Превед! Медведь – самый обычный представитель млекопитающих, но в его эволюционной истории скрыты два радикальных отклонения от стандартной схемы роста и адаптации. Впервые учёные выяснили, когда и как древние медведи хакнули эволюцию и вторгались в суверенитет природы. И сделано это было из жесткой необходимости.
Рубрика «зубы»
Биохакеры от природы. Как медведи дважды нарушили базовое правило эволюции
2025-12-03 в 20:02, admin, рубрики: адаптация, археология, зубы, медведи, моляры, строение челюсти, травоядные, хищники, челюсть, эволюцияСамое дорогое удаление зубов мудрости
2025-08-21 в 7:00, admin, рубрики: зубы, клиника, стоматология, челюсть, экструзияНовый тип вакцинации. Зубная нить вместо иглы
2025-08-09 в 20:00, admin, рубрики: вакцинация, вакцины, вид вакцинации, виды иммунитета, десна, доставка действующих веществ, доставка лекарств, зубы, иммунитет, тип вакцинацииВ недавнем эксперименте, который больше похож на научную фантастику, чем на урок естествознания, исследователи успешно разработали новую вакцинную платформу. В её основе обычная зубная нить с крошечными растворимыми микроиглами. Исследование, опубликованное в журнале Nature Biomedical Engineering переосмысляет роль привычных инструментов для создания адаптивных и доступных вакцин.
Чёрные очаги в кости вокруг зубов
2025-01-14 в 7:00, admin, рубрики: воспаление, зубы, клиника, профилактика, стоматология, хронический периодонтит
На снимке врач видит примерно такую картинку: чёрное облачко вокруг корня — это и есть периодонтит
Хронический апикальный периодонтит редко кто приходит лечить специально. Чаще всего его обнаруживают случайно: стоматолог делает рентген, а там — чёрное облачко вокруг корня зуба. Вот так он и выглядит.
Кстати, это реальный повод не пропускать профилактические осмотры. Чем раньше врач заметит такую штуку, тем проще её решить, пока это не стало серьёзной проблемой.
По ОМС такой зуб скорее всего удалят, но не потому, что врачи плохие. Просто, чтобы перелечить уже пролеченные каналы и оставить зуб на месте, нужна современная техника, те же микроскопы и увеличительная техника, а в государственных клиниках это нечастая история. Поэтому, как правило, предложат удаление. Хотя есть шансы зуб сохранить. Но и в клиниках подороже далеко не каждый терапевт возьмётся за такую работу — она тонкая и сложная.
В общем, профилактика рулит. Каждую пломбу важно периодически проверять. Зубы без нервов — особенно тщательно и на рентгене. Тогда дело до обострения не дойдёт и свои зубы останутся в челюсти дольше.Читать полностью »
Зуб комодского дракона
2024-11-03 в 9:00, admin, рубрики: python, визуализация, драконы, зубы, моделированиеОпасно ли скрипеть зубами во сне или к чему приводит бруксизм?
2024-09-19 в 7:03, admin, рубрики: бруксизм, зубы, ортодонтия, стоматологияЧто статья о зубах делает на Хабре? Покажите мне хоть одного человека, который активно строит карьеру или занимается бизнесом, у кого в жизни не было бы стресса. А стресс — это один из главных триггеров бруксизма. Что делать, если заметили у себя привычку скрипеть зубами, и что будет, если это не лечить (спойлер: «50 лет — зубов нет»), – читайте в этой статье.
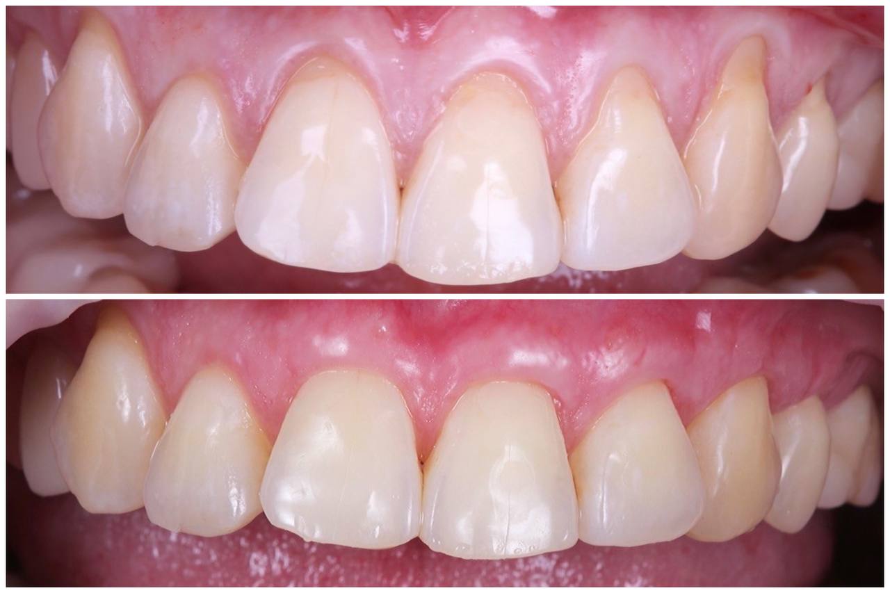
Что было бы с улыбкой Фредди Меркьюри, если бы он обратился к ортодонту
2024-08-06 в 7:00, admin, рубрики: здоровье, зубы, клиника, полиодонтия, прикус, стоматология, челюсть
То есть, даже если по какой-то причине эстетика не волнует человека, то скученность зубов функционально мешает гигиене и сокращает срок их жизни, а нижние зубы постоянно бьются о верхние и вывихивают их ещё сильнее.
Впрочем, девушку, которая пришла ко мне в ноябре 2020 года, когда я ещё работала в другой клинике, больше всего волновала как раз-таки именно эстетика: с такими зубами она стеснялась открывать рот и не могла сомкнуть губы. Главный её запрос звучал так: «Светлана, сделайте мне, пожалуйста, красиво!»
Ну что ж, я сделала. Стоило это около 600 тысяч, лечение заняло чуть меньше трёх лет. Но результат того стоил!
Внимание! Под катом есть фотографии и изображения, которые могут напугать читателей, не переносящих вид крови и прочих медицинских манипуляций. Это работа врача.
Лечить зубы — так же страшно, как покупать квартиру
2024-06-18 в 11:01, admin, рубрики: здоровье, зубы, клиника, лечение, пациент, стоматологияТо есть зубы оказались в той же группе решений, что выбор спутника жизни, смена работы, покупка квартиры и так далее!
Хабр оказался очень хорошим местом для сбора такого рода научных данных по трём причинам:
- Вы очень стремитесь помочь, и желающих пришло сильно больше, чем мы планировали, некоторым даже пришлось отказать.
- Аудитория почти вся мужская. Дентофобия намного более характерна для мужчин, чем для женщин. Из наших соцсетей и других площадок чаще приходили женщины. С Хабра не пришла ни одна, только мужчины.
- Сами интервью проходят очень чётко, вы очень детализированно и точно отвечаете.
Большое спасибо за это.
Сразу уточню, что это качественное исследование, а не количественное. Мы искали закономерности и выделяли образ действий, чтобы дальше построить гипотезы и провести уже количественные эксперименты.
Вторая особенность — у нас нет сырых данных, кроме заметок в блокноте, потому что все интервью проходили без записи и анонимно, это было основное условие участия для многих.
Теперь давайте перейдём к самим выводам. Читать полностью »
Пациент с Хабра, который проспал всё лечение: минус 2,7 миллиона, но полгода жизни экономии
2024-06-06 в 11:00, admin, рубрики: здоровье, зубы, клиника, лечение, пациент, стоматологияСергей, технический директор ИТ-компании, пришёл к нам с весьма характерной историей и классической картиной «рта айтишника». У него были абсцесс, стёртые жевательные зубы, сильный запах изо рта и стоматофобия. Но больше, чем стоматологов, он боялся бросить лечение на середине пути, как уже бывало в прошлом.
А дальше он потерял сознание и 2,7 миллиона рублей. Но зато когда очнулся — перестал резать язык о зубы и стесняться разговаривать с людьми.

Собственно, даже на рентгене видно, что наши коллеги когда-то давно лечили Сергея не очень хорошо
Перед тем как решиться на лечение, Сергей долго читал наш блог на Хабре.
До «Белой Радуги» моё знакомство с карательной советско-российской стоматологией выглядело так: кругом — мышьяк, и в борьбе с пульпитом убивались все зубы, до которых можно было дотянуться. После этой «бережной» процедуры оставшиеся без нервов зубы методично разрушались и крошились, пока вместо жевательных зубов не оставались только острые обломки, о которые я постоянно резал язык. Правда, надо отметить: мой «фасад» до упора выглядел довольно неплохо, и после лечения улыбка внешне почти не изменилась. Но если я улыбался слишком уж широко, то в одном месте было видно золотую коронку, а в другом — большой провал. Жевательных зубов у меня почти не осталось. К тому же, честно говоря, с гигиеной всё было отвратительно, и изо рта у меня сильно пахло. Усугублял положение тот факт, что в последние 18 лет я много курил, и это тоже не добавляло дыханию свежести.
Изначальный запрос выглядел так: «Нет сил это терпеть, снесите мне все зубы и сделайте вставную челюсть». Сразу скажем, что получил он совсем не это.
Ниже будет история о том, как это лечение выглядело со стороны: рассказывает сам Сергей и я, его курирующий врач-ортопед Артём Абакумов.Читать полностью »


