
То есть, даже если по какой-то причине эстетика не волнует человека, то скученность зубов функционально мешает гигиене и сокращает срок их жизни, а нижние зубы постоянно бьются о верхние и вывихивают их ещё сильнее.
Впрочем, девушку, которая пришла ко мне в ноябре 2020 года, когда я ещё работала в другой клинике, больше всего волновала как раз-таки именно эстетика: с такими зубами она стеснялась открывать рот и не могла сомкнуть губы. Главный её запрос звучал так: «Светлана, сделайте мне, пожалуйста, красиво!»
Ну что ж, я сделала. Стоило это около 600 тысяч, лечение заняло чуть меньше трёх лет. Но результат того стоил!
Внимание! Под катом есть фотографии и изображения, которые могут напугать читателей, не переносящих вид крови и прочих медицинских манипуляций. Это работа врача.

Если что, это не Фредди, а моя пациентка. Но у Фредди было что-то очень похожее.
Проблем у девушки был целый букет, причём немаленький:
1. Протрузия — то есть выпирающие вперёд передние зубы. С точки зрения врача, ей это должно было очень сильно мешать жить, т. к. при таком смыкании некоторые естественные движения челюсти просто невозможны, но девушка к таким зубам привыкла и о таких движениях просто не знала. В силу возраста у неё просто не успели заболеть ни сустав, ни мышцы: пациентке было всего 22 года.
Сильная скученность мешала нормальной гигиене, а образованию кариеса и разрушению зубов, наоборот, способствовала со страшной силой.

2. Хороший такой «задел» на пародонтологические проблемы. В норме пародонт должен уметь выдерживать многое. Но в подобных случаях из-за того, что избыточно наклонённые зубы плохо смыкаются друг с другом, нагрузка на них, когда человек жуёт или даже просто держит рот закрытым, распределяется неправильно. Нижние зубы бьют по верхним и вывихивают их ещё сильнее. Какое-то время это может не беспокоить, но в отдалённом будущем приведёт к тому, что зубы потеряют стабильность и станут подвижными. Следом потянутся рецессия, убыль костной ткани, проблемы с десной и т. д.
3. Макродентия — то есть непропорционально крупные зубы. Если посчитать соотношение между верхними и нижними зубами, то имеются определённые пропорции, которые говорят о том, что во рту всё правильно и гармонично. У девушки было негармонично: два верхних резца очень сильно превалировали над нижними зубами, клыки и латеральные резцы были тоже слишком крупными.
4. Молочный зуб, который оставался в нижнем ряду. Так бывает, если природа «забыла» заложить человеку зачаток постоянного зуба. Выталкивать молочный зуб и рассасывать корни некому, поэтому он просто не выпадает. А анатомически так задумано, что пятый молочный зуб довольно большой, он занимает примерно десять миллиметров, а постоянный — около семи. Постоянные зубы — стандартного размера, и когда верх с низом смыкаются, они встают чётко в шахматном порядке, как пазлики. Если во рту остался молочный, то он больше размером, чем постоянный, и смещает за собой все последующие зубы. Поэтому, даже если все остальные зубы — обычные, а один — молочный, он всё равно не даст нормально сомкнуться остальным зубам.
5. Несмыкание губ, которое в результате опосредованно приводит к сухости в полости рта и неприятному запаху, потому что, когда рот не закрывается нормально, очень часто человек как раз им и дышит.

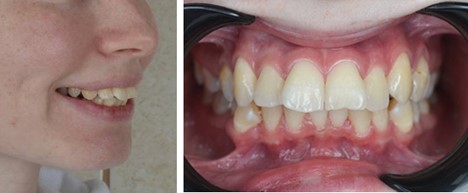
В общем, выглядело всё это вот так
Начинаем всегда с диагностики
Она была совершенно обычной. Единственный нестандартный момент был в том, что диагностика ортодонтических пациентов обычно включает в себя КТ двух челюстей с захватом сустава. Если мы видим при этом хоть малейший намёк на проблему в суставе, то отправляем пациента на уточняющую МРТ. Так вот, тут мы обошлись без неё, потому что абсолютно никаких жалоб на сустав у этой девушки не было.
Затем нужно смоделировать зубы. Сейчас в «Белой Радуге» мы делаем сканирование и получаем электронную цифровую модель. А в той клинике, где я тогда работала, вместо сканирования делают слепки, изготавливают гипсовые модели и уже по ним рассчитывают всё необходимое. В принципе я сама больше люблю работать на компьютере, но если нужно всего лишь посчитать размеры, то там функционально неважно, как это делать — по гипсу или по цифре.
А КТ — это классная штука, которую потом изучают все, кто будет задействован в лечении, только каждый будет смотреть что-то своё: ортодонт — прикус, а терапевт — кисты, кариозные процессы и проблемные каналы.
Удалять или оттягивать?
Ортодонты разных школ до хрипоты спорят, что делать с сильной скученностью зубов. Одни ратуют за удаление и комфортное распределение оставшихся по зубному ряду. Другие же топят за дистализацию, то есть оттягивание зубов назад.
В случае дистализации, если скученность сильная, где-нибудь на верхней челюсти ставят мини-винты или мини-пластины и, опираясь на них, тянут зубной ряд назад, в сторону затылка, чтобы передние зубы расправились и встали ровно. То есть, чтобы передние зубы распределились и встали ровно, один твёрдый объект (зуб) должен переместиться назад внутри другого твёрдого предмета — кости. По идее, с той стороны, куда тянут, кость потихоньку рассасывается, а там, откуда тянут, — достраивается. Многие врачи считают, что корпусно оттянуть зубы назад больше чем на три миллиметра в принципе очень тяжело. Тем более что сделать это активно мешают связки.
У зубов очень мощный связочный аппарат: их целых семь видов, они огибают каждый зуб и удерживают его на месте.

Волокон не просто много, а очень много
Поэтому существует довольно немаленькая вероятность того, что после окончания лечения эти связки притянут зубы обратно практически на то же самое место.
Чтобы этого не случилось, можно убрать по одному зубу в каждом сегменте (как правило, четвёртые или пятые) и потянуть назад не весь ряд, а только передние зубы. Тогда они потихоньку расправляются и заполняют «дыры». При этом сохраняется функциональность. Многие врачи-ортодонты считают этот метод устаревшим и пророчат суставу большие проблемы. Впрочем, другие ортодонты говорят, что с суставом ничего не случится, а результат получается намного стабильнее.
Приверженцы обоих методов сломали немало копий в спорах о том, как лечить лучше, но вся фишка в том, что это очень философский вопрос. Лечить можно и так, и так, просто для каждого конкретного пациента нужно выбирать то, что будет логичнее по его конкретным аномалиям.
Аномалии бывают разных типов:
- На уровне зубов — зубоальвеолярные, когда какой-то зуб куда-то повёрнут.
- Скелетные аномалии, связанные с челюстями (окклюзии). Они могут быть разных типов по размерам (макро- и микрогнотия) или по положению челюсти (ретро- и антопозиция), то есть когда нижняя челюсть находится позади или, наоборот, спереди.
У девушки был второй вариант: мы обсуждали этот вопрос с коллегами и пришли к общему выводу, что у неё присутствует определённое недоразвитие лицевого скелета.
Если бы пациентку беспокоили суставы или если бы она изначально хотела «профиль, как у Джоли» с пухлыми губами, то, возможно, мы позвали бы челюстно-лицевого хирурга, чтобы после выравнивания зубов на брекетах он отпилил челюсти от черепа и подвинул их вперёд. За ними автоматически подвинулась бы губа, поменялась анатомия лица и вместе с ней — мягкие ткани. Этот вариант имел право на жизнь, т. к. и в случае удаления, и в случае дистализации кость в отдалённом периоде убывает, а при хирургии (комбинированном лечении) этой ретракции не происходит.
Но от профиля Джоли пациентка решительно отказалась (забегая вперёд, скажу, что после лечения губы несколько потеряли в объёме, но её это нисколько не портит). А дальше остались, по сути, два варианта одного плана, и между ними выбирала уже я, потому что именно врач отвечает за конечный результат.
Я взвесила все «за» и «против» и пришла к выводу, что при такой скученности и таких крупных передних зубах обойтись без удаления будет очень и очень сложно. И до сих пор считаю, что качественную дистализацию мы не смогли бы тут сделать, потому что невозможно впихнуть в пределы костной ткани абсолютно невпихуемое.
Было решено зубы удалять.
Два месяца подготовки и минус восемь зубов
Дальше нужно было подготовить к лечению полость рта. То есть провести профгигиену, а затем вылечить все зубы, кроме тех, которые мы приговорили к удалению. Иногда, конечно, случаются истории, когда кариес не лечат, пока зуб не развернётся к терапевту нужным боком, чтобы удалить поменьше здоровых тканей, но вообще-то так делают достаточно редко. А совсем не лечить зубы перед установкой брекетов нельзя. Если где-нибудь спрятались кисты или проблемные каналы, то ортодонтия их все триггернёт, и неприятности посыплются с удвоенной скоростью.
Затем ей удалили восемь зубов. Звучит страшно, конечно, но из них четыре были зубами мудрости, один — молочный, а ещё один был сильно разрушен. Ну и по одному премоляру наверху справа и слева.
Обычно при методе лечения, который я выбрала, удаляют четыре зуба. Как правило, это премоляры, то есть четвёрки или пятёрки. Смысл в том, что если удалять четвёртый зуб, то тянуть назад нужно будет только первый, второй и третий. Чем меньше зубов мы тянем, тем легче нам это сделать. Но тут мы пошли немного нестандартно. Снизу мы удалили две пятёрки, одна из которых была молочной, а сверху — пятёрку и шестёрку, чем немного усложнили себе задачу. Но шестёрка была очень сильно разрушена. Можно было бы её спасти, но для этого пришлось бы проходить каналы, удалять нервы и ставить коронку. Имея в наличии такой зуб, удалять стоящий рядом здоровый, и даже без кариеса, было бы кощунством.
Два с половиной года в брекетах
Лечение было долгим.
Первый этап
Сначала нужно было «нивелировать» зубы, то есть хоть как-то их выровнять и расположить на зубной дуге. Для этого мы поставили девушке брекеты и отпустили погулять с ними на полтора месяца. Так начался долгий этап «нивелирования», который продлился месяцев девять и плавно шёл параллельно со вторым этапом дистализации.
Второй этап
Когда она вернулась, мы вкрутили мини-винты для усиления анкоража, то есть опоры, а ещё через полгода установили над дугой специальные довольно высокие зажимные крючки, похожие на хуки. Мини-винт выступает тут в роли якоря, к которому мы изо всех сил с помощью специальной цепочки тянем крючок. Это нужно, чтобы боковые зубы оставить на месте, а передние — подвинуть. Сейчас поясню.
Ортодонтия — это стопроцентная геометрия. Всё движение зубов во рту можно условно разложить на фигуры: треугольники, трапеции, прямоугольники, после чего расставить векторы силы, которые пойдут по биссектрисам углов.

Так вот. Когда мы лечим зубы с удалением, нам нужно сделать так, чтобы задние боковые зубы остались на месте, а передние подвинулись назад. Если мы будем опираться зубы-на-зубы какой-нибудь закрывающей цепочкой от задних зубов к передним, то они начнут притягиваться друг к другу, чего нам вообще не нужно. Поэтому приходится крутить мини-винты.
В стоматологии есть такое понятие, как «центр вращения зубного ряда». Если посмотреть на челюсть сбоку, то зубы находятся на одной линии, а центр вращения — чуть выше неё, где-то между четвёртым и пятым зубами в районе верхней трети корней.

Примерно вот тут — в точке R
Чтобы не раскрывать и не углублять прикус, нам нужно получить корпусное перемещение строго назад без каких бы то ни было побочных эффектов по высоте. На уровне зуба мини-винт поставить не выйдет: там просто нет кости, так что вкручивать его придётся в районе десны. Но если прицепиться за него к дуге, то прикус будет углубляться, нижние передние зубы будут пытаться перекрыть верхние, и получится какой-то инфернальный ужас, а не ортодонтия. Так вот, чтобы зубной ряд ехал строго туда, куда нужно, мы и цепляем эти крючки. Цепочки, которые соединяют их с винтами, идут практически параллельно дуге, и зубной ряд спокойненько едет назад, как мы и хотели.

Фото тяги к микроимпланту. Зажимные крючки кажутся просто гигантскими, конечно.
Крючки бывают разной длины. На самой брекет-системе они поменьше, а зажимные на дугу — побольше. Длину всегда выбирает врач для каждой конкретной клинической ситуации. Я взяла вообще самые длинные, какие были.
Винты вкручиваются месяце на втором, а крючки подключаются намного позже — на шестой–восьмой месяц лечения, потому что ставить их можно только на жёсткие дуги.
Дело в том, что дуги на брекетах мы постоянно меняем. Сначала это маленький круг, потом — большой, потом — квадрат, потом — прямоугольник. А потом мы остаёмся на прямоугольном сечении, но увеличиваем размер дуги, чтобы она занимала в пазу брекета больше места и осуществляла большую жёсткость. Ещё и сплав меняется. Мы начинаем работать на нитиноле — никель-титановом сплаве, очень податливом, с высокой степенью упругой деформации и памятью формы. Первые дуги — вообще как волосинки: мягкие и тонкие. Потом берём титаново-молибденовый сплав (он же — ТМА-дуга). Если нужно что-то мегажёсткое, то на помощь приходит нержавеющая сталь Stainless Steel, она же — SS, которая вообще не обладает упругой деформацией, зато хорошо скользит и держит форму.

Если схематично, то дуги выглядят вот так...

… а вживую — вот так
Так вот, крюки можно поставить только на дуги, которые хорошо контролируют положение зуба и его перемещение. Либо это последние стадии нитиноловых дуг, либо ТМА, либо сталь (вот её-то я, кстати, девушке и поставила). Раньше чем через полгода переходить на такие дуги нельзя.
Во время этих первых двух этапов лечения шёл ещё один очень важный процесс — закрытие постэкстракционных промежутков, то есть дыр, которые остались в зубном ряду после удаления. Зубы были большие, и образовались промежутки по семь–десять миллиметров. Быстро их убрать было просто невозможно, так что на это ушло около года. Я следила за тем, как они закрываются, и высчитывала, какой зуб и куда нужно подвинуть: задние вперёд или передние назад. Этот процесс называется «нормализация контактов».
Второй этап лечения был очень длинным и закончился, только когда все зубы уже стояли ровно и хорошо смыкались между собой, прикус стал нормальным, а щели закрылись. Частенько в этот момент у пациентов возникает острое желание расстаться с брекетами и ортодонтом навсегда, но злые стоматологи откладывают этот момент ещё на полгода, потому что дальше начинается третий этап.
Третий этап
Тут главная задача ортодонта — побыть немножко эдаким душнилой и дотошно докопаться до всех мелких деталей: какая и где образовалась ступенька между зубами, какой зуб некрасиво наклонился внутрь, а какой нужно ещё немного куда-то подвинуть. Всё это связано именно со стабильностью результата, чтобы через месяц после снятия брекетов человек не прибежал в слезах жаловаться, что все зубы уехали в какие-то дали.
На этом же этапе я подпиливала девушке зубы специальной штрипсой — металлической полоской, которая с одной стороны гладкая, а с другой покрыта алмазной крошкой. Это нужно было сделать, чтобы уменьшить объём самых крупных зубов и немножко приформировать их вручную. А выглядит это так: девушка приходит, я смотрю на её зубы и вижу, допустим, что они не очень хорошо умещаются или, например, между ними есть какая-то щель по десне, и это связано с формой зуба. Тогда я его немного подпиливаю и отпускаю пациентку. В следующий раз она приходит, и я проверяю, всё ли хорошо. Если не всё, то ещё немного подпиливаю. Это не больно и не ведёт к увеличению чувствительности: мы просто немного убираем эмаль по краям, а потом используем реминерализующие средства. Это такая маленькая рутинная манипуляция, которая занимает несколько раз по три минуты, но это необходимый этап, чтобы довести результат до идеала при несоответствии размера зубов. Делается это как раз на этом этапе, когда все зубы ровные и мы можем оценить, сколько именно миллиметров нам не хватает до полного шоколада.
Пациент видит себя только спереди. А спереди у него уже ровные зубы, и кажется, что всё отлично и мы достигли цели. Ортодонт же смотрит на всю картину в целом: как смыкаются зубы, как они стоят, какие у них наклон и поворот. Потому что даже если один-единственный зуб будет повёрнут вокруг своей оси на какие-то жалкие доли градуса, то всё равно это будет ступенька в зубном ряду. Она может совершенно не парить пациента, но ретейнер благодаря ей будет приклеен неровно. Значит, он будет длиннее на эту ступеньку. Значит, будет зафиксирован хуже. Значит, зуб может уехать и провернуться вокруг него. Вот поэтому ни в коем случае нельзя идти на поводу у пациентов и говорить покладисто: «Ну, раз тебе всё нравится, давай снимать, мне эта история тоже надоела». А на этапе лечения подобной «ловлей блох» заниматься бессмысленно, потому что зубы перемещаются очень активно и картинка постоянно меняется.
Методов детализации довольно много, но чаще всего мы просто немного переклеиваем брекеты: снимаем какой-нибудь один, поворачиваем его на доли градуса, снова вставляем в дугу, и зуб немного меняет своё положение. Второй метод — делать детализирующие изгибы на дуге. Тут мы отмечаем маркером расстояние дуги до конкретного зуба, вынимаем её и специальными «щипцами Твида» меняем изгиб, а потом ставим всё на место.

Вот такие щипцы Твида
А выглядит этот процесс вот так
Конкретно с этой девушкой мы сильнее всего упоролись с микрощелью спереди, которая упорно не хотела закрываться и как раз была связана с несоответствием размеров зубов.
Четвёртый этап
Ну а дальше мы ставим ретейнер: это тонкая проволочка, которая приклеивается на зубы с обратной стороны и совершенно не ощущается человеком. Его задача — просто удерживать полученное положение.
Тут мы возвращаемся к вопросу про огромное количество связок и умение зубов крутиться и рецидивировать. Природа придумала амортизацию на связках потому, что ей вообще не нужно, чтобы мы улыбались голливудскими улыбками. Ей нужно, чтобы зубы стояли стабильно, а мы могли жевать даже жёсткую пищу и не теряли их куски, откусив случайную косточку. Если зубы будут стоять идеально ровно и жёстко, то они будут ломаться, скалываться и трескаться при любой нештатной ситуации.

Ещё раз напомню про строение периодонта
Так вот, мы идём немножко против природы, когда ставим ретейнер и говорим: «Дорогая эволюция! Мы тут получили хороший результат и теперь хотим его удержать, так что извини и подвинься!»
По-хорошему, ретейнер должен стоять всю жизнь. В принципе снять-то его можно, но тогда снова появится лёгкая скученность. Совсем как было в начале зубы не уедут, конечно, но могут повернуться на пару градусов.
Ретейнеры обязательно нужно учитывать при чистке зубов: нитка между ними не пройдёт, конечно, но ирригаторы, ёршики и монопучки справляются с гигиеной нормально.
Главные сложности, впрочем, были связаны вовсе не со стоматологией
Моя пациентка была очень тревожной, дёрганой и очень переживала за результат. Например, снятие брекетов и установку ретейнера мы переносили целых три раза, потому что она приходила и жаловалась, что ей не нравится какой-нибудь очередной уголок.
А ещё мы боролись с микрощелью между передними зубами: из-за неё мы тоже переносили снятие брекетов, кстати. Изначально у девушки был совершенно экстремальный наклон зубов, который часто мешает закрывать такие щели. Девушка приходила и жаловалась, что ночью она сжимает зубы, а поутру видит в зеркале ненавистную щель. В течение дня она потихоньку закрывается, а поутру возвращается на место.
Чтобы её побороть, на последних этапах мы делали избирательное прошлифовывание — это такая методика в стоматологии, которая пришла к нам из ортопедии и пародонтологии, и все через неё стопудово проходили. Суть в том, что человеку дают постучать зубами по специальным копиркам разной толщины, чтобы посмотреть, где находятся точки суперконтактов, а потом эти точки убирают и подшлифовывают. Появляются они потому, что когда мы живём своей обычной жизнью и жуём пищу, зубы смыкаются и сами притирают друг друга в удобное положение. Ортодонтия — лечение длинное, но по сравнению с целой жизнью — не очень, и зубы самостоятельно друг под друга подстроиться не успевают, так что единственный выход — копирка. Но конкретно с этой девушкой мы подшлифовывали месяца три. Она приходила, стучала копиркой, я подтачивала контакты. Она уходила и проверяла, появляется ли щель по утрам. Возвращалась и стучала копиркой… И так — пока результат не стал по-настоящему стабильным.


Но в итоге всё получилось очень хорошо!
И напоследок
Даже если ваш случай выглядит довольно сложным, то мы в «Белой Радуге», где я теперь работаю, всё равно готовы за него взяться: всё поправимо и всё решаемо. Не всегда это будет быстро, но обязательно хорошо!
Ещё посты:
- Хирургические случаи: пост про то, как пациент терпел зубную боль до момента, когда ему пришлось резать горло в нескольких местах. Про пациента-проказника, выпавшего с третьего этажа и упавшего на лицо. Про пациента-спортсмена, неожиданно затормозившего в дерево.
- Для гиков: про то, как именно можно умереть от анестезии прямо на приёме терапевта. Как самостоятельно читать КТ. Про моего коллегу Андрея, хирурга senior+. Как мы переворачиваем платную медицину. Про Гусейна, его навигационные шаблоны и участие в разработке ПО для хирургов по всему миру. Как Гусейн разрабатывал матмодель и софт для хирургии по пересборке черепа.
- Инструкции: FAQ про пломбы. Что вам нужно знать про гигиену зубов. Как правильно бояться стоматолога. Что вам нужно знать про наркоз и седацию. Реплантация зубов: как правильно собирать свои зубы в пакетик. Что делать, когда вы нафаршированы зубами (про молочные зубы). Про зубы ваших пожилых родственников. Про типичные зубы ИТ-пациента. Коренные зубы — это атавизм, и почему их часто удаляют «на всякий случай». Как вылечить зубы на год вперёд перед долгой поездкой.
P.S. Если вы дойдёте до наших клиник, то говорите, что вы с Хабра, будет скидка 5%.
Автор: Гриднева Светлана
