
Кожа тилапии в качестве ксеногенного трансплантата
Один из главных принципов выживания в лаборатории гласит: «Горячая пробирка выглядит точно так же, как холодная». Вокруг нас есть огромное количество горячих предметов, начиная от кастрюли и заканчивая утюгом. Большинство бытовых ожогов мелкие и неопасные. Чаще всего они ограничиваются I и II степенью и не требуют специализированного лечения. Если что-то очень сильно пошло не так, и человек не просто прикоснулся к горячей кастрюле, а опрокинул её на себя, то ткань может погибнуть вплоть до росткового слоя. Такие ожоги не заживают сами по себе и требуют сложного лечения и трансплантации кожи.
Сегодня будем говорить про термические повреждения кожи и о том, как их лечат:
- Как глубоко можно обжечь кожу и почему IIIа степень намного лучше, чем IIIb.
- Что делать при поверхностных ожогах и надо ли бежать за сметаной.
- Откуда взять много кожи, если своей лишней вроде нет.
- Ксеногенные трансплантации. Ищем донора среди других видов.
Disclaimer: под катом есть фотографии ожогов различной степени тяжести. Мы постарались не включать наиболее неприятные снимки.
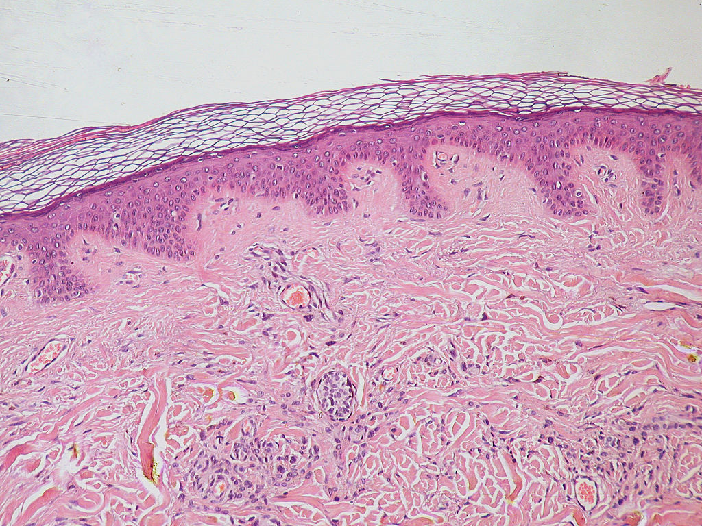
Строение кожи

Кожа в разрезе. Окрашивание гематоксилин-эозином
Коротко напомню про строение нашей кожи. У неё есть три основных слоя:
- Подкожно-жировая клетчатка. Там жир и рыхлая соединительная ткань.
- Дерма — соединительная ткань. Это основной структурный каркас кожи. Тут очень много разных эластических волокон и сосудов.
- Эпидермис — многослойный эпителий, который непрерывно нарастает из стволовых клеток в базальном слое и потом отшелушивается по мере продвижения к внешнему слою.
Дерма и эпидермис разделяются особым слоем — базальной мембраной. Она нужна для разделения разных типов клеток между собой, регуляции размножения стволовых клеток, которые к ней крепятся и еще ряда других функций.
В контексте ожогов нас очень волнует именно регенерация. Она возможна там, где есть стволовые клетки для восполнения погибших из-за травмы. У нас они есть в двух местах:
- Базальная мембрана содержит клетки эктодермального происхождения, которые постоянно регенерируют мелкие поверхностные травмы.
- Дерма содержит мезенхимальные мультипотентные стволовые клетки, которые могут дифференцироваться по многим направленияем. Ключевой вариант в данном случае — это фибробласты. Именно они латают крупные глубокие повреждения и создают коллагеновый каркас дермы.
Соответственно, результат ожоговой травмы будет сильно зависеть от того, насколько глубоко была поражена ткань и какие стволовые клетки у нас остались живыми.
Классификация ожогов

В большинстве стран принята классификация по трём степеням, как на рисунке выше. В России принята чуть более сложная классификация, которая делит ожог III степени на две разновидности и добавляет IV степень с полным обугливанием.
Ожог первой степени

Ожог не совсем термический, а из-за ультрафиолета. Но клиника схожая
Такие ожоги относят к поверхностным. Поражается только верхний слой ороговевшего эпителия, а все глубокие структуры остаются нетронутыми. Кожа краснеет из-за расширения сосудов, появляется местная болезненность и отёчность.
Регенерирует само, почти без следов. Может пигментация измениться или текстура кожи.
Ожог второй степени

Пузырь с серозным содержимым при ожоге II степени
Весь эпидермис гибнет вплоть до базальной мембраны. Стволовые клетки эпителиального происхождения выживают. Образуются пузыри, заполненные серозным содержимым. По сути, внутри жидкая часть крови с белками и электролитами, но без форменных элементов крови.
Регенерирует полностью за счёт стволовых клеток базального слоя. Обычно заживает без рубцов, так как клетки базального слоя полностью восстанавливают исходный эпителий.
Ожог третьей степени

Ожог III степени на восьмые сутки раневого процесса
При третьей степени ожог достаточно глубокий для того, чтобы повредить стволовые клетки, которые отвечают за восстановление. Вот тут и проявляется разница между IIIa и IIIb степенью.
При IIIa хотя бы немного, но сохраняется жизнеспособность дермы. Эпидермис выжил только частично и есть шанс, что будет восстановлен хотя бы относительно функциональный кожный покров. Глубокие слои дермы сохранили выжившие фибробласты и другие стволовые клетки. Если не присоединится инфекция, если позволят сосуды и множество других факторов, то рана заживёт и затянется грубым рубцом, который «сплетут» живые фибробласты из коллагена. Это уродует, ограничивает подвижность, но это лучше, чем совсем ничего.
При IIIb степени всё плохо. Умерли все стволовые клетки, и вплоть до жировой клетчатки выживших нет. Кожа полностью погибла. Рана не заживёт сама по себе. Начиная от этой стадии и более глубоких поражений с обугливанием, пациент нуждается в трансплантации кожи или в пластике краёв раны, если получится мобилизировать ткани и «натянуть» на рану. Если не лечить, то если очень упрощённо, подлежащие мышцы, жир и кости будут торчать наружу, пока там не поселится инфекция. Потом скорее всего начнётся гангрена.
Ожог четвёртой степени
Тут обычно речь идёт об ампутации. Ожог настолько глубокий, что погибла не только кожа, но и подлежащие ткани — жировая клетчатка, мышцы, связки, кость.
Как лечат лёгкие ожоги
Первое правило — прекратить температурное воздействие. Обычно с этим вы справляетесь самостоятельно простым отдёргиванием руки от горячего предмета. Затем поражённый участок нужно немедленно охладить. Это может значительно снизить глубину поражения и радикально изменить итоговый результат. Чем больше стволовых клеток выживет, тем больше шансов, что всё заживет без рубцов или сложной хирургии. Холодная вода из крана — отличное решение. У неё высокая теплоёмкость и хорошая теплопроводность. Охлаждайте не меньше 10-15 минут, чтобы гарантированно снизить температуру повреждённых тканей. Нужно не просто остудить кожу со 100 градусов после кипятка до 36, а снизить температуру значительно ниже. Это позволит сильно снизить болезненность и отёк благодаря сужению кровеносных сосудов.
Если к ране не прилипли куски расплавленного пластика, нет травмы с нарушением целостности кожи, то достаточно будет обработать хлоргексидином или другим ПАВ-антисептиком без спирта в составе, после чего прикрыть стерильной повязкой.
Ни в коем случае не надо мазать сметаной, растительным маслом или другими гидрофобными составами. Повреждённый участок кожи должен иметь возможность свободно аэрироваться кислородом и отдавать избыточную влагу при экссудации. Если вы в итоге поедете в больницу, то врачам придётся довольно долго смывать ваше бесценное облепиховое масло с поверхности кожи, что чревато дополнительными травмами.
Процесс заживления можно ускорить и улучшить, если использовать дополнительные гидрофильные средства с декспантенолом и специальные раневые покрытия.

Декспантенол усиливает экспрессию генов, которые отвечают за процесс регенерации. В этом эксперименте вначале нанесли лазером рану, а потом сравнивали уровни экспрессии
Мы для подобных повреждений разрабатывали гель «Интенсив-регенерация». Он гидрофильный и не содержит парафинов или других гидрофобных компонентов. Кожа не покроется изолирующей плёнкой, которая нежелательна при лечении ожогов. Кроме декспантенола мы положили туда растительные экстракты с противовоспалительным и регенеративным эффектом: сок алоэ вера, экстракты ромашки и календулы. Но самый главный помощник декспантенола в нашей формуле — это бета-глюкан. Этот ингредиент обладает доказанной базой эффективности в области ранозаживления, причём как у людей, так и на животной модели. Работать будет точно лучше, чем те же частые варианты декспантенола на жировой или парафиновой базе. Полноценные клинические испытания мы не проводили, так как регулятор не требует этого для косметических средств. Но мы базировались как раз на исследованиях по эффектам отдельных компонентов. Например, метаанализ по использованию сока алоэ при лечении ожогов I и II степени показал ускорение заживления в среднем на 8,79 дня, чем в группе без применения алоэ. А ещё мы заказали ограниченное исследование по эффективности, которое описывали в прошлом посте.
В целом препарат относительно дорогой из-за сложной балансировки высокоочищенных растительных компонентов и капризного декспантенола. Поэтому, если хотите, можете попробовать смешать декспантенол на водной основе и сок алоэ самостоятельно. Главное найдите гидрофильную основу, это обычно самое сложное.

Сетчатый Воскопран
Чтобы повязка не прилипла к коже, лучше всего использовать специальные раневые покрытия типа Воскопрана. Он гидрофобный, но сетчатый. Поэтому он не мешает газо- и влагообмену, одновременно исключая прилипание к ране. Нет ничего хуже, чем при перевязке оторвать молодую грануляционную ткань.
А уже сверху закройте бинтом. Тут тоже я бы рекомендовала использовать более прогрессивные варианты самофиксирующихся бинтов. Они эластичные и держатся без завязок за счёт эффекта схожего с Velcro-липучками.
Что делать, если ожог глубокий
Глубокие ожоги лечат только в стационарных условиях. Медлить тут нельзя, особенно при обширных ожогах. Резкий приток крови к поражённой коже может вызывать шоковое состояние по типу гиповолемического. Падает давление в магистральных сосудах, так как всё перетекло в повреждённые участки кожи. Чуть позже начнутся проблемы с токсическим повреждением почек и других систем организма на фоне большого объёма отторгающихся погибших тканей. А в финале ещё и инфекция присоединится.
Кроме всех этих проблем, ожоговым хирургам-комбустиологам приходится решать вопрос того, где взять кожу для регенерации. Как вы помните, при повреждении росткового слоя кожи повреждение самостоятельно затянуться не может, даже с образованием грубого рубца. Есть несколько вариантов.
Аутотрансплантация кожи
Кожу обычно берут с бедра, живота или ягодиц специальным дерматомом. При этом учитывают степень волосатости. С мохнатых ягодиц на лицо пересаживать будут только от безысходности. Дерматом — это такой прибор, который позволяет срезать слой кожи на строго заданной глубине. Получается лоскут кожи, которым можно закрыть дефект. Кожи при этом обычно не хватает, так как донорский участок нам тоже надо закрыть пластическим материалом.

Аутодермопластический материал фиксируют на повреждённом участке
Для этого используют другой аппарат, который превращает свою кожу в растяжимую сетку. После этого сетку фиксируют на ожоговой поверхности.

Та же конечность спустя две недели после применения ММСК — мультипотентных мезенхимальных стволовых клеток пациента
Наиболее продвинутый вариант этой технологии сочетается с выращиванием ММСК из костного пациента в биореакторах с последующим введением в участки ожогов. Вместо грубых рубцов формируется почти нормальная кожа, которая эластична и функциональна.

Вот тут человек после аутодермопластики и использования ММСК. Суммарная площадь ожога — 45%, из которых 20% — глубокие. Они были закрыты аутотрансплантатами.
Ксенотрансплантаты
Своей кожи всегда мало, особенно, если ожоги обширны. Есть очень перспективная альтернатива — использование ксенотрансплантатов. К ним относят кожу других видов, которая прошла специальную обработку. Наиболее перспективные варианты сейчас — это свиньи, которые всегда были традиционно близки к нам морфологически, и, внезапно, нильская тиляпия.

Пациент, мужчина 23 лет. Ожог в результате воспламенения пороха. Стандартная терапия скорее всего приведёт к неработоспособности рук из-за грубых рубцов
Кожа тилапии очень близка по структуре к человеческой и имеет схожую структуру коллагеновых волокон. Для использования её в качестве раневого покрытия кожу обрабатывают в специальных растворах, чтобы убрать чужеродные клетки и оставить только соединительнотканный каркас. Затем она проходит химическую и гамма-стерилизацию.

На шестые сутки наблюдается отличная адгезия к раневой поверхности и интеграция. Свои стволовые клетки начинают колонизировать ксенотрансплантат и строить новую кожу.

На 17 сутки хирурги получили полноценную реэпителизацию. Это очень крутой результат, так как обычно ожоговые пациенты просто не могут пользоваться конечностями из-за неэластичных рубцов, которые ограничивают движения.
Технологии пока экспериментальные и очень дорогие, но выглядят многообещающе.
Краткий чек-лист
Для начала будьте осторожны и благоразумны, если работаете с чем-то горючим. Техника безопасности очень важна.
Если обожглись легко:
- Охлаждать обожжённый участок не менее 10 минут проточной водой.
- Обработать антисептиком, прикрыть стерильной повязкой.
- Не лейте сметану, масло или другие гидрофобные жидкости.
- Если есть возможность, используйте что-то вроде Воскопрана под повязку.
- Самофиксирующиеся бинты сильно удобнее.
- Использование декспантенола и средств вроде нашей «Интенсив-регенерации» может ускорить эпителизацию. Мы постарались добиться очень высокой концентрации декспантенола, вот пост про разработку, а вот пост про то, чем продолжилось. Но обратите внимание, для свежих ожогов декспантенол должен быть в идеале на водной основе, наше средство чаще применяется для «обгорел на пляже», «ожёгся лазером» или при ковровых ожогах в случае бурного свидания.
Если ожог глубокий или обширный — те же рекомендации с охлаждением, но одновременно надо срочно вызвать скорую. У ожоговых пациентов время госпитализации очень критично. Будьте осторожны.
Если интересно, как мы создаём новые средства, то заходите к нам в telegram-канал (@geltek_cosmetics). Там мы рассказываем интересные штуки про хроники нашей уютной лаборатории.
Автор: Елена Пастухова
