
Для курильщиков характерно, что потемнение зубной эмали и кариес образуются в первую очередь не с наружной, а с внутренней (язычной или нёбной) стороны зубов. Там, где они больше соприкасаются со слизистой и происходит основное вдыхание дыма.
Если вы курите, то, наверное, вам уже кто-то да говорил, что это не совсем полезно. На этом нотацию заканчиваю и перехожу к практике.
Зубы желтеют.
Ещё дёсны кровоточат, но не сразу.
Коротко — поправить можно.
Табачный дым — это никотин плюс более 4 тысяч летучих и нелетучих компонентов вроде различных смол, органических кислот, полифенолов, углеводов, металлов и т. д. И всё это добро очень плохо сказывается на зубах (и ротовой полости в целом) курящих людей. Многие наши курящие пациенты искренне удивляются тому, что их зубы желтеют от сигарет.
Сначала температурный градиент (а вы греете зубы примерно до 60 градусов Цельсия) создаёт микротрещины. Потом туда проникают смолы, потом образуется плёнка, под которой здорово себя чувствуют бактерии. А дальше у нас нарушение слюноотделения и убыль дёсен. Всё это можно приостановить или замедлить. Иногда дорого.
Как курение влияет на зубы и ротовую полость человека?
Всё, что находится во рту — сами зубы, пародонт, слизистая, язык, в той или иной степени подвержено патогенному влиянию сигаретного дыма.

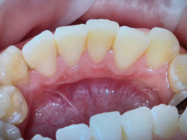
Фото налёта на зубах некурящего человека

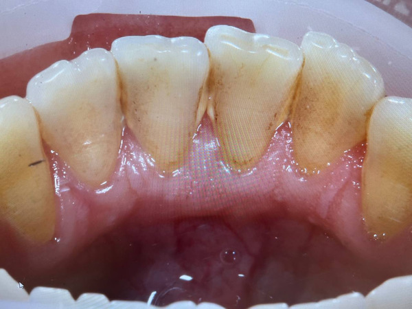
А так выглядит сигаретный налёт на зубах курильщика. Почувствуйте разницу.
Потемнение эмали. Это самый яркий, так сказать, бросающийся в глаза признак постоянного курения. В стоматологии для этого придумали даже специальный термин «никотиновые зубы». Характерный жёлтый цвет зубов плохо поддаётся профессиональной чистке, особенно, если личная гигиена у человека хромает и он редко посещает стоматолога. Этот тёмный налёт курильщика образуется в несколько стадий:
- Сначала из-за разницы температуры горячего (40–60ᵒС) сигаретного дыма и вдыхаемого воздуха на поверхности эмали образуются микротрещины, в которые проникают табачные смолы.
- Затем на поверхности зубов курящего образуется смоляная плёнка, под которой накапливается патогенная микрофлора, образующая зубной камень такого же тёмного цвета.
Кариес. Здесь один из провоцирующих факторов — всё те же микротрещины в эмали. Наряду со смолами в них проникает и патогенная микрофлора. То есть сигаретный дым разрушает эмаль и нарушает её защитный барьер. Другой фактор — сухость во рту. Табачный дым нарушает выделение и состав слюны, которая тоже выполняет защитную функцию и поддерживает баланс ре- и деминерализации эмали. В частности, в ней содержатся муцины, которые препятствуют образованию минеральной плёнки на зубах. То есть у курильщиков меньше выделяется слюна, она не так хорошо омывает эмаль. Прибавляем сюда часто ненадлежащую гигиену полости рта — получаем все условия для развития кариеса. Здесь ещё проблема в том, что многие курильщики стесняются ходить на профессиональную чистку. Так и говорят: «Я знаю, что у меня там всё плохо. Но я стесняюсь».
Поражения слизистой. Об одном из них мы уже сказали. Это ксеростомия — сухость во рту. Из-за температурного и токсичного воздействия горячего дыма на чувствительный эпителий возникают очаги ороговения с белым налётом вокруг них (лейкоплакия, или никотиновый стоматит). Хрупкая слизистая просто не выдерживает высокой температуры и систематической интоксикации, поэтому в дело вступает защитная реакция — эпителий сначала становится очень тонким, начинает часто кровоточить, а затем просто огрубевает.
Лейкоплакия — это то, что в гистологии называется метаплазией. Ещё не онкология, но уже неприятный звоночек. В норме каждый тип эпителия имеет свои особенности, в зависимости от того, где он живёт. У эпителия дыхательного тракта есть реснички, чтобы выталкивать пыль и грязь наружу. У эпителия кожи есть прочный защитный слой из кератина, чтобы создавать труднопроницаемый барьер между агрессивной внешней средой и нежными тканями внутри.
Эпителий слизистой оболочки полости рта в норме имеет морфологический тип «многослойного плоского» и никогда не ороговевает. У здоровых людей белая линия метаплазии и трансформации в ороговевающий тип встречается только по линии смыкания зубов, где щека часто прикусывается. Ороговение — это форма защиты ткани от хронического повреждения. К сожалению, метапластические процессы можно рассматривать как предраковые. Так что, в случае курильщиков — это уже очень важный звоночек.

Лейкоплакия курильщика (никотиновый стоматит) собственной персоной. Белые области — огрубевший эпителий слизистой.
Поражения дёсен. Здесь тоже целый букет проблем от табака. Во-первых, это гингивит — поверхностное воспаление дёсен. Во-вторых, пародонтит, то есть уже прогрессирующий воспалительный процесс, затрагивающий ткани, окружающие зуб и удерживающие его в лунке. Это дёсны, связки, периодонт, цемент, надкостница и, наконец, сама кость. Табачный дым мало того, что токсично действует на сами клетки, он ещё нарушает кровоснабжение тканей, вызывая постепенную атрофию. Вместе со снижением синтеза коллагена из-за разрушения витамина С компонентами сигаретного дыма (1 сигарета уничтожает примерно 25 мг вещества при суточной норме в 60 мг) это приводит к ухудшению зубодесневого соединения. Грубо говоря, у курильщиков развивается цинга. А ещё систематическое курение снижает локальный иммунный ответ на микрофлору. Возникает своеобразная компенсированная реакция, приводящая в первые годы к кровоточивости дёсен и гингивиту. А потом это уже превращается сначала в пародонтит, а затем в атрофию, и десна начинает постепенно истончаться и «сползать», оголяя корень зуба.

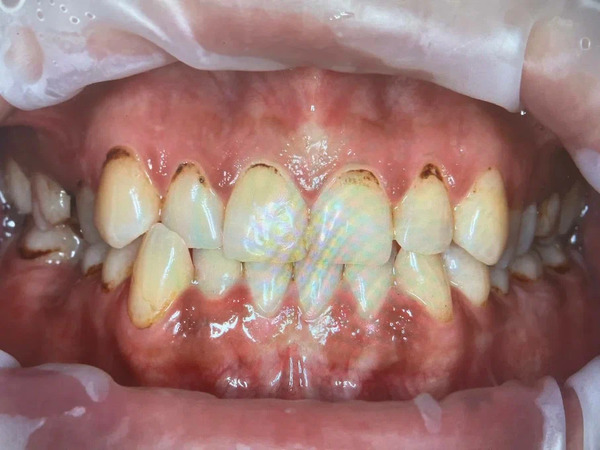
Рецессия десны (нижний правый клык на фото) — частое следствие атрофии десневой ткани из-за курения. В данном случае основной причиной послужил неправильный прикус, но сигареты тоже сыграли свою роль.
Повреждение сосудов. Систематическое поступление больших доз никотина вызывает постоянный стеноз мелких сосудов, питающих мягкие и твёрдые ткани ротовой полости. Как результат — постепенная атрофия дёсен, слизистой и пародонта, ухудшение их регенерации, снижение устойчивости к травмам и инфекциям. У курильщиков наблюдается усугубление воспалительных заболеваний пародонта. Одно из последствий заключается в нарушении заживления челюстной кости после установки имплантата и повышении риска его отторжения. По результатам одного из исследований, у курильщиков протезы приживались в 84,2% случаев, в то время как у некурящих — в 98,6%. У тех, кто выкуривал более 20 сигарет в день, риск отторжения составлял около 31%.
Ухудшение вкусового восприятия. Сигаретный дым влияет на работу рецепторов языка. Многие курильщики отмечают изменения и снижение вкусового восприятия. Здесь работают два основных механизма. Первый — непосредственное влияние никотина и других компонентов сигаретного дыма, а также его температуры на вкусовые рецепторы. Второй — из-за ухудшения слюноотделения на спинке языка образуется плёнка из остатков пищи и бактерий, преграждающая молекулам путь к вкусовым сосочкам.
Это, разумеется, далеко не всё — чтобы просто перечислить последствия курения для ротовой полости, придётся написать отдельную статью.
Здесь нужно оговориться, что речь идёт сейчас именно об обычных сигаретах. У вейпов и электронных сигарет эффект несколько другой, потому что они выделяют не дым, а пар.
Да, там есть никотин, но он на эмаль зубов курильщика практически не воздействует. Хотя есть исследования, что продукты распада пропиленгликоля (уксусная кислота, пропионовый альдегид) способны разрушать эмаль зубов, тем самым создавая условия для её потемнения. От самого никотина в первую очередь страдает слизистая, потому что он сужает сосуды и нарушает её трофику. Но эмаль от него не темнеет. С другой стороны, он ухудшает выделение слюны, тем самым опосредованно создавая условия для возникновения зубного налёта и разрушения эмали. Потому что и сама слюна (её состав), и нормальное слюноотделение способствуют естественной очистке полости рта и реминерализации эмали.
Степень повреждения эмали, слизистой и мягких тканей у курильщиков напрямую зависит от количества выкуриваемых в сутки сигарет. Грубо говоря, курильщики условно делятся на «лёгких», выкуривающих до 9 сигарет, «средних» (от 10 до 31 сигареты) и «тяжёлых» (более 31 сигареты). Так вот исследования показывают, что у «лёгких» риск повреждения десневой ткани увеличивается в 3 раза по сравнению с некурящими, а у «тяжёлых» — уже в 5–6 раз. И вероятность потерять имплантат при курении выше в 2 раза. Страдают и пассивные курильщики — у них патологии пародонта развиваются в полтора раза чаще, чем у некурящих.
Курение после процедур у стоматолога
Допустим, человек всё же следит за своей полостью рта, регулярно посещает клинику для профессиональной гигиены и/или лечения зубов. Что происходит, если после этих процедур тут же покурить? Ничего хорошего не происходит. Любой хороший доктор всегда акцентирует внимание курящего человека на том, что процесс реабилитации будет проходить дольше, чем у некурящего. Особенно после удаления зуба, резекции десны или любой иной процедуры, в ходе которой нарушается целостность тканей. Это связано как с воздействием токсичных компонентов самого дыма, так и с постепенной атрофией тканей из-за спазмов сосудов, снижением локального иммунитета к патогенной микрофлоре.
Конечно, даже если человек курит, но у него нет каких-то заболеваний крови и сосудов вроде диабета, рана после удаления зуба, резекции или наложения швов на десну всё равно заживёт. Вопрос лишь во времени — а оно будет у каждого пациента разным.
Бывают, конечно, такие пациенты, которые после профессиональной чистки, удаления зуба или иной процедуры выходят из кабинета и тут же на радостях закуривают сигарету, снимая стресс.
Мы не можем им запретить это делать — только предупредить, что заживать будет дольше. Они, впрочем, прекрасно всё понимают, и в большинстве случаев исправно выполняют все врачебные рекомендации по приёму лекарств, гигиене ротовой полости и т. д. Но при этом курить после удаления зуба или других процедур не прекращают — потому что им это нравится.
Как удалить налёт курильщика? Гигиена и отбеливание
Несмотря на то, что сигаретный налёт глубоко внедряется в эмаль зубов, снять его можно. Но тут играет большую роль частота профессиональной гигиены. «Белая радуга» топит за профилактику, мы стараемся убедить наших пациентов в том, что приходить к стоматологу на чистку зубов лучше не дважды, а 3–4 раза в год.
Чтобы оценить, так сказать, объём профилактических работ, мы каждому новому пациенту предлагаем заполнить анкету. В ней прямо стоит вопрос: «Курите вы или нет? Если да, то сколько сигарет в день?». И сознательным пациентам, которые на него отвечают честно, ходят на процедуры минимум 3 раза в год, соблюдают рекомендации по гигиене ротовой полости (правильно чистят зубы, используют ирригаторы, ёршики, вот это вот всё) — вот им счищать налёт на зубах от сигарет гораздо проще.
Если пациент не был на профилактике, скажем, лет 10 (мы таких называем носителями «никотиновых зубов»), ему недостаточно будет провести одну очистку, чтобы счистить накопившийся налёт. Поэтому в течение месяца мы назначаем ему ещё как минимум одну дополнительную процедуру. Бывает, что и через 10 дней нужно уже будет прийти. Подход к таким пациентам в целом такой же, как к обычным, просто им нужно больше времени для достижения желаемого результата. Конечно, ещё многое зависит от сознательности пациента — от того, насколько регулярно он будет посещать профилактический кабинет.
Ещё скажу, что с возрастом курящему человеку чистить и отбеливать зубы после сигарет становится всё труднее даже современными методами. Потому что частицы смол, проникая в микротрещины эмали, со временем там накапливаются и вычистить их оттуда очень трудно. Да, в таких случаях мы можем порекомендовать поддерживать результат профессиональной чистки дополнительным домашним отбеливанием. Но постоянно эти процедуры повторять нельзя, у них есть определённые ограничения и противопоказания.
Кстати, случается и так, что курящие пациенты сознательно записываются на профессиональную чистку, чтобы мотивировать себя бросить курить. Причём это именно девушки, не парни. Мы объясняем им, что результаты отбеливания — это не навсегда, за зубами нужно ухаживать, чтобы они оставались белыми. Например, если пациентка часто ест ягоды, особенно чернику или голубику, после каждого их употребления нужно споласкивать зубы, чтобы сок ягод не въедался в эмаль. Аналогично и с курением — чтобы эмаль не темнела, после каждой выкуренной сигареты за зубами нужен соответствующий уход. Поэтому для многих это действительно дополнительный мотиватор вообще отказаться от курения.
Можно ли курить после отбеливания зубов?
Курить после чистки зубов, удаления или лечения мы настоятельно не рекомендуем. Нужно воздержаться (кстати, не только от сигарет, но и от еды) как минимум 2 часа, а лучше — сутки. Причин довольно много, но основная заключается в том, что во время процедуры на зубы и дёсны наносятся реминерализующие гели и восстанавливающие растворы. Им нужно время, чтобы хоть как-то положительно повлиять на зубную эмаль, десневую ткань или слизистую рта. Сутки — это такая страховка пациента с нашей стороны, потому что этого срока уже точно достаточно, чтобы использованные во время лечения препараты начали действовать, да и в самих тканях запустились восстановительные процессы за счёт естественной реминерализации и регенерации «чистой» слюной. Например, если мы говорим о зубной эмали, то она имеет внутреннюю структуру, состоящую из кристалликов гидроксиапатитов и органического матрикса (межпризменного вещества). И реминерализующим, очищающим, восстанавливающим препаратам нужно время, чтобы проникнуть именно в этот матрикс.
Мы ещё перед процедурой обо всём этом предупреждаем пациента, а далее всё уже зависит от его сознательности. Кто-то готов потерпеть, чтобы получить больший эффект от гигиены или лечения, кто-то нет. Заставлять их не курить мы не можем.
Защищают ли брекеты и элайнеры от потемнения зубов?
Если говорить в целом — не особо. Да, элайнеры проектируются индивидуально под каждого пациента так, чтобы максимально плотно прилегать к зубам. Но всё равно остаются какие-то микрощели, зазоры — а дым, содержащиеся в нём микрочастицы смол проникают в них очень хорошо. С элайнерами курение сочетается не очень, потому что темнеть будет и пластик, из которых они сделаны, и световые вкладки. И если сами элайнеры меняются каждые две недели, то вот эти вкладки — нет. К тому же, чтобы ортодонтическое лечение с их помощью работало, элайнеры нужно носить не менее 20 часов в сутки. Соответственно, снимать их каждый раз, чтобы покурить (а ещё поесть же нужно) — значит, снизить эффективность этого лечения. Конечно, можно покурить прямо в элайнерах, а потом снять их и прополоскать, чтобы убрать осевший дым с них и с зубов. Но это скорее для самоуспокоения.

Курить, не снимая элайнеры, — не самое лучшее решение. Дым проникает сквозь микрозазоры и вызывает потемнение не только зубов, но и самих пластин.
Курить после установки брекетов тоже такое себе решение. Да, с одной стороны, все эти накладки, проволоки вроде как защищают поверхность эмали. С другой — в этих точках ретенции дыма и, соответственно, налёта оседает больше всего. Даже некурящий человек, носящий брекеты, 20 раз вспотеет, пока нормально почистит их всеми этими ёршиками, монопучковыми щётками. Прибавьте к этому сниженное слюноотделение, ухудшающее омывание зубов слюной, — и проблем с гигиеной у курильщиков становится больше в разы.
С зубными имплантатами в плане курения тоже всё непросто. Да, в хороших, качественных коронках из-за сигаретного дыма не образуются микротрещины, а винт плотно вкручен в кость. Но в месте соединения винта с коронкой, а ещё там, где к протезу прилегает десна — скапливается зубной камень. Все эти места тоже нужно регулярно чистить, чтобы поддерживать слизистую, десневую ткань в здоровом состоянии.
Если подытожить, то курить при ношении брекетов и элайнеров или после установки имплантатов мы запретить не можем. Вопрос в том, что придётся прилагать больше усилий к тому, чтобы поддерживать надлежащую гигиену полости рта.
Абразивы для курильщиков
Запретить курить людям невозможно, с этим нужно смириться. Притом среди курильщиков есть люди, которые заботятся о здоровье своей ротовой полости. А ещё это довольно большой сегмент рынка. Поэтому производители гигиенических средств для ухода за ротовой полостью разрабатывают различные отбеливающие пасты для зубов курильщиков, которые можно увидеть в аптеках и на полках магазинов.
Но здесь тоже есть свои тонкости. У зубных паст есть такой коэффициент абразивности — RDA (Relative Dentin Abrasivity — относительная абразивность дентина), предложенный Американской стоматологической ассоциацией. Так вот, по нему пасты классифицируются следующим образом:
- RDA 20–40 — низкоабразивные, для ежедневной чистки чувствительных и детских зубов (для детей рекомендуется паста до 30 RDA).
- RDA 40–60 — умеренно абразивные, для ежедневной чистки при отсутствии проблем с эмалью и нормальной чувствительности зубов.
- RDA 60–80 — абразивные пасты, полирующие и слегка осветляющие, для ежедневного использования, но с ограничениями из-за способности делать зубы более чувствительными и истончать эмаль.
- RDA >80 — высокоабразивные, механически отбеливают зубы и хорошо удаляют налёт, но для ежедневного применения подходят далеко не всем. Их рекомендуется использовать 1–2 раза в неделю.
Так вот, у отбеливающих паст для курильщиков RDA повышен до 100–150 при рекомендуемых 75–80. Каждый день чистить зубы курящему человеку ими так-то не рекомендуется, потому что абразивные частицы повреждают эмаль. Тем не менее такие пасты и жёсткие щётки пользуются популярностью у курильщиков, которые надеются с их помощью удалить у себя сигаретный налёт без обращения к стоматологу. И на первых порах эффект действительно заметный. Вот только есть пара нюансов:
- Во-первых, с помощью щёток и паст невозможно удалить налёт из межзубного пространства. То есть между зубами у них остаётся этот камень, который создаёт очаг для развития кариеса.
- Во-вторых, у курильщиков из-за воздействия дыма нарушается структура эмали в пришеечной области зуба, где она самая тонкая и уязвимая. В результате они добивают и без того ослабленную эмаль высокоабразивной пастой и жёсткой зубной щёткой.
Поэтому для курильщиков часто характерен именно пришеечный кариес. Там, где дентин близко прилегает к поверхности. У дентина минерализация только 70%, остальные 30% — это органика. Он разрушается гораздо быстрее и лучше впитывает в себя как компоненты сигаретного дыма, так и частицы пищи, патогенную микрофлору.

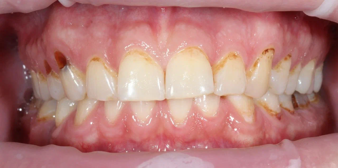
Локализация тёмного налёта у курильщика в пришеечной и межзубной зонах. Впоследствии именно здесь чаще всего образуется кариес — на фото его можно увидеть на правом верхнем клыке и левой нижней шестёрке.
Поэтому высокоабразивные пасты и зубные щётки — это как мёртвому припарка. Мы их не рекомендуем, потому что они дают очень кратковременный и поверхностный эффект. А затем, напротив, способствуют разрушению зубов из-за высокой абразивности, если постоянно их использовать. Конечно, нельзя отрицать того, что в какой-то степени они помогают отбелить зубы. Но если уж пользоваться ими, то нужно чередовать — например, 3 месяца наряду с обычной пастой пользоваться абразивной, а потом заменить её на более мягкую. Но если осмотр показал, что на зубах есть зоны повышенной стираемости, ослабленная эмаль, то мы вообще не рекомендуем применять отбеливающие пасты.
Помимо паст курильщикам предлагаются также отбеливающие гели и гельсодержащие полоски. Их действие может быть различным:
- Выделение активного кислорода, который проникает в органический матрикс эмали и разрушает пигментные частицы.
- Оптическое отбеливание за счёт насыщения эмали микрочастицами, которые становятся светлее под воздействием света.
- Реминерализация зубов, насыщение органического матрикса твёрдыми частицами гидроксиапатитов.
- Разрушение бактериального налёта на поверхности зубов или профилактика его образования.
Некоторые исследования показывают, что в ряде случаев компоненты этих средств способны вызвать нежелательные побочные эффекты, такие как гиперчувствительность зубов, резорбция шейки корня, снижение микротвёрдости эмали, повреждение мягких тканей пародонта.
По-хорошему, у курильщика есть только один путь к здоровым и белым зубам — это профессиональная гигиена и отбеливание. Иногда достаточно даже гигиены, потому что она уже убирает окрашенный зубной налёт. Бывает так, что пациент приходит на гигиену и отбеливание, но после первого этапа уже вполне доволен результатом. Потому что само отбеливание для многих неприятная процедура из-за боли, которая возникает в процессе. Тут сразу оговорюсь — боль эта появляется не из-за разрушения зубной эмали, а потому что мы активируем органический матрикс (межпризменное вещество) светом. А в этом веществе проходят дентинные канальцы, наполненные жидкостью, в которых находятся отростки одонтобластов с нервными окончаниями. И когда мы эмаль пересушиваем и активируем светом, эти канальцы сжимаются и раздражают нервы. От этого и становится больно. Но как только дегидратация прошла, примерно через сутки уже всё, ничего не болит.
Бросил курить, кровоточат дёсны: как так-то?
Весьма распространённая проблема у курильщиков. Звучит на первый взгляд парадоксально: если сигареты вызывают кровоточивость дёсен, то их отмена должна её прекратить. Но процесс здесь немножко сложнее. Я бы сказала, основываясь на своём опыте, что дело в невылеченном воспалении. Когда человек курит, никотин вызывает спазм сосудов дёсен, крови в них поступает меньше. Соответственно, когда есть воспаление, кровоточивость всё равно снижена — крови-то мало. Прекращаем курить, спазм сосудов уходит, кровоснабжение восстанавливается — дёсны начинают кровоточить.
Многие пациенты, не понимая, как это работает, возвращаются к сигаретам. Но это не решение, а лишь усугубление проблемы. Потому кровоточивость-то остановится, но состояние слизистой и дёсен будет продолжать ухудшаться. И следующая попытка бросить закончится ещё большим кровотечением. В этом случае, конечно, нужно просто лечить дёсны от воспаления, чтобы восстановить их нормальную трофику, прочность.
А, вообще, самый надёжный подход в этом деле — профилактический. Мы уже рассказывали про это недавно, вот здесь.
Ещё посты:
- Хирургические случаи: пост про то, как пациент терпел зубную боль до момента, когда ему пришлось резать горло в нескольких местах. Про пациента-проказника, выпавшего с третьего этажа и упавшего на лицо. Про пациента-спортсмена, неожиданно затормозившего в дерево.
- Для гиков: про то, как именно можно умереть от анестезии прямо на приёме терапевта. Как самостоятельно читать КТ. Про моего коллегу Андрея, хирурга senior+. Про Гусейна, его навигационные шаблоны и участие в разработке ПО для хирургов по всему миру. Как Гусейн разрабатывал матмодель и софт для хирургии по пересборке черепа.
- Инструкции: FAQ про пломбы. Что вам нужно знать про гигиену зубов. Как правильно бояться стоматолога. Что вам нужно знать про наркоз и седацию. Реплантация зубов: как правильно собирать свои зубы в пакетик. Что делать, когда вы нафаршированы зубами (про молочные зубы). Про зубы ваших пожилых родственников. Про типичные зубы ИТ-пациента. Коренные зубы — это атавизм, и почему их часто удаляют «на всякий случай».
P.S. Если вы дойдёте до наших клиник, то говорите, что вы с Хабра, будет скидка 5%.
Автор: Ханова Ирина
