Удаление одного из полушарий мозга не фатально — новые задачи берет на себя второе полушарие

в 17:07, , рубрики: Блог компании Madrobots, исследования, Медгаджеты, мозг, Научно-популярное

Удаление одного из полушарий мозга не фатально — новые задачи берет на себя второе полушарие - 1

Команда ученых из США опытным путем выяснила, что удаление одного из полушарий головного мозга — далеко не конец всему. Дело в том, что если полушарие или его часть удалить, то происходят сложные изменения в оставшейся части мозга. Существующие функциональные связи упрочняются, образуются новые, происходит ряд процессов, который дает возможность человеку оставаться человеком и без части мозга.

Выборка, по которой проводилось исследование, не очень большая. Это всего шесть человек, взрослых людей, которым детстве по той либо иной причине удалили одно полушарие или его часть. После изучения истории болезни добровольцев и взаимодействия с ними ученые сделали вывод, о котором уже говорилось выше — оставшаяся часть мозга берет на себя обязанности удаленной.

Как известно, нейроны в мозге человека связаны между собой. Причем в мозге есть участки, которые отвечают за самые разные функции. Удалив такой участок, человек лишается соответствующих возможностей. В качестве примера можно привести речевой центр. Пациент, у которого был инсульт, может потерять способность разговаривать. Восстановить речевые способности крайне сложно.

Тем не менее, это все же возможно. Пациент с поврежденным отделом головного мозга может восстановить речь через несколько лет, при условии постоянных тренировок. Ученые предполагают, что это случается благодаря тому, что другие участки мозга берут на себя функции утраченных. К сожалению, точно выяснить, как это происходит, до сих пор не удалось.

Дальше других продвинулись ученые из команды Дорит Климан из Калифорнийского университета. Специалисты изучили истории болезни шести человек, которым в детстве удалили полушарие — полностью или частично. При этом общались эти люди нормально, проблем с речью или другими когнитивными способностями не было, не имели они и каких-либо физических недостатков.

Удаление одного из полушарий мозга не фатально — новые задачи берет на себя второе полушарие - 2

Ученые предположили, что все это стало возможным благодаря тому, что пациенты пережили операцию в очень раннем возрасте — от нескольких месяцев от рождения до 11 лет. Самому младшему участнику обследования на момент осмотра было 20 лет, старшему — 31 год.

Добровольцев обследовали при помощи специального метода, который дает возможность проанализировать функциональные связи мозга без выполнения добровольцем какой-либо работы или без воздействия на человека. Ученые решили особенно тщательно изучить зрительную, соматомоторную кору головного мозга, дорсальный и вентральный зрительные пути, которые связаны с работой внимания и лимбическую систему. Плюс проанализировали лимбическую систему, когнитивные функции и так называемую сеть пассивного режима работы мозга.

Удаление одного из полушарий мозга не фатально — новые задачи берет на себя второе полушарие - 3

Была у ученых и контрольная группа добровольцев, у которых никаких операций на мозге не проводилось. Как оказалось, у всех добровольцев из первой группы функциональные связи были значительно прочнее, чем у представителей контрольной группы.

Ученые считают, что за годы, которые прошли с момента операции, связи в мозге организовались так, чтобы заменить собой утраченные органы. Сеть пассивного режима, которая обычно занимает оба полушария, была очень хорошо сохранена в оставшемся полушарии у людей, чей мозг был поврежден.

Так что можно с уверенностью говорить о том, что мозг после повреждения восстанавливается. Причем восстановлению подлежат даже функции целого полушария, а не каких-то небольших органов. Как уже говорилось выше, когнитивные способности добровольцев были на нормальном уровне. О каких-либо проблемах, вроде низкого интеллекта, не сообщается. Интересным нюансом оказалось то, что лучше всего функции утраченного полушария восстановились как у человека, который лишился этой части мозга в три месяца от роду, так и у пациентки, которой провели аналогичную операцию в 7 лет.

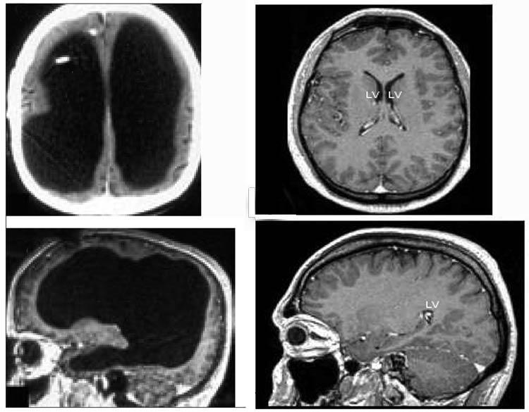
Наверное, самым явным доказательством возможности восстановления утраченных функций можно считать мужчину, который живет без 90% мозга. Отсутствие большей части объема мозга обнаружили совершенно случайно — после того, как пациент обратился в клинику с жалобой на слабость в левой ноге.

Удаление одного из полушарий мозга не фатально — новые задачи берет на себя второе полушарие - 4

В итоге удалось узнать, что внутренняя часть мозга мужчины почти полностью отсутствует — остался только тонкий внешний слой с мозговым веществом. Мужчина много лет работал госслужащим, женился и завел двоих детей. Случай этого пациента позволил говорить о том, что в мозге нет определенной области, в которой находится сознание.

Автор: Ekaterina_T

Источник

* - обязательные к заполнению поля


https://ajax.googleapis.com/ajax/libs/jquery/3.4.1/jquery.min.js