
В данной публикации рассматривается проблема загрязнения воздуха радоном и его дочерними продуктами распада (ДПР). Собраны и показаны различные факты, когда радон концентрируется и его можно обнаружить бытовым радиометром. Указано на понимание опасности радона на западе и дан краткий экскурс в теорию радиоактивного распада и повреждения тканей. И в заключение, предложена одна идея, пока не применяемая для целей очистки воздуха от ДПР.
Радон — радиоактивный газ, в 7 раз тяжелее воздуха, не имеющий запаха и цвета в следовых количествах, в которых присутствует повсеместно на нашей планете. Однако, следовые количества бывают разными…
Впервые с радоном, а точнее продуктами его распада я познакомился лет 15 назад, случайно, еще не зная что это и почему. Проводя бесцельные эксперименты с бытовым радиометром, не раз замечал, что экран кинескопного телевизора имеет повышенный радиоактивный фон.

Примечательным было то, что фон этот наличествовал у проработавшего некоторое время телеэкрана. Активности не было у только что включенного или долгое время выключенного телевизора.

Конечно, обычные объяснения такого явления — это рентгеновское излучение самого кинескопа в процессе работы или помехи от электростатики. Но мягкое и очень незначительное рентгеновское излучение не может преодолеть стекло кинескопа или фиксироваться датчиком использованного дозиметра-радиометра.

А электростатика должна давать похожий эффект и при включении, ну и ее влияние можно устранить слегка увлажнив стекло. Следующий раз радон проявил себя в свежей дождевой воде.

Радиоактивный фон первых капель дождя заметно повышен и вполне наблюдаем бытовым прибором. Немногие источники дают верное толкование сему явлению. В нашем регионе (г. Гомель) это вообще легко списать на тучи со стороны ЧАЭС (а там вдруг лесные пожары или саркофаг снова немного обвалился — поводов подозревать достаточно). Хотя «списывать» таковое совсем конечно не стоит.

Еще, если отыскать удачное место (шахты, пещеры, подвалы), можно напрямую наблюдать повышенный фон в ямах или кавернах. Этот фон быстро нормализуется при проветривании измеряемой полости.

В общем, за повышенный фон, хорошо заметный в описанных случаях ответственен радон. Точнее — дочерние продукты его распада или ДПР. Обычно, без так называемого «специального» оборудования радон обнаружить шансов почти нет.

Правда не всегда требуется такое оборудование завозить на дом. Например, в США действует программа удаленного первичного скрининга радона в домах жителей. Она основана на экспозиции в исследуемом помещении губки «Radon test kit» [1] и последующей отправки её в исследовательский центр.

А так, активность самого радона и части продуктов его распада не фиксируется большинством измерительных приборов, особенно бытовых. Видны лишь некоторые продукты, доля которых мала и становится достаточной для замера лишь при создании условий их концентрирования. Три приведенных примера, это как раз те случаи: электростатическое накопление телевизором, аэрозольное дождем и путем седиментации в яму (различий в плотности).

Но откуда взялся радон? Порой верный ответ на такой вопрос — отовсюду. Ибо если радона столь много, то и его источник должен быть солидным. Ведь радон, подобно своим дочерним продуктам долго не живет — распадается. В общем-то эта проблематика давно изучена. Радон тоже является дочерним продуктом распада в длинном ряду, во главе которого обычно 238-й уран. Или 232-й торий.

Непосредственный предок радона — радий, это отражено в названии «радон». Уран и торий присутствуют в горных породах, почве, воде и конечно в строительных материалах. Среднее содержание или кларк урана 27÷100000 процента, тория — 96÷100000 [2].

В той или иной степени рядом с главой ряда будут существовать все потомки, число распадов каждого из которых будет равно числу распадов главы. То есть уран за сотни тысяч лет успеет (и успел уж давно!) наработать всё, вплоть до радия. А вот радон в ряду распадов является особым, поскольку это единственный газ. Он способен покидать родителя, сильно мигрировать.
Некоторые минералы, такие как широко знакомый гранит, содержат больше урана, до 10-20 грамм на тонну. Обычный песок — около грамма на тонну.

Выходит, почти любой строительный материал способен выделять радон. Это значит, что подвал не выгоднее, не чище пещеры. В странах Европы и США уже серьёзно обеспокоены [3] проблемой радона — пытаются решить её следующими способами: через предварительную проверку и неиспользование материалов и мест, выделяющих радон для целей строительства; устанавливая принудительную вентиляцию в местах непосредственного выделения радона. Только в США это выливается в миллиард долларов ежегодных затрат.

Почему же радон стоит считать более опасным, если его источник будет иметь суммарную активность на порядок выше, а сам радон еще и постоянно улетучивается вследствие газообразности? Для объяснения этого нужно немного рассказать о радиоактивном излучении вообще. Еще школьный курс физики гласит, что радиоактивные лучи бывают альфа, бета и гамма.

На самом деле, конечно, разновидностей больше, но это основные. Гамма-лучи это электромагнитное излучение, по природе такое же, как радиоволны или обычный свет, но «высокого» уровня энергии (в тысячу или более раз выше).

Это значит, что одна порция или квант гамма-лучей передаст столько же энергии, сколько тысяча порций обычного света, а порой и миллион, миллиард. А в нано-мире квантовой механики количество не значит качество: то, что не под силу миллиону порций света доступно одной порции гамма-лучей. Лучи, полученные искусственно или имеющие небольшой уровень энергии, называют рентгеновскими. Бета и альфа-лучи иные — поток очень быстрых частиц.

Бета-лучи — поток обычных электронов, легких частиц с отрицательным зарядом. Альфа-лучи это атомы гелия, лишенные всех электронов, то есть их ядра с массой в 7300 раз больше массы электрона. Заряжены положительно.
Способность лучей проникать через предметы и сила наносимого ими повреждения (например, биологического) прямо связана с этими факторами. Так, гамма-лучи наиболее проникающие, бета-лучи похуже. А альфа-лучи почти не преодолевают плотные преграды, даже небольшой слой воздуха их хорошо тормозит.

По биологическому эффекту ситуация обратная. Если принять за 1 наносимые гаммой повреждения, то у беты тоже 1, но у альфа коэффициент 20 [4]. Альфа-частица тяжелая и большая, она быстро рассеивает свою энергию в веществе. Одна частица до момента превращения в обычный атом гелия срывает электронные слои у встреченных атомов, разрушая тем самым любые химические связи.

Можно представить себе, что в один момент в объеме живого организма размером в кубический нанометр появляется множество случайных агрессивных химических соединений, называемых свободными радикалами. Каждый из которых способен повредить другую сложную молекулу, уцелевшую после первой атаки альфа-частицы. Например, макромолекулу ДНК. Теоретически, одной альфа-частицы достаточно для порчи одной клетки: стерилизации или, что хуже, мутации.
Радоны 220-й и 222-й распадаются, высвобождая альфа-частицу и полоний. На распад половины радона нужно чуть менее четырех суток. Полоний в свою очередь тоже распадается, давая уже бета-частицу. И так далее по цепочке до свинца.

В итоге, везде, где есть источник радона, где есть сам радон и его дочерние продукты, наличествует и гамма, бета, альфа излучение. Обобщив, можно подумать, что реальный вред могут доставить лишь гамма-лучи или бета. И это верно, если речь идет об обычных источниках, поскольку верхний омертвевший слой кожи человека не пропускает альфа-лучи к живым клеткам и не может быть поврежден сам.

Но мы помним, что радон — газ. Кроме того, продукт его распада, хоть и не газ, но рождается в воздухе, в одноатомном виде. Как и последующие нуклиды, будет очень мелкой пылью. Газ и пыль могут попасть в части организма, где нет защитного слоя — дыхательные пути и легкие. В них реализуется весь 20-и кратный вред от альфа-лучей плюс часть от беты и гаммы.

Согласно отчету всемирной организации здравоохранения загрязнение воздуха помещений радоном является причиной возникновения рака легких в районе от 3 до 14% случаев, что занимает второе место по частоте после курения [5][6].

Учитывая, что ежегодно от рака легких умирает 1,5 миллиона человек, среди них 150 тысяч случаев вызваны именно радоном. Таким образом, среди некурящих радон по канцерогенности выходит на первое место. Человек, дышащий загазованным воздухом около фабрики или проспекта с меньшей вероятностью заболеет раком легких, чем человек дышащий только свежим воздухом, но проживающий или работающий в помещениях, где земля или строительные материалы неприметно выделяют радиоактивный газ без цвета и запаха.

Как же решить проблему радона? Прежде чем решить проблему ее изучают. В нашем случае изучение проблемы подсказало один из вариантов ее решения, хоть и не совсем напрямую. Для радиометрии радона в воздухе требуется сконцентрировать этот газ и применить радиометр, чувствительный к альфа-лучам. Традиционный способ — протяжка большого объема воздуха через специальный фильтр и замер альфа-активности фильтра упомянутым радиометром.

Альтернативный способ — косвенный, через замер бета и гамма-активности дочерних продуктов распада [7]. Здесь работает электростатика, ведь продукты распада радона это ядра атомов с существенным положительным зарядом. Конечно, потеряв скорость они отберут часть электронов у воздуха или обычных пылинок, прилипнув к последним с формированием аэрозоля. Впрочем, положительный заряд у которого сохранится. Представим, что у нас появился электрод, заряженный отрицательно. Вокруг него распространится электрическое поле, а попав под его действие положительно заряженные пылинки устремятся к источнику поля — на электрод.

Тем самым, ДПР будут собраны на небольшой площади, где их распады легче точно измерить. И тут мы подумали, нельзя ли использовать эффект для иной цели — очистки. Ведь это вполне логично: раз мы забрали ДПР из ближайшего объема воздуха, то пройдет время, пока радон восстановит их концентрацию. Кстати, даже сам свежеобразованный радон будет иметь заряд, следовательно будет улавливаться.
В настоящее время, с целью выявить эффективность электростатического накопления ДПР применительно к очистке, нами проводятся исследования. Мы уже собрали и тестировали накопительную установку.

Результаты работы этой установки были подвергнуты радиоспектрографическому анализу.

В ходе анализа обнаружены гамма и бета-активные ДПР радона, хотя не удивительно, что спектрограф выявил их. Даже бытовой дозиметр-радиометр в режиме гамма-измерения зафиксирует раз в 5 больше событий распада, чем фоновые, а в режиме бета+гамма — в 50 раз.

Конечно, это если накопление было достаточное время в «зарадоненном» помещении.
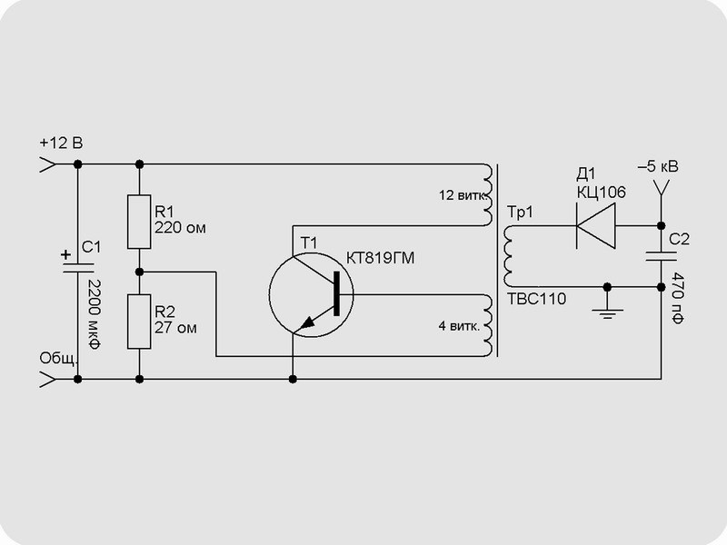
Сама исследовательская установка состоит из источника высокого напряжения и сборного электрода, в роли которого выступает таблетка активированного угля. Активированный уголь и так сорбирует тяжелые пары и газы, под зарядом это свойство приумножено.

Электрическая схема пока очень проста:

Перед разработкой коммерчески эффективной установки, решающей проблему с радоном нам еще предстоит решить ряд задач, научных и технических. Например, выявить, насколько она лучше аэрозольной очистки воздуха водой. Или доказать эффективность количественно, в контексте официальной научной методологии. Выяснить оптимальное значение напряжения, форму и расположение электродов, их число для минимальных энергозатрат, себестоимости и удобного дизайна в форме бытового прибора.

Проект на текущей стадии — далеко не готовое решение, но уже не просто идея. Это работает.
Используемые источники информации:
- Radon Test Kit.
- Кларковые числа элементов. Википедия.
- WHO handbook on indoor radon: a public health perspective / edited by Hajo Zeeb, and Ferid Shannoun. World Health Organization, 2009.
- Дозиметрия в ядерной медицине.
- А. Демкин. Радиоактивный почвенный газ радон в помещении и риск возникновения рака легких.
- Рак легких. Википедия.
- Махди Мохамед Рамдан. Радиометрия эксхаляции радона из строительных материалов: автореферат дис. кандидата технических наук: Минск, 1995.
Авторы проекта Dzmitry Kalesnikau и Ivan Krauchanka уже выступали с этой тематикой 6 февраля на конференции Party Hard! 2016 в Минске. Работа над проектом пока продолжается...
Автор: begin_end
