
Есть две причины по которым вы можете лишиться зубов. Первую вы уже знаете — это кариес. Сегодня будем говорить про вторую — воспаление дёсен и пародонтит. На самом деле мало иметь зубы без кариозных полостей. Если повреждён опорный аппарат зубов, то они такими красивыми и выпадут. Мы реально нередко пытаемся собрать рассыпающуюся челюсть годам к 45 из-за генерализованного пародонтита. Всё начинается с небольших зубных камешков и лёгкого покраснения дёсен, а заканчивается жёсткой патологической подвижностью, когда зуб буквально вынимается из лунки двумя пальцами.
Группы риска:
-
Люди с плохой гигиеной. Впрочем, кариес лишит зубов раньше, чем пародонтит.
-
Диабетики. У них проблемы с сосудами и местным иммунитетом.
-
Курящие. У них тоже проблемы с сосудами. И да, вейпы несильно спасают: никотин токсичен сам по себе. Кроме этого, у курящих налёт прочнее фиксируется на эмали.
-
Люди, чьи родители или ближайшие родственники имеют поставленный пародонтальный диагноз.
Дома невозможно полностью убрать все поддесневые зубные отложения. Это можно сделать только мощным ультразвуковым скейлером у стоматолога, и то не без труда. Поэтому, даже если вы хорошо чистите зубы дома, регулярная профессиональная гигиена вам всё равно необходима.
Поэтому, чтобы не брать потом ипотеку под залог почки на лечение, расскажу, что нужно делать задолго до появления проблемы. Буду показывать вам зубные камни, кровоточивость дёсен и то, почему пародонтит невозможно вылечить, а только приостановить.
Пародонт

Мои коллеги несколько раз уже рассказывали об этом в прошлых постах, но коротко я повторю ещё раз. Пародонт — это комплекс тканей, которые обеспечивают питание ваших зубов и позволяют им не выпадать, когда вы откусываете стейк. Сразу хочу сказать, что если вы будете гуглить англоязычные источники, то столкнётесь с путаницей терминов. В русском языке пародонт включает в себя:
-
Дёсны.
-
Периодонт.
-
Цемент зуба.
-
Надкостницу.
-
Альвеолярные отростки челюсти.
Периодонт в русской терминологии — это та часть пародонта, которая представляет собой тонкую щель между зубной альвеолой и самим зубом. Можно посмотреть на иллюстрации выше. В англоязычной международной терминологии пародонт = periodont, а отдельного периодонта в нашем понимании нет.
Нормальный здоровый пародонт позволяет амортизировать пиковую нагрузку, которая возникает при жевании и откусывании. Зуб немного погружается в лунку как на гидравлическом амортизаторе, после чего медленно выталкивается обратно за счёт давления крови в капиллярах. Процессу также помогает система крохотных связок, которые опутывают зуб со всех сторон. Одним концом они крепятся на цемент корня, а вторым — к тканям альвеолярной лунки.
Кроме сложного связочного аппарата, лунка зуба содержит огромное количество барорецепторов, которые фиксируют нагрузку на зуб. Если вы укусили что-то очень твёрдое вроде косточки в варенике с вишней, то должны сработать ограничительные защитные рефлексы. В норме они должны прервать жевательное движение, чтобы вы не раздробили эмаль нагрузкой. Если у вас есть воспалительный процесс в области какого-то зуба, то эти же рецепторы заставят ваш язык подкладывать пищевой комок под здоровые зубы. Всё это нужно для того, чтобы ваши зубы прослужили как можно дольше, так как в дикой природе стоматологов не придумали.
Микрофлора полости рта
У нас во рту живёт зоопарк. Это нормально, стерильной полость рта мы сделать не сможем. Мы едим нестерильную пищу, целуемся и делаем кучу других вещей, которые добавляют новую порцию разнообразных бактерий и грибов в нашу полость рта.
Есть два класса микроорганизмов: аутохтонные и аллохтонные виды. Аутохтонные — это постоянные виды, специфичные для этого биотопа. Аллохтонные — это виды, которые случайно оказались в нетипичном для них месте. Например, внезапно попали в полость рта из носоглотки. Также к аллохтонным относятся те виды, которые вы можете занести, косвенно облизывая дверные ручки, если забываете мыть руки. Так можно затащить, например, кишечную палочку.
В норме всех чужаков должны очень быстро сожрать местные, и ничего плохого не произойдёт. Локальная микрофлора несильно рада конкуренции за еду и активно выделяет различные антибактериальные, антимикотические токсины, чтобы сдерживать рост конкурентов. Многие виды снижают уровень pH, что также подавляет рост непривычных к этому бактерий.
Чаще всего в нормальной микрофлоре выделяются Streptococcus mutans, Streptococcus salivarius, Streptococcus mitis, анаэробные пептострептококки, бактероиды, фузобактерии и сапрофитные нейссерии. Видовой состав может очень сильно варьироваться в зависимости от того, что вы едите, как чистите зубы, с кем целуетесь.
Иногда новые пришельцы могут вступать в «коалицию» с местными «угнетаемыми» видами. Тогда они устраивают небольшую революцию и отвоёвывают себе место под солнцем. Типичный пример такого симбиоза — объединение фузобактерий и спирохет. В результате эти довольно малочисленные представители микробиома начинают размножаться и вызывают такие воспалительные заболевания, как гингивит и стоматиты. В тяжёлых вариантах, если собственный иммунитет не может ограничивать их численность, возникают язвенно-некротические поражения вроде ангины Венсана.
Всего в полости рта обычно выделяют три ключевые зоны, различные по своему микробиому:
-
В зубных бляшках на коронках зубов, а в случае кариеса — в кариозных полостях.
-
В десневых бороздах.
-
На спинке языка.
Причём, что логично, больше всего бактерий живёт там, где их никто не трогает, — в десневой борозде. Мы не всегда хорошо чистим зубы, способствуя накоплению там пищевых остатков. Слюна тоже особенно не циркулирует в этой зоне и не может смыть всех расплодившихся микробов. Микробная концентрация в десневой борозде составляет порядка 200 миллиардов клеток на 1 г пробы. Для сравнения: в слюне их на несколько порядков меньше — от 43 миллионов до 5,5 миллиарда на тот же объём.
Зубной камень

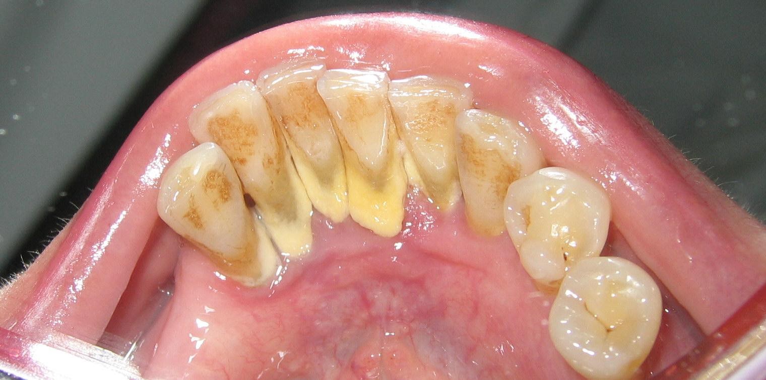
Зубной камень. Часто незаметный для носителя. Убрать можно только у стоматолога.
Зубной камень (зубная бляшка) — это намертво прилипший к зубам и тканям десневой борозды твёрдый минерализованный конкремент. Процесс формирования идёт постепенно. Начинается всё с того, что у вас из-за неправильного прикуса, неудачных ортопедических или ортодонтических конструкций или из-за плохой гигиены начинает скапливаться зубной налёт в области десны. Где-то через два–четыре часа на поверхности ваших зубов начинают десантироваться первые бактерии, которые быстро формируют пелликулу — плёнку из органических молекул и микроорганизмов. Дальше бактерии начинают прикрепляться ко всем шероховатым участкам эмали, где их не смывает немедленно слюной. Многие бактерии неспособны сами прикрепляться к эмали и ждут, пока другие не сформируют посадочную площадку. В итоге возникают причудливые структуры в виде кукурузных початков из круглых кокков вокруг нитевидных бактерий.
Итоговый результат — зубной налёт из отвалившихся клеток эпителия, бактериальных полисахаридов и частично съеденных бактериями белков слюны. Всё это покрыто мукоидным гелем из муцина слюны. Получившаяся масса устойчиво держится на поверхности эмали.
Если зубной налёт так и не счистили при ежедневной гигиене, то он сильно меняется. S.sanguis и S.mutans быстро захватывают территорию и занимают до 70 % популяции. В результате поедания остатков углеводов pH зубного налёта стремительно снижается, вызывая деминерализацию эмали и убивая всех, кроме кислотоустойчивых видов. На 9–11-й день туда устремляются коринебактерии, актиномицеты и фузиформные бактерии. В итоге вначале зубная бляшка состоит из аэробных бактерий, которые любят наличие кислорода, и факультативных анаэробов, которые его не любят, но терпят. В финале остаётся почти исключительно анаэробная микрофлора, которая выживает только там, где кислорода нет.
Сама бляшка постепенно цементируется за счёт осаждения солей кальция из слюны, окончательно формируя что-то очень похожее на известковый налёт на капающем кране в ванной. Только в отличие от известкового налёта она содержит огромное количество бактерий, которые очень быстро начинают жрать окружающие ткани.
Пародонтит

Начинается всё обычно довольно невинно. У вас появляется лёгкое раздражение в области дёсен. Чаще всего это лёгкий катаральный гингивит, который сопровождается незначительным покраснением. Если бактериальная микрофлора продолжит атаковать ткани зубодесневой борозды, то к покраснению и небольшому отёку начнёт присоединяться кровоточивость. Вы заметите это при чистке зубов. Ткани десны настолько повреждены и истончены, что любое физическое воздействие вызывает разрыв микрокапилляров и небольшое кровотечение. Что делает стандартный человек? Правильно, меняет щётку со средней жёсткости на мягкую. Ведь он так сильно чистит зубы, что аж до крови. Бактерии начинают радоваться более щадящей чистке, которая оставляет им больше еды, а кровоточивость усиливается. Что дальше делают некоторые люди? Полностью прекращают чистить зубы, так как это больно и кровь течёт. Дальше процесс идёт только с ускорением, поддерживаясь положительной обратной связью.
Часто процесс идёт без явного жёсткого воспаления, что делает его более коварным. Бактериальная микрофлора начинает постепенно жрать связочный аппарат зуба, связку за связкой. В итоге обычная нагрузка становится травмирующей. Вы кусаете яблоко, а оставшиеся структуры уже не в состоянии физиологично принять на себя нагрузку. Результат будет как после езды по ухабам со сломанными амортизаторами. Опорный аппарат начнёт повреждаться не только за счёт бактерий, но и из-за механических перегрузок.
Если часть зубов уже отсутствует, то нагрузка становится ещё выше, так как оставшиеся вынуждены работать за себя и за соседа. При здоровом пародонте, который всегда работает не на полную силу, это возможно. Именно поэтому можно в принципе создать мостовидный протез, в котором опорные зубы берут на себя нагрузку ушедшего. В случае больного пародонта это будет добивающим фактором, который только ускорит разрушение оставшихся связок, деградацию кости и потерю зубов.

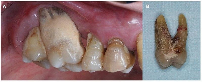
Выраженный пародонтит и гингивит. Дёсны синюшные, массовые скопления зубного налёта и камня.
По мере развития пародонтита мы можем видеть убыль костной ткани и обнажающиеся корни зубов. Вместо нормальных десневых сосочков появляются некрасивые чёрные пустые треугольники.

В тяжёлой форме пародонтита, как на иллюстрации выше, можно увидеть очень агрессивную убыль костной ткани. Обратите внимание, что зубы фактически держатся на нижней трети своих корней. Естественно, что никакую нагрузку такие зубы выдерживать уже не могут. Появляется подвижность, которая неизбежно заканчивается тем, что однажды зуб остаётся торчать в яблоке после укуса.
Самое неприятное во всей этой истории то, что пародонтит необратим. Совсем необратим. Если процесс запущен, то лучшее, что может сделать врач, — это остановить процесс на той стадии, на которой успели поймать. Да, есть возможность костной пластики, пластики слизистых, но это уже всё равно не вернёт родной опорный аппарат зуба, сложную структуру связок и рецепторов.
Также стоит учитывать, что часто этот процесс может идти довольно безболезненно. Но вовсе не потому, что всё хорошо, а потому, что мёртвым тканям попросту не больно. Бактерии уже сожрали рецепторы и продвигаются дальше под тихое молчание встроенной «сигнализации».
Что провоцирует
Пародонтит — сложное заболевание. Зависит от иммунного статуса, агрессивности микрофлоры и других факторов. Но есть несколько ключевых вещей, которые однозначно являются отягощающим фактором. Это сахарный диабет и курение. Они оба приводят к повреждениям артериол среднего и мелкого калибра, ухудшая кровоснабжение. Именно поэтому, например, так плохо у людей с некомпенсированным сахарным диабетом заживают любые раны. Кстати, это ещё и важный фактор риска при постановке имплантов. Там тоже важно быстрое развитие полноценной сосудистой сети в зоне имплантации.
Если у таких пациентов начинается пародонтит, то он, как правило, протекает куда агрессивнее и быстрее, чем у других.
Есть ещё одна категория — беременные. Разумеется, беременность ни в коей мере нельзя отнести к патологическим состояниям, но это всё равно очень большая нагрузка для всего организма. В частности, в результате подготовки тканей матки и слизистых половыми гормонами заодно цепляет и другие слизистые в организме. Слизистая полости рта разрыхляется, становится отёчной. Особенно ярко это проявляется в последнем триместре беременности. Так что гингивиты у беременных — это совершенно типичное явление. В сочетании с тем, что ребёнок выедает весь кальций, до которого может дотянуться, они переходят в особую группу риска по кариесу и болезням пародонта. После родов эти риски быстро снижаются.
Профилактика дома
Ацтеки знали толк не только в торакальных операциях на открытом сердце, но и в способах борьбы с зубным камнем и гингивитом:
При болезни зубного камня на зубах и коренных зубах необходимо, дабы у нас его не было, мыть зубы холодной водой, и чистить сукном, и измельчённым углём, и вымывать солью. Также следует мыть или чистить особым корнем под названием тлатлаукапатли с солью и перемешать кошениль с чили [стручковый перец] и солью, приложить к зубам. С помощью этого лекарства выскрести зубы, вымыть рот и с помощью ночестли, смешанного с чили и солью, затемняются зубы. Также нужно положить особое лекарство под названием тлильтиктламиауалли, хотя оно служит для затемнения самих зубов и окрашивает наши зубы в чёрный цвет, или для полоскания зубов мочой, или прикладывается к нашим зубам чичик куауитль, или промывания местной лебедой истауйатлем, или водой с особой корой дерева, называющегося куаутепустли, или приложить порошок этой коры к зубам. Неплохо бы снять затвердевший зубной камень каким-нибудь железом, а потом приложить немного смолотых квасцов и червеца с солью и чили.
Сейчас есть более эффективные способы профилактики, однако их методы не лишены смысла. Обратите внимание, в частности, на использование жгучего перца в рецептах. Капсаицин — алкалоид, стимулирующий ванилоидные рецепторы, он вызывает резкое улучшение микроциркуляции крови в пародонте. Сейчас некоторые из лечебных паст содержат экстракт жгучего перца с теми же целями. Кроме того, лечебные зубные пасты — часто солёные. Это сделано специально для снятия отёка. Вода в результате осмоса устремляется из отёчных дёсен наружу, отёк спадает, и снижается болезненность. Кроме этого, солёный вкус стимулирует выделение слюны, которая также помогает за счёт своих защитных свойств. В более тяжёлых случаях врач может назначить зубные пасты, содержащие антисептик, например, хлоргексидин. Также выпускают специальные жевательные резинки с антисептиками, но у нас они не очень популярны.
Важно не забывать, что все лечебные пасты являются лечебными. Не лечебно-профилактическими. То есть вы должны применять их, только когда назначит врач. Если бесконтрольно убивать микрофлору антисептиками вроде того же метронидазола в геле — можно вырастить ещё более агрессивную флору, которая займёт место убитых. Те же грибы и дрожжи будут очень рады.
Резюме:
-
Идеальная гигиена — ваш друг.
-
Чистить надо не только зубы сверху, но и пришеечную область возле дёсен.
-
Лечебные пасты и составы применять только по назначению врача и строго ограниченным курсом.
Чистить зубы непросто

Зубной камень. Дома отодрать можно разве что плоской отверткой, но делать так не надо.
Когда я говорю, что пациент не может сам удалить зубной камень, у него в глазах часто прям загорается фрагмент с Барни и его фразой «Challenge accepted». Реально был случай, когда пожилой мужчина решил, что по таким вопросам стоматологов беспокоить не стоит, и старательно снимал зубной камень маникюрными ножницами. Через год всё равно пришёл, но уже с множественными травмами и микроповреждениями дёсен.
На самом деле при хорошей гигиене зубной камень не превращается в ужасающую кальцифицированную монопластину, как челюсть у черепахи. Камешки небольшие, аккуратно себе лежат под десной и медленно разрушают пародонт. При этом сами зубы могут быть красивыми, ухоженными и без кариеса. Видно их только стоматологу, который со своими зеркалами и микроскопами может подлезть в самые далёкие уголки вашей полости рта.

Раньше для удаления зубного камня использовались ручные экскаваторы. Это такие крохотные острозаточенные ложечки. Немного похожи на инструменты для резьбы по дереву. Через час работы кисти рук хотелось просто макнуть в ледяную воду и не вынимать. Сейчас задача снятия зубного камня выполняется ультразвуковым скейлером. Этот аппарат подаёт воду на кончик насадки, которая вибрирует с частотой в районе 22 кГц. Смысл тот же, что и в УЗ-ваннах для мытья электронных плат и ювелирных изделий, но за счёт концентрации энергии в одной точке инструмент позволяет разрушать даже самые застарелые и прилипшие конкременты. Кроме того, он также позволяет «выгрести» из десневых карманов всю мёртвую органику и бактериальные образования, которые там накопились. При необходимости эта процедура выполняется под местной анестезией, так как может быть весьма неприятна.
Я уже говорила о том, что ткани поражённого периодонта воспалены и сильно кровят. Так вот. У таких пациентов процедура может быть весьма кровавой, но это нормально. В скейлер заливается не просто дистиллированная вода, а специальный антисептик. После этого врач просто вычищает слизь, гной, мёртвые ткани и всё, что накопилось под десной. После процедуры все дёсны ещё сильнее воспаляются и могут какое-то время кровить. Однако через несколько дней наступает резкое улучшение, так как мы убрали всё то, что стало причиной заболевания. Слизистые успокаиваются и приходят в норму. Здесь можно провести аналогию с удалением инородного тела вроде занозы. Пока мы не извлечём его, пусть даже с хирургическим разрезом, инфекция так и будет прогрессировать, что ни мажь сверху. Поэтому без помощи врача тут не обойтись. Если посадить случайного человека почистить зубы, то у него, скорее всего, получится не лучше, чем при обычной повседневной чистке. Надо точно знать, где искать скопление конкрементов, под каким углом и какой мощностью их снимать, чтобы не травмировать дёсны и круговую связку зуба. А иногда продолжать процедуру, если льются кровь и другие выделения.
И что дальше?

Тяжелый пародонтит. Обратите внимание, какое количество зубных отложений скололи с удаленного зуба.
Просто устранить бактерии недостаточно. Пародонтит в принципе необратим: сожранные связки уже никто не восстановит. У таких пациентов неизбежно будут возникать условия для повторного прикрепления бактерий и новых зубных бляшек. Поэтому при очень выраженных патологических десневых карманах мы проводим их кюретаж специальными инструментами. При этом как бы соскабливаются дно и стенки карманов, чтобы убрать остатки бактерий и обеспечить хорошие условия для дальнейшей пластики. После кюретажа хирург-пародонтолог проводит пластику дёсен. При этом частично или полностью восстанавливается эстетика. Мы стараемся убрать эффект обнажённых корней и чёрных провалов между зубами. В тяжёлой стадии полностью это устранить не получится.
Также возможны и костно-пластические операции с добавлением остеопластических материалов, чтобы частично восстановить утраченные костные структуры. Исходное состояние мы не вернём, но можем, например, создать условия для имплантации. Где-то подвижные зубы шинируются стекловолоконными лентами для фиксации их в единый блок. Все процедуры очень сильно варьируются в зависимости от клинической ситуации. Может, позже расскажу поподробнее об этом.
И всё же я бы советовала заниматься профилактикой в начальной стадии, нежели разгребать потом весь этот ужас. Поэтому вот простой список того, что вам нужно:
-
Хорошо чистите зубы. Просто, примитивно, но очень важно.
-
Бросайте курить.
-
Если появилась кровоточивость — удвойте контроль за качеством чистки. Если щадить дёсны и оставлять налёт, то вы сделаете только хуже.
-
Зубной камень образуется даже при отличной гигиене, пусть и медленно. Убрать его может только врач, который сможет залезть под десну и вычистить всё ультразвуком. Это нужно делать как минимум дважды в год.
-
Если у вас уже есть пародонтит, то он никуда не денется. Но вы можете держать его в состоянии вечной ремиссии, если будете регулярно посещать стоматолога.
P.S. Если вы дойдёте до наших клиник, то говорите, что вы с Хабра, будет скидка 5 %.
Автор: Исаджанян Карина
