
На фотографии этой прекрасной девушки видны кисты, где кость уже распалась из-за давления гноя
Случай достаточно типовой, если брать каждый зуб отдельно, и это как раз та стадия, когда безграничное терпение — это не добродетель. Если ваш стоматолог вам говорил, что с верхушкой корня на снимке что-то не так и хорошо бы её в течение года открыть и полечить — то вот это как раз начало похожей ситуации.
Итак, если пациент попадается особо упорный, а такое встречается чаще, чем хотелось бы, то он вполне может потерпеть боли в кариозном зубе. И нет, потом зуб не выздоровеет, просто через какое-то время анаэробы наконец догрызут твёрдые ткани зуба и примутся поедать пульпу. Дальше, если пациент окажется терпеливым, он может наконец дождаться, пока мягкие ткани зуба будут сожраны, и порадоваться от облегчения, так как мёртвым тканям уже не так больно. Инфекция продолжит свой путь, постепенно выходя за верхушку корня. И вот тут начинается самое интересное.
Поговорим о том, как людям удаётся ходить с кучей гнойных очагов в голове и спокойно это терпеть. Коснёмся жизнерадостных подробностей про подтекающие свищи и о том, почему всё это обостряется вплоть до экстренной госпитализации. Ну и наконец расскажу про то, что такое резекция верхушки корня и почему не обязательно удалять половину зубов, которые можно спасти. Ну и вообще заодно разберёмся с периодонтитом.
Как мы спасали зубы
Пациентка занималась подготовкой к свадьбе и как раз решила провести санацию полости рта. И вот тут, мягко говоря, не самой радостной новостью ударило осознание того, что у неё, молодой девушки, надо удалить почти четверть всех зубов. При этом вроде бы её ничего особо не беспокоило, разве что иногда ныли отдельные зубы, когда она простывала. Пломбы на зубах вроде бы стоят, жуётся отлично.
К сожалению, самая неприятная часть оказалась видна только на рентгеновских снимках: корни шестых зубов уже долгое время плавали в гнойном содержимом, а кость медленно деградировала под давлением растущей кисты.

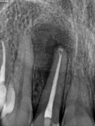
На снимке стрелка показывает на большой очаг разрежения в области верхнего правого седьмого зуба, где кости уже, по сути, нет. Это киста, заполненная грануляционной тканью (незрелый рубец), продуктами жизнедеятельности и мёртвыми бактериями. Она постепенно растёт, разрушая окружающие ткани. Объём гнойного содержимого уже настолько велик, что скоро может прорваться в полость гайморовой пазухи со всеми последствиями в виде одонтогенного гайморита и распространением инфекции. Как вы видите, шестой зуб пришлось убрать из-за значительного разрушения, но седьмой удалось спасти. Был весьма впечатляющий момент, когда после прохождения канала до его верхушки, из канала ручейком начало сливаться содержимое кисты. Девушка сделала круглые глаза и удивлённо сказала, что у неё будто исчезло ощущение постоянного давления, к которому она привыкла. В итоге после устранения очага инфекции кость тоже восстановилась в течение полугода.

С резцом повезло меньше. Если честно, то мы уже планировали его на удаление: настолько велика была гнойная полость на верхушке корня. На левой фотографии видно, что даже кость разрушена, а содержимое кисты отграничивает только слизистая со стороны нёба. Зуб, по сути, держится только в районе своей шейки и на боковой поверхности, а остальное уже было съедено инфекцией. К сожалению, после лечения канала мы не добились полного заживления и киста осталась, хоть и немного уменьшилась.

Поэтому мы решили попробовать спасти зуб более радикальными методами — просто взяли и удалили верхушку корня, попутно вычистив весь очаг вручную. Тут уже занимался не стоматолог-терапевт, а хирург. Чуть позже расскажу, как это выполняется.

В результате удалось сохранить девушке её резец, а костные структуры полностью восстановились после операции.
А сейчас давайте разберём, как вообще протекает этот процесс, почему внешне здоровый зуб может стать миной замедленного действия в голове и почему не всегда возможно идеально запломбировать каналы в зубе.
Где эта верхушка
Внизу на рисунке:
Зуб снаружи состоит из сильно минерализованных компонентов, которые не способны к регенерации сами по себе, но очень прочны. Под ними пульпа, которая включает в себя большое количество нервных волокон, кровеносных сосудов и других клеток вроде тех же одонтобластов, которые обеспечивают химическую и термическую чувствительность зуба. А ещё те же одонтобласты способны недолгое время вести оборону перед наступающими силами противника в лице микрофлоры.
Регенерация уже съеденной эмали и дентина невозможны.
Но, если кариес течёт не очень быстро и есть время отреагировать, одонтобласты начинают строить баррикады и заколачивать окна изнутри. При этом формируется третичный заместительный дентин за счёт сужения объёма мягких тканей зуба. Чтобы вырастить такую стенку, да и в принципе для нормального функционирования, клеткам нужно сосудистое питание и иннервация.
Для того чтобы подключить зуб к кровеносной и нервной системе, используются корневые каналы. От магистрального сосудисто-нервного пучка отходят небольшие ветки, проходят по корневым каналам и подключаются к пульпе. Отверстие на верхушке корня называют апикальным.

Корневые каналы, которые красные, бывают совершенно кошмарной формы для прохождения инструментами. Если не стерилизовать каждое ответвление, мы не устраним воспаление на верхушке корня

КТ-скан моляра нижней челюсти. А — нетронутый зуб, красным отмечена форма канала в мезиальном корне. B — каналы расширены, сформированы округлые каналы. Зелёным отмечена обработанная зона. Красным — не затронутная при стандартной обработке щель между двумя каналами. С — зелёным цветом отмечены полости, серебристым — дебрис и опилки после обработки. D — коричневым цветом отмечен пломбировочный материал, голубым — пустоты и дебрис. E, F, G — поперечные срезы зуба до обработки, после обработки и после пломбирования соответственно
Каналы при этом — неровные круглые трубочки. На иллюстрации виден довольно типичный случай тех сложностей, которые ожидают врача-стоматолога при прохождении, очистке и пломбировании корневых каналов. Изображение дальше получено с помощью особого микротомографа Skyscan 1172 с высоким разрешением. Такое разрешение недоступно для больших томографов, но в этот прибор человека не засунешь. Максимум отдельный зуб или другой объект. Штука для исследовательских задач. Как вы видите, часто каналы на самом деле имеют боковые ответвления, тончайшие щели и соединения одного канала с другим. То, что начиналось как два широких входа в каналы наверху, где-то на середине может принять гантелевидную форму или вовсе стать единой узкой щелью как на рисунке «Е».

Возможные варианты строения корневых каналов, микро-КТ
Это нормально, пока всё функционирует, но становится головной болью стоматолога и пациента, когда туда забирается инфекция. Чуть позже вернёмся к проблеме извлечения микроорганизмов из таких труднодоступных уголков.
Микрофлора

Дентинные канальцы, колонизированные микроорганизмами. Электронная микроскопия
Что же происходит, когда инфекция выходит за пределы пульпарной камеры и начинает двигаться дальше? В первую очередь она устремляется в сторону богатой белковой пищи, которую представляют из себя мягкие ткани, заполняющие корневые каналы. Дентин тоже можно есть, но там много минеральных компонентов, и поэтому он не такой «вкусный».
В итоге микроорганизмы активно распространяются по всем полостям и ответвлениям корневых каналов, проникая в толщу дентина, которая тоже пронизана тонкими дентинными трубочками. Микрофлора может быть различной. Довольно логично, что в первую очередь в каналах будут жить те, кто раньше обитал в полости рта, а потом проник в пульпарную камеру. Чаще всего это грибы из рода Candida и энтерококки. Гораздо менее приятно, если изначально в канале поселяется анаэробная микрофлора вроде фузобактерий, пигментообразующих бактероидов и в худшем случае клостридии. Если у пациента пульпит и последующий периодонтит вызван подобной анаэробной микрофлорой, то определить это можно очень быстро ещё во время приёма. Когда мы ещё были студентами и работали в общих кабинетах, где стояло несколько кресел, нам приходилось деликатно эвакуировать всех остальных пациентов для проветривания кабинета. Анаэробная микрофлора даже в объёме одного зуба генерирует совершенно незабываемые ароматы газовой гангрены с нотками тиолов. К счастью, всё это тоже лечится, пусть и довольно неприятно пахнет.
В результате своего пути микроорганизмы выходят за пределы апикального отверстия в ткани лунки зуба и продолжают свой путь там, создавая очаг периапикального воспаления — периодонтит.
Почему при периодонтите почти не больно
Я уже говорил, что пациенты могут долгие годы ходить с миной замедленного действия в своём черепе, когда из обломков зубов буквально капает гной, но никакого значимого беспокойства человеку это не доставляет. Причина в хрупком вооружённом нейтралитете, который устанавливается между иммунной системой организма и патогенной микрофлорой.
Инфицированный зуб становится чем-то вроде заражённой занозы или застрявшего осколка. Иммунокомпетентные клетки не в состоянии проникнуть в поражённый зуб, так как там уже нет живых сосудов, из которых они обычно десантируются. Поэтому свежий приток макрофагов и других защитников нам обеспечивает живая зона тканей, окружающих верхушку корня зуба. Из корневого канала постоянно «подтекают» продукты распада органики вперемешку с бактериями, а уже на выходе их встречает отряд макрофагов, который старается не пустить их дальше.
Такой процесс может длиться неограниченно долго, пока сохраняется равновесие между количеством, патогенностью бактерий и эффективностью иммунной защиты. Параллельно организм ещё и строит баррикады, отграничивая очаг, который он не может устранить, оборонительным валом из соединительной и эпителиальной ткани. Формируется барьер — киста. Болеть не будет до тех пор, пока существует отток экссудативной жидкости, которая возникает в результате воспаления.
Обычно отток гнойного отделяемого идёт через кариозную полость. У пациента действительно понемногу постепенно течёт гной из поражённых зубов, но ему совершенно не больно, так как давление не нарастает из-за наличия оттока. Надо отметить, что периодонтит бывает разный. Ключевые формы — гранулирующий и гранулематозный.
Первый — это классическая киста с оборонительным валом, которая постепенно растёт и вызывает резорбцию костной структуры вокруг себя.

На снимке это выглядит как пустое округлое пространство. Вот, например, снимки той девушки, про которую я говорил в самом начале. Возле корней нижних и верхних зубов мы видим очаги разрежения, будто пустые. Это как раз кисты, заполненные жидкостью. Кость в этом участке из-за постоянного давления распалась.
Второй вариант — гранулирующий периодонтит обычно встречается у молодых пациентов. При этом не формируется чёткой кисты, а инфекция начинает расползаться узкими каналами в разные стороны, пока не найдёт выход на поверхность. Обычно это происходит где-то возле десны больного зуба. На поверхности слизистой открывается свищ — отверстие, которое длинным ходом соединяет полость рта и гнойный очаг возле корней. Пока гной оттекает через свищ и кариозную полость, всё условно «в порядке».
Пока есть отток — больно не будет, есть куда стравливать давление. Если это гранулематозный, то отток через коронку. Если это гранулирующий, то и через коронку, и через свищ где-то в десне. Закрывается отток — растёт давление и начинается феерия. Внезапно нарастает пульсирующая боль, возникает ощущение, будто зуб выдвинулся из лунки. Характерные симптомы — боль возникает при вертикальной нагрузке, когда мы накусываем на этот зуб. Плюс зуб начинает реагировать на горячие жидкости и пищу, в отличие от того же кариеса, который, наоборот, даёт реакцию на холод.
Как лечим
Качественно вылечить периодонтит сложно и не всегда возможно, если инфекция значительно повредила зуб и окружающие ткани. На иллюстрациях выше я уже показывал, как на самом деле могут выглядеть корневые каналы со всеми своими извивами, ответвлениями под 90 градусов и прочими неожиданностями. При этом бактерии живут во всех возможных полостях, включая сам дентин и его микроканальцы.
Поэтому задача врача-стоматолога состоит в создании максимально возможной стерильности внутри полостей зуба, а уже в области верхушки корня организм сам справится — там много сосудов и макрофаги смогут подплыть поближе.
Традиционно схема выглядит примерно так:
- Проходим корневые каналы специальным инструментом и расширяем их до круглого сечения. При этом применяется ЭДТА для частичной деминерализации и облегчения прохождения.
- Промываем каналы горячим раствором гипохлорита натрия. Это который «Белизна», только чистый, каталитического происхождения и другой концентрации. Стоматолог в каждый канал специальным ирригатором вводит тёплый раствор, который убивает любую органику, затекает в микрощели и ответвления. В определённых техниках это может сочетаться с ультразвуком как в УЗ-ваннах для отмывки плат и ювелирных изделий.
- Остатки гипохлорита вымываем стерильным физраствором и хлоргексидином высокой концентрации. В идеале на этом этапе мы должны убрать весь детрит, опилки и остатки погибших в хлорке бактерий на всём протяжении канала.
- Закладываем лечебную пасту на базе гидроксида кальция. Это щёлочь, которая очень быстро убьёт всех оставшихся бактерий, пропитает дентин и частично выйдет за пределы верхушки корня. За счёт щелочной среды и избытка ионов кальция произойдёт стимуляция остеобластов, которые начнут выращивать кость на месте дефекта, созданного кистой. Лечебная паста обычно остаётся на 14 дней.
- Через 14 дней ещё раз промываем всё гипохлоритом и хлоргексидином, после чего пломбируем канал, стараясь заполнить все боковые ответвления.
Иногда этап с закладкой лечебной пасты на 14 дней приходится повторять, но обычно хватает двух посещений. При наличии хорошего томографа и микроскопов можно с высокой долей уверенности запечатывать каналы и не беспокоиться о том, что мы оставили инфицированные участки. В случае сложной топографии каналов какие-то крошечные боковые ответвления могут остаться пустыми, но за счёт гипохлорита натрия и кальциевой щёлочи ничего живого там не останется.
Подробнее про эндодонтию, сверхгибкий инструментарий из нитинола и прочие радости эндодонтии я расскажу как-нибудь в другой раз.
Резекция верхушки корня
Я уже говорил, что нам пришлось выполнить небольшую операцию для спасения резца. Несмотря на то, что мы вылечили и запломбировали боковой резец, спустя шесть месяцев киста не исчезла. Так получилось из-за огромных размеров очага и невозможности его ликвидировать, просто вычистив корневой канал.
Для того чтобы решить проблему, мы пошли на резекцию верхушки корня. При этом стоматолог-хирург получает доступ к корню с обратной стороны, через кость. Под анестезией осторожно откидывается слизисто-надкостничный лоскут, перфорируется кость, и хирург получает возможность непосредственно удалить проблемную верхушку корня и специальным инструментом вычистить всю полость. Затем доступ в корневой канал закрывается пробкой из специального материала (белое пятнышко у верхушки корня). Всё промывается антисептиком, после чего ушивается.
Очаг инфекции был устранён, есть признаки восстановления костной ткани. Зуб, который изначально предполагался под удаление, удалось спасти, хотя шансы на это были не самые лучшие.
Что будет, если не лечить
Собственно, ещё раз хотел акцентировать внимание на то, что периодонтит часто не болит. Только на снимках виден масштаб бедствия со значительным разрушением костных структур и распространения инфекции.
К сожалению, в итоге действительно нередко приходится удалять вроде как нормальные на первый взгляд зубы, когда коронка над десной целая, а корень плавает в мутном гное с бактериями. Если пациент с такими хроническими очагами заболеет, переохладится, нарушится отток либо что-то ещё изменит хрупкое равновесие, то всё может закончиться печально. В течение считанных суток или даже часов инфекция из «невинного» периодонтита может резко распространиться, вызвав периостит или, что ещё более опасно, полноценную флегмону с гнойным расплавлением жировой клетчатки. Таких пациентов уже привозят в полубессознательном состоянии в челюстно-лицевую хирургию, где за их жизнь борются хирурги.
Иногда, при наличии гнойных очагов в верхней челюсти, могут возникать осложнения в виде проникновения инфекции в полость черепа и тромбоза кавернозного синуса.
Поэтому выводы примерно такие:
- Не дотягивайте до перехода кариеса в пульпит и периодонтит. Лечите заранее.
- Не надо расслабляться, если перестало болеть. Это не зуб выздоровел, это нервная ткань погибла.
- Сам по себе периодонтит не вылечится, он будет как заноза, пока зуб не приведут в стерильное состояние.
- Часто можно попытаться спасти даже безнадёжные зубы, но гарантий вам никто не даст, так как многое зависит от организма пациента. Резекция верхушки корня может помочь в сложных ситуациях, когда мы хотели бы сохранить зуб.
- Ходить с периодонтитом нельзя — это мина замедленного действия, которая может стать причиной смертельно опасных осложнений.
А с девушкой всё хорошо. Вышла замуж почти сразу после окончания лечения и родила детей. Время от времени появляется на регулярных осмотрах.
P.S. Если вы дойдёте до наших клиник, то говорите, что вы с Хабра, будет скидка 5%.
Автор: Антон Артеменко

