
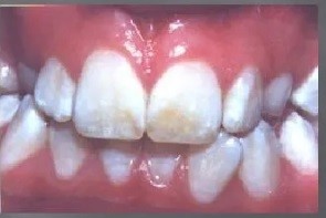
Это не кариес, а флюороз, по таким зубам можно понять, насколько хорошую воду вы пьёте.
Хорошая новость: стрептококки не смогут это прогрызть, и флюороз защищает от кариеса.
Плохая новость: это нарушение эмали и дентина зуба из-за высокого содержания фтора.
Ещё одна плохая новость: это навсегда.
Чаще всего фтор может быть повышен по двум причинам:
- Его очень много в воде, которую мы пьём.
- Его много на производстве, на котором работаем.
Максимальные риски заработать флюороз — у младенцев на искусственном вскармливании и детей до 15 лет, которые пьют воду с повышенным содержанием фтора. Но если вы взрослый человек с флюорозом, то надо помнить, что возникшая форма остаётся с вами на всю жизнь. Тактика лечения зависит от стадии. При лёгкой — это когда на зубах небольшие пятна и штрихи — отбеливание раз в год и реминерализация без фтора. А если случай тяжёлый с изменением коронок зубов за счёт эрозий и отлома частей зубов — виниры и коронки. Это дорого, но зато поможет сохранить зубы.
Поэтому первое, что нужно сделать, — убедиться, что вода, которую вы пьёте, содержит нормальные дозировки фтора. Сейчас расскажу, сколько его должно быть.
Почему фтор
Вообще фтор — очень полезный элемент. Он нужен нам для образования и укрепления костной ткани, благодаря ему в том числе кости при переломах срастаются быстрее, а зубы не покрываются кариесом, а также для ряда других важных вещей типа формирования эритроцитов. Чтобы организму было хорошо, взрослому гражданину РФ нужно 4 мг фтора в сутки. Больше всего фтора мы получаем с питьевой водой.
До 1954 года считалось, что предельно допустимая концентрация фтора в питьевой воде — один миллиграмм на литр. Сегодня полезная доза фтора увеличена до 1,5 мг/л.
Когда с фтором в воде перебор и человек регулярно пьёт такую воду, начинается флюороз со всякими вытекающими последствиями вроде остеопороза. Но первые видимые признаки, что что-то идёт не так, будут на зубах. Потому что фтор превращает гидроксиапатит во фторапатит и токсически действует на энамелобласты. Как следствие — неправильное формирование эмали.
Гидроксиапатит — это такой минерал, который входит в состав эмали. Зрелая эмаль состоит из плотно расположенных кристаллов гидроксиапатита и имеет вид трёхмерной сети фибриллярных структур толщиной около 8 нм. Его идеальная формула — Ca10(PO4)6(OH)2.

Когда в кристаллическую решётку гидроксиапатита вместо ОН-групп включается фтор, образуется новое соединение — фторапатит. Он более стабильный и устойчивый и растворяется при рН 4,5. Это происходит как до прорезывания зуба, так и после.
Получается, что фториды, с одной стороны, как бы блокируют входы для кислоты в эмаль, а с другой — мешают выведению кальция и фосфатов из неё. Таким образом, повышается кислотоустойчивость, что обеспечивает защиту от кариесогенной микрофлоры. Это значит, что бактериям Streptococcus mutans, которые обитают в полости рта и постоянно выделяют кислоту, которая приводит к кариесу, понадобится много времени, чтобы причинить вред.
Важно сказать, что флюороз — проблема не одного крана в какой-то отдельно взятой квартире, а целого района или региона. Такой флюороз называется эндемическим, и чаще всего именно с ним приходят к стоматологу.
Бывает, что причина флюороза буквально витает в воздухе. Обычно это бывает у людей, которые в основном заняты на производстве алюминия, где в связи с особенностями производства очень много фтора в воздухе, и при контакте с такими испарениями возникает профессиональный флюороз. Но это прям очень редкий случай.
Механика флюороза
Чтобы понять, как флюороз влияет на зубы, давайте начнём с процесса закладки эмали. Упрощённо, у нас есть фаза созревания эмали — это такое глобальное взаимодействие минеральных компонентов, таких, как фтор, фосфор, кальций и другие, когда формируются зачатки зубов. Происходит это в три стадии.


На первой стадии секреции и первичной минерализации эмали происходит процесс обызвествления в результате отложения кристаллов гидроксиапатита, формируется слой начальной эмали.
На стадии созревания (вторичная минерализация) образуется вторичная кутикула эмали, которая покрывает и защищает эмаль.
Стадия окончательного созревания (третичная минерализация) идёт после прорезывания зуба. Здесь происходит завершение минерализации эмали преимущественно путём поступления ионов из слюны.

Вообще эмалевые призмы похожи на снег и лёд. У обоих — прозрачные кристаллы в базе, но снег белый из-за хаотичности. Оптические свойства типа блеска, цвета эмали зависят от укладки эмалевых призм.

Процесс формирования эмали.

Электронные микрофотографии эмалевых призм.
Если в этот момент фтора слишком много, то он начинает оказывать токсическое действие на эмаль.
Большое количество фторидов просто ломает процесс созревания матрицы эмали, нарушая связь белкового и минерального компонентов, и оказывает токсическое действие на рост кристаллов эмали. Внешне это проявится в основном в постоянных зубах, реже — в молочных, потому что они закладываются во время внутриутробного развития. И избыток фтора на этом этапе чаще никак не влияет на плод: его защищает плацентарный барьер. Но если мама тяжело переболеет гриппом или ковидом, то есть риск гипоплазии — дефекта закладки эмали. То есть у ребёнка зубы прорежутся депигментированными, могут появиться белые пятна, углубления или бороздки.

Гипоплазия.
Формирование молочного прикуса обычно завершается к трём годам, когда прорезаются все 20 молочных зубов. Этот процесс делится на три периода:
- Восьмая неделя — здесь происходят закладка и образование зачатков молочных зубов.
- До третьего месяца — появляются клетки, которые являются строительным материалом для эмали, дентина и пульпы молочных зубов.
- С четвёртого месяца — начинается строительство эмали, дентина и пульпы зубов.
Постоянные зубы развиваются так же, как и молочные, начиная с пятого месяца беременности. К моменту рождения у ребёнка в каждой челюсти заложено по 10 молочных и восемь постоянных зубов. Закладка же вторых премоляров — четвёртых постоянных зубов — и второго и третьего моляров — шестого и седьмого зубов — начинается только после рождения.
Хронология развития и прорезывания зубов

При воздействии фтора в момент формирования соответствующих зубов будет дефект (из учебника).
Так что по наличию флюорозных пятен на разных зубах можно чётко понять, в каком возрасте ребёнок переехал в другой район или начал пить воду из фильтра. Так, если ребёнок от ноля до четырёх лет жил в эндемическом районе, то велика вероятность, что флюороз заденет резцы и премоляры, от четырёх до шести лет — первые и вторые моляры, старше шести лет — третьи моляры.
Поражение зачатков постоянных зубов начинается в первые годы жизни, когда фтор поступает в организм уже с водой — в основном с искусственными смесями, которые надо разбавлять водой. Доказано, что у ребёнка на грудном вскармливании даже в эндемичном районе меньшее поражение флюорозом, чем у ребёнка, проживающего там же, но на искусственном вскармливании, потому что концентрация фтора в молоке матери будет однозначно ниже, чем в искусственной смеси.
Постоянный зуб уже прорезывается, будучи поражённым избыточным содержанием фтора. Примерно в четыре–шесть лет мы уже можем видеть, где какая форма флюороза. По сути, человек вырастает с этим заболеванием. Причём, что важно, возникшая форма заболевания сохраняется на всю жизнь.
То есть даже если концентрация фтора в питьевой воде изменяется, например, человек переехал в регион, где фтора в воде нормальное количество, то флюороз сам по себе не пройдёт, а будет только прогрессировать, и зубы будут разрушаться. К поражению эмали и дентина может присоединиться кариес. Всё вместе это приводит к истираемости эмали, сколам — вы просто не можете полноценно есть, поскольку чувствительность дентина и эмали довольно-таки сильная. Поэтому флюороз — это не только про эстетику, но и про функционал, который сильно страдает.
Давайте про форму
Обычно в российской стоматологической практике при диагностике флюороза используют классификацию Патрикеева. Она основана на клинических проявлениях болезни и зависимости от глубины и объёма поражения тканей зуба. Выделяют пять форм флюороза:
- Штриховая.

Это когда есть небольшие меловидные полоски на эмали, в основном на центральных и боковых резцах верхней челюсти. - Пятнистая.

Тут уже появляются меловидные пятна значительных размеров на резцах, клыках, реже — премолярах и молярах. Иногда эти пятна имеют жёлтую окраску. - Меловидно-крапчатая.

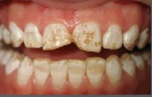
Поверхность коронок зубов депигментирована. Светлые или тёмно-коричневые пятна появляются в области не только передних, но и всех зубов. Плюс могут быть мелкие сколы и стираемость эмали. Появляются участки деструкции. Они могут достигать 0,2 мм в глубину и диаметра до 1,5 мм. - Эрозивная.

При эрозивной форме резко выражены дистрофия и пигментация эмали. Есть участки, где эмаль отсутствует. Обнажаются более глубокие ткани зуба типа дентина. Резко растёт чувствительность: становится больно от горячего и холодного. - Деструктивная.

Уже начинаются изменения форм коронок зубов за счёт эрозий и отлома отдельных частей зубов большими кусками. Поражается не только эмаль, но и дентин, сильно меняется цвет зуба.
Первые две формы считаются лёгкой степенью заболевания. Меловидно-крапчатая — это флюороз средней степени тяжести, а последние две относятся к тяжёлым. В последних стадиях флюороза это ещё и больно, потому что там уже не просто пятнышки, а натуральные эрозии, когда эмали фактически нет.
Что с этим делать
Как правило, пациенты с флюорозом очень мотивированы на лечение, потому что он доставляет в первую очередь эстетические проблемы. И пациенты сами видят, просто глядя в зеркало, что на зубах есть полосы и штрихи. Но опять же нельзя сказать: «Лечите так, а так не лечите». Потому что нужно отталкиваться от формы и стадии флюороза. У одного и того же человека может быть сразу несколько различных форм на разных зубах. Это связано со степенью закладки, развития, прорезывания той или иной группы зубов.
Если стадия лёгкая и мы видим небольшие изменения эмали вроде пятен, точечных поражений незначительной глубины, то в этом случае используем отбеливание и микроабразию эмали.
Причём отбеливание — это не один раз отбелил, и всё. То есть где-то раз в год, может чаще, по мере проявления пятен надо повторять процедуру. Эстетические проявления флюороза — лишь отголоски того, что происходит внутри организма, поэтому здесь нужно ещё и общее лечение. Мы иногда подключаем домашние процедуры: изготовляем пациентам капы со специальным минерализирующим раствором.
Обычно после любого отбеливания проводится реминерализующая терапия с той лишь разницей, что пациентам с флюорозом мы делаем её без фтора. Вместо него используем пасты с содержанием кальция и фосфора — это всё структурные элементы здоровой эмали.
Вообще реминерализующая терапия проводится независимо от формы. Пациенту с лёгкой формой флюороза мы рекомендуем проводить 10–15 процедур реминерализации примерно раз в восемь месяцев. Она нужна, чтобы минимизировать риск возникновения чувствительности, потому что поражённые участки эмали подвержены стираемости. Кроме того, мы можем воздействовать на эмаль и физиотерапевтическими процедурами тоже, то есть внедрять в поверхность эмали за счёт электрофореза, ультрафонофореза растворы, содержащие глюконат кальция. Плюс мы рекомендуем пациентам с любой формой болезни зубные пасты, ополаскиватели без фтора.
Микроабразивы — это специальные растворы, содержащие определённые кислоты и абразивные вещества, которые втираются в эмаль и придают здоровый, более или менее нормальный оттенок, убирая пятна и микротрещины.
Когда форма флюороза средняя или тяжёлая, микроабразию делать просто нечему, потому что эмали фактически нет. И здесь мы говорим о более глобальных методах лечения. В приоритете — искусственное восстановление с помощью установки виниров, люминиров и коронок, потому что ортопедическое лечение будет и косметический дефект устранять, и предупреждать дальнейшее разрушение зуба.
При этих стадиях мы убираем участки, поражённые эрозиями и деструктивными изменениями. Сколько убирать, зависит от глубины поражения и от необходимости достичь косметического эффекта. Поэтому степень стачиваемости зуба или препарирование зуба на ту глубину, которая поражена, определяется индивидуально. От этого уже будет зависеть выбор соответствующей конструкции. Где-то достаточно виниров, где-то нужны коронки. Стоимость одной коронки может начинаться от 55 тысяч рублей. Это дорого, но важно понимать, что имплантация нисколько не дешевле, чем вовремя сделанная реставрация. Поэтому здесь главное — вовремя выявить проблему и начать лечение.
Кариес vs не кариес
Возможно, вам будет интересно, как отличить некариозные поражения от кариозных, чтобы не пропустить стадию, когда нужно бежать к врачу, или просто осознать факт, что это флюороз. Итак. Кариес в стадии пятна, когда боли ещё нет, выглядит так:

Это значит, что в эмали идёт процесс деминерализации. В кабинете стоматолога обычно вы и сами увидите, что это кариес. Врач нанесёт на зуб краситель типа метиленового синего, и если это кариес, то участок зуба на этом месте окрасится. При флюорозе или гипоплазии — нет, потому что там не торчит белковый матрикс, который может поглощать краситель.
Фильтры обратного осмоса
Одним из способов борьбы с примесями и бактериями в воде являются фильтры обратного осмоса. В быту их устанавливают под раковину. Доказано, что они задерживают до 98 % примесей в воде.
Вообще осмос — это один из методов разделения растворов на компоненты, когда молекулы воды через полупроницаемую мембрану из объёма с меньшей концентрацией растворённых веществ переходят в сторону большей концентрации. Выходит, что в процессе обычного осмоса на выходе получается раствор, более насыщенный микроэлементами, при обратном — наоборот, он без примесей.

Бытовая система очистки воды с помощью обратного осмоса.
Принцип работы обратного осмоса такой: вода под давлением проходит через специальную мембрану, смешиваясь с неочищенной водой, затем происходит обратный осмос, вода смешивается и вновь проходит через мембрану. Поры мембраны очень маленькие, примерно 10-12 м, и способны пропускать только молекулы воды, их размер — около 10-9 м, поэтому вся грязь и ржавчина смываются в дренаж. При этом вместе с грязью из воды удаляются не только ионы хлора, железа и тяжёлых металлов, но и магний, кальций, калий и другие необходимые организму микроэлементы. Плюс в воде не будет минеральных солей. Совсем не будет.
По своим свойствам такая очищенная вода приближается к «мёртвой».

В районах с избытком фтора фильтры обратного осмоса необходимы, чтобы снизить риски флюороза. Но и обратное тоже верно. Потому что обратный осмос без фтора — это риск чувствительности к кариесу из-за отсутствия нормального фторапатита в структуре эмали. Поэтому взрослым обратный осмос ещё подойдёт, а вот детям надо обеспечить нормальную дозу фтора. Например, можно чередовать очищенную воду с водой из крана.
Напоследок
В советские времена была практика вывозить детей из эндемических регионов на каникулы в регионы, где с фтором в питьевой воде всё хорошо, чтобы снизить риск развития флюороза. Это работало. Сейчас такого нет. Зато есть вот такая программа. Если верить, скоро с фтором в стране всё наладится. Или нескоро. А пока можно посмотреть статистику по распространению флюороза в России.
И не волнуйтесь: если вы взрослый человек, у вас прекрасные зубы и вы решили переехать в эндемичный регион — зубы не будут поражаться. Из-за того, что эмаль уже крепкая. Ну и плюс если концентрация фтора в питьевой воде там, куда вы едете, не супервысокая.
Этот пост — в образовательных целях, а не последняя инстанция. Прежде чем что-то делать, обязательно проконсультируйтесь с врачом.
Автор: Ханова Ирина
