А я хирург-ортопед, и разруливаю нетипичные случаи, в которых он бессилен.
У первой пациентки дёсны воспалились, покраснели и кровоточили каждый раз, когда она начинала чистить зубы.
У второй девушки — гиперчувствительные зубы. Она не могла спокойно их чистить, только супермягкими щётками и неагрессивной пастой. Не могла есть мороженое или пить холодные коктейли. Не могла дышать ртом зимой и на морозе старалась говорить поменьше — зубы реагировали даже на холодный воздух.

Одну задачу я решил без хирургического вмешательства, исключительно ортопедией. Во втором всё-таки пришлось пошить, а ортопедия была уже дополнительным бонусом и воплощением давней мечты.
Не каждая проблема стоит так дорого, но иногда лечение дёсен бывает не самым простым.
Пациентка № 1. Что, как и почему
Примерно за полгода до того, как девушка пришла ко мне на приём, ей провели масштабную реставрацию, с кучей коронок и виниров. А дальше дёсны довольно быстро начали кровить. Время от времени она пыталась исправить ситуацию с помощью противовоспалительных мазей типа Метрогил Дента. Кровоточивость слегка уменьшалась, но никуда не пропадала насовсем. Потом гель в тюбике заканчивался, мазаться им она переставала и всё возвращалось на круги своя.

Десна была воспалена практически целиком
Она пошла разбираться, что происходит, потому что вообще-то диапазон причин кровоточивости дёсен весьма велик — от пародонтита до нехватки витамина С.
В итоге выяснилось, что причиной воспаления оказались избытки цемента, которые выдавились при фиксации и не были удалены. Это стало понятно после визуального осмотра и рентген-диагностики. Цемент сыграл роль искусственного зубного камня и спровоцировал воспаление. То есть, грубо говоря, он попал под десну и довольно быстро ее натёр своей жёсткой текстурой.
Но это было только половиной проблемы. Вдобавок ко всему, все сделанные реставрации были максимально неточными.

Промежутки между зубами получились очень разными
Дело в том, что один из самых важных критериев хорошей реставрации — это точность границ. Края коронок и виниров должны идеально прилегать к десне. Если всё сделано качественно, десне будет хорошо. Если будет, как у моей пациентки, то в «карманы» начнет забиваться пища, которую оттуда очень тяжело доставать.
Чтобы вы поняли всю боль, которую я испытал, глядя на это безобразие: дефекты были на каждой границе. На каждой. Оставлять такие коронки категорически нельзя, иначе проблемы с постоянно воспалённой десной приведут к кариесу и разрушению зубов под реставрациями, а также куче других разнокалиберных неприятностей.

Пациентка, в принципе, была морально почти готова к тому, что всё придётся переделывать. Белая Радуга была не первой клиникой, куда она приходила на консультацию, и везде ей говорили примерно одно и то же. Просто она, боясь второй раз наступить на те же самые грабли, ходила по врачам и выбирала того, которому сможет доверять.
Выбрала в итоге меня.
Диагностика и лечение
Сначала мы сделали компьютерную томографию, чтобы посмотреть, как себя чувствуют корни зубов. Ну и заодно ещё раз полюбоваться на излишки цемента и рассмотреть, куда именно он выдавился. В итоге выяснилось, что лечение корней потерпело неудачу: возле некоторых есть воспалительные процессы и уже начинают развиваться кисты. Поэтому мы работали в паре с терапевтом. Я снимал старые коронки с одной половины челюсти, терапевт перелечивал корни, я делал временные коронки, и мы отпускали пациентку. Потом она приходила снова, чтобы поработать со второй половиной челюсти.
Затем выявилась ещё одна жалоба, которой не было во время нашей первой встречи.
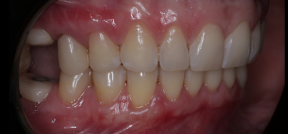
Когда мы сняли все неточные коронки и поставили точные временные, выяснилось, что у шести передних зубов немного отличается уровень десны: где-то её было видно чуть больше, где-то чуть меньше.

Красивой работы не получалось
По-настоящему красивая и профессиональная работа ортопеда — это идеальное сочетание «белой» эстетики — то есть красивых ровных зубов с прозрачным режущим краем и рельефом — и эстетики «розовой», которая подразумевает ровный десневой край.
Разница была совсем небольшой, в пределах 1–2 миллиметров, но для пациентки было очень важно выглядеть на все сто: у неё несколько салонов красоты и очень большие требования к своему внешнему виду. Она эту небольшую разницу в десне очень хорошо видела и обозначала, что такое её не устраивает.
В этом случае вообще всё можно было решить почти без хирургии, с помощью дизайна временных коронок. Там, где десна была выше и зубы казались длиннее, мы сделали их так, чтобы оставалось немного пространства, куда десна в течение месяца и спустилась.

А там, где десна была ниже, я совсем немножко её подрезал и поставил такую коронку, которая будет мешать приподниматься дальше.

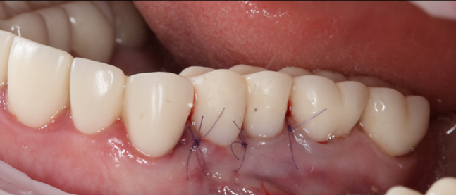
Буквально пара крохотных шовчиков

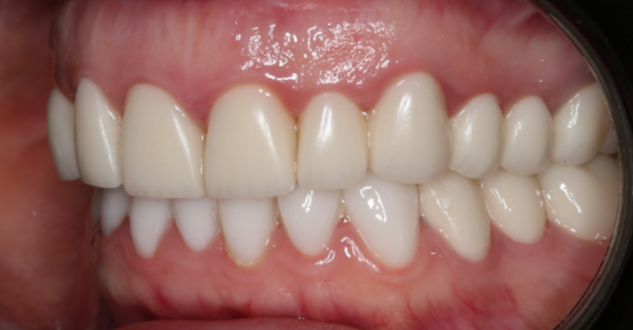
Если сравнивать форму коронок, то было примерно так
В итоге через месяц после начала лечения мы получили здоровую десну с ровным и стабильным краем. Работа терапевта в этот момент тоже закончилась, можно было приступать, собственно, к протезированию.
С кровоточивостью всё стало намного лучше буквально через две недели после начала работы. Но так как процесс лечения был в самом разгаре, полностью она не ушла, конечно: мы постоянно тревожили дёсны всеми доступными методами. Все манипуляции проводились с первыми временными коронками и, конечно, каждый раз, когда мы их снимали и надевали обратно, точность хоть немного, но терялась, и дёсны это тоже чувствовали. Но через месяц мы заказали уже фрезерованные лабораторные коронки, пока тоже временные, и десна стала практически идеальной.

Вот такой
Кстати, про временные коронки
У нас в Белой Радуге есть такое правило: без передних зубов пациент может находиться только в стоматологическом кресле. За пределами клиники они у него должны быть всегда.
У нас есть два вида временных коронок. Первые делаются ортопедом прямо в стоматологическом кресле и сразу после манипуляции. Они повторяют ту форму зубов, которая была у человека изначально. Они уже довольно качественные, с ними можно ходить на деловые встречи и почти полноценно жевать. Не так хорошо, как постоянными коронками, конечно, но питаться исключительно овсяными кашками и пюрешками не придётся.
А делаются они так.
Пока мы ещё ничего не успели поменять, мы делаем человеку слепок с его родных зубов, потом снимаем коронки, заливаем в оттиск пластмассу и ставим в полость рта. За две-три минуты она в этих слепках, как в формочках, застывает на своих зубах. Примерно так же в доме быта делают дубликаты ключей.
Как это происходит — с зубами, не с ключами, — можно посмотреть на видео. У юноши там, правда, всего одна коронка, но принцип понятен
То есть на первом же приёме мы на скорую руку можем сделать временные-временные коронки, которые будут точно такими же, как изначальные зубы пациента. Ходить с ними долго нельзя — это не самый прочный и эстетичный вариант, а в качестве бонуса можно получить, например, гингивит. Но пару недель с ними можно спокойно переждать, пока зуботехники доделывают фрезерованные временные коронки нужной формы.
А что так долго-то?
Суммарно лечение длилось восемь месяцев.
Мы начали в апреле, а закончили только глубокой осенью, хотя обычно такой объём занимает в среднем месяца на три меньше.
Во-первых, нужно было перелечить много зубов и поработать с самой десной. Это не быстро.
Во-вторых, я делал допрепарирование оставшихся зубов и перебазировал временные коронки в несколько этапов. У пациентки, кстати, в итоге получился довольно нетипичный микс из горизонтального и вертикального препарирования зубов (главное их различие в том, что при горизонтальном препарировании край культи — это чётко очерченная линия на зубе, а при вертикальном эта граница определяется по десневому краю).

И, в-третьих (и это самое главное), у барышни были достаточно высокие требования к форме зубов.
Нам потребовалось три примерки и три комплекта постоянных коронок.
Когда уже есть хороший фундамент: всё пролечено, десна восстановилась и остаётся только поставить сами зубы, мы никогда не ставим их капитально сразу. Перед тем как выкатить финальную версию, у нас по плану предпродакшен: примерка и фотопротокол. Если пациенту все нравится, то готовимся ставить зубы, если нужно что-то поправить, то отправляем комплект в лабораторию на коррекцию. А в ротовую полостью пациента возвращаем временные коронки.
По моему опыту, одной примеркой удаётся ограничиться только в половине случаев, и это, как правило, не очень требовательные мужчины. С женщинами всё сложнее: какой-то уголок может не понравиться или какой-нибудь зубик может встать в позу. То есть часто бывают нужны какие-то лёгкие коррекции. Двумя коррекциями ограничивается примерно 35% человек. А в остальных 10–15% случаев дело может дойти до четвёртой примерки или даже больше. Больше всего это зависит от требовательности пациента.
Так вот, наша пациентка очень взыскательна. Она рассматривала каждый зуб максимально внимательно, мы даже в зуботехническую лабораторию с ней вместе ездили и подключали к обсуждению зубного техника.
Дополнительные примерки занимают дополнительное время: между ними обычно проходит не меньше десяти дней: пока работу заберут в лабораторию, пока откорректируют, пока вернут обратно в клинику. Потом ещё в моём расписании нужно найти такое окошко, которое будет удобно пациенту. Все эти сроки ожидания отбирают дополнительное время.
Но на финальную стоимость примерки никак не влияют: она устанавливается в самом начале лечения и потом не меняется.

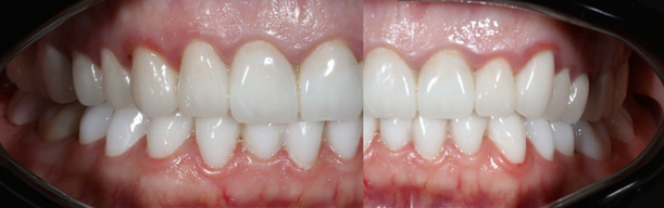
А это конечный результат
Кстати, об этом
Этот случай из 2022 года. Хирургия вместе с ортопедией обошлись примерно в 2,2 миллиона, а перелечивание зубов стоило ещё около 400 тысяч.
За последние два года стоимость материалов выросла, так что сейчас за то же самое пришлось бы отдать уже 3,5–3,8 миллиона.
На что обратить внимание, чтобы не оказаться в такой же ситуации, как эта пациентка
- Если клиника даёт гарантию на реставрации всего на год, знайте, что это очень мало. Проблемы могут проявиться гораздо позже.
- Проводить тонкие ортопедические работы без увеличения достаточно проблематично: можно не заметить какие-то неточности в стыках или что-нибудь повредить во время фиксации. Когда ты смотришь на зуб в увеличении, он кажется просто огромным. Точишь, точишь, думаешь, что срезал уже очень много, а потом снимаешь очки, чтобы посмотреть на него с разных углов, и понимаешь, что, по сути, толком так ничего и не сточил. Это позволяет очень бережно и внимательно относиться к тканям. Впрочем, в ортопедии, как раз без увеличения обойтись кое-как можно. А как лечить без увеличения крохотные корневые каналы, часть из которых вообще почти не видно голым глазом, я не представляю совсем. Поэтому очень важно, чтобы доктора клиники работали хотя бы в увеличительных очках, а в идеале — под микроскопом.
- Старорежимными ватными тампонами сухость в полости рта обеспечить невозможно, а клеить реставрации, чтобы они прослужили долго и счастливо, нужно на чистую сухую поверхность. Для того чтобы качественно изолировать рабочую поверхность от слюны сейчас используют коффердам — такую специальную латексную плёнку. Если клиника работает по олдскулу и экономит на расходниках, то есть смысл насторожиться: возможно медицинские манипуляции проводятся по устаревшим протоколам.
- Если в клинике на вопрос: «Делаете ли вы фотопротокол?», вам отвечают: «А зачем?», это весомый повод задуматься, а зачем вам там лечиться. Фотки — это такая штука, которую можно обсудить с клиентом, они добавляют работе прозрачности и наглядности, с ними проще объяснить почему нужен тот или иной вид лечения. И было/стало помогают сравнить.
Пациентка № 2. С чем она пришла
У девушки были гиперчувствительные зубы. Она не могла спокойно их чистить, только супермягкими щётками и неагрессивной пастой. Она не могла есть мороженое или пить холодные коктейли. Она не могла дышать ртом зимой и на морозе старалась говорить поменьше — зубы реагировали даже на холодный воздух.
Это очень портило качество жизни.

Вообще она у нас в клинике проходила ортодонтическое лечение — выравнивала немного скученные зубы. И в один из дней меня позвал на совместную консультацию её ортодонт, потому что я одновременно и ортопед, и хирург — и резать умею, и коронки ставить. А тут налицо была рецессия десны, то есть оголившиеся корни зубов, и понадобилась моя помощь.
Животрепещущие подробности про рецессию можете почитать в статье коллеги.
Почему так случилось
Факторов, которые влияли на её несчастные дёсны, было довольно много.
Во-первых, десна ушла и поверхности корней обнажились. Это называется рецессия. А когда с едой, полостью рта и всеми микробами, которые в ней живут, контактирует та часть корня зуба, которая вообще-то должна быть прикрыта десной, это больно.
Причин, почему так могло случиться, несколько.
- Например, это зависит от плотности десны, доставшейся человеку по наследству. Если она плотная и хорошая, похожая на апельсиновую корочку, никакой рецессии, скорее всего, не будет, даже если зубы скученные. А бывают дёсны такие тоненькие, что через них буквально просвечивают корни зубов, и здесь рецессия весьма вероятна, даже если зубы идеально ровные.
- С другой стороны, скученность зубов тоже может повлиять на появление рецессии. Если какие-то зубы выталкиваются вперёд, другие заваливаются назад, это мешает нормальной гигиене. Со временем там, куда тяжело подлезть щёткой, на поверхности корня образуется бляшка, которая вызывает воспаление сначала мягких тканей, то есть, десны, потом костной ткани, и в результате может оголиться поверхность корня.
- Связь с прикусом может быть не всегда прямая, но и он тоже потенциально влияет на рецессию. Потому что если на какую-то часть зубов падает большая нагрузка, организму нужно как-то её гасить, а дальше ситуация развивается по принципу «где слабее, там и рвётся». Если слабее всего эмаль зуба, начинает стираться именно она. Если эмаль крепкая, а ткань вокруг зуба так себе, зуб начинает растворять кость вокруг себя, смещается, выдвигается и расшатывается, что и приводит к рецессии. Если ткань тоже хорошая и не поддаётся на провокации, тогда начинаются проблемы с суставом.
- Четвёртой причиной считаются слишком грубые щётки из супермаркета и отбеливающие зубные пасты с абразивом. Из-за них у правшей часто есть рецессия слева, а у левшей — справа. Иногда можно глядя на зубы человека, узнать, как и чем он чистит зубы. Но об этом уже во всех подробностях рассказали коллеги.
Так чего хотела пациентка
В общем, главная жалоба у девушки была на чувствительность. Но зубы у неё тоже были довольно сильно стёртые, плоские и в целом заметно уже и короче, чем десять лет назад.
Девушка хотела без боли есть и пить. И чтобы зубы были нормальной длины, а улыбка — широкая и полная. Ну и, до кучи, если уж мы всё равно пошли в историю с коронками, она попросила сделать зубы светлыми и яркими.
Зачем вообще всё это нужно
Меня часто спрашивают, а зачем вообще это делать и не уйдёт ли десна опять. Особенно, если проблема наследственная. И я каждый раз отвечаю, что мы, конечно, не можем гарантировать, что десна останется с пациентом на веки вечные.
Исходом операции является не только новый уровень прикрепления десны, но и ее новый биотип. Говоря бытовым языком, она становится «толще» что ли, а научно: содержит выраженный подслизистый слой. В таком виде она более устойчива к любым неблагоприятным воздействиям. Полностью исключить вероятность рецидива мы не можем, но если устранить первопричину рецессии, то он замаячит на горизонте не раньше, чем лет через десять.
Но если сейчас ничего не сделать, то через те же десять лет ситуация будет гораздо хуже.
Не говоря уже о том, что все это время человек будет продолжать мучиться без мороженого.
Виниры же мы в первую очередь делали ради эстетики. Но, если бы я их не поставил сейчас, зубы она стирать продолжила бы, и всё через те же десять лет их пришлось бы делать. Только тогда, скорее всего, уже бы прибавились проблемы с височно-нижнечелюстным суставом.
Фигура первая: хирургическая
Все фотографии и снимки у нас уже были, их сделал ортодонт.
Так что я сразу начал шить.
А шить я начал потому, что первым делом нужно было получить такое качество дёсны, которое устроило бы и нас, и пациентку. То есть сначала — закрыть оголённые участки корней. И только после этого приступать к протезированию.
Оперировать нужно было ещё и потому, что пациентка хотела зубы намного светлее, чем они были у неё от рождения. Если бы десна не была ровной и плотной, со временем она убежала бы ещё дальше, свои ткани начали бы просвечивать, и у светлых зубов появилась бы некрасивая тёмная каёмка.

Зашил я всё довольно сильно — работать с десной нужно было на четырнадцати зубах
Пациентка очень переживала по поводу хирургии, потому что операция объёмная. Помимо ушивания, нужно было ещё удалить два разрушенных зуба и поставить два имплантата. Мы решили объединить приятное с полезным и сделать всё в седации, в том числе, чтобы обойтись одним восстановительным периодом.
Процесс в результате занял около шести часов.
Через две недели мы сняли девушке швы, и она написала мне, что наконец-то может нормально пить без боли в зубах. Давно забытое ощущение.
Перед началом ортопедии нужно было подождать два-три месяца, чтобы десна стабилизировалась после наращивания. Так что дальше мы подарили ей специальные хирургические щёточки, очень мягкие, и отпустили гулять на двенадцать недель.
Временные коронки в этом случае не ставили, потому что удалённые зубы были вне зоны улыбки и без них девушке было в целом достаточно комфортно.
Через три месяца у нас образовался уровень десны, который всех устроил. Не могу сказать, что она на все 100% перестала что-то чувствовать, но ей точно стало намного лучше.
То есть до реставрации девушка побывала у меня буквально трижды. Первый раз, если не считать консультации, мы встретились на операции. Второй — когда снимали швы. И где-то ещё в середине реабилитационного периода она пришла на осмотр, чтобы я мог убедиться, что всё идёт нормально.
Четвёртый раз мы встретились, когда десна окончательно зажила и можно было планировать следующий этап лечения.

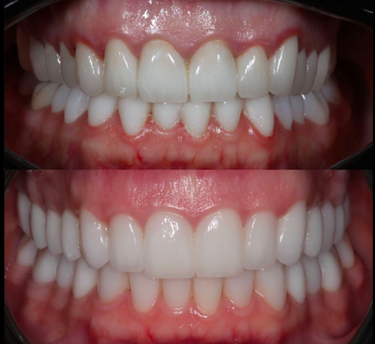
К ортопедии мы подошли в таком состоянии
Фигура вторая: ортопедическая
В этом кейсе я ставил в основном виниры, коронок была буквально парочка.
На первом плановом приёме мы провели обследование, отсканировали зубы, сделали фотопротокол, чтобы посмотреть, как человек выглядит со своими зубами. Потом зубные техники рассчитали на компьютере макет будущей улыбки, чтобы понять, как всё будет выглядеть в итоге. Потом обсудили фотографии с пациенткой, чтобы понять, что и куда она хочет переместить и как поменять.
Затем мы, как и в первом случае, сняли силиконовый ключ, залили пластмассой и примерили эту улыбку пациентке.

Улыбка в итоге должна была получиться вот такой
Ортопедия заняла два с половиной месяца.
Основную часть времени съело изготовление виниров в лаборатории. Мы делали это в два этапа: сначала одну челюсть обточили, поставили временные коронки, дождались постоянных, примерили и зафиксировали их, потом повторили процесс со второй челюстью.

Было/стало
Что почём
Дело происходило в 2021 году и обошлось всё пациентке в 2,75 миллиона рублей:
- ортодонтия стоила немногим более 400 тысяч,
- имплантация и рецессия десны — около 350 тысяч,
- за виниры она отдала примерно 2 миллиона.
Резать или не резать
По традиции: болезнь лучше предотвратить, чем лечить. Но, допустим, всё уже случилось, дёсны кровоточат. Что делать?
Идти к терапевту. Он как минимум осмотрит полость рта, сделает снимки и по итогу подскажет, куда обратиться дальше.
Чаще всего кровоточивость дёсен вообще лечится у гигиениста или пародонтолога. Возможно, достаточно прочистить глубокие карманы, убрать воспалительные моменты и выдать человеку правильные средства гигиены, чтобы остановить процесс оголения корней зубов.
Бывает, что проблема не в коронках, а в неудачных пломбах, которые нависают над десной и образуют карман, в котором скапливается пища, тогда нужен терапевт, который их переделает на нормальные.
А иногда вообще достаточно просто взять проблемный участок десны под наблюдение. Хотя бы даже своё собственное, необязательно врачебное. Если через год-два состояние не ухудшается, а зубы на этом участке можно нормально прочистить, скорее всего, никаких показаний к операции не будет.
Две эти истории, конечно, выглядят весьма впечатляюще, но на лечение дёсен далеко не всегда уходит несколько миллионов рублей — всё зависит от объёма манипуляций. Стоимость устранения рецессии на одном зубе в Белой Радуге начинается от 25 тысяч рублей, а дальше всё зависит от количества пострадавших зубов и сложности операции. Но хирургия, естественно, нужна не всегда и не всем.
Но если всё-таки нужно резать и шить, лучше всего сделать это прямо сейчас, чем мучиться ещё лет десять, а потом всё равно сделать операцию, но уже в гораздо худшей ситуации.
Ещё посты:
- Хирургические случаи: пост про то, как пациент терпел зубную боль до момента, когда ему пришлось резать горло в нескольких местах. Про пациента-проказника, выпавшего с третьего этажа и упавшего на лицо. Про пациента-спортсмена, неожиданно затормозившего в дерево.
- Для гиков: про то, как именно можно умереть от анестезии прямо на приёме терапевта. Как самостоятельно читать КТ. Про моего коллегу Андрея, хирурга senior+. Как мы переворачиваем платную медицину. Про Гусейна, его навигационные шаблоны и участие в разработке ПО для хирургов по всему миру. Как Гусейн разрабатывал матмодель и софт для хирургии по пересборке черепа.
- Инструкции: FAQ про пломбы. Что вам нужно знать про гигиену зубов. Как правильно бояться стоматолога. Что вам нужно знать про наркоз и седацию. Реплантация зубов: как правильно собирать свои зубы в пакетик. Что делать, когда вы нафаршированы зубами (про молочные зубы). Про зубы ваших пожилых родственников. Про типичные зубы ИТ-пациента. Коренные зубы — это атавизм, и почему их часто удаляют «на всякий случай». Как вылечить зубы на год вперёд перед долгой поездкой.
P.S. Если вы дойдёте до наших клиник, то говорите, что вы с Хабра, будет скидка 5%.
Автор: Максим Михайлов
