
Представим ситуацию, что ваш вечер начался с фразы:
— Есть закурить?
А продолжился так, что вы стоите под фонарём со своими зубами в ладошке и думаете, что делать дальше.
Ну или вы занимались спортом и вдруг встретили дерево. Или у вас бытовая травма в результате дробящего удара скалкой. Или вы поскользнулись в ванной и ухватились зубами за край раковины. В общем, зубы выпали, и хотелось бы вставить их обратно. Потому что вы к ним привыкли, и потому что это вроде бы дешевле, чем ставить потом импланты.
На реплантацию зуба есть шесть часов. Оптимально сделать это за ближайшие два часа, дальше риски будут выше. Расскажу, что нужно делать в такой ситуации.
Варианты травм
Травмы ведут к разным исходам. Рассмотрим каждый.
Ушиб зуба: самый простой случай
Это когда вы вроде как остались со всеми зубами на месте, но всё опухло и очень больно. Ключевое отличие от вывихов — отсутствие смещения зуба. Сосудисто-нервный пучок, впрочем, повреждён, и в области травмы нарастает гематома. Рентген обязателен, так как надо отличить ушиб от вывиха и убедиться, что нет трещины зуба. Ну и целостность черепа тоже неплохо бы проверить. Всё-таки травма.
Неполный вывих зуба
Это более тяжёлый вариант, при котором происходит разрыв части волокон в периодонтальной щели. Если помните, мой коллега уже рассказывал про то, как устроен опорный аппарат зуба, в этом посте. При этом варианте травмы зуб остаётся во рту, но повёрнут или наклонён под неестественным углом. Иногда везёт, и сосудисто-нервный пучок остаётся в живых, а разрывы волокон его слабо затрагивают.
Вколоченный вывих зуба
Вколоченный вывих зуба — это разновидность полного вывиха зуба. Фактически целых волокон не осталось, всё разорвано, сосудисто-нервный пучок разрушен. Но зуб по-прежнему не в ладошке, а во рту. Впрочем, ситуация всё равно нерадужная, так как его в результате травмы попросту вколотило внутрь. Корень зуба пробил компактную костную пластинку альвеолы и погрузился в губчатое вещество кости. На верхней челюсти зуб может частично провалиться в гайморову пазуху. Обычно такая травма происходит при ударе зубами о бордюрный камень или другой подобный выступ.
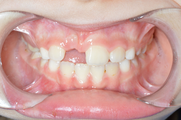
Полный вывих зуба
Это как раз та классическая ситуация, когда зубы оказываются рассыпаны по земле в результате травмы. Кровоточащая лунка, тонкие стенки альвеолы чаще всего сломаны.
Кто и как чаще всего травмируется
Точных показателей не назову, но мужчины уверенно лидируют в этой области. По опыту нашей клиники чаще всего это парни лет 13–15. Причём обычно это не драки, а неудачные поездки на велосипеде. Если надевать лёгкий шлем большинство уже научилось, то защитные капы никто не использует, хотя это выглядит нелишним в экстремальных заездах по пересечённой местности. А ещё стало много пациентов после самокатов. На самокатах в защите ездят вообще единицы, хотя скорости они развивают очень серьёзные. Было несколько случаев, когда человек на скорости втыкался в бордюр, небольшие колесики не позволяли его переехать, и дальше человек летел уже отдельно от транспорта, тормозя зубами о плитку. В общем, производители самокатов сделали многое для рынка стоматологии.
Самый интересный анамнез был у молодой девушки, которая решила отпраздновать последние дни холостой жизни, прыгнув на тарзанке с моста. Что-то напутали с длиной, и она в итоге лишилась нескольких передних зубов за две недели до свадьбы.
Дети тоже очень часто травмируются. Классические варианты — удар качелей по зубам и неудачные пробежки по гаражам. Самый странный на моей памяти случай с ребёнком был связан с амбарным замком, которым ему случайно снесли верхний центральный резец. Это был какой-то старый муниципальный бассейн, и раздевалки там запирались на здоровенные стальные замки. В итоге кто-то неудачно развернулся с ним, пока ребёнок переодевался, сидя на скамейке. К счастью, там обошлось минимальной репозицией после неполного вывиха и реставрацией скола.
Что происходит с тканями после потери зуба
Все наши клетки предпочитают аэробный путь окисления глюкозы. Это значит, что ненадолго «задержать дыхание» они могут, но потом начинают умирать. Срок жизни клетки после того, как близлежащий сосуд оторвало, зависит от её типа и особенностей метаболизма. Думаю, что всем известно про предельные сроки реанимации после остановки сердца. Если не макать человека в ледяную прорубь, то необратимые изменения в коре головного начнутся уже минут через пять. Эта система самая прожорливая в плане дыхания и на паузу встать не может. Причём это свойство не только нейронов
Какая нервная ткань есть в зубе и окружающих его тканях? В первую очередь это нервные волокна в самой пульпе зуба. Именно они в ответ на раздражение одонтобластов заставляют вас морщиться от резкой боли, когда вы кусаете мороженое. Кстати, это может быть признаком кариеса, а не только повышенной чувствительности, обратите внимание. Эти же нервные волокна обеспечивают потрясающее времяпрепровождение во время обострения пульпита посреди ночи.
Другая группа рецепторов — механорецепторы периодонта. Они обильно усеивают лунку зуба и контролируют процесс жевания, чтобы вы не клацали челюстями просто так. Это и функциональная задача, и защитная. Эти же рецепторы не дадут вам сделать укус в полную силу, если вы наткнётесь на камушек в пакете с арахисом или твёрдую кость в еде. Если их выключить анестезией, то зуб воспринимается как чужой инородный объект.
Итак, встреча с недружелюбными личностями в парке закончилась потерей резца. Какие клетки могут пережить реплантацию? Нервная ткань в самой пульпе? Очень маловероятно, даже если реплантация выполняется прямо сразу после удаления на операционном столе. Пульпа выжить может, но риски для неё тоже велики. Клеткам надо дожить до момента реваскуляризации — восстановления кровотока. Как правило, клетка не в состоянии выжить, если в радиусе 700 мкм от неё нет работающего сосуда.
Вторая группа клеток — ткани периодонта. Да, связки порвало, а рецепторы частично погибли при травме. Но у оставшихся в живых клеток по-прежнему остаётся связь с оставшимися сосудами в лунке зуба. Вот эта нервная ткань может пережить реплантацию, если она выполнена в срок. Корни самого зуба тоже покрыты тканью, которая может потерпеть какое-то время без кислорода, — это цемент. Цементоциты покрывают поверхность корней и обеспечивают «подключение» связочного аппарата периодонта со стороны лунки и десны.
Что надо сделать сразу же
Если у вас выбили зуб и вы его не нашли — можно попробовать выбить зуб у противника. Некоторое моральное удовлетворение вы от этого, скорее всего, всё-таки получите. Пересаживать его, впрочем, не будем. Риски, связанные с отторжением, инфицированием и прочим, никто на себя брать не будет. Материал другого донора нам не подходит, нужен только ваш собственный. Хотя от вашего полного близнеца тоже подойдёт, но случаев драки близнецов с последующей реплантацией у нас не было.
Это значит, что если вы подобрали в драке три зуба и не знаете, который из них ваш, то реплантации не будет. Нужно точно знать, какой биоматериал вы несёте. Собирать можно даже грязные зубы, упавшие на землю. Идеальная стерильность вас сейчас не волнует. Клетки умирают без кислорода уже сейчас, а бактерии начнут размножаться немного позже.
Не пытайтесь ничего счистить.
Далее отметьте точное время. В трансплантологии это важно. Зуб, конечно, не печень и не почка для пересадки, но время тут тоже играет ключевую роль.
Затем звоните своему стоматологу-хирургу. Реплантацию выполняют те же самые люди, которые и удаляют зубы. Мы для этого всем пациентам рекомендуем забить нас в список экстренных телефонов для таких случаев: +7(499) 703-52-25. С этого момента запускается работа со стороны клиники. Она должна подготовить операционную к вашему приезду. Обычно у нас это занимает не более часа, если хирург в этот момент был дома. В рабочее время мы в любом случае экстренно передвинем пациентов. Если не сможете попасть в самую классную клинику — обращайтесь в любую приличную в радиусе одного-двух часов. Это всё равно лучше, чем промедление.
Найдите аптеку. Любую. Вам нужен стерильный физраствор для того, чтобы кинуть туда зуб. Физиологический раствор — это оптимальный вариант. Некоторые стоматологи рекомендуют ещё вылить туда ампулу гентамицина, но я считаю, что это излишне. Можно накидать вокруг флакона хладагентов в виде пакетов «Снежок». Только не используйте лёд! Замораживать нельзя.
Заодно там же, в аптеке, можете купить гемостатические раневые покрытия и губки, чтобы приложить снаружи свой трофей и остановить кровь. Только в полость рта не надо.
Купите в аптеке обезболивающее и выпейте его. Это не только снизит болевые ощущения, но и немного придержит воспалительный процесс.
Если вы не смогли найти аптеку — для хранения зуба подойдёт обычное свежее молоко. Не нашли молоко — зуб кладёте просто за щеку и используете свою полость рта для транспортировки (только не делайте так с грязными зубами). Если вы подняли зуб с земли, то стоит его ополоснуть проточной водой перед тем, как класть в рот. Старайтесь не касаться тканей в области корня.
Можно использовать жидкость для хранения контактных линз, если она у вас с собой.
Приложите холод к месту травмы снаружи.
Рот нельзя ничем полоскать! Стереть кровь — и вперёд к стоматологу на такси в том виде, как есть.
Я бы не советовал самому готовить физраствор на коленке из поваренной соли. Небольшая передозировка в концентрации, и вы высушите клетки. Гипертонические растворы для них губительны. Дистиллированная вода тоже так себе. Минеральная вода также не пойдёт: у неё непредсказуемая кислотность, которая тоже может быть губительна.
Итого: стерильный физраствор -> холодное молоко -> собственные слюна и кровь. В крайнем случае – негазированная вода из бутылки. Газированная имеет кислый pH.
Что важно оценить при травме
Есть ситуации, когда задачу с зубами придётся отложить. Если из вас фонтаном льёт кровь и не останавливается, есть тяжёлые травмы, то просто едете на скорой и стараетесь выздороветь. Поэтому, если у себя или другого пострадавшего вы видите признаки черепно-мозговой травмы вроде многократной рвоты, дезориентации, анизокарии (зрачки разного размера), отсутствия сознания, то занимайтесь спасением жизни в первую очередь. Реплантации не будет, приоритеты другие.
Впрочем, зубы всё равно не выбрасывайте: хирурги в больнице всё равно могут заодно попробовать их реплантировать, пока будут оперировать. Но шансы низкие.
Что будет делать врач в стоматологии
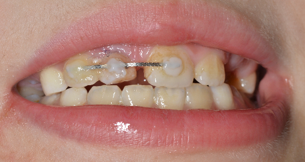
Врач обработает ваш зуб щадящими антисептиками (не перекисью водорода, конечно), оценит состояние лунки зуба и выполнит реплантацию. Зуб при этом фиксируется на старом месте за счёт кровяного сгустка и внешнего дополнительного шинирования. Дальше будут щадящее питание и наблюдение. Если всё пройдет хорошо — в течение нескольких месяцев зуб восстановит свою функцию.
Иногда может погибнуть пульпа зуба, но сам зуб будет по-прежнему удерживаться периодонтом, как и раньше. В этом случае придётся заняться эндодонтией, удалить пульпу и запломбировать корневые каналы. С эстетической точки зрения всё будет отлично!
Плановая реплантация
Реплантация, кстати, бывает ещё и плановой. Это крайне сложная процедура, требующая долгого планирования и моделирования по компьютерной томографии. Но в результате мы может просто взять и поменять зубы местами. В смысле буквально удалить условный клык и пересадить его вместо резца. Или второй моляр вместо первого.
Надо очень осторожно подходить к этому варианту, так как он является альтернативой имплантам. Импланты очень хороши, но при наличии возможностей свои зубы работают ещё лучше. Сейчас расскажу, как это бывает.
Например, к нам обратились родители с ребёнком, который повредил постоянный резец в возрасте девяти лет. Травма. Мы восстановили всё, насколько это возможно, но, судя по всему, травма привела к необратимому повреждению сосудисто-нервного пучка. В результате было принято решение удалить этот зуб в возрасте 11 лет. Мы заранее запланировали операцию и в качестве донора использовали его собственный молочный клык, который к тому времени должен был скоро смениться постоянным.


Спойлер




Ключевое условие плановой аутореплантации — она должна быть одномоментной. Иначе нет кровоснабжения со стороны лунки, и уже есть резорбция костной ткани.
Последствия и прогнозы
Мы всегда стараемся вернуть свой зуб.
-
Приживление по типу первичного натяжения. Это когда ткани периодонта более или менее сохранились, а реплантация выполнена быстро. На рентгене видна нормальная равномерная периодонтальная щель, волокна приросли обратно, а чувствительность механорецепторов лунки восстановилась.
-
Приживление по типу синостоза. При этом волокна не формируются, а зуб просто неподвижно прирастает к костным структурам лунки. Теряем амортизационные свойства периодонта, теряем механорецепторы.
-
Смешанный вариант, когда есть участки с нормальной периодонтальной щелью, а есть с полным сращением.
-
Полное отторжение — самый неприятный исход.
Если зуб не прижился, то мы идём на плановую имплантацию. В случае если лунка была сильно разрушена травмой, то вначале выполняется костная пластика, и лишь потом — имплантация. Главное — делать всё быстро, так как даже несколько недель будут означать деградацию и разрушение костной ткани, которые затруднят нашу работу и повлияют на результат. Оптимально делать всё как можно быстрее.
Ключевые плюсы реплантации, если сравнивать с имплантом:
-
Это свой зуб. Возможно, восстановится какая-то чувствительность.
-
Это почти всегда эстетичнее, если всё пройдёт по плану.
-
Это дешевле импланта раза в три. Можете считать, что это ваш собственный бесплатный имплант, а платите вы только за работу врача.
Поэтому запишите в телефон номер клиники, которая умеет делать подобное. В нужный момент вы сможете прошепелявить свою проблему, а на том конце провода уже по тревоге поднимется бригада, срочно перестраивая расписание.
P.S. Если вы дойдёте до наших клиник, то говорите, что вы с Хабра, будет скидка 5 %.
Автор: Андрей Гребнев
