
Здравствуйте, уважаемые друзья! Сегодня я расскажу и покажу вам, как проводится синус – лифтинг с одномоментной имплантацией.
ВНИМАНИЕ!-Uwaga!-Pažnju!-Attention!-Achtung!-Attenzione!-ВНИМАНИЕ!-Uwaga!-Pažnju!
Ниже будут представлены фотографии сделанные во время операции! С видами зубов, дёсен, крови и
расчлененки. Слабонервных прошу отказаться от прочтения данной статьи.
Консультация и обследование
Кроме визуального осмотра, необходимо сделать рентгеновский снимок челюстей. В данном случае простого ОПТГ (Панорамного снимка зубов) будет недостаточно. Потребуется КЛКТ (Конусно-лучевая компьютерная томография).
В чём разница?
ОПТГ (Ортопантомограмма) — обзорный снимок зубочелюстной системы. Он является плоскостным, а значит, происходит наложение каждой детали снимка послойно друг на друга. Следовательно, рассмотреть объект исследования (в частности, место планируемой операции), во всех плоскостях (под иным углом или другой проекции) невозможно.
КЛКТ (Конусно-лучевая компьютерная томография) — 3D объемный снимок, напротив, дает нам такую возможность.
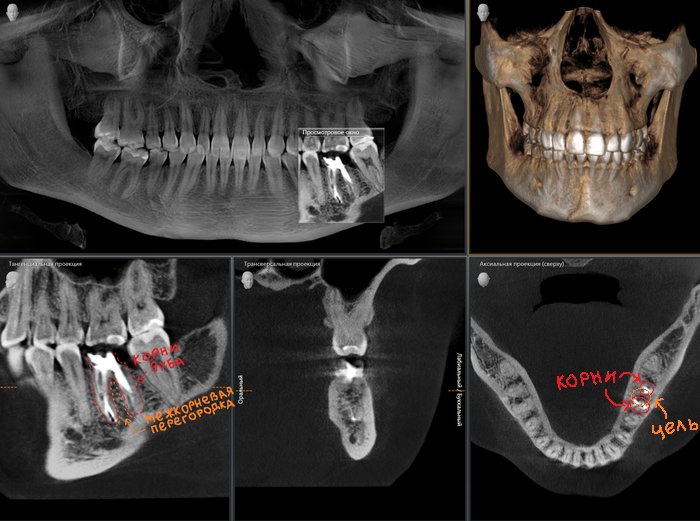
Ниже классический пример длительного отсутствия шестого зуба на верхней челюсти слева:

Нередко условия позволяют провести синус-лифтинг и установить имплантат в одно посещение. Главное – аккуратно удалить причинный зуб, максимально сохранив окружающую его костную ткань. Меня нередко спрашивают: «А можно я удалю зуб в поликлинике/по страховке (нужное подчеркнуть), а потом приду к Вам на имплантацию?» Конечно, можно! Но вот незадача: зуб можно удалить аккуратно, как я написал выше, а можно расфигачить всё так, что потом уже никакая костная пластика не поможет. Незаинтересованные доктора, работающие на потоке, которым безразлично, будет ли у вас имплантация или нет, как бы это ни звучало, не церемонятся. Их цель – удалить зуб и крикнуть «следующий». Таких, как вы, ещё 50 человек сидят в коридоре и ждут свою очередь на «выдирание». Безусловно, немало тех, кто всё сделает аккуратно, но рисковать, дабы сэкономить 3 копейки, ну такоэ…
В случае с однокорневыми зубами имплантат устанавливается тупо в лунку удалённого зуба, а в случае с многокорневыми установка производится по центру, в перегородку между корнями.
Пример с трехкорневым зубом:

Как мы видим, перегородка в этой области около 3 мм. Данного объема недостаточно для постановки имплантата оптимальной для жевательного зуба длины, следовательно, его нужно увеличивать.

Я никогда не предлагаю «ультракороткие» имплантаты ради того, чтобы избежать 20-ти минутного синус-лифтинга.
Потому как:
А – я адекватный
Б – никогда не стоит забывать про Архимеда и его «правило рычага»:

Нагрузка в 30 Н, приложенная к коронке в точке А, в точке B будет равняться 90 Н при условии, что соотношение имплантат/супраструктура будет как 1:3:

Но это уже совсем другая история и серьезная тема для полноценной статьи.
Пример с двухкорневым зубом:

Слева и справа от имплантата на снимке четко видны лунки от только что удаленного зуба. В них набегает кровушка, формируется сгусток, и всё заживает точно так же, как если бы имплантат не устанавливался.

Ну что, запасайтесь чипсами и пенным, начинается самое мясное интересное!
Как же делается этот пресловутый синус-лифтинг и какие используются для этого инструменты и материалы?
У пациента отсутствуют зубы 6 и 7 на верхней челюсти слева (некоторые фото сделаны при помощи зеркал, поэтому ракурс обзора может меняться):

Как и любая другая хирургическая манипуляция в полости рта, всё начинается с анестезии. Никто ведь не хочет испытать на себе все прелести стоматологической боли и мук.
Для того, чтобы минимизировать все неприятные ощущения, связанные с уколом, используется так называемая аппликационная анестезия:

Гель – паста на основе полиэтиленгликоля и бензокаина.
Десну «смазали» – она слегка онемела. И вот теперь можно переходить к уколу (инфильтрационной анестезии).
В современной стоматологии основным, но не единственным действующим веществом анестетика является «Артикаин» – в той или иной концентрации.
На фото ниже представлен многоразовый карпульный шприц, две одноразовые иглы разной длины и две карпулы с анестетиком.

В данном случае представлен «Ультракаин». Соотношение адреналина и действующего вещества (Артикаина) в синей карпуле — 1:100.000 (1мг адреналина на 100мл), а в зелёной — 1:200.000 (0.5 мг адреналина на 100мл). Следовательно, анестетик в синей карпуле действует несколько дольше, чем в зеленой. Мной эта дозировка используется редко, лишь тогда, когда необходим более длительный эффект анестезии или при острых гнойных воспалениях.
После того, как анестезия подействовала, при помощи скальпеля производится разрез, а распатора — скелетирование кости (отделение надкостницы от компактного вещества кости).

Разрез:

Скелетирование кости:

Мной и ортопедом было принято решение по удалению пятого зуба, потому как перелечить его будет, к сожалению, невозможно.
Удаления зубов, как правило, проводится при помощи специального инструмента – элеватора, а не щипцов, как многие думают.

Конечно, щипцы тоже используются, но зачастую, можно обойтись и без них.
«Вжух»:

Лунка моментально заполняется кровяным сгустком.
А так выглядит пьезо – хирургический (ультразвуковой) аппарат, при помощи которого формируется «костное окно» при синус-лифтинге:

А это рабочая насадка вблизи:

Наконечником вырезается костная стенка и кладется в чашку с физ. раствором.

Хорошо видно слизистую оболочку, которая выстилает пазуху изнутри:
А это та самая костная стенка (толщина):

На очереди сам синус-лифтинг.
Ошибочно полагать, что синус-лифтинг — это операция «В» верхнечелюстной (Гайморовой) пазухе. На самом же деле манипуляция проводится «ПОД» ней.
Как мы уже выяснили, пазуха — это полость на верхней челюсти, пустота, если хотите, которая выстлана изнутри тонкой слизистой оболочкой. Местно проводится отслоение слизистой оболочки от костной ткани, а в сформировавшееся пространство между дном пазухи и слизистой оболочкой, как в конверт, помещается костный материал.

Данная манипуляция проводится при помощи специальных кюрет, рабочая часть которых загнута под разными углами. Это позволяет произвести отслоение слизистой оболочки в любых труднодоступных местах:

Но нужно быть аккуратным, потому как любое неосторожное движение может привести к разрыву отношений слизистой оболочки.
Если перфорация небольшая, то её легко устранить. Для этого используется рассасывающаяся мембрана, которой эта перфорация закрывается. После чего операцию можно продолжать.

В сформировавшийся карман укладывается гемостатическая губка, смоченная в физ. растворе:

Это необходимо для того, чтобы не повредить слизистую в момент формирования ложа под имплантат сверлом.

При помощи наконечника с охлаждением и фрез повышающего диаметра формируются ложа под имплантаты. С этапами установки имплантата вы можете ознакомиться в статье: «Установка имплантата: как это делается?»

При помощи аналога (пина) имплантата контролируем параллельность.

Вид сверху:

Далее губка и аналоги удаляются:

Производится внесение костного материала.
Он выпускается как в стеклянных баночках,

так и в специальных шприцах, с помощью которых его удобнее вносить.

Так это выглядит в полости рта:

Костный материал распределяется порционно:

Со стороны сформированных лунок можно проконтролировать его распределение:

Четко видно, что костная стружка уложена именно там, где будут располагаться имплантаты.
Имплантат выглядит так:

Серая часть — сам имплантат. Синяя часть — так называемый временный абатмент. В основном он выступает в роли имплантодержателя.
После того, как имплантат установлен, абатмент выкручивается, как конструктор, специальной отверткой,

Фото для понимания масштаба:

а на его место вкручивается заглушка. Она устанавливается в том случае, если невозможно сразу установить формирователь десны. Тогда имплантат и все составляющие его части находятся полностью под десной, а значит, в полости рта после операции мы ничего не увидим. Ну, за исключением швов. При таком раскладе формирователь устанавливается уже после того, как имплантат приживется.
Ниже пример формирователя десны:

Производится установка имплантатов:

Далее укладывается дополнительная порция костного материала, а «окно» закрывается «крышкой», которая была вырезана ультразвуковым наконечником:

Временные абатменты меняются на заглушки:

С учётом того, что синус-лифтинг в области пятого зуба не проводился, а установленный имплантат достаточно стабилен, сразу устанавливается формирователь десны. В данном случае вместо стандартного (круглого) формирователя можно использовать Estetic cap. Его основная функция – возможность фиксации на нём временной коронки, но нам необходима лишь форма, повторяющая контуры лунки удаленного зуба.

Он фиксируется на имплантате при помощи винта:

Далее производится наложение швов (ножницы и иглодержатель):

Используется шовный материал – монофиламент (нерассасывающаяся нитка наподобие лески). В отличие от рассасывающихся швов, эта нить не скапливает на себе налет и остатки пищи, что особенно важно в случае с операциями.
Выступающую часть абатмента (он сделан из пластмассы) просто спиливаем, чтобы не мешала:

Почему сразу не поставили коронку, если такой девайс именно для этого и создан?
Для того, чтобы имплантат прижился и во избежание осложнений, нагрузки на имплантат быть не должно.
Обычно методика по фиксации временной коронки сразу после установки имплантата практикуется в области центральных зубов. В таком случае режущий край временной коронки выводят из прикуса, чтобы при смыкании верхних и нижних зубов на имплантат не приходилось давление. А вот с дальними зубами это не поможет. При жевании проблема нагрузки никуда не денется.
Вот и всё на сегодня. На очереди статьи по костной пластике – «как делается» расщепление и пересадка костных блоков.
Stay tuned!
С уважением, Андрей Дашков
Что еще почитать?
Про имплантацию зубов:
- Установка имплантата: как это делается?
- Синус-лифтинг и одномоментная имплантация
- Имплантация при полном отсутствии зубов, как следствие несвоевременного обращения к стоматологу
Про зубы мудрости и их удаление:
- Зубы мудрости: удалить нельзя оставить
- Все еще тянешь с удалением зубов мудрости, потому что «не болит»? Ну-ну...
- Удаление зубов мудрости. Как это делается?
- ЧЛХ или не ЧЛХ? Вот в чем вопрос…
- Зубы мудрости: Тянем-потянем!
Про профессиональную гигиену полости рта:
- Профессиональная гигиена полости рта. Часть II: Как это делается?
И, конечно:
- Стоматология: ожидание и реальность
- Рекомендации после приёма хирурга-стоматолога
- Голая правда (статья о формировании стоимости лечения в стоматологической клинике)
- Тотальное протезирование на имплантатах
Автор: Андрей Дашков
