
Затем проснулся, на часах — плюс четыре часа, во рту все зубы новые (импланты и временная конструкция).
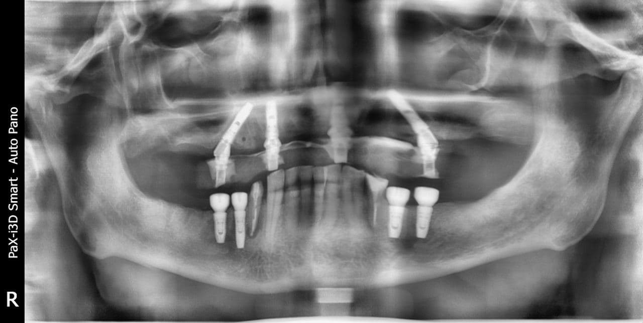
Расскажу просто эпический случай мужика, который пострадал от российской медицины далеко не один раз. Итак, на момент приёма у нас пациенту 75 лет. Он несколько десятков лет наблюдался у своего постоянного стоматолога, но его привело в некоторое сомнение то, что последнее, что он ему сделал, отвалилось через неделю. И мужчина решил получить второе мнение. Мы и были вторым мнением. На диагностике мы увидели, что каналы корней вылечены плохо и давно, перелечивать их смысла уже нет, потому что ткани над десной тоже почти нигде нет. И из этих фрагментов зубов показываются штифты, то есть культевые вкладки потеряли герметичность. Вторичный кариес дополняет картину постапокалипсиса.
Как можно довести зубы до такого состояния? С трудом. Как оказалось, нужно просто наблюдаться у своего единственного врача. У меня есть много гипотез, что же пошло не так, но мы не узнавали эту часть, поэтому давайте остановимся на объективных данных, то есть полученных инструментальными способами.
Краткая хронология
1. Пациент приходит на консультацию. Точнее, его приводит сын, потому что, похоже, что-то пошло не так с прошлым врачом. Это что-то вообще-то можно заметить невооружённым взглядом, но сын далеко не дантист. Но в целом он способен понять, что пеньки зубов с торчащими из них странными штуками — это не очень здоровая ситуация. В руках у пациента — коронки, которые отвалились буквально недавно. Итого восемь пеньков на верхней челюсти и несколько сохранившихся зубов на нижней. Визуально зубов нет, внутри кости есть разрушенные корни, сверху — культяшечки, на которые пытались приклеить конструкцию.

2. Мы сканируем ротовую полость 3D-сканером (это панорамная камера с координатной привязкой), делаем КТ, получаем полную картину снаружи и внутри. Видим описанную выше ситуацию.
3. Пациент уходит домой.
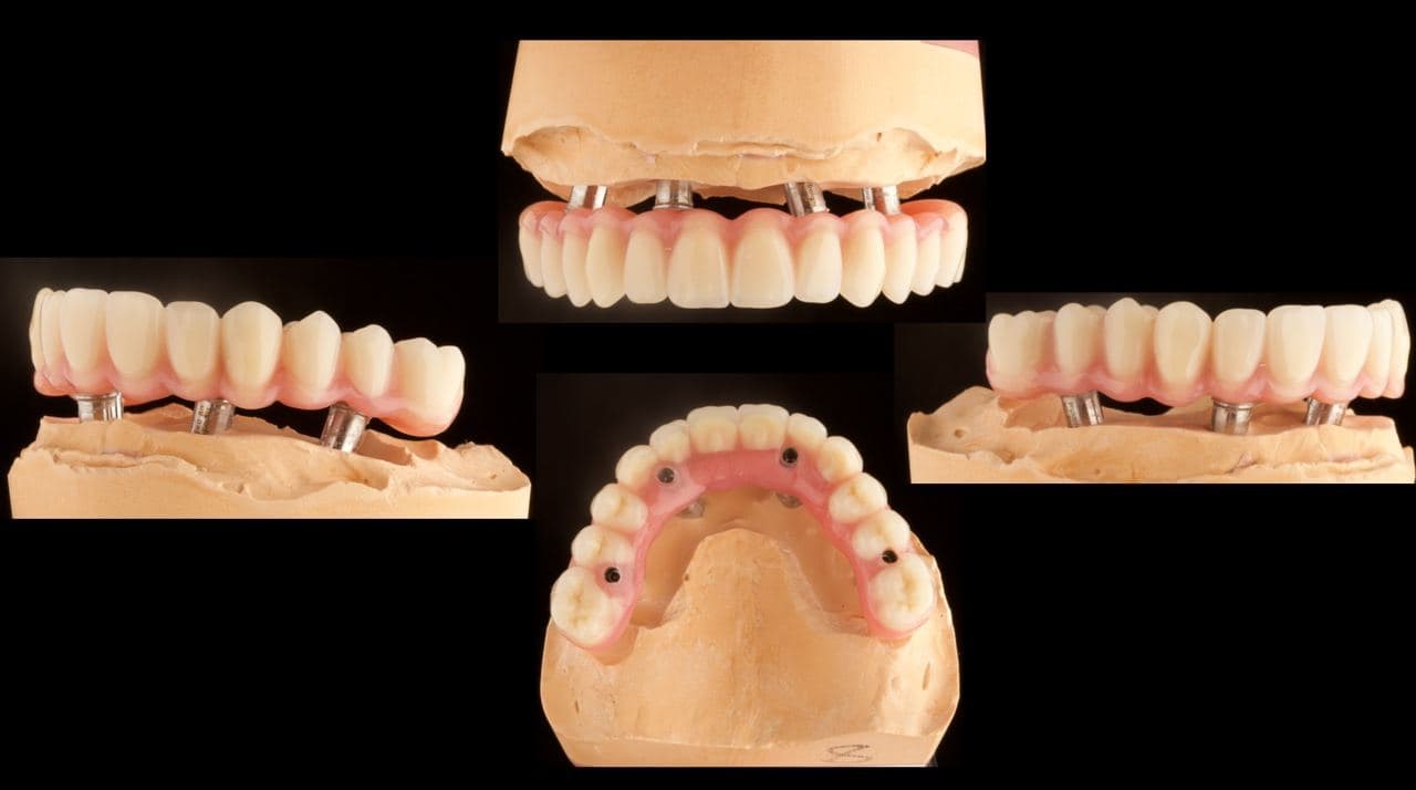
4. Мы собираем консилиум, планируем операцию и расположение имплантов, делаем по координатам двух исследований временную конструкцию (протезы зубов на полгода ношения), печатаем её и навигационные шаблоны на нашем 3D-принтере в клинике.

5. Второй приём: гигиена и назначение антибиотиков (широкий спектр, амоксиклав — это старый добрый пенициллин в современной оболочке, снимающей вопросы полирезистентности). Пациент всё равно будет принимать антибиотики после операции, но мы начинаем раньше, потому что была инфекция.
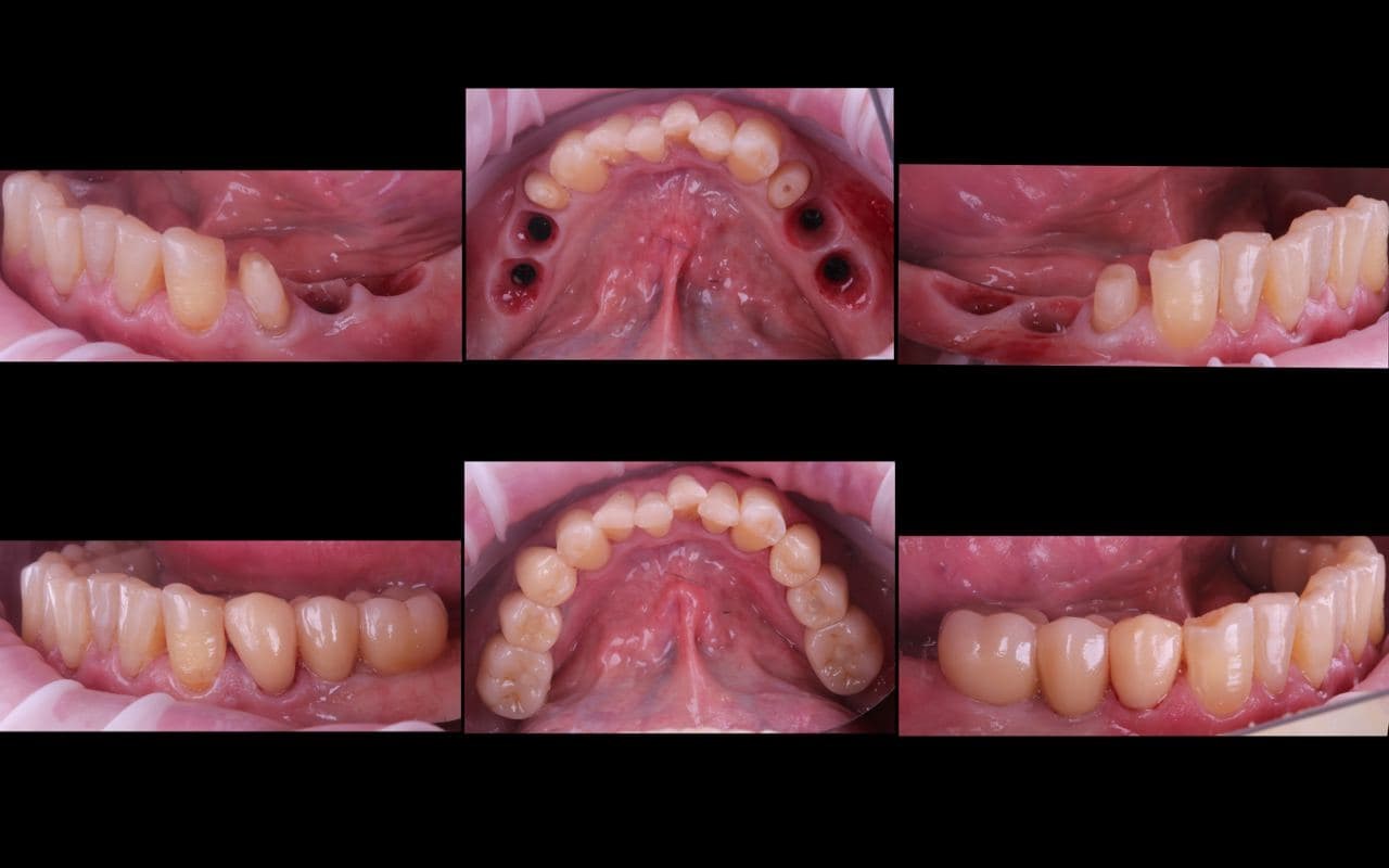
6. Следующим утром пациент приходит, засыпает в кресле под присмотром анестезиолога, мы удаляем все верхние зубы, прикладываем навигационный шаблон, вкручиваем заранее спроектированные импланты в места по шаблону, насыпаем графт экзогенной костной ткани вокруг двух участков, фиксируем ткани и ставим сверху временную конструкцию.

7. Будим пациента, он сидит в кресле, ничего не понимает, но улыбается и трогает пальцем новые зубы.

Сколько стоило
Случай был достаточно давно. Сегодня такой объём вмешательств со всем обслуживанием и осмотрами обойдётся в нашей клинике в сумму примерно около 800 000 российских рублей. Про ценоформирование и важность поддержки имплантов и через 20 лет я уже писал.
Зачем нужны зубы в таком почтенном возрасте
Количество и качество оставшихся зубов прямо влияют на потенцию, когнитивные возможности, пищеварительную систему и выражение лица. Ну и ещё на способность жевать вкусный стейк. А про потенцию и интеллект (точнее, связь со старческим слабоумием) я не шучу. В данном же конкретном случае речь шла в первую очередь о качестве жизни, потому что жить с тем, что было у пациента, конечно, можно, но несколько неприятно. Мы, как и любые другие врачи, за то, чтобы пациенты умирали как можно более здоровыми.
Почему пациент не решил свою проблему годами раньше
Скорее всего, потому что боялся имплантов. Его лечащий врач, уважаемый профессор, увы, пользовался данными примерно 70-х годов, когда ситуация действительно была такова, что вместо имплантов в данном возрасте лучше рекомендовать пациенту съёмный протез. Про то, что это за инструмент инквизиции, кстати, у нас есть отдельный пост. В логике 70-х годов решение полностью верное. С точки зрения 10-х или даже 20-х годов текущего века пациента осознанно пытали.
Пациенту пытались поставить мостовидный протез, потому что раньше был такой метод, когда зубы подпиливались, удалялись нервы, и туда ставилась замечательная конструкция, которая отлично работала полвека назад и была тогда передовым краем клинической практики. В общем, я не знаю всех деталей, но пациента, похоже, лечили в несколько итераций, в ходе которых он постоянно наблюдался у своего врача и получал всё новые и новые вмешательства. В момент, когда я его увидел в клинике, коронки физически отвалились, поэтому полный план лечения представить сложно. К этому добавились практическое отсутствие ухода и как следствие — ужасная гигиена и вторичный кариес, который разрушил дополнительный объём тканей.
Полагаю, что пациент боялся лишний раз показываться врачу и поэтому довёл зубы до такого состояния сам. Но это проблема врача, потому что нужно обязательно объяснять пациенту, как конкретно ухаживать за тем, что он, врач, оставил во рту у человека. Если бы это случилось в моих клиниках — это считалось бы однозначной ошибкой врача.
Конечно, вы можете спросить, почему тот врач не посоветовал что-то лучше. Опять же у меня нет таких данных. Но я подозреваю, что он не умел, либо умел, но прошлое или позапрошлое поколение. По известной мне с конференций статистике учится около 5–7 % врачей в стоматологии, остальные работают на слепке своих университетских знаний. Это очень мало. Большинство врачей после окончания университета нигде ничему не учились. Они формально посещают курсы повышения квалификации, которые есть при институтах. Что-то проходят, но этого, конечно же, недостаточно. Мне кажется, что тот врач давно работает по своим вполне действующим схемам. В пограничных случаях, где современные методы подошли бы, а его — нет, он говорит: «Всё, вы в возрасте, зубы ваши испортились. Пора удалять. Съёмный протез». В этот момент уже сын пациента по словам «съёмный протез» догадывается, что что-то идёт не так.
Тут надо коснуться того, как вообще новинки проникают в практику. Вот ломал я ногу в студенчестве. Пришёл к врачу на осмотр, он спрашивает: а чего я полимерный сразу не поставил. И продолжает: «Есть такой полимерный гипс, он как носок делается, лёгкий и очень прочный. В нём ещё мыться можно и купаться». Если вы ломали ногу, то знаете, что это значит. Дальше в дороге мне этот гипс надо было снять. Я просто взял ножницы и срезал его за полтора часа ковыряния полимера (он очень прочный). А потом оказалось, что можно было доплатить условно 500 рублей в кассу, и был бы такой же гипс, но на молнии. Вот с протезами — примерно так же: техника давно дошла, но врачи продолжают делать то, что хорошо работало раньше.
Конечно, пациент не сразу решился на такое вмешательство. Он доверял своему сыну, а сын доверял нам и доказательной медицине. Вкратце, по нашей биоэтике, мы должны объяснить все нюансы вмешательств, все возможные риски и последствия. Пациент осознанно отказался от подробного медицинского объяснения хода операции и возможных рисков и переложил решение на сына. Поскольку тот сказал, что так будет лучше, дальше пациент не сомневался. Если бы он был без сына, мне было бы очень тяжело убедить его на что-то подобное, потому что авторитет врача, который явно ошибся и ошибался неоднократно, всё равно выше моего. Особенно если учесть, что тот врач старше меня раза в два. Но коронки отвалились. И дальше стало понятно, что нужен кто-то ещё, кто посмотрит.
Вообще, чтобы поставить мост, нужно иметь условно хотя бы два параллельных штыря, на которые он будет крепиться. Если они будут сходиться или расходиться, то получится неправильный путь введения, и держаться конструкция будет только на склейке с имеющимися тканями подточенных зубов. Пациенту, собственно, удалили нервы, подточили зубы и установили всё это сверху. Дальше под конструкцию стала попадать пища по какой-то причине, ткани увлажнились, перестали удерживать конструкции химическим путём, а механического там не было сразу из-за плохого исполнения. Результат предсказуем и ожидаем.
Что мог бы сделать его прошлый врач? Как минимум — начать думать о зубах как о чём-то постоянном, а не о чём-то, что он же удалит через полгода-год. Возможно, тогда были бы и другое исполнение, и другое отношение к гигиене, то есть пациента элементарно научили бы чистить зубы правильно, чем резко улучшили ему качество жизни и сэкономили бы пару миллионов рублей. Мы на своей гигиене показываем, где сложные участки у конкретного пациента (то есть красим ваши зубы и снимаем изнутри ротовой полости), а дальше показываем, как правильно и удобнее туда дотягиваться. Если захотите. В смысле это входит в услугу, потому что мы хотим, чтобы кариес у вас не возник. Потому что зарабатываем мы не на этом, а на эстетике, а эстетика случается через несколько лет доверия врачу. А тяжело доверять врачу, если он не за здоровье.
Некоторые аспекты того, что сделали мы
Временная конструкция на свежие импланты — не самая стабильная вещь. Первые две недели в такой ситуации нужно есть уже пережёванную пищу вроде пюре, каш и мягких котлет, пока не закрепятся импланты. Полностью интеграция достигается за несколько месяцев, обычно за четыре-шесть, плюс ещё прогресс медленно идёт до полугода. В это время нельзя есть ничего твёрдого вроде леденцов, потому что усилием больше 35 килограммов можно сломать пластик конструкции. В данном конкретном случае импланты прижились хорошо, с костью всё было в порядке, пациент через полгода перешёл на постоянную конструкцию (мы просто сняли временную и поставили в её слот постоянную, это быстро) из более прочного и долговечного материала. «Постоянная» – это сильно сказано, она на 20–25 лет, реже — на 40. Но математическое ожидание подсказывает, что она будет работать пожизненно. То есть он ел котлеты две недели. Потом пять с половиной месяцев были противопоказаны целая морковь, сухари и орехи. Но на практике современный пластик очень прочный, и я даже знаю пациента, который открыл так бутылку с пивом с крышкой старой конструкции. Кстати, эти крышки — давний спонсор стоматологов по всему миру.
Почему сразу удалили и поставили? Потому что одномоментное удаление зубов и установка имплантов — это best practice стоматологии: если можно сразу удалить зуб и установить имплант на его место, так можно и нужно делать. Если вам выбили зуб, то в течение четырёх–шести часов ещё не поздно имплантировать его же обратно, а в течение двух-трёх дней ещё не поздно сделать имплантацию одномоментно. Если же пройдёт больше времени, то кость начнёт деградировать, и придётся проводить дополнительные процедуры. Следующее окно возможностей для имплантации откроется через несколько месяцев. Поэтому или сразу всё за один раз, или медленно и мучительно за пару лет. Подробнее про подобный случай есть вот в этом посте с описанием случая пациента, встретившего дерево.
Пациент пил антибиотики пять дней: два до операции, три — после.
В чём ещё могла быть проблема с этим пациентом?
К страху врачей мог добавиться ещё диагноз из Гугла. К сожалению, если начать искать отзывы в поиске на те или иные виды вмешательств, то будет очень много субъективной информации, маркетинга и SEO-страниц, защиты имеющихся технологий (потому что на новые клиники не накопили) и так далее. Объективно нужно смотреть исследования и клиническую практику, но это понимают далеко не все. В итоге можно легко прийти к выводу, что старые технологии — самые проверенные, надёжные и рекомендуемые. В медицине это за редкими исключениями почти всегда не так. Если что-то прошло FDA или применяется в клинической практике в нескольких развитых странах, то почти всегда это будет улучшенная версия чего-то старого доброго или вообще новая технология. Съёмный протез в поисковой выдаче эффективен и хорош, а по факту для этого пациента — нет. То, что мы собирались делать, — уже давно базовая процедура, обкатанная в мировой практике и прошедшая все возможные одобрения.
Такие случаи встречаются довольно часто
Данный пациент, конечно, — наш рекордсмен по объёму вмешательств, но подобные ситуации встречаются очень и очень часто. Последний случай был такой: девушка за полтора года (ортодонтия и много медленных смещений) прошла путь от просто ужасной улыбки до абсолютно ровных здоровых зубов. А потом поехала отдыхать, вернулась вообще другим человеком, абсолютно счастливая и говорящая, что просто не верится, что так могло быть. Для неё состояние зубов было данностью, и её врачи до этого даже не говорили особо, что можно всё поменять эстетически. С их точки зрения, пока её зубы активно не заражают другие органы своей инфекцией — и ладно.
В общем, я просто хотел сказать, что там, где следят за наукой и её прикладными аспектами, обычно можно то, что ещё кажется невозможным в других местах. А если добавить к этому недоверие к врачам (около 85 % пациентов хотят получить второе мнение другого врача), то просто учитывайте, что получать это второе мнение нормально. Верьте рациональному и доказательной медицине.
Автор: Артём Газаров
