
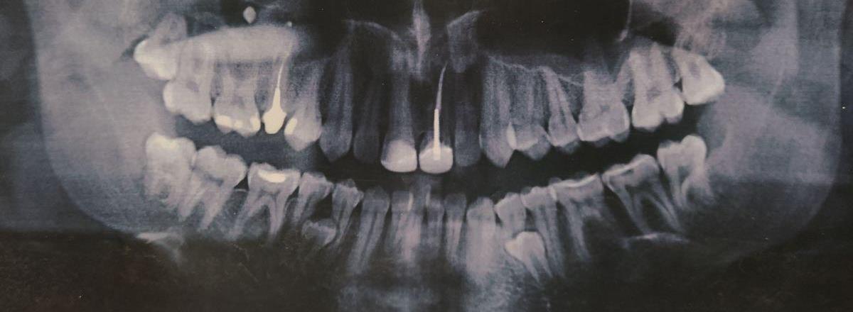
В 16 лет я увидел панорамный снимок на фото выше и, уже успев натерпеться стоматологии и врачей, я загрустил (я только что сильно болел фронтитом и гайморитом в 15 лет, в 7 классе только перестав носить пластинку, я побежал, споткнулся и выбил передние зубы о бетонную плиту). Я спросил врача в Красноярске, который анализировал снимок, мол что же делать с лишними зубами (а тогда они еще не особо мешали и только слегка прощупывались)? Я получил довольно точный ответ в духе - нужно надрезать десну, отворачивать ее, сверлить кость и удалять зубы. Это меня впечатлило настолько, что я отложил решение этого вопроса аж до 29 лет. Да и не до этого как-то было.
В 29 лет у меня встал ребром другой вопрос. Я сломал зуб, у меня испортились зубы мудрости (2 из 4) и стало понятно, что этот вопрос комплексный и системный. Откладывать нельзя и половинчатые решения неприемлемы. Зубы мудрости удаляются парами. Испортились зубы с 2 сторон. Да и сверхкомплектные зубы стали немного беспокоить, а один из них аж показался и пошел вверх. А для комплексного решения вопроса … нужно удалить сразу 7 зубов: 4 зуба мудрости, 2 ретинированных сверхкомплектных зуба и один сломанный зуб. Понятно, что надо было подойти к этому вопросу основательно.
Я успешно прошел через этот процесс. И признаться был удивлен и шокирован, в первую очередь тому, что это далеко не так страшно как я думал. И самые неприятные сюрпризы ждали меня не там, где я ожидал. В этой статьей я постараюсь рассказать вам про свой опыт. Статья будет полезна тем, кто находится в похожей жизненной ситуации: мешают зубы мудрости, сломался зуб, есть "лишние" зубы или все вместе. Я в аналогичной ситуации банально боялся. Бояться не надо, надо бороться со страхом информацией.
В статье не будет никаких ссылок (и даже хорошей рекламы), только выжимка моего опыта, выводов и логических рассуждений со всеми плюсами и минусами. Если какие-то из моих выводов противоречат практике, научному консенсусу или вашему опыту - будет интересно обсудить.
Внимание, на некоторых фото есть моя кровь.
Про рынок стоматологии
Про зубы мудрости, ретинированные и сверхкомплектные зубы очень много мифов, ложной информации и маркетинга. Несмотря на то, что стоматология является почти идеальным рынком из учебника по микроэкономике, если вы начнете гуглить что-то, вы увидите, что доступная информация стремится к "бьюти-инфлюенсерам" по своему качеству, научному и фактологическому обоснованию.
Качественной публицистики от практикующих специалистов очень мало. Также не добавляет уверенности обилие мифов про ЧЛХ и тот факт, что стоматология будучи опять же идеальным рынком (цена одинаковая в рамках одного региона), привлекает много оппортунистически настроенных товарищей (цены относительно высокие, материалы импортные, но глобально - даже в Москве цены не такие высокие как в мире, я лично видел девушку летавшую из Австралии в Красноярск лечить зубы).
Всех интересует простой вопрос - как найти качественного специалиста на ответственную операцию в условиях информационного шума? Тем более, что тут нужен именно не просто стоматолог, а хирург-стоматолог. Какое-то время назад были живы сайты с отзывами на врачей, но на начало этого процесса они как-то меня не очень впечатлили.
Приведу свой выжимку информации и список "красных флагов" (я не специалист, если вы специалист - поправьте меня):
-
Если один и тот же человек в клинике и хирург, и терапевт, и ортопед (протезист) и занимается изготовлением постоянных коронок (не временных) и ортодонт (правит прикус) - это повод задуматься;
-
Самый простой "красный флаг" - спросите что происходит ПОСЛЕ операции. Нормальный ответ - вас пригласят на несколько бесплатных осмотров, где врач будет вас мониторить;
-
Другой простой "красный флаг" - спросите, что будет происходить, если что-то пойдет не так во время или после операции и как от этого изменится цена. Задайте банальный вопрос - а что будет, если в 3 часа ночи на следующий день вы проснетесь с невыносимой болью и какими-то очевидными проблемами или осложнениями. Типичный ответ плохих врачей - терпите, приходите через неделю, надо сделать повторную операцию;
-
Вынесем за скобки вопрос источника получения опыта (опыт в хирургии строится "на крови"), но хирург должен иметь большой опыт;
-
Тут могу ошибаться, но проведение подобных операций не требует полного наркоза, ЧЛХ, стационара, дополнительных внутривенных инъекций и веселящего газа кроме совсем жестких краевых случаев. Если вам продают обратное в типовом случае без веских причин - бегите;
-
Хороший хирург должен: описать побочные эффекты операции, описать текущее состояние и дать оценку вероятности что "все пойдет не так", дать вилку действий в обоих случаях, спланировать восстановление и прием медикаментов после операции;
-
Хороший хирург должен уметь объяснить почему он предлагает именно такое лечение. Если оно сложное, он должен обосновать необходимость каждой его составляющей. Сложно => лишние действия => осложнения;
-
Любая риторика на тему "вот наши материалы плохие, но вот есть дорогие и они точно классные" - как правило это развод и показатель типичной "карусели". Если вам предлагают выбор из опции А и Б, должны быть четкие и понятные вам критерии, а не FOMO или FUD;
-
Как правило, если людям небезразлично, они дадут сразу после операции вам лед (почему это важно читайте специалистов). Лед ничего не стоит;
-
Я читал анекдоты про людей советской закалки, кто прекрасно удаляет зубы и в гос. клиниках, но у меня честно говоря нет алгоритма как найти хорошего хирурга там (кроме просто тупо проверить на опыте в ближайшей районной клинике);
-
Банально сделайте "должную проверку" всех социальных сетей и методов связи с клиникой. Отвечают ли они, насколько быстро отвечают, чем наполнены их аккаунты, есть ли какие-то внятные публикации или публичная статистика их клиники;
-
Банальная проверка - есть ли прямые контакты на всякий случай в после-операционный период?;
Также вы можете сформировать свое мнение прочитав несколько таких источников, и задать все недостающие вопросы врачу. Как минимум по реакции вы очень много узнаете.
У меня например случился эксцесс - после удаления одного из зубов мудрости (нижнего) десна натянулась и проступил острый кусок кости. Организм на это сразу бурно отреагировал (ощущения как при гриппе) - кость торчит. В моем конкретном случае мне оперативно и бесплатно помогли (более того, я улетал в тот день) вне графика.
Как ни странно еще один хак - хороший врач старается строить свой персональный бренд (даже если он еще на этапе наемного сотрудника) или бренд своей компании. Если врач этим не занимается, это не значит, что он плохой. Не всем дано быть предпринимателями. Но если человек этим занимается, это дает на порядок больше информации, но и повышает требования к нему на порядок.
Картина на начало процесса и пара слов про зубы мудрости

Картинка не архисложная, но и не простая:
-
2 сверхкомплектных зуба, один полностью сидит внутри, коронка одного показалась;
-
2 зуба мудрости сильно испортились (увидите на фото ниже) - но лечить их никто не хочет (дальше будет понятно почему);
-
1 зуб сломан ниже десны (его тоже надо удалить);
-
Из-за зубов мудрости резцы снизу скучились, и вообще все это удовольствие это прелюдия для исправления прикуса (но об этом как-то потом);
То есть удалить надо 7 зубов. У меня это было сделано в 5 заходов:
-
Зубы мудрости удаляются всегда парами (почему пусть специалисты подскажут, но вроде иначе один потом "вываливается" без опоры);
-
Если удалять сразу зубы с двух сторон, то качество жизни снижается - становится сложно есть;
-
Ретинированные зубы удаляют надрезая десну и сверля кость. В моем случае они были снизу c 2 сторон, а поэтому пришлось выносить их в отдельные процедуры;
-
Сломанный зуб удаляют как можно позже, чтобы кость не успела "рассосаться" перед протезированием (сразу перед протезированием, но об этом как-то потом);
Собственно само удаление зубов, неожиданности, мифы и заблуждения
Статья уже разрослась, поэтому перейду на совсем пунктирный режим повествования в формате - миф + опровержение vs. горькая правда.
Мифы
-
Удалять зубы мудрости страшно и опасно. Уровень риска и страха тут сильно раздут отсутствием адекватной информации;
-
Нужен наркоз, седация, стационар - в общем случае нет;
-
Зубы "рвут" плоскогубцами. Чем сильнее действие - тем сильнее травма. Рвут их только криворукие. По идее зубы аккуратно достают, выковыривают или высверливают;
-
Удалять зубы больно. В общем случае я вообще ничего не чувствовал кроме прикосновения даже при сверлении кости, но есть исключения. Но вот зубы мудрости на нижней челюсти это другой разговор;
-
Отек делающий ваше лицо в 2 раза больше это нормально. Это скорее исключение и показатель или объективных проблем, или кривых рук;
-
С лунками надо что-то делать, ковырять, сыпать, промывать. При прочих равных нет, все само зарастет, главное не трогать и чтобы лунки не засорялись едой;
-
Удаление зуба занимает много времени. Если не считать время на приветствия, обсуждения и анестезию, то верхние зубы мудрости мне удалили секунд за 15-20 (менее минуты), а нижние несмотря на сложности с анестезией - ну минут 10-15 от силы. Скорости удаления сверхкомплектных и скорости установки импланта я вообще удивился - я не успел испугаться и буквально через несколько минут все закончилось. Я ждал волшебного момента когда увижу огромный страшный "шуруп", но я его пропустил;
-
После операции долгое восстановление. Один раз (особенно с торчащей костью) мне пришлось попить обезболивающее, но в целом после 24 - 48 часов полная работоспособность. В течение 12 - 24 часов после операции небольшая слабость и сонливость;
-
Крови много. Если все нормально, ее не очень много. Еще в самом процессе ее отсасывают;
-
Их нужно удалять обязательно. Только если они нефункциональны, не помещаются, испортились, сломались или по какой-то другой объективной причине. Статистически, у большинства людей из развитых стран, с ними есть какие-то проблемы, отсюда такой миф;
Горькая правда
-
На нижней челюсти удалять зубы мудрости может быть дико больно. У меня был краевой кейс, где якобы было много мелких кривых корней (не все сохранились) и непонятно где проходят нервы. Анестезия заработала, но не с первого и не со второго укола. Ощущения при распиле немного испорченного зуба мудрости без полностью сработавшей анестезии - феерические;
-
Удалять зубы - относительно дорого. Во всех частных клиниках города всегда примерно одинаковая цена. И удаление стоит не 1000 рублей;
-
Особой статистики по удалению зубов не ведется. Насколько понимаю, это общая проблема особенно частной медицины, тут миллион проблем, останавливаться не будем;
-
Нефункциональность зубов мудрости это глобальный тренд. Слишком хорошо живем, едим мягкую пищу в детстве. У людей в Африке зубы сильно лучше несмотря на стоматологию, которая хуже;
-
За раз удалять все зубы мудрости не стоит;
-
Как правило лечат только функциональные зубы мудрости. Банально - если они сзади стоят не впритык и можно подлезть. У меня был смешанный случай - где-то было впритык, где-то нет. Часто многие терапевты вообще отказываются их лечить;
-
Удалять зубы мудрости проще в юношестве. По идее это надо успеть сделать, пока корни до конца не сформировались. Опять же - нужно четко понимать, что они будут лишними;
-
Какая-то боль все равно будет. К этому нужно быть морально готовым. Не во время, но после операции. Скорее всего придется пить обезбол. Но уровень боли преувеличен. Страх все раздувает. Но это не идет ни в какое сравнение с установкой глубоких пломб или лечением каналов без анестезии;
Из недостатков - я не сравнил процесс удаления зубов в частной и государственной клинике.
Фотки зубов








Вывод
Не бойтесь задавать вопросы, искать, сомневаться. Активно ищите информацию, формируйте информированное мнение. Зубы удалять не страшно. Главное делать только минимально необходимые вмешательства.
P.S.
Почему я всё-таки решился опубликовать статью
Первоначально, я показал свою статью коллегам, и они отговаривали меня ее публиковать, т.к. совсем недавно я опубликовал "нетехническую" статью на Хабре (но что немаловажно - не желтую, не рекламную и не политическую), хоть опыт для нее я собирал 3-4 года. Мол будет совсем выглядеть непрофессионально.
Но потом я показал ее специалистам и они все-таки убедили меня ее запостить, аргументируя тем, что пациенты никогда не пишут такие статьи и тем, что ее содержание на 95% не является мракобесием, хотя ошибки есть.
Поэтому эта статья опубликована здесь в своем первозданном виде, без ссылок, без правок и со всеми фактическими ошибками. Будет лишний раз интересно их обсудить и обсудить опыт людей.
Также мне лично интересно, решал ли кто-то такой же объемный вопрос но через ОМС и какой там алгоритм действий и мир.
Автор: Alexander Veysov
