Компьютерная томография — это способ заглянуть внутрь какого-нибудь предмета, не разрушая его. Она стоит на пересечении медицины, информационных технологий и физики. Очень долго практикующие специалисты могли только мечтать о таких вещах. Чтобы вмешаться в любой из биологических процессов, нужно чётко понимать, как и где он протекает. В этом плане живые существа не отличаются от электроники.

Компьютерный томограф — высокотехнологичное устройство, находящееся на стыке физики, медицины и IT.
Медицина зародилась в тот момент, когда один человек столкнулся с болезнью, а второй захотел ему помочь. Представления о строении и биомеханике тела менялись с каждой эпохой. Вскрытия трупов, проведённые античными анатомами, дали много информации об органах — своеобразных деталях живой машины. В то же время оставался вопрос: как они расположены в теле, не затронутом посмертными изменениями? Выполняя секцию, исследователь оказывает механическое воздействие на образец. Воздух неизбежно попадает в промежутки между органами, формируя полости. Сосуды пустеют и спадаются, лишившись кровяного давления. Именно поэтому в Древней Греции долго существовала гипотеза, что артерии переносят не кровь, а газообразное вещество. Эразистрат называл его «пневмой».
В XIX веке русский учёный Николай Пирогов изобрёл метод «ледяной анатомии». Его суть в том, что свежий труп подвергается быстрой заморозке. После образец распиливают. В итоге получается набор плоских слайсов. Это двухмерные срезы, позволяющие оценить топографию анатомических структур. То есть, их взаимное расположение.
«Ледяная анатомия» имеет смысл как научный метод, но применять его в клинике невозможно. Изображения послойных срезов, выполненные Пироговым, предвосхищали новую эру в истории медицины. Эру компьютерного томографа.
Компьютерная томография — один из видов лучевой диагностики. Дедушкой компьютерного томографа является рентгеновская трубка. Она состоит из катода и анода, запаянных под вакуумом. Катод испускает электроны. За счёт разности электрических потенциалов они двигаются в сторону анода и врезаются в него. Возникает так называемое тормозное излучение, приходящееся как раз на рентгеновский диапазон 0,05 – 100 нм.

Принципиальная схема рентгеновской трубки.
▎Что могут такие волны?
Например, проходить сквозь разные объекты. Чем плотнее предмет, тем больше излучения он поглотит. Волны, достигшие чувствительной пластины, провоцируют на ней определённые изменения. Какими они будут — зависит от применяемой технологии. Раньше пластину покрывали рентгенолюминофорами, которые изменяют цвет при воздействии рентгеновского излучения. Дальше плёнку проявляли в тёмной комнате, как обычную фотографию. Полупроводниковые детекторы, применяемые в современных устройствах, основаны на принципе электрон-дырки в p-n-переходе диода. Этот метод позволяет регистрировать отдельные рентгеновские фотоны.
К 1917 году австрийский математик Иоганн Радон заложил новый кирпич в фундамент технологии, которую даже не мог представить. Физический смысл преобразования Радона — экспоненциальный закон ослабления излучения, которое зависит от свойств среды. В рентгеновском диапазоне он выполняется наиболее полно.
Оставался последний и важнейший шаг. Его сделал инженер-физик Годфри Хаунсфилд в 1971-м году. Это был «ЭМИ-сканер», разработанный в коллаборации с компанией EMI. Устройство свело воедино инженерные, математические и программные наработки предыдущих учёных.

«EMI-scaner» уже имел черты современных компьютерных томографов, но ему всё равно предстоял долгий путь развития.
Рентгеновская трубка, направленная на детектор, вращается вокруг объекта по круглым направляющим. Излучение приходит на пластину, каждый раз ослабляясь немного по-разному. Сырой сигнал отправляется в компьютер, где подвергается математическим преобразованиям. Их суть — решение системы линейных уравнений. Изображение размером 200х200 пикселей требует решения 40.000 уравнений. Чем выше качество — тем больше операций нужно выполнить. Для получения современных томограмм, на которых видны мельчайшие анатомические структуры, необходимо быстро обработать колоссальный массив данных. Это стало возможным только благодаря полупроводниковой электронике и прогрессу в сфере информационных технологий.
| Компьютерные томографы I поколения создавали визуализацию одного среза за 4 минуты. Это было в начале 70-х. Второе поколение снабдило излучающую трубку несколькими детекторами. Время обработки снизилось до 20 с. Третье поколение уже умело синхронно вращать рамку с детектором и двигать стол, на котором расположен человек. На выходе получается набор двухмерных срезов. Их можно просматривать друг за другом, причём практически в реальном времени.. |

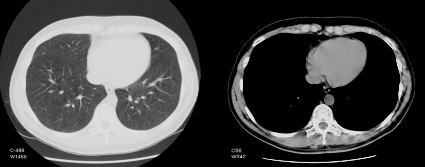
Типичная визуализация грудной клетки, полученная при помощи компьютерной томографии. Изменение параметров отображения позволяет видеть структуру разных органов.
▍Прогресс не стоял на месте.
В 1992 году компьютерные томографы научились делать многослойную томографию, открыв эру трёхмерных визуализаций. На апертуре Гентри расположено до четырёх рядов излучателей. Рентгеновское излучение принимается одновременно на разных детекторах благодаря объёмной геометрии пучка. Трубка совершает два оборота в секунду. Это позволяет увидеть многие процессы в реальном времени: например, как бьётся сердце.

Многослойная компьютерная томография позволяет не только получать срезы объекта в разных проекциях, но и формировать на их основе трёхмерную модель.
Введение компьютерной томографии в рутинную практику снижает смертность пациентов в два раза. Этот метод незаменим в тех случаях, когда необходимо быстро выяснить, что происходит с человеком.
Особенное значение компьютерная томография имеет в нейрохирургии. Она позволяет увидеть, где расположена опухоль, или под какой точкой черепа скапливается кровь, медленно повреждая .
Естественно, вскоре на компьютерную томографию обратили внимание не только врачи. Рентгеновским фотонам всё равно, через что проходить. Эта черта делает их бесценными помощниками для археологов.
| Множество археологических экспонатов — уникальные и невероятно хрупкие вещи. Осматривать их можно только в особых условиях, где повреждающие факторы сведены к минимуму. Естественно, о распиливании и прочих варварских способах посмотреть, что внутри условного саркофага, речи даже не идёт.. |

Современные технологии дают уникальную возможность заглянуть внутрь древнеегипетских саркофагов, не причиняя им вреда.
На помощь приходит всё та же КТ. С ней учёные выяснили, что среди жителей Древнего Египта был распространён атеросклероз — болезнь, при которой холестериновая бляшка приклеивается ко внутренней стенке кровеносного сосуда. Оторвавшись, она вместе с током крови попадает в сосуды меньшего диаметра, и наглухо затыкает их. Если такое произойдёт в сердце, то случится инфаркт миокарда — отмирание сокращающихся клеток и, соответственно, нарушение функции этого природного насоса.
Шёл 1991-й год. Гельмут и Эрика Симоны нашли замёрзший труп в Эцтальских Альпах. Поначалу его приняли за погибшего туриста. Тело доставили в морг Инсбрука. Полицейские начали расследование. Впоследствии криминалисты заявили: неизвестного мужчину кто-то убил, вот только дело придётся закрыть по причине давности. Преступление совершили 5300 лет назад.
| Этци, названный в честь Эцтальской долины, был пастухом Медного Века. Его рост был 165 см, вес 50 кг, и на момент смерти ему исполнилось 45 лет.. |

Этци носил соломенный плащ, кожаную куртку, штаны с поясом, медвежью шапку и обувь, удивительно похожую на мокасины.
Неясно, что привело его в горы. Факт остаётся фактом: Этци дрался. Неизвестные враги сломали ему нос, пересчитали рёбра и повредили позвоночник. Пастух оказался весьма боевым. На его стреле, оставшейся в колчане, нашли кровь двух разных людей. Значит, древний герой палил без промаха и тщательно экономил боеприпасы. В 2001-м году в плече мумии обнаружили наконечник стрелы. Она прилетела откуда-то сзади. Плащ покрывала кровь ещё одного человека. Возможно, Этци пытался спасти раненого друга, или же в какой-то момент перешёл в рукопашную.
| Это выяснилось благодаря компьютерной томографии. Устройство визуализировало следы повреждений. Имея на руках готовую картинку, исследователи сумели восстановить последнее приключение Этци. С её же помощью учёные реконструировали шейный скелет мумии.Позвонки создают каркас для множества органов шеи, в том числе — мышц и трахеи. Эти структуры — основа голоса.. |
Теперь мы знаем, как говорили древние люди. Если речь идёт об Этци, звуки его голоса не стали чем-то необычным: они занимают диапазон от 100 до 150 Гц, как у современного мужчины. Другое дело, что короткое аудио совершило не столько научный, сколько гуманитарный прорыв: мир услышал голос того, кто умер пятьдесят веков назад!
▍Голос древнего человека:
Современные технологии не только улучшают нашу повседневную жизнь, но и делают её полной. С ними становится осязаемой сама история, превращаясь из скучного набора фактов и дат во что-то осязаемое и понятное для каждого. Одно дело — знать, что люди Медного Века жили общинами и часто враждовали. Совсем другое — узнать это на примере конкретного человека, которому можно сопереживать. Такие случаи происходили, происходят и будут происходить по всей Земле. Возможно, где-то тут кроется преемственность поколений.
| ▍Мы застали то время, когда вчерашняя фантастика становится сегодняшней реальностью. В этом плане технология компьютерной томографии — один из многих примеров живой науки. |
Автор: Никита Игнатенко, биолог
- Jones, W. H. S. Philosophy and Medicine in Ancient Greece, Johns Hopkins Press, Baltimore, 1946
- «ICE ANATOMY» N.I. PIROGOV AND MODERN METHODS OF STUDYING THE TOPOGRAPHY OF ORGANS Kharchenko V.V., Ivanov V.A., Voronin N.N. Federal State Educational Institution of Higher Education «Kursk State Medical University» of the Ministry of Health of Russia
ISSN: 2312-7368
- Brigitte Bukovics: Biography of Johann Radon, in: 75 Years of Radon Transform, S. Gindikin and P. Michor, eds., International Press Incorporated (1994), pp. 13–18, ISBN 1-57146-008-X
- Cormack A. M. Early two-dimensional reconstruction and recent topics stemming from it // Nobel Lectures in Physiology or Medicine 1971—1980. — World Scientific Publishing Co., 1992. — P. 551—563
- Hounsfield G. N. Computed Medical Imaging // Nobel Lectures in Physiology or Medicine 1971—1980. — World Scientific Publishing Co., 1992. — P. 568—586
- https://radiopaedia.org/articles/ct-scanner-evolution
- Thompson et al., 2013
- Adel H Allam 1, Randall C Thompson, L Samuel Wann, Michael I Miyamoto, Abd El-Halim Nur El-Din, Gomaa Abd El-Maksoud, Muhammad Al-Tohamy Soliman, Ibrahem Badr, Hany Abd El-Rahman Amer, M Linda Sutherland, James D Sutherland, Gregory S Thomas
PMID: 21466986 DOI: 10.1016/j.jcmg.2011.02.002
- Brenda Fowler (2001), Iceman: Uncovering the Life and Times of a Prehistoric Man found in an Alpine Glacier, Chicago, Ill.: University of Chicago Press, pp. 105–106, ISBN 978-0-226-25823-2
- Dorfer, L; M Moser; F Bahr; K Spindler; E Egarter-Vigl; S Giullén; G Dohr; T Kenner (September 1999), «A medical report from the stone age?», The Lancet, 354 (9183): 1023–1025, doi:10.1016/S0140-6736(98)12242-0, PMID 10501382, S2CID 29084491
- https://www.smithsonianmag.com/smart-news/hear-recreated-voice-otzi-iceman-180960570/
Автор: Биореактор
