
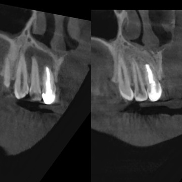
На снимке врач видит примерно такую картинку: чёрное облачко вокруг корня — это и есть периодонтит
Хронический апикальный периодонтит редко кто приходит лечить специально. Чаще всего его обнаруживают случайно: стоматолог делает рентген, а там — чёрное облачко вокруг корня зуба. Вот так он и выглядит.
Кстати, это реальный повод не пропускать профилактические осмотры. Чем раньше врач заметит такую штуку, тем проще её решить, пока это не стало серьёзной проблемой.
По ОМС такой зуб скорее всего удалят, но не потому, что врачи плохие. Просто, чтобы перелечить уже пролеченные каналы и оставить зуб на месте, нужна современная техника, те же микроскопы и увеличительная техника, а в государственных клиниках это нечастая история. Поэтому, как правило, предложат удаление. Хотя есть шансы зуб сохранить. Но и в клиниках подороже далеко не каждый терапевт возьмётся за такую работу — она тонкая и сложная.
В общем, профилактика рулит. Каждую пломбу важно периодически проверять. Зубы без нервов — особенно тщательно и на рентгене. Тогда дело до обострения не дойдёт и свои зубы останутся в челюсти дольше.
Почему это вообще надо лечить
«Если пациент об этом не знает, так, может, ничего страшного и не будет, если не лечить?» — в целом такой подход 2–3 года может сработать. Дальше начнутся проблемы.
А ещё начнётся вынужденное лечение, раз не было своевременного.
Если инфекция проникает внутрь зуба из-за непролеченного кариеса, возникает необходимость удаления инфицированного и воспалённого нерва. При этом микробы внутри зуба остаются навсегда. Насколько качественно будут продезинфицированы каналы, зависит от мастерства лечащего врача и оборудования клиники, в которой это всё происходит. Если во время лечения не соблюдены все необходимые меры, может произойти инфицирование каналов, что в дальнейшем приведёт к образованию очага инфекции в костной ткани.
То есть диагноз «хронический периодонтит» мы ставим каждый раз, когда депульпируем зуб. И это теперь навсегда.
Если всё сделано по протоколу лечения, риск возникновения периодонтита с разрушением кости минимален.
Разрушение костной ткани вокруг зуба связано с каскадом воспалительных реакций.
При ослаблении иммунитета и обострении возникает воспаление надкостницы, в худших случаях приводящее к абсцессам и флегмонам. И всё это сопровождается острой болью. Микроорганизмы вызывают воспаление в стенках сосудов по всему организму. На повреждённых сосудах в месте травматизации образуются холестериновые бляшки, и это может увеличить риск сердечно-сосудистой патологии.
В итоге, чтобы избежать обострения гнойного очага вдали от медпомощи, снизить нагрузку на сердечно-сосудистую систему и предотвратить разрушение костной ткани, лечить зуб нужно своевременно.
Почему свой зуб лучше
При выборе между имплантатом и своим зубом имплантат соразмерен по цене, но быть со своим зубом, родным органом – бесценно. Родной зуб — это ваш орган, а имплантат — инородное тело, которое призвано заменить утраченный, и имеет риск неприживления. Это особенно важно для пациентов пожилого возраста или с эндокринными заболеваниями, нарушениями обмена веществ и тех, кто принимает определённые лекарственные препараты. Во вторую очередь, потому что свой зуб сохраняет чувствительность. Есть прямая связь с нарушением сенсорики зубов и повышением риска Альцгеймера. Про мелочи вроде того, что так точнее контролируется износ других зубов рядом (потому что организм получает больше информации из ротовой полости), на фоне старого немца уже можно не обсуждать. Вот два исследования.
Периодонтит периодонтиту — рознь
Периодонт — это соединительная ткань, которая находится между корнем зуба и костью челюсти. То есть, с одной стороны, он удерживает зуб в лунке, а с другой — распределяет жевательную нагрузку. Мы благодарны ему за то, что зубы не разрушаются каждый раз, когда мы пытаемся откусить кусочек сухарика или шашлыка.
При хроническом периодонтите ничего не беспокоит.
Обострение, как правило, связано с факторами, которые ослабляют организм: снижение иммунитета, переохлаждение, стрессы, а также активизация других хронических заболеваний. Всё это создаёт благоприятные условия для активации инфекции в тканях вокруг зуба и усиливает воспалительный процесс.

Не будем углубляться в особенности разных клинических картин — для пациентов они мало чем отличаются
При обострении хронического апикального периодонтита есть довольно понятные симптомы:
- Ноет конкретный зуб, к нему больно прикасаться.
- Появляется ощущение, будто он вырос на несколько миллиметров — то есть челюсть смыкается в первую очередь на него и только потом на все остальные. Это происходит из-за отёка окружающих тканей, которые его действительно немного подталкивают вверх.
- Отёк окружающих тканей и асимметрия лица. Если это не лечить, можно оказаться на операционном столе у хирурга. В худшем случае всё закончится отёком, асимметрией лица и флюсом, которые пытался имитировать хитрый студент с микрофоном из фильма про Шурика, — то есть периоститом или гнойным периодонтитом, который возникает, когда гной попадает уже совсем глубоко, под надкостницу.

Кадр из фильма «Операция „Ы“ и другие приключения Шурика»
- Ещё один возможный симптом — может появиться свищ. Штука это неприятная, но полезная, потому что свищ не даёт гною накапливаться и немного «стравливает» его из очага инфекции в окружающую среду. То, что дренируется, обостриться не может, так что свищ — это настоящее спасение. Чаще всего он вылезает на десне, через несколько дней самостоятельно проходит и в принципе особенно не беспокоит. Плохая новость — свищ может появиться на лице.

Знакомьтесь — свищ
При этом состояние и история зуба могут быть разными. Пломба может отвалиться, а может и устоять. Зуб может шататься, а может стоять крепко. Каналы могут быть полностью пролечены, а могут быть — не до конца. Может ещё случиться так, что каналы никто не лечил, а пульпа зуба тихо и незаметно погибла и перестала защищать зуб от инфекции.
Как работает воспаление
Человек — это такая замкнутая система, у которой со всех сторон есть естественные барьеры, и они изо всех сил стараются не пускать внутрь никакую инфекцию. Пульпа зуба — важная часть этого защитного барьера. Она на самом деле очень крутой иммунный орган, и, если её удалить, открываются такие ворота для бактерий, которые потом будет очень тяжело качественно закрыть.

Тут, наверное, стоит напомнить, как устроен зуб
Когда инфекция попадает в организм — в любом месте, будь то ссадина на коленке или депульпированный зуб, по всем каналам разносится сигнал: «SOS! Опасность! Микробы наступают!» И специальные клетки крови, в том числе нейтрофилы, «сбегаются» отовсюду, чтобы уничтожить заразу, которая пытается попасть в кровеносное русло и костную ткань. Если инфекцию не убрать и ранку не промыть, то появится гнойник — скопление погибших в неравной борьбе нейтрофилов, отмерших клеток, погибших микробов. Чем больше инфекции, тем больше специальных клеток иммунитета приходит в очаг для борьбы с инфекцией и растворяет не только микробы, но, к сожалению, и костную ткань. Разрушенный очаг этой костной ткани мы и видим на рентгене. То есть это не микроб приходит пожирать кость, её уничтожают наши собственные клетки, пусть и невольно. Если где-то возникает очаг, это значит, что идёт серьёзная борьба, в которой мы пока проигрываем.
Есть три способа попрощаться с периодонтитом
Самый радикальный из них — удалить зуб. Нет зуба, нет проблемы. Ранка затянется, и всё будет хорошо. Наличие периодонтита — это одно из первейших показаний к удалению зуба, и если вы с таким зубом придёте по ОМС в рядовую клинику, вероятность, что зуб вам удалят, очень велика.
Второй способ — перелечить каналы. Мы убираем инфицированную пломбу, проводим медикаментозную обработку, закрываем новой пломбой герметично. Делаем через полгода-год контрольный снимок и видим исчезновение очага. Тогда лечение считается успешно проведённым. Есть нюанс. Вероятность успеха — всего 75%. То есть каждому четвёртому пациенту это не поможет. Во-первых, эндодонтическое лечение в большой степени зависит от организма, иммунитета, анатомии зуба и его тёмного прошлого. Если иммунитет у пациента и так невелик, да ещё и лечение заведомо не очень квалифицированное, то участь его практически предрешена. Вторая сложность в том, что у корневых каналов непростая анатомия и качественно сделать эндодонтическое лечение можно только под микроскопом. Мы можем вылечить только то, что можем увидеть. А в большинстве клиник микроскоп для лечения каналов не используется, так что и качество получается соответствующее. Даже на рентгене всё может выглядеть совсем неплохо, но вероятность того, что потом обнаружатся сюрпризы из серии «доктор нашёл только три канала из четырёх», тоже довольно немаленькая. Первые десять лет своей практики я работала без увеличения, а вторые десять — исключительно с ним. Так что я очень хорошо понимаю, в чём тут разница.
Хорошая новость в том, что чем хуже были условия, в которых человека лечили, тем выше шанс на успешное перелечивание и лучше прогнозы. То есть, если его изначально лечили хорошие специалисты, с коффердамом и под микроскопом, улучшить дезинфекцию каналов будет сложно. Но если изначально зуб изолировали ватными тампончиками без коффердама и лечили каналы без увеличения, вероятность, что в него попала инфекция, значительно выше. Но зато и перелечивание под микроскопом будет очень эффективным, потому что поможет домыть недомытое и перекрыть доступ для слюны и бактерий за счёт применения коффердама. К тому же под микроскопом я могу увидеть канал, пропущенный предыдущим врачом, у которого микроскопа не было (даже если это был очень хороший врач).
Третий способ применяется, когда добраться до воспалённого корня с привычной стороны просто невозможно. Например, если ранее разрушенный зуб восстанавливали железной культевой вкладкой, которую ставят на цемент, и делают это очень прочно. Её удаление может быть затруднительным (а иногда и невозможным), а риск потери зуба при попытке извлечения вкладки — высоким.
На этот случай у нас есть вариант лечения, который называется «резекция верхушки корня». Это значит, что терапевт отправит вас к хирургу, который надрежет десну и уберёт часть инфицированной верхушки вместе с гнойным очагом, а после запломбирует всё, что там ещё осталось. Переносится такая операция довольно легко. Правда, по техническим и анатомическим причинам её можно делать не со всеми зубами и не с каждым корнем, но вернуться к варианту номер один мы же всегда успеем.
Лечение лечению — рознь
Как определить, что ваши каналы будут качественно вылечены? Есть несколько критериев, которые помогают понять эффективность лечения зубов.
- Первый: наличие увеличения у врача — микроскопа или бинокуляров.
- Второй: применяет ли доктор коффердам, такую специальную защитную завесу для изоляции зуба, который он лечит.
- Третий: качественная рентгенодиагностика, КТ-диагностика. При отсутствии КТ-снимка некоторые моменты бывает понять сложно, мы можем вылечить только то, что видим.
Если всё это есть, тогда вероятность того, что вам качественно вылечат зуб, будет высокой. Ну и, конечно, мы в Белой радуге лечим именно так.
Хорошая диагностика — больше живых зубов
Пару лет назад ко мне на приём приходил мальчик с огромным воспалительным очагом на три зуба — один уже был депульпирован, а рядом два живых.

Вот такая сплошная непроглядная чернота вокруг зубов
Всё это выглядело жутковато — как будто очаги воспаления есть в каждом из них. Казалось, что вообще единственное, что тут можно сделать, это по-быстрому оставшиеся живые зубы депульпировать, что, собственно, и предлагали в другой клинике.
Оказалось, что причиной воспаления был один только депульпированный зуб, но очаг от него был настолько большой, что распространялся на живые соседние зубы.
Я для начала перелечила каналы в том из зубов, который уже был депульпирован. И воспаление чудесным (нет) образом очень быстро прошло.
Ну и немного об осложнениях
Если инфекция попадает в кровеносное русло, она оседает в самых разных органах. И дело даже не в том, что закончиться всё может каким-нибудь инфекционным эндокардитом, хотя и этим тоже. Главная проблема в том, что, если где-то постоянно тлеет какое-нибудь воспаление, иммунитет постоянно отвлекается на его обслуживание. То есть человек может вообще ходить и не знать, что у него есть периодонтит, просто он будет постоянно болен то одним, то другим.
Чаще всего — гайморитом, потому что гайморовы пазухи соседствуют с корнями верхних зубов и легко «перенимают» воспаления. Это случается настолько часто, что опытный лор, как только пациент приходит жаловаться, сразу его отправляет проверять, что с зубами.
Так, недавно на осмотр приходила девушка. Очень жаловалась на жизнь: постоянно болит голова и каждый месяц простуды, даже летом. Ну а дальше внезапное для девушки и довольно очевидное для меня: у неё нашёлся огромный воспалительный очаг на шестом верхнем зубе. Дальше я перелечила ей корни, и — всё. На следующий приём она пришла уже через год и с удивлением рассказала, что за год голова не болела вообще ни разу. И простужаться она почти перестала. Даже весна, которая раньше была для неё настоящим наказанием, прошла без болезней. Хронический гайморит закончился. Короче, качество жизни одного конкретного человека улучшилось кардинально. А казалось бы — всего лишь зуб…
Носить в себе хронический периодонтит, т. е. хронический очаг инфекции — это всегда как бочка с порохом. Он может обостриться в самый неподходящий момент — перелёт, отпуск, новогодние праздники, поездка и всё остальное. Вы можете с этим жить, но вы должны помнить, что возможны осложнения. Всегда есть риск попасть в неотложную ситуацию где-то в поездке — за границей, в командировке далеко от дома, в горах, морях и так далее. Это, к сожалению, так бывает. Что приводит к обострению? Когда отвлекается иммунитет. Ему надо бежать насморк лечить, кашель, ещё что-то. Он отвлекается от зуба — тут и происходит обострение.
В общем, самое главное в лечении периодонтита — не доводить до периодонтита. Вовремя выявлять и лечить кариес. Вовремя менять ранее поставленные пломбы — проверяйте их ежегодно, они имеют свой срок службы. Старая пломба нам иногда медвежью услугу делает. Пациент думает, что у него вылеченный зуб, у него пломба стоит, ничего не выпало. А когда там идёт вторичный рецидивный кариес, то инфекция проходит внутрь и мы получаем то, что мы получаем. А если всё-таки приходится лечить каналы, то делать это стоит в соответствии с современными стандартами лечения (микроскоп, коффердам, КТ).
Ещё посты:
- Хирургические случаи: пост про то, как пациент терпел зубную боль до момента, когда ему пришлось резать горло в нескольких местах. Про пациента-проказника, выпавшего с третьего этажа и упавшего на лицо. Про пациента-спортсмена, неожиданно затормозившего в дерево.
- Для гиков: про то, как именно можно умереть от анестезии прямо на приёме терапевта. Как самостоятельно читать КТ. Про моего коллегу Андрея, хирурга senior+. Как мы переворачиваем платную медицину. Про Гусейна, его навигационные шаблоны и участие в разработке ПО для хирургов по всему миру. Как Гусейн разрабатывал матмодель и софт для хирургии по пересборке черепа.
- Инструкции: FAQ про пломбы. Что вам нужно знать про гигиену зубов. Как правильно бояться стоматолога. Что вам нужно знать про наркоз и седацию. Реплантация зубов: как правильно собирать свои зубы в пакетик. Что делать, когда вы нафаршированы зубами (про молочные зубы). Про зубы ваших пожилых родственников. Про типичные зубы ИТ-пациента. Коренные зубы — это атавизм, и почему их часто удаляют «на всякий случай». Как вылечить зубы на год вперёд перед долгой поездкой.
Автор: e-landinova
