Рубрика «стоматология»
Тотальное протезирование в стоматологии
2025-10-29 в 10:54, admin, рубрики: врач, врачи, доктор, имплантация, имплантация зубов, Синус-Лифтинг, Стоматолог, стоматология, Удаление зубов, хирургПоказываю арсенал инквизиции из своего стоматологического кабинета
2025-09-18 в 11:06, admin, рубрики: клиника, медицина, стоматологический кабинет, стоматологияУ нас есть молоток и долото! Сейчас покажу!
У нас часто лечатся айтишники (во многом благодаря постам тут), и вот пациенты с Хабра очень часто просят показать устройства или инструменты. Это очень хорошая возможность снять тревожность, и во многих протоколах снижения тревожности такое есть. То есть врач определяет, напугают пациента длинные иглы и свёрла или нет — ну, условно, успокаивает его тренинг по технике безопасности и рассказ про риски или нет, хочет он контролировать свою жизнь или нет — и если пациент типа «контроль», то показывает и рассказывает.
Самое дорогое удаление зубов мудрости
2025-08-21 в 7:00, admin, рубрики: зубы, клиника, стоматология, челюсть, экструзияЗуб поболел и перестал: почему это случается и что делать?
2025-08-20 в 15:00, admin, рубрики: здоровье, зуб, лечение, медицина, стоматологияВизит к стоматологу для многих людей 一 большой стресс. Бывают ситуации, когда человек не уверен, стоит обращаться за помощью или пройдёт само. Например, в случае кратковременной зубной боли. Специально для этого я, стоматолог-терапевт клиники docdent Мария Ионченкова, подготовила инструкцию, которая поможет определиться с действиями и сохранить ваши зубы.
Кратковременная зубная боль может возникнуть по разным причинам и бывает разной по характеру.
Ранняя стадия кариеса
Зуб реагирует на сладкое, но боль быстро проходит после устранения раздражителя. Это сигнал о том, что эмаль уже повреждена*Читать полностью »
Чего боятся дети у стоматолога сегодня
2025-08-14 в 7:01, admin, рубрики: детская стоматология, клиника, стоматологияУже не того, чего боялись мы раньше.
В нашем детстве вы подходите к кабинету, а оттуда выходят заплаканные дети. Из-за двери кто-то орёт, а внутри кабинета — свистящая бормашина, весело перетирающая вам зуб так, что пахнет вашей жжёной костью. И да, это больно. Очень больно.
Даже когда вам говорят «Будет не больно», вы уже не верите, потому что это ваш уже второй поход и вы первый отлично помните.
Сейчас всё поменялось.
Самый большой источник страха для ребёнка — родители. Которые как-то по-особенному пытаются его подготовить к стоматологии.
Мы работаем с детьми 6 лет и понимаем, что надо делать:
Ненависть к брокколи: как вкус защищает от бактерий и ядов
2025-08-05 в 12:05, admin, рубрики: вкусовые рецепторы, клиника, стоматологияВкус — это на самом деле не совсем вкус. У меня нередко бывают пациенты, которые жалуются на то, что еда стала какой-то не такой, но при этом именно с хемосенсорикой у них всё в порядке. При тщательном осмотре бывает, что приходится отправлять их к коллегам-оториноларингологам из-за аносмии и нарушения обоняния, а иногда в процессе обследования обнаруживаются проблемы с тройничным нервом.
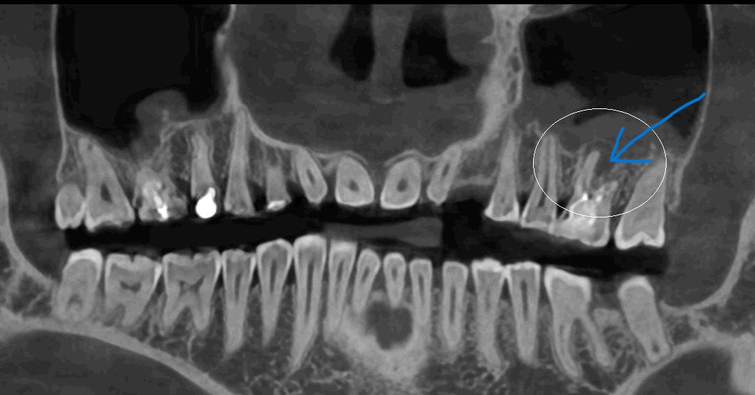
Чёрные очаги в кости вокруг зубов
2025-01-14 в 7:00, admin, рубрики: воспаление, зубы, клиника, профилактика, стоматология, хронический периодонтит
На снимке врач видит примерно такую картинку: чёрное облачко вокруг корня — это и есть периодонтит
Хронический апикальный периодонтит редко кто приходит лечить специально. Чаще всего его обнаруживают случайно: стоматолог делает рентген, а там — чёрное облачко вокруг корня зуба. Вот так он и выглядит.
Кстати, это реальный повод не пропускать профилактические осмотры. Чем раньше врач заметит такую штуку, тем проще её решить, пока это не стало серьёзной проблемой.
По ОМС такой зуб скорее всего удалят, но не потому, что врачи плохие. Просто, чтобы перелечить уже пролеченные каналы и оставить зуб на месте, нужна современная техника, те же микроскопы и увеличительная техника, а в государственных клиниках это нечастая история. Поэтому, как правило, предложат удаление. Хотя есть шансы зуб сохранить. Но и в клиниках подороже далеко не каждый терапевт возьмётся за такую работу — она тонкая и сложная.
В общем, профилактика рулит. Каждую пломбу важно периодически проверять. Зубы без нервов — особенно тщательно и на рентгене. Тогда дело до обострения не дойдёт и свои зубы останутся в челюсти дольше.Читать полностью »
Конфеты врачам — это форма коррупции?
2024-12-12 в 7:00, admin, рубрики: биоэтика, клиника, подарки врачам, стоматология, этика в медицине
Возможно, вы знаете, что врачам-женщинам как-то традиционно принято дарить конфеты, а урологам и хирургам (обычно мужчинам) — коньяк. Но как конкретно работает эта система, какой там этикет, нужно ли приносить подарок до, после или во время лечения — непонятно.
Я бы хотел разобрать эту практику в российской системе здравоохранения. Сегодня будет не про технологии в медицине, а больше про управление и этику.
Система с конфетами врачам появилась в СССР, когда в бесплатной медицине можно было получить какой-то дефицитный ресурс, которого на всех не хватало. Например, чешский расходник вместо омского или что-то ещё, что поставлялось в ограниченном количестве.
Почему именно конфеты и алкоголь, я не знаю, эта традиция появилась ещё задолго до моего рождения. Но в начале 90-х я застал ситуацию, когда врачи (с зарплатами обычных бюджетников) организовали на первом этаже поликлиники лавку с конфетами. Пациенты приносили им подарки, они выставляли их в лавку по принципу комиссионки, пациенты покупали там конфеты и дарили врачам. Коробка с хорошим соотношением яркости к цене могла сделать до 20–30 кругов. Так они конвертировали подарки в деньги, потому что сделать что-то с таким количеством конфет было невозможно. Читать полностью »
Почему не работает профилактическая медицина
2024-11-07 в 7:01, admin, рубрики: здравоохранение, клиника, медицина, проактивный подход, профилактика, стоматология
Когда речь идёт про станок, автомобиль или другой механизм, там очень понятно, почему нужны профилактика и регулярные проверки работы. Ремонтировать до того, как всё внутри разнесёт при аварии, обычно как-то проще и дешевле, чем потом.
С людьми это не работает. Чтобы прийти к такому подходу про человеческое здоровье, надо поменять сложившийся веками и тысячелетиями принцип: человек не идёт к врачу, пока он здоров. Он обращает внимание на здоровье, только когда симптомы начинают мешать ему жить привычной жизнью.
В принципе нигде в мире, где эта история добровольная, а не по повесткам, как в Японии, не было и нет массовой системы профилактической медицины. Все системы здравоохранения, даже в самых богатых и развитых странах, работают по реактивному принципу. В 90 % случаев мы начинаем действовать, когда уже есть яркая симптоматика.
Да, в Советском Союзе практиковались регулярные профосмотры для всех работающих. Есть и сегодня отголоски и в туботрядах Крайнего Севера: там тяжело добраться до больницы, поэтому летом по сёлам летает вертолёт с врачами, рентгеновской установкой, аппаратом УЗИ и полевой биохимической лабораторией. Но в целом как система профилактики это не работает, потому что при административном принуждении зачастую цель визита сводится к тому, чтобы просто поставить галочку напротив фамилии, а не выявить проблемы.
Повторюсь: исторически так сложилось почти во всех странах, хотя это просто неэффективно.
И вот пару лет назад мы вдруг начали наблюдать первые проблески того, что профилактика для людей начинает работать. И очень удивились. Читать полностью »



