Представьте ситуацию – живете вы спокойно, ничего не болит и не краснеет, носите очки или линзы, или ничем не пользуетесь и видите отлично – и случайно попадаете на прием к офтальмологу. Скажем, из-за призыва в армию, из-за беременности или просто на диспансерный осмотр. И вдруг узнаете, что сетчатка у вас «дырявая» или натянутая и вот-вот порвется.
И вам рекомендуют ее «пришить». А вы сомневаетесь – а это точно нужно? И насколько безопасно? А ведь ничего не беспокоит – тогда зачем? А может на мне хотят «заработать»? И первым делом начинаете читать посты в интернете, что скажет такой «независимый» эксперт как Google.
А в дальнейшем все зависит от вашей дисциплинированности и внимания к собственному здоровью. Вы можете попасть к офтальмологу-лазерщику, который будет последней инстанцией, и он сделает профилактическое лазерную коагуляцию.
Или «забьёте» на все и продолжите жить как раньше – не беспокоит же ничего. В чем же риск?

Чтобы понять, что и как работает, нужны знания по анатомии глаза.
Сетчатка (сетчатая оболочка) глаза – это внутренняя оболочка, поэтому для ее осмотра нужно заглянуть в полость глаза через зрачок. Чем зрачок будет шире, тем больше поверхности сетчатки сможет увидеть офтальмолог. Поэтому для осмотра глазного дна в максимальном объеме нужно закапывать капли, способные вызвать циклоплегию – состояние, когда зрачок широкий и не реагирует на свет. Состояние это обратимое, хоть и довольно неприятное, проходит через пару часов, зато дает возможность заглянуть в самые «потайные» зоны сетчатки.
Сетчатка человека состоит из двух частей.
Задняя часть — светочувствительная; передняя часть — не обладает чувствительностью к свету. Условно, разделение проходит «по экватору»: отдел после экватора — зрительная, или функционально активная часть сетчатки — нейрональная сетчатка, которой мы видим. Отделом в районе экватора мы не видим, как раз там и возникают проблемы.

Зрительная часть сетчатки — ее задний, или светочувствительный, отдел — сложная структура, содержащая, как минимум, 15 типов нейронов, связанных друг с другом межклеточными соединениями с хорошо развитыми микроворсинками и поясками смыкания. Эти специализированные соединения обеспечивают разность электрических потенциалов, благодаря транспорту ионов между поверхностями. Через промежуточный слой, включающий проводниковые нейроны, эти клетки посылают отростки в головной . Эти отростки сходятся в области сосочка зрительного нерва, образуя зрительный нерв.
Но, поскольку ни один из указанных типов выростов анатомически не связан с фоторецепторами, эти участки могут легко отделяться друг от друга, например, когда развивается отслойка сетчатки.
САМОСТОЯТЕЛЬНО МОЖНО ОБНАРУЖИТЬ ПЕРИФЕРИЧЕСКУЮ ДИСТРОФИЮ СЕТЧАТКИ?
Если у человека возникает проблема в зрительной части, у него появляются жалобы на снижение зрения, мучают всякие неприятные симптомы типа вспышек, искажений и т.д.
А если проблемы находятся в «слепой» зоне, то жалоб не будет. Периферические дистрофии сетчатки – невидимая опасность.
Периферическая зона сетчатки практически не видна при обычном стандартном осмотре глазного дна без расширения зрачка и осмотра специальными линзами, увеличивающими угол и площадь обзора. Но именно на периферии сетчатки часто развиваются дистрофические (дегенеративные) процессы, которые опасны тем, что могут приводить к разрывам и отслойке сетчатки. Изменения периферии глазного дна — периферические дистрофии сетчатки – могут встречаться как у близоруких и дальнозорких людей, так и у лиц с нормальным зрением.
Это распространенное и серьезное заболевание человека можно эффективно лечить с использованием лазерной хирургии.
ВОЗМОЖНЫЕ ПРИЧИНЫ ДИСТРОФИИ НА ПЕРИФЕРИИ СЕТЧАТКИ
Причины возникновения периферических дистрофических изменений сетчатки до конца не изучены.
Возникновение дистрофии возможно в любом возрасте, с одинаковой вероятностью у мужчин и женщин.
Предрасполагающих факторов множество – это и близорукость независимо от степени минуса, наследственность, воспалительные заболевания и травмы глаз, черепно-мозговые травмы и, конечно, возраст.
Влияние оказывают и общие заболевания: гипертония, атеросклероз, диабет, перенесённые инфекции и интоксикации.
Происходит приблизительно это так: на периферии сетчатки по какой-то причине ухудшается питание, сосуды запустевают, это приводит к нарушению обмена веществ и истончению локальных функционально измененных участков.
Под действием физических нагрузок, падений, состояний, связанных с подъемом на высоту или погружением под воду, ускорением, рывками и переносом тяжестей, вибрацией, в дистрофических измененных участках могут возникать разрывы.
Однако доказано, что у людей с близорукостью периферические дегенеративные изменения сетчатки встречаются значительно чаще, т.к. при близорукости длина глаза увеличивается, в результате чего происходит растяжение его оболочек и истончение сетчатой оболочки на периферии.
В ЧЕМ РАЗНИЦА МЕЖДУ ДИСТРОФИЯМИ
Первое – это размер и локализация. Они могут быть множественными или единичными, маленькими или огромными, занимать локальную зону или располагаться по всей окружности глазного дна.
Второе, важное, это какие структуры глаза поражены. Периферические дистрофии сетчатки делят на периферические хориоретинальные (ПХРД), когда затронута только сетчатка и сосудистая оболочка, и периферические витреохориоретинальные дистрофии (ПВХРД) — с вовлечением в дегенеративный процесс стекловидного тела. Что такое стекловидное тело и что в нем происходит описано тут: «Летающие мошки» и «стеклистые червяки» в глазах, или откуда берутся «битые пиксели» в стекловидном теле:
https://geektimes.ru/company/klinika_shilovoy/blog/286644/
Тип дистрофии без участия стекловидного тела более доброкачественный. К таким вариантам относится, например, дистрофия по типу «булыжной мостовой».

Тип дистрофии «булыжная мостовая»
Если в зоне дистрофии есть сращения со стекловидным телом, то часто между измененным стекловидным телом и сетчаткой формируются тракции (тяжи, спайки). Высока вероятность, что при любой деформации оно потянет сетчатку за собой внутрь глаза. Такие спайки, присоединяясь одним концом к истонченному участку сетчатки, во много раз увеличивают риск разрывов и последующей отслойки. А это все шансы потерять зрение или ухудшить оптическое качество глаза до считанных процентов от нормы.
Тип дистрофии «решетчатая дистрофия» и разрывы сетчатки
Такие разрывы и дистрофии протекают незаметно для пациента и встречаются не только у близоруких, но и у дальнозорких, и у людей с абсолютно нормальной оптикой глаза.
А ЧТО ПРОИСХОДИТ ПРИ БЛИЗОРУКОСТИ?
У близоруких людей, как правило, осевая длина глаза больше 24 мм (среднестатистический параметр, измерение которого говорит нам о прогрессировании близорукости). Есть риск того, что глаз, увеличиваясь (а увеличение глаза – это и есть, по сути, близорукость) начинает тянуть стекловидное тело (потому что остальные ткани тянутся очень мало). Дистрофические хориоретинальные процессы на периферии сетчатки («решетчатая дегенерация», «след улитки» и другие) приводят к истончению сетчатки и ее разрывам.
С ними можно прожить всю жизнь бессимптомно, но риск получить отслоение сетчатки в этих случаях очень высокий.
ДИАГНОСТИКА ПЕРИФЕРИЧЕСКОЙ ДИСТРОФИИ И РАЗРЫВОВ СЕТЧАТКИ
Периферические дистрофии бессимптомны и этим опасны. Иногда пациенты приходят с жалобами на плавающие помутнения и мошки перед глазами, реже беспокоят «искры» и «молнии» на периферии. То есть симптоматика редкая и скудная.
А дальше все зависит от офтальмолога – уговорит ли он вас расширить зрачок и посмотреть как следует сетчатку? Сможет ли увидеть проблемы и правильно ли интерпретирует увиденное? Достаточно ли оснащения кабинета для диагностики – просто фонариком-офтальмоскопом увидеть не получится, нужны специальные линзы (контактные или бесконтактные). Есть ли необходимый диодный лазер в клинике или нужно будет бегать и искать клинику и специалиста, который укрепит сетчатку?
Полноценная диагностика периферической дистрофии и «немых» разрывов (без отслойки сетчатки) возможна при осмотре глазного дна в условиях максимального медикаментозного расширения зрачка с помощью специальной линзы, которая позволяет рассмотреть самые «удаленные» участки сетчатки до экватора. При необходимости можно даже использовать склерокомпрессию – вдавливание склеры как бы внутрь глазного яблока, таким образом сетчатка смещается от периферии к центру, в результате чего некоторые недоступные для осмотра периферические участки становятся видимыми. Это все выполняется после закапывания местного анестетика для поверхностной заморозки глаза. Процедура вам несколько ухудшит ближнее зрение, повысится светобоязнь на пару часов, но все эти симптомы всегда бесследно проходят в среднем через пару часов. Так что ни в коем случае от этого не отказывайтесь!
Кстати для осмотра использовать нужно не фонарик, как это делают в большинстве поликлиник, а специальные линзы для осмотра глазного дна. Есть универсальная контактная линза – линза Гольдмана. Это плоская линза с системой трех зеркал очень широко применяется при осмотре и лазерной коагуляции переднего отрезка глаза и сетчатки.

Трехзеркальная линза Гольдмана
В каждом зеркале мы видим разные участки сетчатки и, прокручивая его по часовой стрелке, получаем полную информацию. Примерно такую:

А это схема в какое зеркало какой отдел глаза мы осматриваем:

На сегодняшний день существуют также специальные цифровые камеры, с помощью которых можно получить цветное изображение периферии сетчатки при наличии зон дистрофии и разрывов.
Ну, и самое главное – офтальмолог должен не только делать вид, что смотрит в линзу, он должен уметь видеть и интерпретировать увиденное. Мой опыт лечения отслоек и проблем со стекловидным телом и сетчаткой свидетельствует о печальной ситуации.
В половине поликлиник сидят доктора, которые даже не расширяют зрачок для осмотра. Половина от оставшейся половины смотрит прямым офтальмоскопом – светит в глаз фонариком, при этом в лучшем случае видит только центр. Следующая половина от оставшейся четверти – имеет линзы и смотрит, но ничего не понимает в увиденном!
Итак, только 10-15% пациентов получают качественную диагностику! Остальные 85-90% врачей рассчитывают на везение, или ссылаются на то, что у них нет нужного оборудования.
Основное необходимое «оборудование» для диагностики — глаза врача и его профессиональный интеллект.
ЛАЗЕРКОАГУЛЯЦИЯ ПЕРИФЕРИЧЕСКОЙ ДИСТРОФИИ И ЗОН РАЗРЫВОВ СЕТЧАТКИ
Источник излучения в лазерах для коагуляции — твердотельный лазер с диодной накачкой.
Цель такого лечения — профилактика отслойки сетчатки.
Выполняют профилактическую барьерную коагуляцию сетчатки в области дистрофических изменений или отграничивающую лазерную коагуляцию вокруг уже существующего разрыва. Производится воздействие на сетчатку по краю дистрофического очага или разрыва, в результате чего происходит "склеивание" сетчатки с подлежащими оболочками глаза в точках воздействия лазерного излучения. Напомню, что речь идет о тех зонах сетчатки, которыми мы «не видим», поэтому после этой процедуры и сужения зрачка зрение полностью восстанавливается до исходного.
Процедура выполняется с контактной линзой Гольдмана на глазу. Это предотвращает непроизвольные движения глаза и позволяет точно сфокусировать луч лазера на проблемном участке.
Пациент ощущает действие лазера как вспышки яркого света. Как правило, они не вызывают никаких неприятных ощущений, но иногда может быть легкое покалывание, головокружение или даже приступы тошноты. Операция проходит в положении сидя. Сам глаз надежно зафиксирован, и попадание луча на здоровую сетчатку исключено.
Лазерная коагуляция проводится амбулаторно и хорошо переносится пациентами. Необходимо учитывать, что процесс образования спаек занимает некоторое время, поэтому после проведения лазерной коагуляции рекомендуется избегать большой физической нагрузки, типа прыжков с парашютом, подъемов тяжестей и т.п. в течение 10-14 дней. В остальном, можно вести обычный образ жизни и капать 3-4 раза в день профилактические капли.

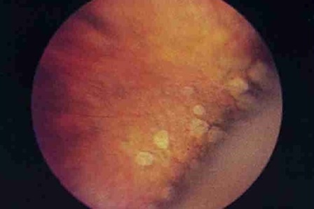
Схема лазеркоагуляции зоны дистрофии с разрывом
КАК НАСЧЕТ БЕРЕМЕННОСТИ И РОДОВ
Во время беременности необходимо не менее двух раз осматривать глазное дно на широком зрачке – в начале и в конце беременности. После родов также рекомендован осмотр офтальмолога.
Если проблема имеется, то в сроки до 36 недель мы вполне спокойно выполняем лазеркоагуляцию сетчатки. Хотя, чем раньше она обнаружится, тем лучше. Так как на последних месяцах сидеть во время этой процедуры не очень удобно. После 36-37 недели мы считаем, что коагулировать поздно – спайки могут просто не успеть сформироваться.
Отграниченные зоны дистрофии, сращений и разрывов не являются противопоказанием к естественным родам, конечно, если нет акушерских противопоказаний.
Профилактика же самих дистрофических процессов на периферии сетчатки возможна у представителей группы риска – это близорукие, пациенты с наследственной предрасположенностью, дети, родившиеся после тяжелого течения беременности и родов, пациенты с гипертонией, сахарным диабетом, васкулитами и прочими заболеваниями, при которых наблюдается ухудшение периферического кровообращения. Таким людям также рекомендованы регулярные профилактические осмотры у офтальмолога с осмотром глазного дна.
ПЕРИФЕРИЧЕСКИЕ ДИСТРОФИИ СЕТЧАТКИ И ЛАЗЕРНЯ КОРРЕКЦИЯ ЗРЕНИЯ
Само по себе наличие дистрофии на периферии не является противопоказанием для лазерной коррекции зрения. Профилактическая лазерная «сшивка» делается по медицинским оказаниям независимо от того, будет в последующем коррекция или нет.
Для LASIK предварительно укрепляется сетчатка, так как вакуумное кольцо значительно повышает давление, повышая риски по отслойке сетчатки.
Для таких методов, как SMILE или FemtoLASIK не так важно, когда будет выполнена профилактическая периферическая лазеркоагуляция сетчатки (ППЛК) – до или после коррекции, так как нет повышения внутриглазного давления. О подробностях фемтотехнологий SMILE или FemtoLASIK я подробно писала здесь:
FAQ про лазерную коррекцию ReLEx SMILE: да, в России есть, но нет, в России нет https://geektimes.ru/company/klinika_shilovoy/blog/284108/ и здесь:
Лазер, который режет внутри роговицы: процедура ReLEх на физическом уровне https://geektimes.ru/company/klinika_shilovoy/blog/283146/

СОВЕТЫ ОТ МЕНЯ ЛИЧНО
- Никогда не отказывайтесь от осмотра глазного дна с расширением зрачка для собственной безопасности. Чаще всего дистрофии сетчатки находят случайно.
- При появлении жалоб на возникновение молний, вспышек, внезапного появления большего или меньшего количества плавающих мушек идите срочно на прием к офтальмологу, это может указывать уже на имеющийся разрыв сетчатки.
- Не отказывайтесь от осмотра периферии с помощью контактной линзы Гольдмана – это позволит увидеть самые крайние участки сетчатки.
- Можно зафиксировать наличие проблемных зон на специальной цифровой аппаратуре и оценить их по отношению ко всей площади глазного дна. Серьезные клиники имеют такую возможность и оснащение.
- При выявлении периферической дистрофии и разрывов сетчатки проводят лазерное лечение, целью которого является профилактика отслойки сетчатки, поэтому чем раньше вы сделаете эту процедуру – тем лучше.
- Основной способ профилактики этих осложнений – это своевременная диагностика периферической дистрофии сетчатки у пациентов группы риска с последующим регулярным наблюдением и проведением, при необходимости, профилактической лазерной коагуляции. Пациенты с существующей патологией сетчатки и пациенты, относящиеся к группе риска, должны проходить обследование 1 – 2 раза в год.
- Не лишайте возможности своего ребенка родиться естественным путем – делайте своевременные профилактические осмотры во время беременности и лазеркоагуляцию по показаниям.
Автор: Татьяна Шилова
