И хотя ИИ пока справляется не с каждым заболеванием, результаты его работы уже выглядят многообещающе
Для эффективного лечения пациентов требуется сочетание тренировок и опыта. Это одна из причин, по которой люди с интересом ждут перспектив использования ИИ в медицине: алгоритмы можно натренировать на использование опыта тысяч докторов, выдав им больше информации, чем мог бы переварить любой человек.
В конце октября появились некоторые свидетельства того, что ПО, возможно, уже вплотную приблизилось к оправданию этих ожиданий. Было опубликовано две работы, описывающие прекрасные предварительные результаты использования ИИ для диагностики и лечения. В работах указываются совершенно различные задачи и подходы, что говорит о том, что спектр ситуаций, в которых ИИ может оказаться полезным, весьма широк.
Выбор методов лечения
Одно из исследований концентрировалось на сепсисе (заражении крови), происходящем при чрезмерно сильной реакции иммунной системы на инфекцию. Сепсис является третьей по частоте причиной смерти во всём мире, и остаётся проблемой даже после госпитализации больного. Методы лечения пациентов существуют, но, судя по статистике, имеются значительные возможности для улучшения ситуации. Поэтому небольшая команда учёных из Британии и США решила проверить, не сможет ли ПО обеспечить это улучшение.
Они использовали алгоритм обучения с подкреплением, считающиеся эффективными в ситуациях с «редкими сигналами вознаграждения». Иначе говоря, у такой большой выборки популяции в организме будет происходить много всего прочего, кроме сепсиса, что повлияет на результаты любого лечения, в связи с чем сигналы эффективного лечения будут слабыми и трудноразличимыми. Такой подход был разработан для увеличения шансов их распознавания.
Для тренировки ПО была использована большая база: более 17000 пациентов реанимации и 79000 госпитализированных пациентов из более чем 125 клиник. В данных пациентов содержались 48 параметров информации, от жизненно важных показателей и лабораторных анализов до демографии. Алгоритм использовал данные для определения лечения, максимизирующего шанс на выживание пациента в течение 90 дней. Исследователи назвали получившееся ПО «ИИ-клиницистом».
Для оценки качества работы ИИ-клинициста использовали отдельный набор медицинских историй пациентов. Алгоритм использовали для выбора метода лечения, после чего сравнивали реальное лечение пациентов с предложенным алгоритмом. В целом ПО рекомендовало меньшие дозы инъекций и более высокие дозы сосудосуживающих лекарств. Люди, лечение которых совпадало с такими рекомендациями, выживали чаще других групп пациентов.
Диагностика
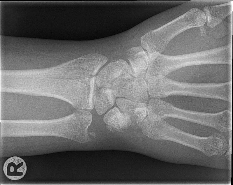
Во второй работе оценивалась способность обнаружения проблем, требующих лечения, в частности, переломы костей. Часто такие проблемы легко увидеть, но небольшой скол или маленькую трещину тяжело заметить даже специалисту. В большинстве случаев диагностика ложится на плечи не специалиста, а доктора, работающего в скорой помощи. Новое исследование не стремится создать ИИ, замещающий докторов, оно лишь хочет им помочь.
Команда попросила 18 хирургов-ортопедов поставить диагноз по 135 000 изображениям потенциальных переломов запястий, а затем использовала эти данные для тренировки алгоритма, свёрточной нейросети с глубинным обучением. Алгоритм использовали для того, чтобы он отмечал области, на которые стоит обратить внимание докторам, не являющимся специалистами по ортопедии. По сути, он помогал им сконцентрироваться на областях, наличие перелома в которых было наиболее вероятно.
В прошлом подобные испытания выдавали слишком большое количество диагнозов, и доктора рекомендовали проведение дополнительных тестов в безобидных случаях. Но в данном случае точность диагноза повысилась, а ложные срабатывания понизились. Чувствительность (или возможность) определять переломы поднялась с 81% до 92%, а точность (способность ставить правильный диагноз) поднялась с 88% до 94%. В сумме это означает, что у докторов скорой помощи количество неправильных диагнозов снизилось бы почти в два раза.
В обоих исследованиях ПО не использовали в контексте, полностью отражающем медицинские обстоятельства. У докторов скорой помощи и врачей, лечащих сепсис (а это могут быть одни и те же люди) обычно будет много дополнительных поводов для волнения и отвлекающих моментов, поэтому интеграция ИИ в их работу будет сложным делом. Но успех данных попыток позволяет предполагать, что клинические испытания ИИ могут начаться раньше, чем считалось, и после этого мы по-настоящему узнаем, насколько ИИ может помочь ставить реальные диагнозы и назначать лечение.
Автор: SLY_G
