Токсоплазма и Токсоплазмоз или Одноклеточное, которое (похоже) научилось стерилизовать мужчин

в 12:30, , рубрики: igg igm токсоплазмоз, Jaroslav Flegr, toxoplasma, Toxoplasma gondii, анализ на, анализ на токсоплазмоз, антитела, барьер, беременность, болезнь, в крови, внутриклеточный, врожденная, вызывает, где живет, где обитает, гематоэнцефалический, гондии, ГЭБ, дезинфекция, диагностика, жизненный цикл, иммунитет, как лечить, как передается, как понять, кошки, любовь к кошкам, мозг, наполнитель, нейробиология, ооциста, ооцисты, основной, паразит, паразитология, последствия, препараты, промежуточный, профилактика, пути заражения, пцр, радуризация, размножение, рождаемость, симптомы у кошек, спороциста, способ заражения, строение, токсоплазма, токсоплазма и поведение, токсоплазмоз, токсоплазмоз при беременности, токсоплазмоз у человека, триада Грэгга, триада Сэбина-Фельдмана, управляющий, фертильность, Флегр, хозяин, циста, чем опасен, чем опасна, что такое, шизофрения, Ярослав
Про токсоплазму которая живет в котах и способна управлять поведением человека и делать его кошатником писал уже и жук, и жаба. Потому что токсоплазма известна больше ста лет, котов любят все, да и сову этой темы легко натянуть на глобус зомби-апокалипсиса/управления сознанием и проч. Идеальный набор. Но в таких потасканных темах сложно найти что-то интересное, да и токсоплазму я, в отличие от большинства, всегда скорее рассматривал в качестве биомедицинского инструмента (хотя я и опарышей так рассматривал). В общем писать не собирался. Но ровно до тех пор, пока не увидел свежее исследование от Zahady Velásquez из одного немецкого института паразитологии и не услышал ее тезис «единственный способ борьбы с этим — информирование». Статья заставила меня снова взяться за потертую IBM Model M, чтобы «вознести дары Хабру». Под катом небольшая «токсоплазматическая рефлексия». Заодно узнаете, какое отношение к этому всему имеет рыжий мужик с обвалочным ножом на КДПВ

Токсоплазма и Токсоплазмоз или Одноклеточное, которое (похоже) научилось стерилизовать мужчин - 1

Хотя лукавлю
Про то, что писать про токсоплазму не собирался. Мысли были, как минимум когдя я всуе упоминал токсоплазму во время провоедения конкурса на выбор тотема LAB-66. Она была среди претендентом, но читатели не оценили значимость и это непростое-простейшее набрало всего лишь 4% голосов…

Токсоплазма. Краткая биография

Итак, токсоплазма. Это одноклеточное впервые было описано более 100 лет назад, в 1908 году независимо друг от друга двумя исследователями (Луи Мансо в Тунисе и Альфонсо Сплендоре в Бразилии). К 1950–1960‑м годам был раскрыт его жизненный цикл, в 1970‑м установили что первопричиной (окончательным хозяином) являются кошки. Примерно к 1990‑м годам определили, что ключевые пути заражения — это контакт с кошачьими фекалиями и употребление сырого или недожаренного мяса. Примерно в то же время был описан и механизм внутриклеточной репликации. Однако лишь в первой четверти 21 века началось изучение влияния этого паразита на нейробиологию и поведение хозяев, что сегодня рассматривают как важный, но очень недооцененный аспект патогенеза такого заболевания как токсоплазмоз. Поговорим про самого распиаренного протиста и мы.

Протисты — это обширная группа преимущественно одноклеточных эукариотических организмов, не относящихся к животным, растениям или грибам. Они характеризуются наличием оформленного клеточного ядра и органелл, но отсутствием тканевого уровня организации. К протистам относят водоросли, простейших — амёб, инфузорий и слизевиков. Протисты считаются предками многоклеточных эукариот

Наш паразит — Toxoplasma gondii — является одним из наиболее медийно известных протистов из типа Apicomplexa. Внутреннее, довольно простенькое, устройство этого биологического объекта показано на картинке.

Токсоплазма и Токсоплазмоз или Одноклеточное, которое (похоже) научилось стерилизовать мужчин - 2

Существует Toxoplasma gondii в трех основных морфологических формах:

  • в виде тахизоитов — подвижных, полулунной формы клеток размером 4–8 мкм в длину и 2–3 мкм в ширину. Обнаруживаются они на острых стадиях инфекции
  • в виде тканевых цист — округлых или овальных образований диаметром от 5 до 50 мкм (иногда до 70–100 мкм), содержащие десятки или сотни брадизоитов. В зависимости от тканей цисты могут дифференцироваться по форме, в головном мозге они обычно сферические, в мышцах — вытянутые
  • в виде ооцист — образований, которые выделяются с фекалиями кошек, имеют размеры 10–12 мкм в диаметре и содержат внутри две спороцисты по 6×8 мкм, каждая с четырьмя спорозоитами (2×6–8 мкм). Характерны для стадии полового размножения паразита

Дополнительно в жизненном цикле выделяют:

  • мерозоиты — промежуточные формы, возникающие в в энтероцитах кишечника кошки на ранних этапах полового цикла паразита
  • гаметы — половые клетки (микрогаметы и макрогаметы), формирующиеся в кишечнике кошачьих и участвующие в половом процессе с последующим образованием зиготы и ооцисты
  • спорулированные ооцисты — зрелые формы ооцист, содержащие спороцисты со спорозоитами, формируется во внешней среде и являющиеся инвазионной стадией для всех промежуточных хозяев, в т.ч. и для людей.

Токсоплазма и Токсоплазмоз или Одноклеточное, которое (похоже) научилось стерилизовать мужчин - 3

Широкое разнообразие форм косвенно связано с тем, что паразит имеет широчайший круг хозяев (в отличие от других паразитов, специализирующихся на 1-2 видах). Токсоплазма инфицирует (как промежуточного хозяина) практически любое теплокровное животное, включая птиц и человека. Основными промежуточными хозяевами принято считать мышей, но с ними вполне может посоперничать домашний скот и птица.

80 % всех овец в Великобритании являются носителями токсоплазмоза

Токсоплазма и Токсоплазмоз или Одноклеточное, которое (похоже) научилось стерилизовать мужчин - 4

Животные-промежуточные хозяева заражаются токсоплазмой случайно, при поедании корма, воды или растений, проглотив спороцисту. Так они, фактически, заменяют мышь в жизненном цикле паразита. После попадания в организм ооцисты превращаются в тахизоиты, которые распространяются по организму и формируют тканевые цисты (брадизоиты) в мышцах, миокарде, головном мозге и других органах.

Круговорот токсоплазмы в природе

Токсоплазма и Токсоплазмоз или Одноклеточное, которое (похоже) научилось стерилизовать мужчин - 5

Всегда стоит помнить, что окончательным хозяином — местом где возможно половое размножение и создание новых генетических комбинаций — являются только и только кошки (все семейство кошачьих). Кошки могут заражаться, поедая промежуточных хозяев с тканевыми цистами или непосредственно проглатывая спорулированные ооцисты. Во всех остальных хозяевах паразит размножается бесполым путем и просто ждет своего шанса на перемещение.

Опасность токсоплазмы для беременных

В абсолютном большинстве случаев вопрос опасности токсоплазмоза поднимается вместе с вопросами о беременности. Причина здесь кроется в том, что латентная инфекция токсоплазмы может передаваться от матери к ребенку и представлять серьезную угрозу для беременных женщин. Паразит в своей активной фазе может вызывать выкидыши и врожденные дефекты.

Токсоплазма и Токсоплазмоз или Одноклеточное, которое (похоже) научилось стерилизовать мужчин - 6

Эта опасность критически зависит от одного фактора — времени заражения матери. Если женщина заражается токсоплазмозом впервые во время беременности, паразит может преодолеть плацентарный барьер и инфицировать плод, который не имеет зрелой иммунной системы для борьбы. Это называется врожденный токсоплазмоз. Его последствия часто описываются т.н. триадой Сэбина-Фельдмана (ранее известной как триада Грэгга)

Триада Сэбина-Фельдмана это...

  • Хориоретинит: воспаление сетчатки и сосудистой оболочки глаза — самый распространенный симптом. В тяжелых случаях приводит к образованию рубцов на сетчатке, необратимому снижению зрения и полной слепоте.
  • Гидроцефалия (она же «водянка головного мозга») — воспаление, вызванное паразитом, может блокировать пути оттока спинномозговой жидкости. Давление жидкости нарастает, разрушая и сдавливая ткани мозга, что приводит к увеличению размеров головы.
  • Внутричерепные кальцификаты (они же «рубцы» в мозге) — отложения солей кальция на месте погибших из-за инфекции нервных клеток. Они являются свидетельством перенесенного некротического энцефалита

Помимо этой триады, возможны и другие тяжелейшие последствия: микроцефалия (уменьшенный размер мозга), эпилепсия, глухота, серьезная задержка психомоторного развития. В самых тяжелых случаях — выкидыш или внутриутробная гибель плода.

Примерно оценить тяжесть последствий для плода VS срок заражения матери может помочь таблица.

Токсоплазма и Токсоплазмоз или Одноклеточное, которое (похоже) научилось стерилизовать мужчин - 7

Как следует из таблицы, наиболее осязаемые риски наблюдаются на первом триместре беременности, именно тогда, когда происходит органогенез (закладка всех органов). Любое инвазивное вмешательство в этот процесс фатально. А вот в третьем триместре органы уже сформированы, и иммунная система плода более зрелая. Пару слов стоит сказать про молекулярные механизмы проникновения токсоплазмы в организм, благо они масштабируются и на взрослых.

Главная особенность токсоплазмы — это ее способность преодолевать гематоэнцефалический барьер, ключевую структуру защиты ЦНС. Для этого паразит реализует две стратегии. Первая это т.н. трансцеллюлярный маршрут или активная инвазия трофобластов плаценты с помощью т.н. апикальных органелл показанных на картинке в начале статьи (микронем, роптрий, гранул плотного содержимого), в которых содержатся эффекторные белки ROP и GRA. Вторая стратегия — это механизм «троянского коня», т.е. инфицирование моноцитов и макрофагов, которые обладают способностью беспрепятственно проходить через плацентарный барьер. Попав в кровоток плода, тахизоиты необратимое повреждение нервной ткани.

Токсоплазма как биомедицинский инструмент

Умение работать с ГЭБ человека делает токсоплазму перспективным (неортодоксальным) инструментом для решения сложнейших медицинских задач. Как здесь да не вспомнить предложение одной международной группы ученых взять и генетически модифицировать паразита, чтобы он доставлял лекарства непосредственно в мозг людям, страдающим деменцией. Хотя тема актуальна не только для деменции, но при при опухолях, болезни Альцгеймера и проч. Белки, которые токсоплазма использует для пересечения ГЭБ можно «прикрепить» к наночастицам, нагруженным лекарством. Такие гибриды получают способность «обманывать» ГЭБ и доставлять свой терапевтический груз непосредственно в мозг, туда, куда обычные лекарства попасть не могут. И вроде бы на мышах и мозговых органоидах все показало довольно обнадеживающие результаты.

Как уже было сказано ранее, после проникновения в кровоток плода тахизоиты (быстроделящаяся форма паразита) проникают в ткани организма, проявляя выраженное сродство к нервной системе, где вызывают необратимые повреждения. Эта патология реализуется в три ключевых этапа.

1. Литическая инвазия нейронов. Тахизоит проникает в клетку-хозяина (нейрон, астроцит, микроглиа), формируя т.н. паразитофорную вакуоль — особый органеллоподобный объект, защищающий протиста от механизмов клеточного иммунитета. Тахизоиты активно множатся в этой вакуоли, расходуя ресурсы клетки, что в итоге приводит к её разрыву (лизису) и массовому высвобождению паразитов в межклеточную среду. Такой каскадный механизм инвазий приводит к формированию очагов некроза и последующей кальцификации ткани мозга.

2. Молекулярный саботаж развития нейронов. Токсоплазма избирательно заражает нейральные стволовые и прогениторные клетки, нарушая ключевые этапы развития мозга. Секретируемые паразитом белки (семейства ROP и GRA) изменяют активность регуляторных путей хозяина: блокируют апоптоз для продления жизни заражённых клеток («создают клетки-зомби), изменяют клеточный цикл, нарушают механизмы экспрессии генов, определяющих деление, дифференцировку и миграцию нейронов. Это приводит к формированию дефектной архитектуры мозга.

3. Иммунопатология и воспаление. Инфицирование активирует врождённый иммунный ответ: микроглия, астроциты и инфильтрирующие лейкоциты начинают продуцировать провоспалительные цитокины, вызывая тяжёлый энцефалит. Эта воспалительная реакция приводит к нарушению кровоснабжения, увеличению проницаемости гематоэнцефалического барьера и блокированию путей циркуляции спинномозговой жидкости, что приводит к гидроцефалии.

Таким образом, токсоплазма нарушает процесс формирования мозга комбинацией трёх механизмов: литической инвазией, молекулярной деформацией развития и иммуноопосредованным воспалением, формируя необратимые патологические изменения в ЦНС плода.

Пару слов про диагностику, ПЦР и антитела к токсоплазме

Диагностика токсоплазмоза базируется на двух основных подходах: серологических методах (определение антител в крови) и молекулярно-генетических методах (ПЦР-диагностика). Серологическая диагностика является наиболее распространённым и дешевым методом и включает определение специфических к токсоплазме антител классов IgG, IgM, IgA и IgE. Для серологии используется иммуноферментный анализ (ИФА/ELISA), иммунофлуоресценция, агглютинация и тест авидности IgG. Молекулярная диагностика — дорогой способ, основанный на полимеразной цепной реакции (ПЦР) и позволяющий выявить ДНК паразита в различных биологических образцах. Особенно ПЦР эффективна для диагностики врождённого токсоплазмоза, проверки спинномозговой жидкости при поражении ЦНС, изучения тканей мозга и внутриглазной жидкости.

Каждый из методов имеет свои преимущества и ограничения. Серологические методы характеризуются доступностью, низкой стоимостью и простотой выполнения, однако они имеют существенные недостатки: длительное сохранение IgM-антител (до 7 лет после острой инфекции) затрудняет идентификацию острой и хронической форм заболевания. Серологические тесты могут давать ложноположительные результаты у пациентов с аутоиммунными заболеваниями и быть неинформативными у больных с ослабленным иммунитетом. ПЦР-диагностика обладает высокой чувствительностью и специфичностью, не зависит от иммунного статуса пациента и позволяет выявлять активную инфекцию. Однако молекулярные методы имеют высокая стоимость, требуют специального оборудования, имеют очень вариабельную чувствительность в зависимости от типа исследуемого материала. Отрицательный результат ПЦР не исключает наличие инфекции, особенно при низком количестве паразитов в крови или локализованном поражении.

Опасность (?) токсоплазмы для всех остальных

При врождённой токсоплазменной инфекции патогенез хорошо изучен, в то время как у здоровых взрослых тяжёлая воспалительная патология ЦНС возникает редко, в основном лишь в условиях иммуносупрессии (СПИД, иммуносупрессивная терапия). Чаще же токсоплазма формирует латентную инфекцию: проникает в нейроны и глиальные клетки, где длительно „консервируется“ в форме тканевых цист. Для защиты от клеточных механизмов иммунитета паразит модулирует внутриклеточную сигнализацию с помощью уже знакомых нам белков ( ROP, GRA и проч), обеспечивая длительное выживание в ткани мозга.

Цисты избирательно накапливаются в структурах, связанных с обработкой мотивации, памяти, страха и принятия решений — в миндалевидном теле, гиппокампе, префронтальной коре, полосатом теле и прилежащем ядре.

Карта мозга

Делалась она, вообще-то, для других целей, но здесь возможно добавит наглядности

Токсоплазма и Токсоплазмоз или Одноклеточное, которое (похоже) научилось стерилизовать мужчин - 8

Эти зоны играют ключевую роль в эмоциональной регуляции, формировании привычек и системе подкрепления. Заселение паразитом этих областей приводит к тонким изменениям в нейрохимии, в частности, к повышению уровня дофамина и изменению активности ГАМК, что в итоге дает снижение тревожности и изменение реакций на стрессовые стимулы. Именно этот механизм дает токсоплазме способность изменять поведение хозяина. То, что определяет не проходящий медийный и научный интерес к протисту.

Начнем с основного промежуточного хозяина — мыши. Для того, чтобы успешно завершить свой жизненный цикл (попасть из мыши в кошку), токсоплазма меняет поведение мыши. Инфицированные крысы и мыши перестают бояться запаха кошачьей мочи и даже начинают испытывать к нему влечение. Они становятся менее осторожными, более любопытными, что резко повышает вероятность того, что их съест кошка.

На удивление, влияет токсоплазма и на поведение волков. Как здесь не вспомнить исследование американских биологов, которые 26 лет изучали живущих в Йеллоустонском парке волков, наблюдая за их поведением и беря у них кровь на анализ. Оказалось, во-первых, что волки регулярно подцепляют возбудитель токсоплазмоза, который переносят пумы (да, пумы тоже кошки и у них тоже бывает токсоплазмоз). А во-вторых, заражённые токсоплазмозом волки становятся гораздо более решительными.

Волки и токсоплазма в них

Токсоплазма и Токсоплазмоз или Одноклеточное, которое (похоже) научилось стерилизовать мужчин - 9

Как следует из статьи, заражение токсоплазмозом в 11 раз повышает вероятность того, что волки решат отделиться от стаи, чтобы основать собственную, и аж в 46 раз повышает вероятность того, что волки станут вожаками своей новой стаи. Такое поведение способствует распространению токсоплазмоза ибо заражённые волки заселяют более широкий ареал, отделяясь от стаи, и, благодаря своему высокому статусу, больше размножаются.

И наконец приходим к венцу творения, к человеку, на которого токсоплазма тоже успешно влияет. Причем пласт информации об этом влиянии растет почти что экспоненциально. Признанным авторитетом в этом направлении является один единственный человек, в 2014 году даже удостоенный Шнобелевской премии

Статья-Шнобелёк

Запомните это имя — Ярослав Флегр (Jaroslav Flegr). Чешский физиолог человек-токсоплазма ведущий мировой специалист по изучению токсоплазмоза и тому как он влияет на человеческое поведение. Именно он удостоен чести попасть на КДПВ нашей хабра-статьи.

Токсоплазма и Токсоплазмоз или Одноклеточное, которое (похоже) научилось стерилизовать мужчин - 11

Под руководством этого исследователя чаще всего выходят самые интересные статьи, связанные с токсоплазмозом. Например Флегр с коллегами открыл, что вызывающий токсоплазмоз паразит заставляет людей больше любить кошек, а также то, что он повышает у людей склонность к риску, временами даже делая из них бизнесменов.

В одном из своих последних исследований (2315 респондентов, 477 из которых были заражены токсоплазмозом) Флегр наглядно показал, что именно паразит влияет на политические убеждения. Причём это влияние зависит от пола переносчика.

Еще одна нашумевшая статья

Участникам исследования предложили пройти стандартный тест на политические взгляды и убеждения. Выяснилось, что женщины, заражённые токсоплазмой, являются более консервативными и склонными к трайбализму

Трайбализм — форма социальной организации и идеологии, при которой ключевую роль в самоидентификации и политической жизни играют принадлежность к определённой группе (племени, этносу) и её интересы. Трайбализм способствует укреплению внутригрупповой солидарности, но может приводить ощущению группового превосходства над окружающими, к межгрупповым конфликтам, фрагментации общества и ограничению универсальных гражданских принципов.

У мужчин, кстати, эффект оказался другим: тех из них, кто был заражен паразитом, существенно больше волновало имущественное неравенство, что у женщин не проявилось вообще никак.

Двигаемся дальше. Еще одно важное для нашего повествование исследование было опубликовано в 2022 году и активно цитировалось в СМИ и социальных сетях. В нем финские, эстонские, латвийские и, внезапно, мексиканские учёные выяснили ещё несколько неожиданных особенностей токсоплазмы. Во-первых, у заражённых ей женщины существенно больше сексуальных партнёров, чем у незаражённых. Во-вторых, зараженные токсоплазмой люди обоих полов воспринимаются со стороны как более сексуально привлекательные и более здоровые, чем те, у кого её нет.

Проверить, воспринимаются или нет

Токсоплазма и Токсоплазмоз или Одноклеточное, которое (похоже) научилось стерилизовать мужчин - 13

Каждое изображение представляет собой усредненное лицо мужчин и женщин с заражённых токсоплазмой (a) и не инфицированных (b). Каждое изображение было создано путем объединения фотографий 10 человек для каждой категории, лица, представленные на изображениях, не являются реальными людьми.

Позднее удалось установить, что у зараженных мужчин и женщин значительно ниже оказалась так называемая флуктуирующая асимметрия — показатель отклонения черт лица от симметрии. Более высокая симметрия обычно коррелирует с лучшим физическим здоровьем, хорошими генами и внешней привлекательностью. Плюс зараженные женщины были более стройными и говорили о хорошей самооценке и большом количестве половых партнеров. У мужчин токсоплазма влияла на внешний вид через изменение уровня тестостерона, что прослеживалось по анализам крови. Т.е. с одной стороны повышает склонность к риску (т.е. вступать в половые контакты проще), модифицирует метаболизм (т.е. люди более стройные и привлекательные), но с другой стороны абсолютно противопоказана при беременности, фактически уничтожая у плода все шансы на размножение. Как минимум в случае женщин. А у мужчин? И вот здесь мы приходим к самому интересному.

Токсоплазма как убийца сперматозоидов

Начнем издалека. Достаточно давно в академической среде поднимается вопрос о резком глобальном снижении показателей мужской фертильности и качества/количества сперматозоидов. Причин этому (без общего консенсуса) находят массу — от пищевых добавок и ожирения, до излучения мобильных телефонов/микроволновок и микропластика в половых органах. И несмотря на то, что ООН в своих отчетах (например см. State of World Population 2025: The Real Fertility Crisis) говорит о том, что причина в высокой стоимости и недоступности жилья и страх за будущее, все ж задуматься стоит и про более конкретные, прикладные причины, вроде массового падения мужской фертильности. Для иллюстрации можно взять например довольно известный метаанализ 2017 года

Метаанализ про фертильность мужчин

В исследовании достаточно наглядно показано, что с 1973 года у мужчин всего мира сократилось количество вырабатываемых жизнеспособных сперматозоидов, притом сократилось оно почти на 60%.

И вот недавняя работа немецких исследователей наконец-то дала осязаемую точку отсчета, паразитологическую точку отсчета.

Та самая статья

Это открытие было сделано случайно доктором Захади Веласкес (Zahady Velásquez) из немецкого Института паразитологии Университета Гиссена (Institute for Parasitology at the University of Giessen), которая при изучении воздействия токсоплазмы на клетки обнаружила множество разрушенных сперматозоидов после контакта с паразитом.

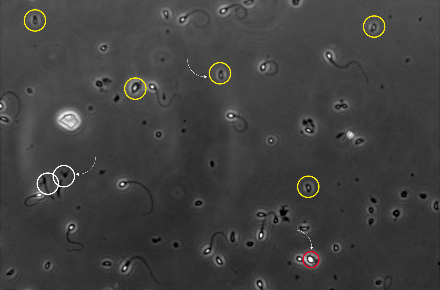
Паразит способен напрямую повреждать сперматозоиды человека. В условиях in vitro было показано, что при контакте с паразитом уже через 5 минут около 22% сперматозоидов теряют головку («декапитация»), а при более длительном воздействии этот процент увеличивался, фактически токсоплазма просто „перекусывала“ сперматозоиды пополам.

Данные микроскопии

Разрушенный (декапитированный) сперматозоид

Токсоплазма и Токсоплазмоз или Одноклеточное, которое (похоже) научилось стерилизовать мужчин - 16

Сперматозоиды с деформациями структуры (скручивание хвостов, повреждения мембран)

Токсоплазма и Токсоплазмоз или Одноклеточное, которое (похоже) научилось стерилизовать мужчин - 17

Паразит может проникать в ткани яичек и придатков, вызывать воспаление, повреждение клеток и нарушение их структуры, снижать функцию (мембранный потенциал) митохондрий сперматозоидов (а это — непременная гибель клетки). На головках многих сперматозоидов были обнаружены характерные проколы на головках, показывающие место попытки проникновения токсоплазмы. Т.е. впервые получены наглядные данные, которые позволяют рассматривать токсоплазму, как возможную причину снижения качества и количества сперматозоидов у мужчин и как значимый стимул общемирового кризиса мужской фертильности. Токсоплазма способна вносить вклад в мужское бесплодие, особенно при реактивации латентной инфекции.

Самое грустное это то, что данные немецкого исследования вполне коррелируют с данными других тематических работ. Например с исследованием 2002 года в Китае, которое показало, что бесплодные пары почти в три раза чаще заражаются токсоплазмой, чем фертильные пары, или китайское же исследование 2005 года, также проведенное в Китае, показавшее что бесплодные мужчины с большей вероятностью заражены токсоплазмой.

Токсоплазма и мужское бесплодие на примере Китая

Выводы

Да, с одной стороны меня можно упрекнуть в том, что все статьи одиозного Флегра никак не доказывают причинно-следственную связь между поведением и токсоплазмой, что всё это просто не учитывает социокультурные и экономические факторы. Да, можно сказать что все in vitro работы Velásquez никак не подтверждают глобальное снижение фертильности и нет эпидемиологических данных, связывающих токсоплазму с олигозооспермией в масштабах популяции. И да, конечно же я не вывожу токсоплазму в ключевые причины падения мужской фертильности, игнорируя гормональные агенты и экотоксиканты. Моя задача — указать на еще один значительный imho фактор риска, практически вездесущий фактор риска. Предупрежден = вооружен.

Для большинства людей (кроме беременных женщин и людей с ослабленным иммунитетом) токсоплазма будет абсолютно незаметной, находится в режиме „бомбы замедленного действия“ десятилетиями. Удалить полностью цисты на сегодняшний день невозможно по техническим причинам — паразит очень похож на клетки, которые он заражает. Анализы конечно помогут определить, есть ли у человека латентная инфекция токсоплазмы, но и не более. Нет лекарств, чтобы избавиться от тканевых кист, которые могут быть в вашем мозге, сердце, половых органах. Сегодня пока еще скорее исключением являются анализы беременных женщин на токсполазму, а про такие же анализы для мужчин и говорить не стоит. Никто попросту не предполагал до сих пор, что токсоплазма связана с мужской фертильностью

Рекомендации

Очевидно, что токсоплазмоз требует комплексных мер дезинфекции, направленных на инактивацию возбудителя, в первую очередь самой стойкой и эпидемиологически значимой его формы — ооцист.

Важно! Еще раз для закрепления информации. Свежая ооциста — неинвазивна. Но после 1-5 дней во внешней среде при наличии кислорода и влаги ооциста созревает (спорулирует), превращается в спорулированную ооцисту и становится заразной. Двойная стенка ооцисты защищает ее от ферментов, кислот, щелочей и многих стандартных дезинфектантов. В то же время тканевые цисты (брадизоиты) в мясе и тахизоиты в биологических жидкостях гораздо менее устойчивы и легко уничтожаются. Фокус всегда на ооцистах.

Плохая новость в том, что инактивировать эти объекты достаточно сложно. Перечислю основные методы дезинфекции с комментариями.

Химическая дезинфекция

Большинство привычных дезинфектантов бесполезны против ооцист. Например, т.н. медицинский спирты (вроде 70% этанола). Хотя конечно абсолютированные (99%) метанол и этанол работают за счет обезвоживания, но при экспозиции в пару суток. Четвертичные аммониевые соединения (ЧАС) — не работают. Хлорсодержащие дезинфектанты не работают, не эффективны йодофоры в стандартных концентрациях. Точно работают альдегиды (например, формалин) в концентрациях 5-10%. Способна уничтожать ооцисты сильнощелочная среда, в лабораторной практике используется 10% водный раствор аммиака (гидроксид аммония). Cчитается что экспозиция >3 часов способна полностью уничтожить ооцисты. Подобный эффект, теоретически, должны давать и другие щелочи близких концентраций

Термическая обработка

Нагревание работает. Температура в 70° с экспозицией в 10 минут гарантированно уничтожает ооцисты в жидкости. Погружение в воду при 100°C убивает ооцисты практически мгновенно, так что лучше всё варить. Отлично работает паровая обработка (автоклавирование), в лабораториях стандартный режим автоклавирования (121°C при давлении 1 атм в течение 15-20 минут) полностью стерилизует зараженный материал. В целом при обработке мяса экспозиция будет зависеть от его толщины. CDC США рекомендует проваривать кусковое мясо при температуре не ниже 65 °C (с последующей трехминутной выдержкой) и не ниже 71 °C для фарша.
Замораживание тоже работает. Максимальная эффективность наблюдается для тканевых цист (-20°C c экспозицией 48-72 часа), меньше для ооцист (при -20°C нужно держать 5-7 дней). Эффект возникает из-за микрокристаллов льда, физически повреждающих внутренние структуры паразита.
Работает обезвоживание-высушивание-дессикация. Ооцистам для выживания и споруляции необходима влага, полное обезвоживание убивает их. Этот метод может быть эффективен для обработки сухих материалов, песка (в песочницах), и для объяснения почему сухой кошачий лоток безопаснее влажного. Необходимое время экспозиции зависит от температуры и влажности окружающей среды, обычно минимум — это несколько часов, а максимум — несколько дней.

Лучевая дезинфекция

В промышленных масштабах лучше всего работает радуризация в дозах 0.5 to 1.0 kGy, разрушая ДНК паразита.

Радуризация — обработка пищевых продуктов и сырья ионизирующим излучением для подавления активности микробной микрофлоры, увеличения срока хранения и обеспечения безопасности. Эта технология используется для инактивации патогенов, замедления прорастания и сохранения органолептических свойств, не приводит к накоплению радиоактивности и признаётся эффективным методом в области пищевой безопасности.

Коротковолновый ультрафиолет работает слабо, особенно если есть органические остатки или пористые материалы, кроме того толстая стенка ооцисты сама по себе обеспечивает дополнительную защиту. При использовании на гладких поверхностях для значимого снижения инфекционности ооцист нужны дозы ≥40 мДж/см²

Важные бытовые рекомендации

  1. Необходима обработка кипятком (100°C) кухонных принадлежностей после контакта с сырым мясом. Подробнее см. Деревянная разделочная доска. Inside
  2. Использование щелочных и альдегидных средства для дезинфекции кошачьих лотков и поверхностей, контактировавших с фекалиями.
  3. Ежедневная уборка кошачьих лотков (ооцисты становятся заразными через 24 часа после выделения), обязательное использование перчаток и последующее тщательное (по ВОЗ) мытье рук. Обязательное мытьё рук после садовых работ
  4. Тщательное мытьё овощей, фруктов и зелени проточной водой с удалением частиц почвы, лучше с использованием специализированных ультразвуковых моек.
  5. Для беременных женщин необходимо минимизировать контакт с кошачьими фекалиями и сырым мясом.

С хабрауважением, коллоидный химик и public safety evangelist Сергей Бесараб (Siarhei Besarab)

Список использованных источников

  1. Flegr J, Prandota J, Sovičková M & Israili ZH (2014) Toxoplasmosis – a global threat. Correlation of latent toxoplasmosis with specific disease burden in a set of 88 countries. PLoS One 9, e90203.
  2. Tenter AM, Heckeroth AR & Weiss LM (2000) Toxoplasma gondii: from animals to humans. Int J Parasitol 30, 1217–1258.
  3. Ross EC, Olivera GC & Barragan A (2022) Early passage of Toxoplasma gondii across the blood–brain barrier. Trends Parasitol 38, 450–461.
  4. Hlaváčová J, Flegr J, Řežábek K, Calda P & Kaňková Š (2021) Association between latent toxoplasmosis and fertility parameters of men. Andrology 9, 854–862.
  5. Park Y-J & Pang M-G (2021) Mitochondrial functionality in male fertility: from spermatogenesis to fertilization. Antioxidants (Basel) 10, 98.
  6. Lopes WDZ, Santos TR, Luvizotto MCR, Sakamoto CA, Oliveira GP & Costa AJ (2011) Histopathology of the reproductive system of male sheep experimentally infected with Toxoplasma gondii. Parasitol Res 109, 405–409.
  7. Paquet C, Yudin MH, Yudin MH, Allen VM, Bouchard C, Boucher M, Caddy S, Castillo E, Money DM, Murphy KE et al. (2013) Toxoplasmosis in pregnancy: prevention, screening, and treatment. J Obstet Gynaecol Can 35, 78–79.
  8. Ullmann J, Kodym P, Flegr J, Berenová D, Jirsová S & Kaňková Š (2024) Oral sex as a potential route for Toxoplasma gondii transmission: experiment with human semen and laboratory mice model. Acta Parasitol 69, 1314–1318.
  9. Mirza Alizadeh A, Jazaeri S, Shemshadi B, Hashempour-Baltork F, Sarlak Z, Pilevar Z, Hosseini H. A review on inactivation methods of Toxoplasma gondii in foods. Pathog Glob Health. 2018 Sep;112(6):306-319
  10. Marieke Opsteegh, Titia M. Kortbeek, Arie H. Havelaar, Joke W. B. van der Giessen, Intervention Strategies to Reduce Human Toxoplasma gondii Disease Burden, Clinical Infectious Diseases, Volume 60, Issue 1, 1 January 2015, Pages 101–107
  11. Marín-García, P.-J.; Planas, N.; Llobat, L. Toxoplasma gondii in Foods: Prevalence, Control, and Safety. Foods 2022, 11, 2542.
  12. Dabritz HA, Conrad PA. Cats and Toxoplasma: implications for public health. Zoo Publ Health 2010; 57(1): 34-52.
  13. Dubey JP. Toxoplasma gondii oocyst survival under defined temperatures. J Parasitol 1998; 84(4): 862-865.
  14. Dubey JP, Jenkins MC, Thayer DW, Kwok OC, Shen SK. Killing of Toxoplasma gondii oocysts by irradiation and protective immunity induced by vaccination with irradiated oocysts. J Parasitol 1996a; 82(5): 724-727
  15. Dumètre A, Le Bras C, Baffet M, Meneceur P, Dubey JP, Derouin F, et al. Effects of ozone and ultraviolet radiation treatments on the infectivity of Toxoplasma gondii oocysts. Vet Parasitol 2008; 153(3-4): 209-213
  16. Freppel W, Ferguson DJP, Shapiro K, Dubey JP, Puech PH, Dumètre A. Structure, composition, and roles of the Toxoplasma gondii oocyst and sporocyst walls. Cell Surf 2018; 5(1): 100016
  17. Ito S, Tsunoda K, Shimada K, Taki T, Matsui T. Disinfectant effects of several chemicals against Toxoplasma oocysts. Nippon Juigaku Zasshi 1975a; 37(3): 229-234.
  18. Lafferty KD. Can the common brain parasite, Toxoplasma gondii, influence human culture? Proc Biol Sci 2006; 273(1602): 2749-2755
  19. Wainwright KE, Lagunas-Solar M, Miller MA, Barr BC, Gardner IA, Pina C, et al. Physical inactivation of Toxoplasma gondii oocysts in water. Appl Environ Microbiol 2007; 73(17): 5663-5666.
  20. Tenter AM, Heckeroth AR, Weiss LM. Toxoplasma gondii: from animals to humans. Int J Parasitol 2000; 30(12-13): 1217-1258.

Автор: steanlab

Источник

* - обязательные к заполнению поля


https://ajax.googleapis.com/ajax/libs/jquery/3.4.1/jquery.min.js