Использование обычного устройства, например, смартфона, в научных (ну или хотя бы научно-познавательных) целях обычно воспринимается скептически. Тем не менее, подобное отношение не всегда бывает оправдано и такие проекты, как, например, квантовый генератор случайных чисел, созданный на основе обычного смартфона Nokia N9, способствуют разрушению данного стереотипа.

Но не N9 единой. В этом году мы узнали о еще двух интересных проектах, основой которых стали наши смартфоны, а точнее наш камерофон Lumia 1020. И как бы комично это не звучало, но области в которых задействовано наше мобильно устройство находятся на диаметрально противоположных направлениях: исследования микромиров и исследования космоса.
«Ультраскоп» Джеймса Парра
Как и многие другие мальчишки, в 10 лет Джеймс Парр, основатель агентства Open Space Agency, смотрел ночью на звезды и мечтал посетить самые далекие уголки космоса. Тридцать лет спустя, звезды сошлись таким образом, что Джеймс осуществил свою детскую мечту. Нет, он не стал космонавтом, но, тем не менее, добился своей цели, разработав в сотрудничестве с Microsoft и рядом известных специалистов по астрономии первую в мире автоматическую обсерваторию, части которой можно распечатать на 3D-принтере.

В основе устройства, названного «Ультраскоп» (Ultrascope) лежит Lumia 1020 c 41-мегапиксельной камерой. И оно, по словам создателя, должно полностью изменить подход к астрофотографии, предоставив возможность сделать качественный снимок звездного неба прямо из окна квартиры.
Детали каркаса «Ультраскопа» создаются при помощи 3D-принтера, а затем собираются вручную в небольшую конструкцию высотой 1 метр и шириной основания 65 сантиметров. Далее на конструкции закрепляются Lumia 1020, система зеркал, приводы настройки и управляющий ими Arduino.
Принцип работы телескопа заключается в следующем: на первом этапе с помощью ноутбука под управлением Windows определяется положение Международной Космической Станции. Эти данные отправляются вычислительной платформе Arduino для его позиционной настройки. После этого наступает очередь Lumia, которая делает снимки в высоком разрешении и отправляет их в OneDrive для постобработки.
Джеймс Парр считает, что устройством смогут воспользоваться все, кому интересно изучение космоса, начиная от профессиональных астронавтов и заканчивая юными энтузиастами.
«Мы живем в удивительное время, — замечает Джеймс, — когда массовые потребительские технологии делают общедоступными такие вещи, которые еще несколько лет назад мог себе позволить лишь узкий круг профессионалов. Теперь астронавты-любители по всему миру просто могут скачать макет «Ультраскопа» через Интернет, напечатать детали с помощью 3D-принтера и собрать устройство вручную. Вставить свой смартфон в устройство и начать удивительное путешествие».

В данный момент разработчики проекта активно призывают всех желающих поучаствовать в бета-тестировании. 3D файлы для печати каркаса телескопа в ближайшее время можно будет скачать на официальном сайте OSA.
В последующие 12-18 месяцев запланирован выпуск новых, более усовершенствованных моделей. А пока команда дизайнеров и разработчиков Microsoft помогают OSA с девелопментом пользовательского приложения для работы и управления телескопом.
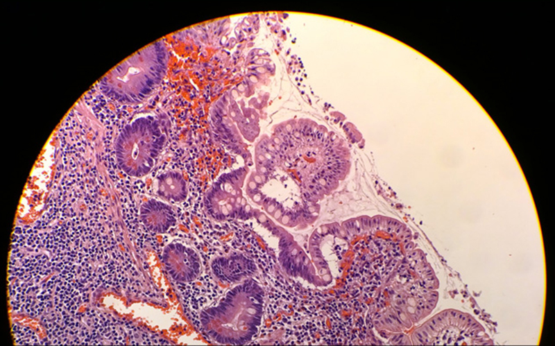
Фотомикрография Джона Граффа и Марка Ли-Чена
Листая профессиональный медицинский журнал «Гистопатология» (экспертиза тканей тела), меньше всего ожидаешь встретиться со статьей про смартфон. Тем не менее, в этом году заголовок со словосочетанием «Nokia Lumia 1020» появился и в этом издании.

Стоит заметить, что это не рекламный материал, а научная заметка Джона Граффа и Марка Ли-Чена, исследователей из отделения патологии Калифорнийского университета, в котором они подробно описывают способ использования 41-мегапиксельной камеры нашего смартфона в качестве устройства для получения качественной фотомикрографии, то есть снимков, сделанных с использованием микроскопа.
Возможно, это кажется неочевидным, но не каждая камера подойдет для подобного рода научно-исследовательской практики. Чтобы добиться высокого качества снимков, необходимы специальные штативы и долгие часы точной настройки для каждого микроскопа. Иногда специалисты используют стандартные фотоаппараты или камеры традиционных смартфонов, но в большинстве случаев снимки получаются смазанными и недостаточно детализированными.
При этом точность и четкость снимков здесь играет предельно важную роль. К примеру, размер некоторых бактерий равен всего нескольким микронам, то есть меньше размера эритроцитов. Здесь и пригодились отличительные качества Lumia 1020: высокое разрешение и возможность постобработки (в данном случае увеличения снимков) без потери качества. По словам самих ученых, работа с цветными снимками высокой четкости позволяет увидеть важные мелкие детали, в том числе форму клеток, их цвет, заражена ли она инфекцией и так далее. Так, например, в одном из сложных клинических случаев, описанным в статье, именно благодаря высококачественным снимкам, сделанным на смартфон, ученым удалось выявить редкий тип бактерии и назначить правильное лечение.

Примечательно, что в рамках десятимесячных полевых исследований использовались только снимки в формате JPEG, и авторы справедливо полагают, что съемки в режиме цифрового негатива (RAW DNG) могут обеспечить ещё большую детализацию изображения.
Также, доктора придали особое значение оптической системе стабилизации, позволившей им делать снимки через ствол окуляра микроскопа прямо с рук. Это означает, что в условиях ограниченного времени медицинские работники смогут заниматься исследованиями максимально эффективно даже с несколькими микроскопами одновременно.
Автор: 100tonn


