Пациент часто выходит в ужасе, понимая, что он пришёл с лёгким дискомфортом в суставе, но почти со всеми своими зубами, а ему предлагают продать почку потратить довольно ощутимую сумму, чтобы половину зубов заменить на имплантаты, а на все остальные поставить коронки.
Мы всячески выступаем за минимально возможное вмешательство. Свои зубы всегда лучше имплантатов — богатая сенсорика и важный компонент жевательных рефлексов. К сожалению, иногда приходится вмешиваться более радикально, когда других вариантов не остаётся.
Сегодня буду рассказывать про сложные случаи, когда такое радикальное вмешательство действительно необходимо. И нет, тут не подходит причина «я не хочу больше возиться со стоматологией, с искусственными будет проще». Ключевая причина тут — снижение прикуса из-за потери зубов и стираемости. Если ничего не делать — рассыпятся суставы, начнутся хронические головные боли и начнут страдать мышцы.

Рентген до/после тотального протезирования
Разберём вот такие ключевые моменты:
- Почему высота прикуса важна и почему в 40 лет можно иметь «старушечье лицо».
- Как связаны височно-нижнечелюстные суставы, мышцы и пародонтальные рефлексы.
- Что происходит, если ничего не делать: как выглядят суставы, необратимо повреждённые остеоартрозом.
- Как выглядит работа по восстановлению высоты нижней трети лица.
- У коронки и имплантата кариеса не будет. Но ухаживать придётся всё равно. Возможно, даже тщательнее.
Зачем это вообще нужно и какие есть варианты
Тотальная реабилитация необходима, если зубы стёрты настолько, что приходится забыть не только о сухариках и жёстких стейках, но и вообще о любой мало-мальски твёрдой пище. Или частично отсутствуют. Или не частично. А вовсе не только ради красоты, как можно было бы предположить. Задача этой процедуры — восстановить зубы функционально. Ну а то, что таким образом можно изменить их цвет и форму и начать выглядеть лет на десять, а то и двадцать моложе, — это скорее очень приятный бонус, нежели основная цель.

До и после
Этапы:



После реабилитации
1. Когда мы говорим «тотальная реставрация на своих зубах», имеется в виду, что коронки или виниры стоят действительно на всех зубах без исключения.

До и после
2. «Тотальная реставрация на имплантатах» — значит, что придётся удалить все оставшиеся зубы, если они ещё есть, вкрутить в десну 8, 12 или 16 имплантатов и поставить на них несъёмную конструкцию из 24 или 28 зубов.

До и после
3. Комбинированное протезирование, сочетает оба предыдущих варианта.
Конструкция на имплантатах в целом более долговечная, но зато коронки существенно физиологичнее, сохраняют собственные зубы и стоят значительно дешевле.
Важный момент — для того чтобы ставить те или иные протезы, необходимо, чтобы было на что их закрепить. Это значит, что в наличии должны быть либо собственные зубы, либо достаточное количество кости, чтобы поставить имплантаты.
Когда показана тотальная реставрация и есть ли альтернативы?
Тотальная реставрация на своих зубах
- Большое количество сильно поражённых зубов (кариес, сколы, большие негерметичные пломбы). Коронки и виниры в этом случае нужны для защиты оставшихся в живых тканей от вторичного кариеса. Альтернатива — восстановление сколотых кусочков, замена больших пломб, лечение зубов. Но есть вероятность, что заниматься этим теперь придётся постоянно: иногда кариес бывает настолько глубоким, что поставить коронку для всех участников процесса проще и легче, чем качественную пломбу.
- Дисфункция височно-нижнечелюстного сустава. Неприятное состояние, которое не даёт нормально жевать и говорить. Из-за неё стираются зубы, щёлкает челюсть, закладывает уши и болит голова.

Этот сустав устроен вот так. Стёртые или смещённые зубы могут помешать суставной головке и суставному диску функционировать так, как было изначально задумано.
Важный момент: не любая дисфункция височно-нижнечелюстного сустава ведёт к увеличению стираемости зубов и не любая — к тотальной реабилитации. Иногда можно всё поправить с помощью капп или брекет-системы, а иногда этого бывает недостаточно и приходится делать тотальную или субтотальную реставрацию, даже если зубы выглядят почти нормально.
Альтернатива — каппа, которую нужно будет надевать на ночь для защиты зубов от скрежетания во сне, или сплинт-каппа для стабилизации положения нижней челюсти, которую нужно будет носить постоянно и вытаскивать только во время еды.
- Бруксизм. То есть скрип зубами, который, может, и можно было бы потерпеть, если бы не следующий пункт.
- Повышенная стираемость зубов, из-за которой в том числе уменьшается нижняя треть лица, появляется особая носогубная складка, зубы становятся чувствительными, и на них появляются сколы и трещины.

Разница между остатками своих зубов и реставрацией очень даже очевидна
Тотальное протезирование на имплантатах
Полное отсутствие зубов. Если вы, конечно, хотите есть что-нибудь, кроме смузи.
Частичное отсутствие зубов, когда нет возможности сохранить оставшиеся.
- Выраженный генерализованный пародонтит.
- Пародонт — это комплекс из десны, кости и связки, которая держит зуб в этой кости. Когда я говорю «генерализованный пародонтит», я имею в виду серьёзную убыль всех трёх его составляющих. Если добиться ремиссии у таких пациентов не получается, кость убывает до тех пор, пока поставить имплантат станет совсем невозможно. В итоге выбор такой: либо остаться со своими зубами, но с вероятностью, что кости скоро не останется совсем, либо удалять зубы, и ставить имплантаты, пока ещё есть, куда. Убыль кости, кстати, тотальная реставрация в итоге останавливает, так как основная причина пародонтологических проблем — это бактерии, заселяющие поверхность корня, а на керамике налёт абсорбируется гораздо медленнее, чем на родных зубах.
Одна из альтернатив во всех этих случаях — зубной протез в стаканчике. Но чем дольше человек его носит, тем сильнее убывает кость.
Альвеолярная кость утроена таким образом, что если в кости нет зуба или имплантата — нет нагрузки, кость уменьшается в размере, происходит убыль. Если имплантат установлен, то кость останется того размера, которой она была в момент установки имплантата. Питание к клеткам поступает только если есть давление. Нечем давить — клетки голодают и атрофируются. А значит, если пару лет поносить съёмный протез, ставить имплантаты будет уже некуда. Через какое-то время протез перестанет крепко держаться во рту, и придётся делать корректировку базиса, то есть основы, на которой держатся искусственные зубы, или использовать для его фиксации адгезивные гели.
Вторая альтернатива — условно-съёмный зубной протез на кнопках. Но в этом случае всё равно придётся поставить либо несколько имплантатов, либо корневые вкладки.
Комбинированное лечение
Когда к нам приходит человек, у которого из 28 зубов осталось, допустим, только 20, и те стёртые, получается микс из предыдущих двух вариантов: те зубы, которые у него есть, мы реставрируем одиночными коронками или винирами, а вместо утраченных ставим имплантаты.
Как видите, проблемы с зубами, которые решаются такими радикальными методами, довольно легко заметить, поэтому дополнительно мотивировать пациента обычно не приходится. Но если врач на первом же приёме без разъяснения показаний сразу предлагает тотальное протезирование, стоит насторожиться и попросить разъяснений. И лучше получить второе мнение у другого специалиста.
Сколько это будет стоить?
Тотальная реабилитация — история весьма недешёвая. Сумма, в которую выльется процедура, может заметно отличаться у разных пациентов, потому что зачастую приходится подключать смежных специалистов, чтобы лечить каналы, ставить имплантаты и делать ортодонтические процедуры.
Но в идеальном случае, когда никаких дополнительных действий каким-то чудом не понадобилось, стоимость будет такой:
- Тотальное протезирование на своих зубах — от 1 963 200 рублей.
- Тотальное протезирование на имплантатах с окончательными композитными зубами — от 2 294 400 рублей.
- Комбинированное тотальное протезирование с учётом установки шести имплантатов — от 2 775 900 рублей.
И это одна из причин, по которым такую процедуру люди могут себе позволить только в зрелом возрасте, когда они уже состоялись и хорошо зарабатывают.
Интернет, конечно, пестрит предложениями сделать «зубы за один день» «всего за 110 тысяч рублей». Но у меня лично к их авторам есть несколько вопросов. Главные из которых: «На чём вы экономите? Как долго прослужит эта конструкция? И есть ли у вас хоть какая-нибудь гарантия?»
Впрочем, про стоимость очень подробно рассказывал Артём.
Тотальная реабилитация на беззубую челюсть
От того, сколько осталось костной ткани, зависит, какие манипуляции мы будем проводить в каждом конкретном случае.
1. Начинаем всегда с диагностики. В неё входят:
- КТ (чтобы оценить объём костной ткани и исключить внутренние воспаления).
- Сканирование полости рта с помощью внутриротового сканера (он даст нам 3D-модель, которая помогает понять, как располагается альвеолярный гребень и насколько хорошо его видно). В какой-нибудь маленькой клинике, где лечат по устаревшим технологиям, вместо сканирования вам сделают слепок, силиконовый или гипсовый (и вас будет весело тошнить).
- Фото (чтобы уточнить все внешние показатели: линию улыбки, размер будущих зубов и конечный вид конструкции).

Есть, например, варианты с искусственной десной или без неё
2. Составляем план лечения и готовимся к хирургической части.
На этом этапе нам важно выявить соматические заболевания, которые могут оказаться противопоказаниями к имплантации.
Кстати, о противопоказаниях.
Абсолютные противопоказания:
- Заболевания крови и кроветворных органов (например, если кровь плохо сворачивается, становятся затруднительными любые операции вообще).
- Заболевания ЦНС, врождённые и приобретённые (психические расстройства, например, когда человек не очень адекватно воспринимает окружающую реальность).
- Злокачественные опухоли, особенно если их недавно лечили с помощью химиотерапии или лучевой терапии (если лечили давно и наступила стойкая ремиссия, ставить имплантаты уже можно).
- Иммунопатологические состояния.
- Системные заболевания соединительной ткани (ревматические и ревматоидные процессы, дерматозы, склеродермия и так далее).
- Туберкулёз и его последствия.
- Заболевания слизистой оболочки полости рта: хронический рецидивирующий афтозный стоматит, любимая доктором Хаусом красная волчанка, пузырчатка, синдром Шегрена, синдром Бехчета и прочее.
- Гипертонус жевательных мышц.
- Диабет I типа (но, опять же, если человек тщательно следит за сахаром и резких скачков у него не бывает, то имплантат имеет все шансы прижиться).
Относительные противопоказания (чтобы их убрать как раз и нужны смежные специалисты):
- Кариес, неудовлетворительная гигиена, несанированная полость рта (эту проблему решает стоматолог-терапевт).
- Гингивит различной этиологии (побороть его помогут стоматолог-терапевт, пародонтолог и изредка ещё хирург).
- Апикальный периодонтит (с этой проблемой вам к стоматологу-эндодонтологу и иногда — к хирургу).
- Аномалии прикуса (придётся встретиться с ортодонтом и, скорее всего, поставить ту или иную конструкцию).
- Артрозоартрит височно-нижнечелюстных суставов (тут нужно комплексное лечение у гнатолога, а если его в доступе нет, то хирурга или травматолога-ортопеда, а также стоматолога, невропатолога, отоларинголога и иногда ещё ревматолога с инфекционистом).
- Выраженная атрофия или дефект костной ткани альвеолярного отростка (это работа стоматолога-хирурга, который либо сделает костную пластику, либо расщепит альвеолярный гребень).
- Вредные привычки — курение, злоупотребление алкоголем, наркомания (можете не бросать, но приживаться имплантаты будут безобразно).
- Ну и отдельным пунктом — беременность.
Если есть какие-то серьёзные хронические болезни, то перед имплантацией нужно довести человека до стойкой ремиссии, а уже потом разбираться с зубами.
Кстати, ВИЧ и гепатита ни в одном, ни в другом списке, как видите, не наблюдается (пока ВИЧ не переходит в стадию СПИДа).
3. Проводим предварительную подготовку челюсти к временному протезированию на имплантатах.
Для этого понадобится два визита, во время которых мы определяем смыкание челюстей, соотношение их друг с другом, цвет зубов, их размер и высоту.
А вот глубина меняться не будет, так как мы ориентируемся на костный гребень. Поставить имплантаты мимо него не получится.

Костный гребень выглядит вот так
Мы стараемся избегать наращивания кости даже там, где костной ткани не осталось, но иногда без этого не обойтись. Чаще всего костная пластика нужна в области жевательных зубов. Под передними кость, как правило, есть почти всегда, и в неё обычно получается поставить некоторое количество имплантатов.
Есть два варианта: либо сделать костную пластику и сразу же поставить имплантат, либо сделать пластику и поставить имплантат через какое-то время, когда кость приживётся. Временная конструкция в обоих случаях будет поначалу держаться только на передних имплантатах, и только на этапе постоянного протезирования будут нагружены все остальные.
Впрочем, повторюсь, пластика бывает нужна очень редко.
4. Ставим имплантаты и коронки.
Хирургическую часть и протезирование мы чаще всего делаем под седацией. Человек приходит, ложится в кресло и засыпает. А просыпается уже с имплантатами и временной пластмассовой конструкцией на них. Очень удобно.
Через две недели мы снимаем ему швы и отпускаем с миром на пять — пять с половиной месяцев, чтобы имплантаты могли нормально интегрироваться. На это время любимыми блюдами пациента должны стать суп-пюре, котлеты и овсяная каша, но никак не шухарики, яблошки, штейк или леденшы. Но это уже мелочи.
Поставить сразу постоянную конструкцию мы не можем, потому что в течение этого периода десна будет меняться. К тому же поначалу очень важно, чтобы материал сам по себе был полегче, чем цирконий или керамика, чтобы имплантат быстрее и проще приживался без лишнего давления.
Обслуживание конструкции
Заплатив внушительную сумму за реабилитацию, хотелось бы больше никогда не вспоминать про зубы. Но — не получится. Хороших новостей две:
- Мы предлагаем гарантию и профессиональную гигиену без оплаты на пять лет.
- Обслуживать такие протезы вполне реально даже на достаточно скромную пенсию.
Во-первых, уход за конструкцией на имплантатах ничем не отличается от ухода за своими личными зубами. Основная проблема с ортопедическими конструкциями — появляются новые точки задержки пищи и зубного налёта. Да, на кариес имплантату и коронке совершенно пофиг. К сожалению, бактериальная микрофлора всё ещё может агрессивно атаковать ткани пародонта.
При плохой гигиене это приведёт к разрушению связочного аппарата у своих зубов под коронками и к их потере. Имплантаты более тесно связны с костью, но даже их рано или поздно достанет деградация костной ткани под влиянием инфекции.
Поэтому, если у вас есть протезы в полости рта, вам нужно следить за этими вещами:
- Идеальная гигиена с зубной щёткой. Бактериям сложно создать биоплёнку на гладкой керамике, но они стараются.
- Ирригатор. Недорогой аппарат, который теперь лучший друг на всю жизнь. Он может вымывать частицы пищи и налёт из поддесневого пространства.
- Профессиональная гигиена. Раз в три — шесть месяцев гигиенист уберёт то, что не получилось убрать самостоятельно, и проконтролирует качество.
Впрочем, про гигиену хорошо рассказали мои коллеги — тут и тут.
Во-вторых, в течение пяти лет после протезирования, к нам можно бесплатно приходить на профессиональную гигиену четыре раза в год. Кстати, тем, у кого свои зубы на месте, мы рекомендуем приходить на профгигиену раз в три месяца, а большинству из тех, у кого стоят такие конструкции, — раз в полгода.
В-третьих, у нас есть пятилетняя гарантия, так что если за это время что-то случится с имплантатом, мы его бесплатно поменяем.
В-четвёртых, раз в полгода мы ждём пациента на бесплатный осмотр к ортопеду. В принципе, этот осмотр можно сделать даже в государственной клинике в другом городе, но в идеале нужен тот ортопед, который протезировал имплантаты. Нужно убедиться, что с дёснами и костной тканью всё в порядке, а имплантаты стоят на нужной высоте. Я считаю, что врач становится врачом тогда, когда он начинает контролировать результат своей работы, и, если у меня будет такая возможность, я с радостью приму своего пациента, даже через 20 лет после протезирования.
Почему на осмотр нужно так часто? Что с имплантатом может произойти?
Главный враг имплантатов — периимплантит, то есть воспаление тканей вокруг титановой основы.

Выглядит это неприятное явление вот так
Даже если всё хорошо, всё равно в той или иной степени будет происходить убыль костной ткани. И если начнётся воспаление, всем будет гораздо легче, если мы выясним причину и постараемся быстренько её убрать в самом начале процесса. Иногда достаточно просто хорошенько всё промыть и отполировать. Но если периимплантит развивается уже полтора- два года, имплантат, скорее всего, придётся удалять. Антибиотиками, кстати, остановить этот процесс не получится, так как он локальный и антибиотики на него не действуют.
Недавно ко мне приходила пациентка с точно такой конструкцией. У неё через какое-то время оголилось три или четыре витка одного из имплантатов. Чтобы прекратить этот процесс, мы просто отполировали его там, где он оголился. Дело в том, что винт сам по себе шероховатый и на нём очень быстро образуется налёт. А это хорошая среда для бактерий. На гладкой же поверхности им задерживаться гораздо сложнее, поэтому гигиена в этой области становится лучше и убыль костной ткани прекращается. Второе, что мы сделали для этой пациентки, — увеличили объём десны, чтобы перекрыть оголившийся участок. Это относительно недорогая операция, она стоит примерно 25–30 тысяч.
Если всё плохо и имплантат всё-таки придётся удалить, дальнейшая судьба конструкции будет зависеть от того, сколько их ещё осталось, и получится ли на оставшихся закрепить всю конструкцию либо попытаться добавить ещё один имплантат.
Тотальная реабилитация на своих зубах
Если человек упорно не делает тотальную реабилитацию, к которой есть прямые показания, то он может и дальше продолжать ходить со своими зубами. Но ситуация со временем почти всегда ухудшается, и через два-три года план лечения будет отличаться от изначального довольно сильно. Например, могут понадобиться имплантаты, которые изначально не были нужны. И отдельно ещё — серьёзное лечение височно-нижнечелюстного сустава.
Впрочем, в любом случае вероятность, что тотальная реабилитация будет состоять только из самой реабилитации, исчезающе мала. В подавляющем большинстве случаев мы подключаем к работе смежных специалистов.
Первым делом, конечно, проводим диагностику. Она будет точно такой же, как при работе с беззубой челюстью — те же самые фотографии, КТ и 3D-сканирование.
Мы определяем соотношение верхней и нижней челюсти, исключаем скрытые воспалительные процессы, оцениваем состояние костной ткани и проверяем, нужен ли где-нибудь имплантат.
Изучаем, насколько стёрты зубы, как выглядят улыбка и нижняя треть лица. Подключаем смежных специалистов.
В первую очередь это гигиенист. Без него не обходится практически никогда.
Затем — терапевт, который разберётся со всеми кариозными процессами, залечит корневые каналы и санирует полость рта.
После того как мы поставим накладки, лечить кариес будет уже невозможно. И если какой-нибудь его очаг останется нетронутым, можно запросто лишиться зуба, причём довольно быстро.
Может понадобиться работа ортодонта, который поставит каппы или брекеты для выравнивания зубов. Это нужно, чтобы поставить нижнюю челюсть в более выгодное положение перед тотальным протезированием. А значит, снизить нагрузку на зубы, мышцы и височно-челюстной сустав. Это нужно, например, чтобы меньше препарировать зубы или раскрыть пространство между зубами и поставить полноценную коронку (например, у пациентов, которые живут без одного зуба или с тремами и диастемами).

Тремы и диастемы — это некрасивые и совсем не функциональные промежутки между зубами
Пациентам с проблемами нижнечелюстного сустава ортодонт тоже совершенно необходим, так как они чаще всего возникают из-за неправильного расположения зубов в зубной дуге (когда они наклонены или завалены внутрь или есть глубокое перекрытие).
Кроме всего прочего, зубы стираются не только из-за бруксизма, но и по причине своего неправильного положения.
Сюрприз: если вам поставят брекеты, то никакого протезирования до окончания работы ортодонта делать нельзя. Разве что восстановить временной коронкой или накладкой какой-нибудь отдельный разрушенный зуб.
Может понадобиться и хирург. Например, чтобы удалить зубы мудрости: они занимают место, могут весьма внезапно заболеть и за ними тяжело ухаживать.
И только потом приходит наконец очередь ортопеда, который займётся тотальным протезированием.
1. Создаём 3D-прототип будущих зубов.
После того как все смежные специалисты закончат работу, мы снова делаем фотографии, 3D-сканирование и рентген, чтобы полюбоваться на их работу и определить, что изменилось.
А затем на основе всех полученных данных в специальной программе создаём прототип будущих зубов. Во время следующего визита их можно примерить, как платье перед покупкой: подходит ли цвет, удобно ли носить. Мы отжимаем силиконовый ключ, заливаем в него пластмассу, прикладываем его к зубам, ничего пока не обтачивая, и — оцениваем форму и цвет будущей улыбки.
Выглядит этот процесс довольно занятно.
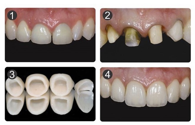
2. Ставим временные, а затем и постоянные виниры или коронки.
Если всё устраивает, ортопед обтачивает зубы, снова сканирует полость рта, ставит временные коронки или виниры и отдаёт заказ техникам, которые медленно и медитативно следующие две недели создают керамические накладки.
По истечении этого времени останется только зафиксировать всю красоту в полости рта.
Что может произойти с винирами/коронками?
Коронки и виниры не подвержены кариесу, но могут скалываться от чрезмерного механического воздействия. И это самое неприятное. Впрочем, если скол небольшой, можно обойтись простой полировкой этой области. В противном случае придётся делать замену реставрации. Очень обидная ситуация произошла недавно с одной из пациенток Артёма. Она вышла из клиники после установки виниров, села в такси и открыла стеклянную бутылку с минералкой. Машина тронулась, бутылка стукнулась о зуб, и от новенького винира откололся кусочек. Обошлись полировкой, но осадочек, как говорится, остался.
Есть и хорошая новость. Если керамика поставлена по чёткому современному протоколу (а это определённая последовательность использования конкретных растворов, гелей и так далее), то она буквально сплетается с зубом. Связь получается такой прочной, что между ними попасть не может ничего вообще, а значит, и кариес образоваться тоже не может. Впрочем, если мы говорим о винирах, которые прикрывают только внешнюю сторону и режущий край зуба, ничего не мешает кариесу образовываться на участке, не защищённом никакими накладками.
Конечно, делая такую большую работу, я как доктор хочу, чтобы она прослужила пациенту всю оставшуюся жизнь. Но керамика, к сожалению, не вечна, она со временем стирается и изнашивается.
Когда мы ставим имплантат, мы рассчитываем, что он, при должном внимании и уважении, может прослужить всю жизнь. Когда мы ставим коронки и виниры, рассчитывать нужно примерно лет на 20. К счастью, это не означает, что ровно через 20 лет, день в день, нужно будет менять всю конструкцию целиком. Просто по истечении этого времени виниры с коронками могут начать стираться, ломаться, скалываться и требовать замены.
Замена одного винира сейчас стоит около 66 тысяч. Для человека, который живёт только на пенсию, многовато, но реально.
Решающую роль в уходе за керамическими накладками снова играет гигиена. Интересных штучек тут, правда, понадобится больше, чем для ухода за конструкцией на имплантатах: две щётки, обычная и монопучковая, ёршики, флоссы и снова ирригатор.
А главная прелесть тотальной реабилитации при всех её очевидных минусах — это постоянная высота зубов как сразу после установки, так и через пресловутые 20 лет. Всё, что происходит во рту, случается исключительно с керамикой. Чтобы провести реставрационные работы, достаточно просто аккуратно спилить её, не затрагивая сам зуб, который остаётся нетронутым.
Выводы
- Если показания для вмешательства есть, но ничего не делать: суставы будут необратимо повреждены. Не у всех это протекает быстро и в тяжёлых формах. Но последствия могут быть тяжёлыми.
- Надо всё тщательно взвесить. Сама по себе глобальная перестройка прикуса и жевательного процесса очень тяжёлая. Если проблема не выраженная и только началась, то часто лучше принять другие меры — каппы и тому подобное, чтобы не допустить дальнейшее истирание и прочее. Тотальная реставрация — крайняя мера, до которой лучше не доводить.
- Если уже возникла необходимость — ищите тех, кто умеет. Это сложнейшая геометрия и расчёты. Сдвиг сустава на долю миллиметра не в ту сторону может приводить к тяжёлым последствиям, надо понимать все механизмы.
- Если у вас теперь полный рот искусственных зубов, то это не значит, что за ними не надо ухаживать. Наоборот.
Ещё посты:
- Хирургические случаи: пост про то, как пациент терпел зубную боль до момента, когда ему пришлось резать горло в нескольких местах. Про пациента-проказника, выпавшего с третьего этажа и упавшего на лицо. Про пациента-спортсмена, неожиданно затормозившего в дерево.
- Для гиков: про то, как именно можно умереть от анестезии прямо на приёме терапевта. Как самостоятельно читать КТ. Про моего коллегу Андрея, хирурга senior+. Про Гусейна, его навигационные шаблоны и участие в разработке ПО для хирургов по всему миру. Как Гусейн разрабатывал матмодель и софт для хирургии по пересборке черепа.
- Инструкции: FAQ про пломбы. Что вам нужно знать про гигиену зубов. Как правильно бояться стоматолога. Что вам нужно знать про наркоз и седацию. Реплантация зубов: как правильно собирать свои зубы в пакетик. Что делать, когда вы нафаршированы зубами (про молочные зубы). Про зубы ваших пожилых родственников. Про типичные зубы ИТ-пациента. Коренные зубы — это атавизм, и почему их часто удаляют «на всякий случай». Как вылечить зубы на год вперёд перед долгой поездкой.
P.S. Если вы дойдёте до наших клиник, то говорите, что вы с Хабра, будет скидка 5%.
Автор: Рубен Амбарцумян




