Иногда удаление зуба мудрости — это немного анестезии и 10–15 минут времени на всё. Иногда это стоит 80 тысяч и занимает месяц.
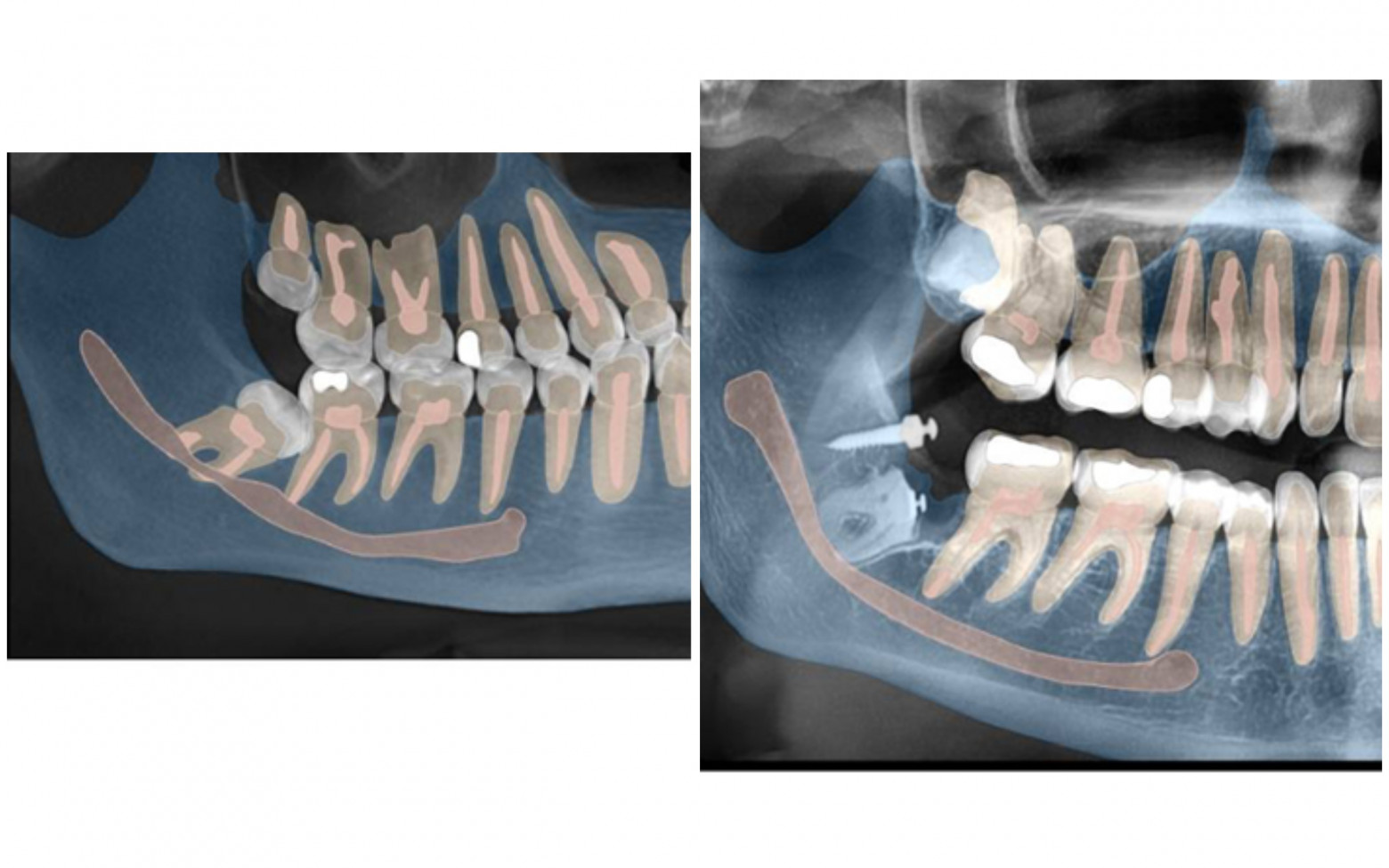
Так происходит, потому что обычное удаление подходит не всем и не всегда. Бывают счастливчики, у которых восьмёрка выросла в опасной близости от главного нижнечелюстного нерва. Если случайно задеть его, наступает временное или стойкое онемение губы, подбородка, зубов и щеки. Можно получить проблемы с дикцией, принятием пищи и пару месяцев походов к неврологу.
В таких ситуациях врачи рассматривают другой вариант — экструзию. Зуб вытягивают по миллиметру в неделю. Медленно, осторожно, без разрушения кости и без риска задеть нерв.
Как это работает — сейчас расскажу.
Как работает простое удаление
Обычно всё проходит так:
-
Обезболиваем область вокруг зуба.
-
Если зуб хорошо доступен, расположен нормально, берём щипцы и аккуратно расшатываем.
-
Вынимаем из лунки.
-
…
-
Готово, вы великолепны!
Если зуб растёт под углом и сидит под углом, то добавляются этапы «десну режем», «зуб пилим», «десну зашиваем» — это сложное удаление. После него, как правило, бывает отёк. Это нормальный и естественный этап восстановления: к микротравме усиливается приток крови и лимфы.
Экструзия делает процесс удаления зуба максимально щадящим и минимизирует риски осложнений. Можно, конечно, удалить зуб, выпилив для этого большой кусок челюсти. Но это серьёзная травма, которая выбьет вас из жизни на несколько месяцев. К тому же утраченный объём кости уже не вернётся. Экструзия работает ювелирно, сохраняя и кость, и нерв.
Как происходит экструзия
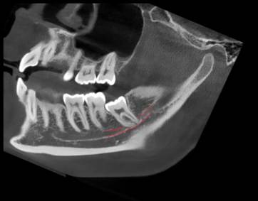
Перед любым лечением мы делаем КТ-снимок челюсти. Дальше в работу включается программа Diagnocat, которая превращает его в детализированную 3D-модель.
Так мы видим нервы, каналы, сложные изгибы челюсти, которые можно не заметить на обычном снимке. На экране можно буквально убрать нижнюю челюсть и посмотреть, как нерв проходит между корнями зуба или где он оказывается особенно близко к потенциально проблемному участку.

Для пациента такая 3D-картинка очень наглядна: вместо того чтобы разглядывать непонятные чёрные полоски на стандартном КТ, он видит полноценную визуализацию.
Если видим такую картину, например, сразу объясняем, что зуб находится в опасной близости к нерву и обычное удаление может быть рискованным.
Механика и этапы
Процесс занимает около четырёх недель. Всё происходит в два этапа: сначала устанавливаем систему вытягивания, потом удаляем зуб.
Первый этап — установка системы вытягивания
1. Доступ к зубу
Сначала врач делает небольшой надрез десны, чтобы добраться до зуба мудрости.
Это выглядит так

2. Убираем кость (кортикотомия)
Вокруг зуба осторожно убирают лишнюю кость. Дело в том, что зуб имеет так называемый экватор — самую широкую часть, которая часто окружена костью. Если эту кость не убрать, зуб просто упрётся в неё и не сможет двигаться.
А это вот так

3. Коррекция коронки (если нужно)
Если после кортикотомии зубу всё равно некуда двигаться, например, потому что растёт под углом или упирается в соседа, то спиливаем часть коронки.
Посмотреть можно тут

4. Установка мини-винта
Ставим винт в кость рядом с зубом. Это опора для вытягивания зуба.
Выглядит так

Размер винта подбирается по КТ-снимку. Мы используем корейские винты Bio-Ray. Для установки используются специальные отвёртки.


5. Крепление тяги
Ставим на зуб ортодонтическую кнопку с помощью адгезивной системы и пломбы. К ней крепим эластичную цепочку, которая соединяется с мини-винтом. Зашиваем надрез на десне.
Здесь наглядно видно

Второй этап — вытягивание и удаление зуба
После установки системы начинается основная работа — вытягивание зуба. Эластичная цепочка, соединённая с мини-винтом, создаёт постоянное натяжение. Зуб постепенно поднимается вверх, отдаляясь от нерва.
Параллельно растягиваются периодонтальные связки — те самые, что удерживают зуб в кости. В итоге зуб проще удалить, а ткани вокруг меньше повреждаются — значит, отёк меньше, боль слабее и заживает всё быстрее.
Спустя примерно четыре недели делается повторный КТ-снимок или другой рентген. Врач делает небольшой надрез, удаляет мини-винт, а затем — сам зуб.
До и после экструзии:


И ещё одно до и после:

А если зуб не сдвинулся?
Такое бывает редко, примерно в 1 из 5 случаев. Если зуб недостаточно подвинулся за месяц, врач делает крошечный надрез, чтобы показалась головка винта. Тягу переставляют на следующее звено цепочки, натяжение усиливается. Процесс продлевается ещё на две недели или месяц, но обычно перезапуск не требуется.
Важно понимать, что даже самый опытный хирург не гарантирует вам стопроцентное отсутствие онемения после обычного удаления, если зуб близко к нерву. А если оно всё-таки возникнет, лечить придётся витаминами и гормонами. Это дополнительное время, деньги и постоянный дискомфорт.
Именно поэтому экструзия так ценится: врач может с уверенностью сказать: «Я точно не задену нерв». Пациент — не сидеть несколько месяцев после удаления на обезболивающих с онемевшей губой.
Да, экструзия дороже. Но когда на кону чувствительность лица, то экономить на удалении зуба звучит сомнительно. В любом случае решает пациент, а задача врачей — рассказать про плюсы, минусы, подводные камни и что будет, если пойти по простому пути.
Автор: Alapan_HA
