается регулярно для очень своевременного выявления опухолевых процессов, раньше, чем они начнут угрожать жизни, а до этого хотя бы один раз, чтобы провести инвентаризацию сверхкомплектных зубов, оценить состояние прилежащих тканей, увидеть атипичное расположение тех же 8-х зубов (мудрости). Чаще 2 раза в год без специализированного лечения или осложнений смысла нет. Также КТ нужна для контроля лечения, особенно после хирургии: тогда оценивается динамика, это 3-4 снимка с разницей в недели. На КТ также видно скрытый кариес.

Стартовая страница
Врач начинает с того, что смотрит на зуб и оценивает его групповую принадлежность. Очень высока вероятность, что это человеческий зуб, но нужно ещё определить, какой именно. Например, резец или моляр. Для этого мы смотрим на форму коронковой части и считаем корни. Пока мы на это всё смотрим, ещё нужно сразу определять целостность коронковой части по непрерывности границы эмали.
Затем делаем выводы о вмешательстве: есть ли пломбировочный материал или его следы в коронковой части и в каналах. Если вмешательства были, то сопровождалось ли восстановление коронковой части установкой штифтовой конструкции в корневую часть.
Затем — в каком состоянии ткани вокруг верхушки корня и в каком состоянии парадонт (опорный аппарат зуба). Поскольку мягкие ткани мы не видим (они там прозрачные), оцениваем состояние по уровню костной ткани: в норме костная ткань зуба доходит до эмалево-цементной границы. Это ниже на 1–2 миллиметра десневой бороздки. Если ниже, то соотношение плеча рычага крепления зуба уже не самое нормальное. Также можно оценить и толщину периодонтальной щели по более плотным тканям. Нездоровая щель имеет разную толщину или участки расширения.
Теперь вы примерно понимаете, что такое «читать тени».
А теперь слайды!
Вот здесь врач рассматривает каждый зуб по этому алгоритму. Эти два зуба он диагностирует на десятках визуализаций в разных проекциях, но я сделал скриншот так, чтобы вам было понятно:

Под стрелками тёмные пятна в области верхушек корней — это признаки воспалительного процесса. Зуб в прямоугольнике решено было удалить из-за несостоятельности коронковой части (это мы оценили, ещё непосредственно посмотрев в пациента в микроскоп). Второй оставили — он ещё поживёт.
Вот тот же пациент через 4 месяца, под зелёными стрелками заметное уменьшение площади костного дефекта, видны первые признаки успешности зубосохраняющего лечения. Под красной стрелкой имплантат, установленный в момент удаления зуба:

Вот ещё одна картина воспалительного процесса у верхушки корня как результат гибели пульпы, т.е. каналы раньше не лечили:

Вот зачатки зубов мудрости у 14-летнего подростка. Нам повезло, это очень удачный момент для их удаления, так как корни ещё не сформированы, минимально травматическое вмешательство, нерв далеко:

А вот что бывает, если вы последние 10 лет занимаетесь разработкой под пиццу. ИТ-специалист. Под стрелками тени множественных кариозных очагов. В анамнезе и рентгенологически ни одного визита для лечения у стоматолога:

Вот, собственно, оценка состояния прилегающих тканей:

В прямоугольнике относительно сохранная периодонтальная щель, в овале — расширенная. Это признак воспаления.
Вот молодой пациент нафарширован зубами (это нормально, часть так называемые молочные):

Временные, постоянные и зачатки постоянных зубов — смешанный прикус.
Вот уже знакомая вам картинка с фоном от металлических конструкций во рту:

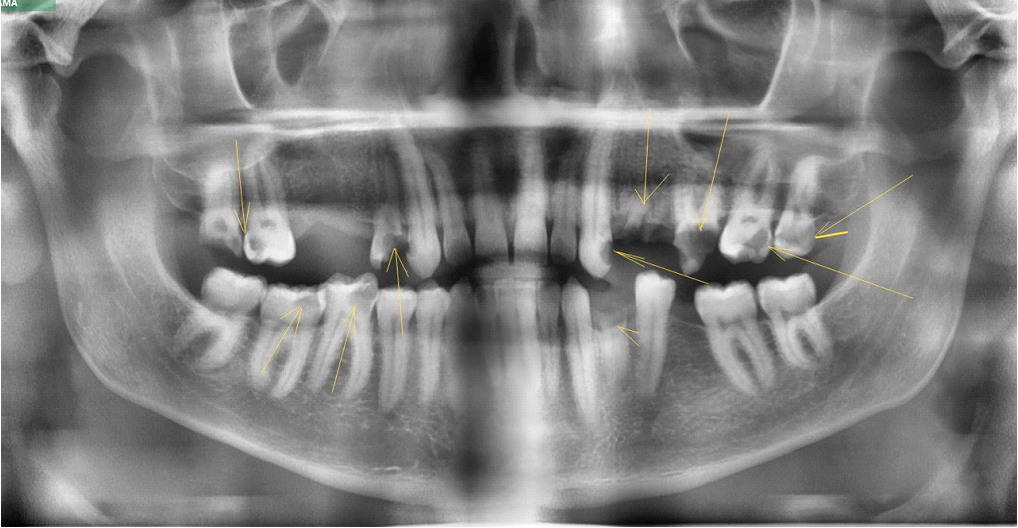
Игра «найди кариес»:

Здесь мы хорошо видим, что нужны разные проекции. Центральный резец верхней челюсти визуально в норме, один корень и колонковая часть в виде долотца. Розовая стрелка — он же, но в этой проекции отлично виден кариес.

Розовая стрелка — малый коренной зуб с кариесом (тёмное пятно по правому краю). Жёлтый маркер — большие коренные зубы, два-три корня, массивная коронка в виде кулачка. Зелёный — ретинированный «зуб мудрости», не прорежется никогда.
Самостоятельное упражнение:
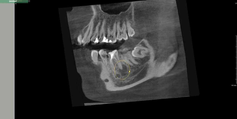
Здесь есть тень воспалительного процесса рядом с верхушкой корня. Не перепутайте с гайморовой пазухой (большой темный овал в верхней части кадра).
Нервы мы не видим, но видим их каналы:
Под пунктиром новая кость, выращенная для будущих имплантатов, а тёмная полоска ниже — это нижнечелюстной канал с нервом и сосудами, причина, из-за которой весь сыр-бор с аугментацией.

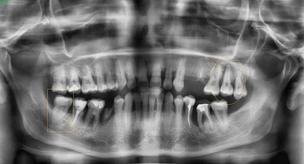
В овалах штифтовые конструкции. В прямоугольнике видна горизонтальная исчерченность — это помехи от металла штифта.
Если мы видим такие помехи, то делаем единичный прицельный снимок, где отражение уже не мешает:
Тот же зуб из примера выше на прицельном снимке
«Панорамный рентген» — это та же КТ, когда распрямляется фронтальная поверхность модели. Это несколько десятков снимков, и их можно получить из результата КТ или сделать быстрее отдельно (с меньшей нагрузкой), если нужно. Но в большинстве случаев лучше делать КТ сразу.
Проверка знаний
— Видно ли на КТ кисту (пузырёк жидкости или другую полость, например, в кости)?
— Можно ли использовать КТ, чтобы спроектировать ось импланта, чтобы он не попал в нерв и не парализовал вам челюсть?
— Можно ли увидеть утечку пломбировочного материала за пределы корня?

Это диагностический и контрольный срез с томограмм, выполненных с интервалом в 9 месяцев. На втором, кроме уменьшения размеров воспалительного очага, видна округлой формы ярко-белая тень избытка пломбировочного материала. В такой локализации и в таком объёме это не проблема, кроме того, мы знаем, что это биокерамический силер, он обладает абсолютной биосовместимостью.
— Видно ли инородные предметы в тканях?
— Как могло получиться, что при измерении в просмотрщике врач установил неверный размер какого-то органа?
— Почему пациенту не дают стальную каску для съёмки, но дают «бронежилет» из песка?
Возможно, теперь вы понимаете, что не понимаете
Теперь вы сможете определить базовые проблемы с зубами. Не знаю, зачем вам это нужно без опыта диагностики, но, по крайней мере, вы поймёте врача и будете знать, куда смотреть.
Я добавлю ещё несколько деталей. Во-первых, наши приборы имеют минимальную матрицу 10х8,5 сантиметров. Томограф стоит несколько миллионов рублей (точнее, стоил до февраля). Под него нужно специальное помещение, и клиника лицензируется с конкретной защищённой комнатой и конкретным томографом. Учитывая, что клиники часто располагаются в жилых домах, томограф может называться томографом (и тогда вас ждёт нереальная сложность в проектировании защиты палаты) или же «ортопантомографом с возможностью 3D», то есть точно таким же томографом, где 3D — это его нестандартный режим. Разница в средней проектной нормативной излучающей мощности и часто разрешении. У нас томографы.
Приходите в гости. Скажете, что с Хабра, кроме скидки 5% будет ещё подробное объяснение, что именно и как на вашей томограмме, если захотите. Только сразу говорите, что читали пост, так мы будем показывать уже гораздо более интересные детали, а не объяснять азы.
Автор: Антон Артеменко
