Вариантов, откуда рецессия берётся, сильно больше одного, иногда весьма противоречивых.
В любом случае лучше вытащить пирсинг из языка и губы, попрощаться с зубным порошком и жёсткими щётками и ещё — систематически ходить к гигиенисту. Это уже существенно уменьшит вероятность появления рецессии. А дальше — как повезёт. Как бы то ни было, с этой проблемой нужно разбираться. Желательно — сразу.

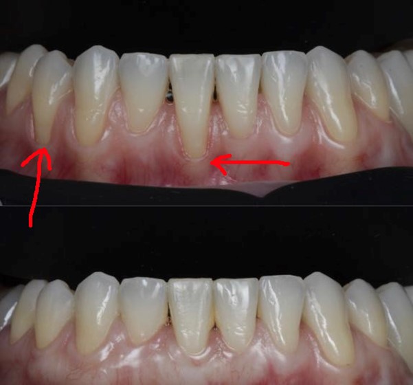
Вверху фото десны с рецессией до операции, а внизу — после операции
На начальных этапах, пока рецессия не дошла до тканей пародонта, вернуть всё к норме можно достаточно быстро, качественно и относительно дёшево. Если же десневые сосочки между зубами атрофировались, пересаживать лоскуты слизистой с нёба, чтобы нарастить десну, придётся гораздо дольше и дороже.
А теперь живописные подробности.
Если вы впечатлительный человек, заглядывайте под кат аккуратнее, там не самые приятные для чувствительных людей фото и видео. Такая уж у нас работа.
Зуб состоит из двух частей — эмалевой коронки и корня, сделанного из дентина, это такой цемент.
В норме край десны должен находиться там, где заканчивается эмаль. А рецессия — это её смещение ниже соединения коронки с корнем.
Какой-то одной причины, по которой дёсны нас покидают, точно назвать невозможно. Примерно в 17–20% случаев у них вообще нет каких-то очевидных клинических причин. В медицине есть такое понятие, как полиэтиологичность. Оно обозначает, что к болезни приводит целая куча разных факторов. То есть, если вы порезали палец, причина у этого события одна: нож был острым, а рука дрогнула. С рецессией так же чётко определиться не получится.
Самые частые факторы, которые влияют на появление рецессии:
1. Дистопия (кривизна) зубов.
Если зубы растут не на своих местах или в неправильном положении, риск, что десна оголится, увеличивается. То есть, если условный клык на условной нижней челюсти наклоняется в сторону губы и выпирает из зубного ряда коронкой и корнем, подталкивает в ту же сторону десну, то эта выпирающая часть подвержена травме и истончению. А где тонко, там и рвётся. То есть в нашем случае рецессирует.
2. Окклюзионная патология.
То есть зубы, которые не только неровные, но ещё и смыкаются неравномерно. Когда какой-то отдел зубов перегружается, десна из него «увольняется», не выдержав такого строгого режима работы. Как и костная ткань, впрочем.
3. Тонкие дёсны.
На толщину десны никак не влияют ни комплекция человека, ни его физическая форма. Просто у одних она от природы тоньше, чем у других, и с этим ничего не поделаешь. Определить толщину десны может только врач и только с помощью специальных медицинских маркеров, зондов и фотографий.
4. Мышечные тяжи.
Тяжи — это кожные складки, которыми мягкие ткани, например губы, прикрепляются к костям черепа. Верхняя и нижняя уздечки, которые иногда подрезают детям, чтобы исправить произношение, — это мышечные тяжи языка. А ещё у нас есть мышечные тяжи слизистой, они находятся по бокам рта. Если все эти тяжи крепятся высоко к основанию десны, то есть близко к шейкам зубов и сосочкам, они постоянно оттягивают десну от шеек зубов при еде, жестикуляции и мимике. И делают это то тех пор, пока не появятся рецессии.

5. Пирсинг и неправильный уход за зубами.
Как показали исследования, около 99 % людей, которые носят в языке пирсинг, мучаются потом от рецессии десны с язычной стороны. Агрессивное использование зубочисток и чистка зубов абразивной пастой и жёсткими щётками, да ещё и с применением грубой физической силы, тоже травмирует и истончает десну.
6. Инфекции.
Если человек за зубами почти не ухаживает и на них сталактитами образуется зубной камень, под десну будут проникать и вызывать воспаление разнообразные бактерии. И это — ещё один фактор, который приводит к рецессии. Здесь так же, как и с кариесом. Он ведь тоже ест не наши зубы, а то, что мы едим. То есть налёт на зубах. А дырки в эмали появляются из-за токсинов, которые выделяются в процессе жизнедеятельности населяющих его бактерий. Чем шире эти лакуны, тем больше поверхность, контактирующая с бактериями, и тем сложнее вычистить оттуда налёт. Так вот, с дёснами и бактериями всё происходит примерно по такой же схеме.
7. Врачебные ошибки, как бы печально это ни звучало.
Врач при этом может быть абсолютно любым: хоть терапевтом, который так установил пломбу, что её края нависают над десной, хоть ортопедом, который загнал коронку слишком глубоко под десну, хоть хирургом, который неправильно выбрал дизайн разреза, когда устанавливал имплантат.
А с ортодонтическим лечением вообще всё довольно любопытно. Оно может как помочь с лечением рецессии, так и навредить. Это зависит от того, насколько доктор понимает, как ткани себя ведут. Если я знаю, что человек планирует ортодонтическое лечение, я зачастую не оперирую его до тех пор, пока он не снимет брекеты, потому что очень часто все проблемы с десной после этого заканчиваются. Но в то же время около 60% пациентов с рецессией десны приходят ко мне жаловаться, что проблемы начались именно после ортодонтии. Знаю случай, когда пациентке пришлось останавливать лечение и снимать все брекеты, потому что зуб практически вылез наружу.
Чтобы в Белой радуге такого не происходило, мы устраиваем каждый месяц внутриклиническое обучение: собираемся все вместе и доктора разных специальностей делятся своим опытом. Ну и вообще у нас хирурги очень плотно общаются с ортодонтами. В том числе и о рецессиях — как их предотвращать и в какой момент кого оперировать. На моей памяти историй с рецессией пациента по вине кого-то из наших врачей я сейчас не припомню, но если такое случится, то мы, конечно, всё исправим за свой счёт, по гарантии.
Что делать с рецессией и можно ли как-то без стоматолога?
Полоскать ромашкой или корой дуба и переходить на диету из холодца (встречаются в интернете и такие рекомендации) бесполезно. Всё, что можно сделать самостоятельно, — купить зубную пасту с индексом sensitive. Иногда это помогает. Всё остальное лечение проходит в кабинете стоматолога. И вариантов тут может быть несколько.
Вариант 1. Закрыть глаза на проблему.
Можно не делать ничего. Реально, можно. Но только при условии, что человека ничего не беспокоит и нет динамики ухудшения. То есть ни боли, ни гиперчувствительности, ни увеличения рецессии по площади. Иногда можно позволить себе забить на дёсны, даже если зубы кривые. Есть такое понятие, как компенсаторный механизм. Пока ребёнок растёт, каждый его орган адаптируется под состояние всего тела целиком. То есть иногда зубы кривые потому, что это позволяет скомпенсировать какую-то сложную патологию мышц или суставов. И как только они встанут ровно, баланс нарушится и эта неприятность проявится.
Очень важно понимать, что и на каком этапе можно исправить. Так что, если зубы кривые, но сустав не щёлкает, повышенной стираемости зубов нет, ничего нигде не болит и эстетически зубы человека устраивают, значит, природа всё уже скомпенсировала. Но риск последствий остаётся. Хотя бы к гигиенисту регулярно надо ходить.
Вариант 2. Химический метод решения проблемы.
Если эстетика не так важна, а гиперчувствительность корней мучает, то можно подумать о том, чтобы вместо операции решить проблему химическим путём. Существуют специальные препараты-десенситайзеры, которые убирают чувствительность с оголившихся корней. Если дальше ничего не беспокоит и рецессия не растёт, то можно и не беспокоиться.
А вот если и химия не помогает, тогда есть несколько вариантов: либо хирургия, либо комбинированное лечение.
Вариант 3. Хирургический метод решения проблемы.
По этому пути мы идём, когда у человека есть какие-то жалобы или впереди его ждёт ортодонтическое лечение, которое все рецессии только усугубит и усилит.
Или ещё если он хочет сделать эстетическое протезирование. В этом случае рецессию нужно лечить, потому что это очень некрасиво, когда один зуб длиннее, другой короче.

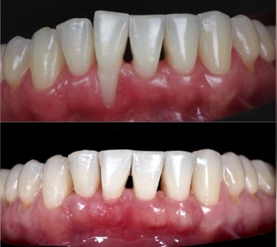
Можно сравнить эстетику до и после
Хирургические методы лечения рецессии десны существуют очень разные, и подбирать их нужно исходя из показаний. Иногда методы комбинируются.
Но в любом случае главный смысл этого действия — поднять десну и подшить под неё лоскут ткани с нёба.
- Сначала мы очищаем поверхность корня с помощью разных щёток, паст и полировочных резинок.
- Затем — протравливаем её специальным гелем, чтобы всё продезинфицировать и улучшить принимающие способности корня к трансплантату.
- Хирургически поднимаем десну, отсоединяя её от кости и корней зубов.
- Срезаем с донорской зоны, то есть с нёба, небольшой кусочек слизистой и пересаживаем его в нужное место, предварительно убрав с него поверхностный слой эпителия.
- Для этого приподнимаем десну и заправляем лоскут под неё, как одеялко в пододеяльник.
- И аккуратненько всё ушиваем.
Если рецессия у одного зуба, кусочек нужен совсем крошечный. Если у четырёх, чуть больше. Если у десяти, то лоскуты нужно вообще снимать с двух сторон нёба.

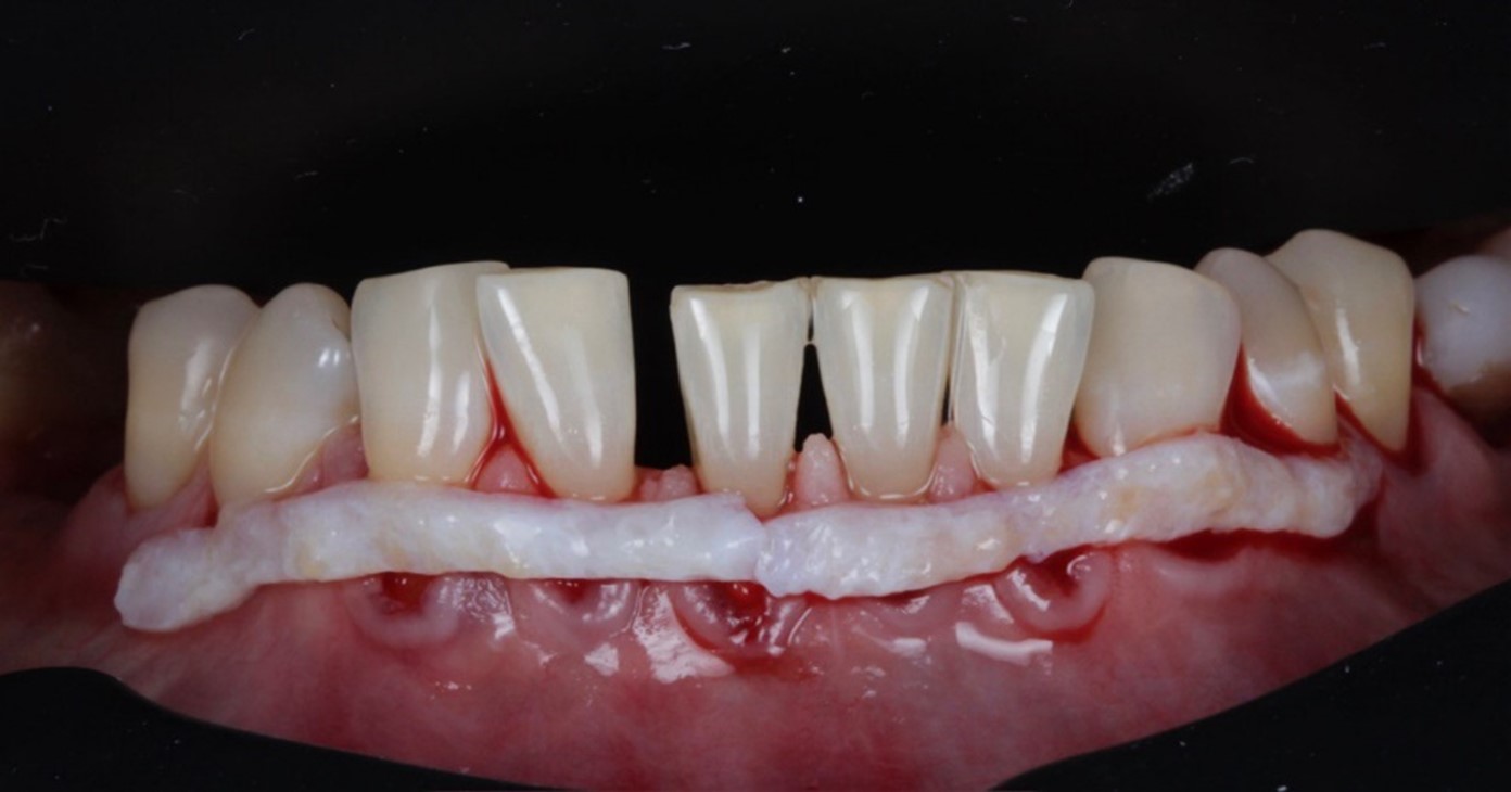
Трансплантаты с нёба — это вот эти белые полосочки
Кроме собственных тканей, можно ещё взять различные коллагеновые мембраны и мембранные матрицы. Мы их используем, если нужен совсем уж большой лоскут. Или если у человека есть какие-то противопоказания к пересадке десны. Например, куча имплантатов и от нёба уже почти ничего не осталось. Но золотой стандарт — это всё-таки пересадка своей слизистой. Она и приживается лучше, и осложнений после такой операции тоже меньше. И долгосрочность результата — выше.
Важный момент — все эти операции в обязательном порядке делаются под увеличением. Хотя бы через бинокуляры — то есть специальные очки с диоптриями. Но лучше — через операционный микроскоп. Это очень важно видеть, что ты шьёшь, а нитки и десна могут быть очень тонкими.
Вариант 4. Метод решения проблемы с помощью хирургии и пломбирования.
Если корень оголился давно и пациент ходит так уже достаточно долго, на корне может образоваться некариозный клиновидный дефект. То есть уменьшение твёрдых тканей.
В этом случае простой хирургией не обойтись, придётся сначала запломбировать зуб до нужной границы, и только потом пересаживать десну.
Сама операция выглядит вот так. Подумайте прежде, чем открывать, видео довольно «кровавое».
Ну и в любом случае, какой бы метод ни был выбран, нужно убирать причину рецессии (спасибо, капитан Очевидность): то есть избавиться от инфекции, выбросить любимый пирсинг и поменять щётку. Как правильно чистить зубы, чтобы вам ничего не было, коллеги уже рассказывали на Хабре.
Иногда вообще странные истории происходят
На приём довольно часто приходят совсем молоденькие девушки, лет по 20–25 лет, у которых зубы стоят достаточно ровно и с ними в целом всё в порядке. Жевательные вообще почти идеально выглядят. А передняя группа зубов, с клыка по клык, стирается очень сильно, как будто их хозяйки уже разменяли шестой десяток. Так, конечно, быть не должно, и это звоночек о том, что действовать нужно срочно. А именно — убирать рецессии и разбираться с прикусом.

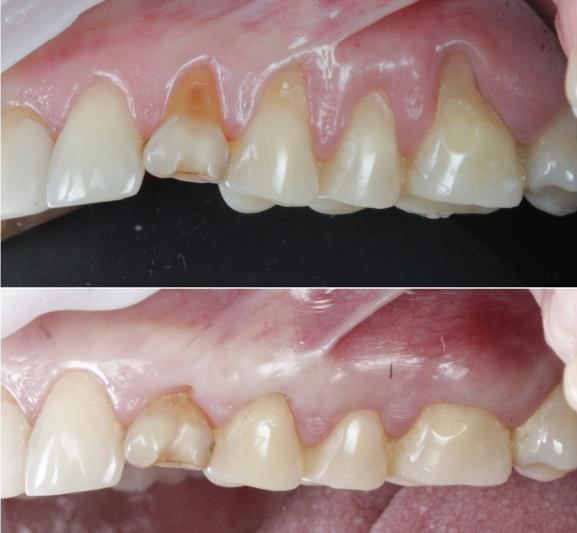
Сравните клык и соседний зуб, например
А это больно?
Вообще — не больно. Операция идёт поверхностно, сверлить кость или залезать куда-то глубоко не нужно, мы обезболиваем только мягкие ткани. Так что переносится всё довольно легко.
Правда, есть два неприятных момента.
Во-первых, это долго: если зубов несколько, то продолжаться пересадка может два-три часа.
Во-вторых, восстановительный период после такой операции довольно неприятный. Все, кто хоть раз обжигал нёбо горячим чаем, могут представить, как это противно — жить несколько дней без куска слизистой вообще. Чтобы облегчить пациенту жизнь, придумали капы, которые можно надеть после операции и носить, пока всё не заживёт. А ещё — композитные защитные пластинки, которые накладываются на нёбо после забора трансплантата. Такие лайфхаки позволяют свести постоперационные боль и страдания к минимуму.
А ещё бывает, пациенты присылают мне видеоотчёты, на которых они выглядят как жертвы домашнего насилия, попавшие ещё и на пасеку, — с гематомами, отёками и синяками под глазами — и говорят при этом, что вообще-то всё прекрасно, ничего не болит. О синяках и отёках мы, конечно, предупреждаем. Они появляются не у всех, но случаются.
Рецессия рецессии рознь
Они бывают широкие и узкие, а вообще делятся на четыре класса:
1 — рецессия в пределах свободной десны, без атрофии десневых сосочков и костных перегородок, её можно вылечить целиком и полностью.
2 — рецессия в пределах прикреплённой десны, она тоже лечится на все 100%.
3 — рецессия с поражением тканей пародонта и контактных поверхностей, и тут уже не получится закрыть корень до конца.
4 — циркулярная атрофия десны и кости, когда десна уходит не только спереди, но и с боков, десневые сосочки тоже «рассасываются» и трансплантаты приходится подсаживать со всех сторон сразу. Тут десну вообще очень сложно восстановить, и удаётся это не всегда.
Иногда при четвёртой стадии мы восстанавливаем только толщину десны и корректируем объём по высоте. Но это, скорее, стабилизация состояния, нежели полноценное лечение.

То есть обкладывать лоскутками слизистой зубы приходится буквально со всех сторон

И всё равно восстановить десну до конца не получается
В общем, чем рецессия меньше, тем проще лечение, предсказуемее результат и меньше сумма в чеке. А дешевле всего вообще профилактика.
Кстати, про стоимость. Я всегда предупреждаю своих пациентов, что, если они не планируют оперироваться прямо сейчас, нужно очень тщательно наблюдать за рецессией и бежать лечиться, чуть только она начнёт увеличиваться (если начнёт, конечно). Потому что простая операция стоит около 30–35 тысяч за один зуб, а за сложную придётся отдать уже около 60 тысяч.
Прооперировать один зуб, кстати, возможно не всегда
Буквально пару дней назад у меня на консультации была девочка, которую я скоро буду оперировать. И история у неё весьма печальна. Ей уже два раза пересаживали десну к центральным нижним резцам и ни разу не добились успеха.
Изначально она просила прооперировать только один зуб. Но у неё такая ситуация, что один зуб оперировать категорически нельзя. Нижние резцы — вообще очень сложные с хирургической точки зрения, потому что десна в этом месте тонкая, корни узкие, а сами зубы стоят близко друг к другу. Один зуб прооперировать невозможно технически: чтобы закрыть эту одиночную рецессию, нужно делать сразу четыре. А для этого — взять трансплантат подлиннее и завести его за те зубы, которые находятся по бокам, чтобы он мог от них питаться и выживать. Не потому, что доктор хочет много денег, а потому, что маленький лоскут банально не приживётся. Что, собственно, у неё и происходило два раза подряд.
И парочка баек напоследок
С большим теплом вспоминаются истории из серии «глаза боятся, а руки делают», когда я вообще не знал, с какой стороны подступиться к пациенту, а получилось в итоге хорошо. Вот, например, сейчас у меня в разгаре лечение человека, который живёт на две страны — Россию и Турцию. Так получилось, что рецессию ему зашивал я и здесь, а снимать швы ему нужно было уже другому доктору и там. Мы долго искали для него хорошую клинику с врачом, который говорит по-русски. В итоге нашли, и этот русскоговорящий врач потом долго восхищался нашей хирургией и говорил, что такие швы прямо жалко снимать, у них в Турции никто таких не делает. Он даже ниток не видел, которыми был сделан шов.
И отдельный вопрос, что делать с теми, кто сначала поставил красивые коронки, вкладки или виниры, а потом обнаружил на десне рецессию. Виниры срока годности не имеют, и ковырять их, если нет никаких сколов с трещинами, гигиена хорошая и цвет устраивает, просто жалко. Другой вопрос, что бывают истории, как у моего пациента, который поставил в Швейцарии дорогущую вкладку, а через месяц пришёл к нам на осмотр, и я на фотографии увидел, что она уже треснула. Но, если с винирами всё в порядке, дальше у меня только хорошие новости. Потому что разобраться с рецессией можно, не снимая реставраций.
У меня была пациентка, которой около семи лет назад поставили десять реставраций на верхние зубы, с пятого по пятый. Очень красивые, качественные, прочные виниры получились. А месяца три назад она обнаружила на двух передних зубах рецессию. Девушка сама врач, что такое рецессия знает отлично, поэтому откладывать ничего не стала и лечиться пришла сразу. Я её прооперировал, десна зажила, виниры не пострадали.
В общем, если подытожить, то рецессия десны может случиться с каждым, пугаться этого не надо, но и затягивать с лечением я не советую.
Автор: D_korlyhanov_24


