Обзор задач компьютерного зрения в медицине

в 17:00, , рубрики: Компьютерное зрение, машинное обучение, медицина, обработка изображений

image

Компьютерное зрение и машинное обучение находят своё применение во многих сферах деятельности человека. Исключением не стала и медицина.
В этой статье рассматриваются наиболее интересные, на взгляд автора, задачи компьютерного зрения в медицине.

Автоматическое детектирование циркулирующих опухолевых клеток

image
Циркулирующие опухолевые клетки скрестившиеся с с несколькими флуоресцентными антителами

Циркулирующие опухолевые клетки — это клетки, которые отделяются от места основной опухоли и распространяются через кровоток, образуя вторичные опухоли в других органах.
Раннее обнаружение таких клеток и оценивание прогрессирования болезни очень важно для эффективного лечения, поэтому сейчас активно разрабатываются системы для автоматического обнаружения опухолевых клеток. Например, исследователи из Германии [2] получили accuracy > 99%, recall = 88% и precision = 86% на экспериментальном датасете небольшого размера.

Источники:

  1. Automated Detection of Circulating Cells Using Low Level Features
  2. Automated Detection of Circulating Tumor Cells with Naive Bayesian Classifiers
  3. bioview.com/applications/circulating-tumor-cells

Автоматическое обнаружение диабетической ретинопатии

image
Классификация изображений в зависимости от степени заболевания: a) normal; b) mild; c) moderate; d) severe; e) prolific

Авторы соревнований на kaggle по обнаружению диабетической ретинопатии утверждают, что 40-45% американцев, страдающих диабетом, также подвержены и диабетической ретинопатии (думаю, что в России показатели примерно такие же). Прогрессирование ухудшения зрения может быть замедленно или предотвращено, если вовремя обнаружить заболевание. Таким образом, разработка систем по обнаружению диабетической ретинопатии также является актуальной.
Самый лучший результат quadratic weighted kappa на соревнованиях составил 0.84958 (Private Leaderboard).
Некоторые исследователи разрабатывают адаптеры для смартфонов для получения снимков сетчатки. Делают они это при помощи 28D или 40D линз (стоят такие линзы около 300$) и насадки для смартфона, которую печатают на 3d принтере.
image
Адаптер для получения снимков сетчатки

Как видно, возможность проверки состояния своей сетчатки без похода в больницу уже не за горами.

Источники:

  1. www.kaggle.com/c/diabetic-retinopathy-detection
  2. Algorithms for the Automated Detection of Diabetic Retinopathy Using Digital Fundus Images: A Review
  3. 3D Printed Smartphone Indirect Lens Adapter for Rapid, High Quality Retinal Imaging
  4. Smartphone fundoscopy. Ophthalmology

Сегментация МРТ изображений

image
Снимки МРТ головного мозга

Метод магнитно-резонансной томографии (МРТ) широко применяется для диагностирования и отслеживания динамики заболеваний мозга, а также для исследования его функционирования. Метод позволяет получать трехмерные изображения высокого качества и разрешения, которые строятся по набору последовательных двумерных «срезов».
Разметка изображений МРТ мозга на анатомические структуры является важным шагом для дальнейшего анализа во многих задачах в этой области.
Полная разметка трехмерного изображения предполагает разбиение (сегментацию) объема мозга на несколько десятков регионов, соответствующих основным анатомическим структурам. Каждой точке (вокселю) ставится в соответствие метка анатомической структуры. Таким образом, ручная разметка в данном случае становится длительным и трудоемким процессом. Поэтому необходимы алгоритмы, автоматизирующие процесс анатомической разметки.[1]
image
Пример работы алгоритма сегментации. Слева — истинная разметка; справа — полученная разметка

Авторам из [1] удалось получить следующую точность сегментации для анатомических структур(показатель DSC — мера сходства Дайса):

  • Мозжечок — 0,885 ± 0,05
  • Паллидум — 0,7442 ± 0,009
  • Желудочек — 0,9 ± 0,02
  • Кровеносные сосуды — 0,2 ± 0,001
  • Средний мозг — 0,8474 ± 0,0073

Источники:

  1. А. Ю. Зубов, О. В. Сенюкова. GraphiCon 2015. Сегментация изображений магнитно-резонансной томографии головного мозга с помощью сопоставления с несколькими атласами
  2. Sequence-independent segmentation of magnetic resonance images

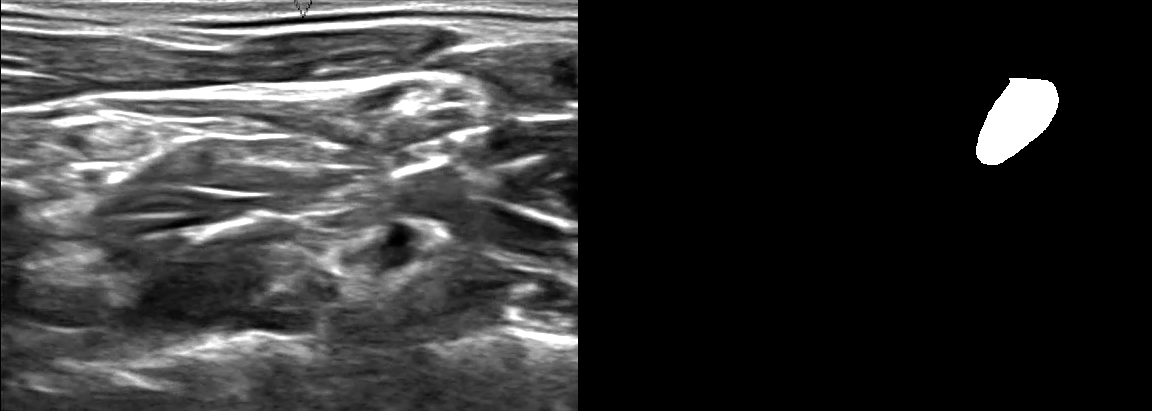
Анализ ультразвуковых изображений

Для примера возьмём задачу по нахождению нервной структуры шеи с недавних соревнований на kaggle
image
Слева — ультразвуковое изображение шеи, справа — нервная структура; на изображениях видно, что нахождение нервной структуры является нетривиальной задачей даже для человека (не являющимся специалистом в этой области)

Точное нахождение нервной структуры на ультразвуковых изображениях является важных этапом в эффективной вставке катетера для блокирования или уменьшения боли. Такие катетеры, в частности, помогают пациентам с наркотической зависимостью быстрее восстанавливаться.
Наилучший результат по мере сходства Дайса DSC на kaggle составил — 0.73226.

Источники:

  1. Identify nerve structures in ultrasound images of the neck

Анализ лазерных спекл-картин

image
Лазерная спекл-картина руки, показывающая перфузию до и после растирания небольшой области руки

Автоматический анализ лазерных спекл-картины применяют для измерения кровотока. В частности, это помогает при лазеротерапии повреждённых тканей.

Источники:

  1. Laser speckle contrast imaging for measuring blood flow
  2. Laser speckle contrast imaging in biomedical optics

Заключение

Рассмотренные задачи лишь капля воды в море. В области анализа медицинских изображений большой простор для исследований.
Бурное развитие deep learning помогает постепенно улучшать точность разрабатываемых систем для анализа медицинских изображений, которые возможно вскоре будут применяться повсеместно. А это, несомненно, повысит уровень здоровья населения.

Автор: forcesh

Источник

* - обязательные к заполнению поля


https://ajax.googleapis.com/ajax/libs/jquery/3.4.1/jquery.min.js