Ученые обнаружили в пациента редкого ленточного червя. Вместо того чтобы навсегда избавиться от паразита, они решили секвенировать его геном.
Ленточные черви являются опасными паразитами. Очень часто они паразитируют в кишечнике человека. Их нахождение там вызывает инфекционный процесс под названием спарганоз. Типичными симптомами начала заболевания являются слабость, потеря веса и боли в животе. Но это не самое страшное: личинки некоторых видов плоских червей могут проникать в глаза, головной и спинной

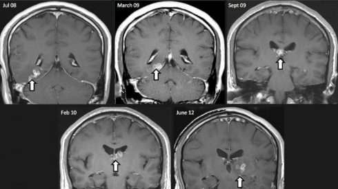
Один из таких червей пробрался в

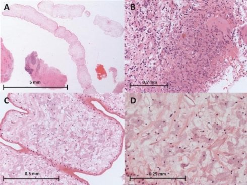
После операции по извлечению червя из
Spirometra erinaceieuropaei – это редкий вид ленточного червя, который обычно встречается в Китае, Южной Корее, Японии и Таиланде. Как правило, в организм здорового человека этот паразит попадает вместе с зараженной водой и пищей (недоваренное мясо лягушек и змей). По словам ученых, экспансия генов помогает червю проникать в организмы различных животных.
Результаты исследования были опубликованы в журнале Genome Biology.
