
При псориазе страдает верхний слой — эпидермис. Именно в этой зоне формируются патологические элементы в виде папул и гиперкератотических бляшек.
Есть много разных болезней, которые совершенно не опасны для окружающих, но выглядят крайне неприятно. Иногда это особенности пигментации, когда люди становятся пятнистыми, иногда неприятные внешне воспалённые или шелушащиеся участки кожи. Многих людей с подобными патологиями расстраивает, что все стараются держать с ними дистанцию и боятся трогать после них предметы, чтобы не заразиться.
Сегодня будем говорить про псориаз. Это незаразное заболевание, при котором регенерация кожи идёт слишком быстро. В итоге человек может оставлять в карманах пиджака и на сиденье машины по горсти чешуек эпидермиса. Вот ключевые моменты, которые я хочу осветить:
- Что такое псориаз и как он выглядит (чаще всего смотрится не очень).
- Что обычно сломано в геноме при этом заболевании.
- Почему ожирение и курение могут сильно ухудшить ситуацию.
- Что наносить местно и почему стероиды могут быть опасны.
- Правильная диета доказано улучшает ситуацию.
- Люди с псориазом — те немногие, кому загорать полезно.
Disclaimer: часть фото я положу под спойлер, если вдруг кого-то такое может тревожить.
Что такое псориаз
Псориаз — это незаразное хроническое заболевание кожи. Радикально вылечить нельзя, но можно попытаться свести его проявления к минимуму и улучшить качество жизни. Болеют им в равной мере и мужчины, и женщины, причём довольно часто. Где-то 2-4% страдают от псориаза различной степени тяжести. Негроиды и монголоиды страдают намного реже, чем европеоиды.
При псориазе у больного начинает избыточно расти эпидермальный слой кожи. В норме, если вы помните, эпидермис постоянно обновляется. Нижние слои кожи непрерывно размножаются и постепенно перемещаются наверх. Кератиноциты в процессе своей миграции постепенно накапливают всё больше защитного кератина в своей цитоплазме, теряют ядро и уже в виде мёртвых безъядерных клеток отшелушиваются мелкими частичками с поверхности кожи. Эти чешуйки и формируют один из основных компонентов домашней пыли. При псориазе тот же процесс протекает намного интенсивнее. Если в норме клетки кожи обновляются каждые 28-30 дней, то при этой патологии полная замена всего эпидермального слоя кожи занимает 3-5 дней. В итоге человек самым натуральным образом засыпает всё своими чешуйками, «сбрасывая» до 150 грамм кожи ежемесячно.
В процесс вовлечены сложные иммунные каскады с участием дендритных клеток, макрофагов и Т-лимфоцитов. Эти клетки иммунной системы мигрируют в эпидермис из глубоких слоёв дермы и активируют воспаление, выделяя соответствующие химические регуляторные вещества — цитокины. Обычно это интерлейкин-36γ, фактор некроза опухолей-α, интерлейкин-1β, интерлейкин-6, и интерлейкин-22. Из-за этих воспалительных факторов идёт активация стволовых клеток базального слоя, которые начинают делиться намного активнее. Одна из гипотез предполагает генетический дефект регуляторных Т-лимфоцитов и регуляторного интерлейкина-10.
Иногда те же воспалительные цитокины обнаруживают в ростковых зонах ногтей и суставах, где они активируют аналогичные воспалительные процессы. В этом случае могут проявляться псориатические поражения суставов и ногтей.
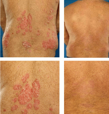
Наиболее типичные проявления псориаза — образование бляшек — воспалённых участков гиперкератоза, где кератиноциты обновляются с аномальной скоростью.

Очень часто можно видеть характерные участки гиперкератоза на ладонях.

У молодых пациентов обычно чаще встречается каплевидный псориаз. При этом формируются множественные каплевидные папулы с гиперкератозом. Очень часто каплевидный псориаз ассоциирован с бактериальной инфекцией, обычно носоглотки. Бета-гемолитический стрептококк — одна из ключевых причин.
Проблемы с генетикой
Около трети всех пациентов имеет родственников с той же патологией. У однояйцевых близнецов риски развития псориаза порядка 70%, если он начался у одного из пары. Для разнояйцевых близнецов — простых братьев — риски составляют уже в районе 20%. Исследования показывают, что для начала заболевания важны как генетические факторы, так и влияние окружающей среды.
Ключевые факторы риска — мутации в генах, которые отвечают за главный комплекс гистосовместимости (MHC). Определённые мутации в этом сегменте часто ассоциированы с псориазом, так как именно эти участки косвенно описывают ключевые звенья воспалительного процесса.
Проблемы с образом жизни
Мало иметь генетическую предрасположенность. Патологический процесс ещё надо запустить. Те же генетические риски диабета, например, нуждаются в запускающем триггере, который запустит цепочку. Факторы достаточно типичны и могут провоцировать многие генетически обусловленные заболевания:
- Хронические инфекции.
- Стрессы.
- Резкие изменения климата при переезде.
- Неумеренное употребление алкоголя.
- Курение.
- Ожирение.
Кохрейновский метаанализ показывает, что тяжесть течения у людей с изначально избыточным весом снижается как минимум на 75% по шкале PASI при жёстком контроле за диетой и её калорийностью. При этом добавление физических упражнений положительно отражалось на снижении индекса массы тела, но значимо не влияло на псориаз.
Как лечить

Классификация методов по их эффективности и побочным эффектам
Вылечить полностью псориаз невозможно. Проблема связана с генетическим дефектом, и мы в лучшем случае сможем загнать его в ремиссию.
Выбор средств у нас зависит от тяжести течения:
- Лёгкая степень — местные препараты на поражённые участки.
- Средняя степень — фототерапия ультрафиолетом UVB-спектра или UVA в сочетании с фотосенсибилизаторами группы псораленов (ПУВА-терапия).
- Тяжёлая степень — системные препараты. Тут могут быть ретиноиды (например, ацитретин), циклоспорин и метотрексат, а также биологические препараты (моноклональные антитела).
При лёгких формах наиболее эффективно работают местные глюкокортикостероиды. Они крутые, давят все каскады воспаления, но одновременно имеют много побочных эффектов. При постоянном и обширном применении глюкокортикостероиды начинают оказывать системное действие, так как частично всасываются с поверхности кожи и проникают в кровоток. Если это единичные папулы — то всё нормально. Если поражения обширные, то глюкокортикоиды стоит применять очень осторожно и короткими курсами.
Также отлично себя показали аналоги витаминов группы D — тот же кальципотриол. При этом сочетание местных стероидов и аналога витамина D3 даёт ещё более выраженный эффект, судя по метаанализу.
Крайне важно не допускать пересыхания хронически воспалённой кожи с гиперкератозом, как это бывает при псориазе. Мы не разрабатывали препараты специализированно под эту патологию, но принципы терапии тут не отличаются от других аналогичных патологий. У нас для этой задачи есть Ceramide SkinSaver. Он состоит из комбинации натуральных масел и низкомолекулярных летучих силиконов, которые, испаряясь с кожи, не дают этим маслам оставлять на ней жирный след и закупоривать поры. В маслах растворены активные действующие вещества — это церамиды и фитостеролы, которые важны для образования, а точнее реконструкции защитного слоя эпидермиса. Судя по исследованиям, наиболее хорошо работают эмолентные составы, которые с одной стороны не дают уходить влаге, а с другой — не мешают проникновению ультрафиолета. Наш состав как раз подходит под эту задачу, так как солнцезащитные средства мы вынесли в отдельные продукты.
Псориаз — это, наверное, одна из немногих патологий, где положительный эффект от ультрафиолета перевешивает его негативные побочные эффекты. После хороших солнечных ванн и курортного режима индекс тяжести псориаза снижался до 75%. Поэтому использование SPF-фильтров в случае этой патологии должно быть сведено к минимально достаточному, чтобы не обгореть. Да, риски фотостарения и гиперпигментации кожи растут, но это не особо критично на фоне уменьшения симптомов псориаза.
У меня псориаз, что делать?
Для начала найдите хорошего дерматолога. Вы будете с ним общаться регулярно и корректировать ваше лечение. Вот ключевые вещи, которые могут помочь:
- Ешьте красную рыбу, богатую EPA и DHA (Омега-3 кислоты). Кроме этого, там много витамина D, который тоже поможет.
- Переходите на низкокалорийную диету и постарайтесь похудеть, если у вас избыточный вес. Это очень часто сильно улучшает ситуацию.
- У пациентов с псориазом часто повышен риск целиакии. Возможно, вы не переносите глютен. Пройдите диагностику и сдайте кровь на антиглиадиновые антитела. Если тест будет положительный — исключайте глютен.
- Используйте эмолентные средства. Можно наш Ceramide SkinSaver, можно что-то аналогичное. Главное, чтобы ультрафиолет не блокировало.
- Системные ретиноиды могут помочь. Уточните у дерматолога.
- Осторожно используйте местные кортикостероидные мази. При длинных курсах можно домазаться до грибковых поражений кожи и болезни Иценко — Кушинга.
- Загорайте в меру. Вы один из немногих людей, кому это скорее полезно. Используйте минимальное количество SPF-средства так, чтобы не сгореть на солнце.
Автор: Елена Пастухова

