
Человечество все больше обрастает технологиями, нося в карманах не по одному гаджету, которые не прекращая передают и принимают различные электромагнитные сигналы. Сюда же относится и технология Wi-Fi, ставшая наиболее популярной в мире. Сложно найти здание и место в крупном мегаполисе, где был бы распространен такой способ передачи данных. Поэтому и не утихают споры о возможном вреде от электромагнитного загрязнения окружающей среды. В некоторых случаях это даже приводило к массовому беспокойству населения, как это было в США несколько лет назад, когда множество американцев переселились из крупных мегаполисов в деревню, где отсутствовал wi-fi-сигнал. Причиной такой миграции стала, так называемая, “аллергия на wi-fi”.
Если отбросить в сторону заболевания не подтвержденные официальной наукой, а обратиться к исследованиям, то становится ясно, что постоянное воздействие сильного СВЧ-излучения на человеческий организм не проходит для него бесследно и чревато проблемами со здоровьем.
В связи с тем, что количество Wi-Fi-устройств в общественных местах неуклонно растет, а для увеличения пропускной способности точки доступа располагают плотно друг к другу, то уровень сигнала от всех устройств в сумме может превышать допустимые нормы.
Wi-Fi-устройства работают в неионизирующем диапазоне излучения, не оказывающем такого вредного воздействия, как ионизирующее излучение. Последнее, в свою очередь, способно образовывать ионы в веществе, на которое воздействует. Существует несколько видов ионизирующих излучений: альфа-, бета-, гамма-излучение, а также нейтронное излучение.
Однако неионизирующее электромагнитное излучение также может влиять на живые организмы за счет тепловых и нетепловых воздействий, что может оказывать существенный вред здоровью. Ниже будут приведены материалы некоторых исследований на тему воздействия Wi-Fi-сигнала на биохимический состав крови и гематологию.
Гематология — раздел медицины, изучающий кровь, кроветворный органы и заболевания крови. Кроме того гематология включает в себя диагностику, лечение, прогнозирование и профилактику заболеваний крови.
В эксперименте, о котором будет рассказано ниже для изучения влияния Wi-Fi на биохимический состав крови, использовали мышей, поскольку их биологические характеристики схожи с человеком.
При высоких мощностях сигнала Wi-Fi может вызывать “тепловой эффект”, который может нанести повреждения живым клеткам. Именно поэтому существуют санитарные нормы, которые рекомендуют мощность Wi-Fi-роутеров 0.614 В/м (0.1 Вт/см2) для точек доступа, установленных на открытой территории и 0.19 В/м (0.01 Вт/см2) для использования внутри помещений. При измерении уровня повреждения клеток от излучения используется коэффициент поглощения (Specific Absorption Rate – SAR). Его измеряют в ваттах на килограмм ткани (Вт/кг). SAR — это величина, измеряющая скорость поглощения организмом энергии при воздействии на него электромагнитного поля. Пределы SAR в США и Европе разнятся. В России излучение измеряют в ваттах на квадратный сантиметр.
Схема эксперимента, проведенного исследователями выглядела следующим образом. На клетку “А” направлено излучение антенны с генератором сигналов, работающим на частоте 2.4 ГГц. Клетка располагается на расстоянии метра от излучения антенны в его дальнем поле. Стоит знать, что дальняя зона антенны — это область, где угловое распределение поля независимо от расстояния до антенны.
В клетку “В” посадили 15 самцов мышей. Она располагалась неподалеку от генератора сигнала, поэтому излучение не должно было оказывать на них почти никакого влияния. Эксперимент длился шесть месяцев, в течении которых подопытных мышей подвергали облучению 8 часов ежедневно.

Для определения дальней зоны антенны сначала необходимо определить длину волны

где c – скорость света, f – частота излучения.
Тогда дальняя зона определяется по формуле
Где D – длина антенны (в эксперименте она равна 0,267 метров)
Дабы исключить возможные негативные влияния воды и пищи на качество эксперимента, мышей кормили диетическим кормом, очищенной водой, а в помещении была установлена постоянная комнатная температура. Спустя две недели первая группа подопытных мышей по три из каждой клетки отправили на биологические испытания. Еще спустя две недели на испытания отправили очередную группу мышей и так далее до оставшихся грызунов.
Результаты
Первые неблагоприятные биологические эффекты от Wi-Fi начали появляться после первых четырех месяцев испытаний. В частности у подопытных мышей, находившихся под облучением, были воспалены мозговые ткани и печень, а также наблюдался абсцесс легочных тканей. У мышей, не подвергавшихся действию излучения, анализ никаких отклонений не показали.

N = NORMAL; D = дегенерация клеток (клетка повреждена).
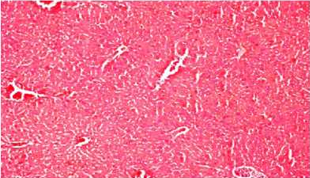
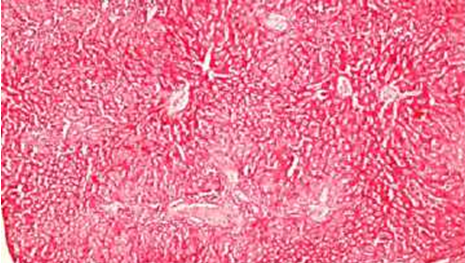
Внешний вид нормальных и деградированных тканей различных органов показан на рисунках. Наблюдались органы: печень, головной , легкие.

Нормальная ткань Печень при увеличении х400

Деградация ткани Печени при увеличении х400

Нормальная ткань

Деградация тканей

Нормальная ткань Легких при увеличении х400

Деградация тканей легких при увеличении х400
Изменения крови
Результаты полного анализа крови испытуемых и гематологического анализа не показали существенных отклонений от нормы, кроме PCV (Packed Cell Volume — показатель гематокрита, гематокритное число, гематокрит, объём осаждённых эритроцитов), Гемоглобина (Hb), и Красных кровяных телец (эритроцитов).
Подробные анализы крови показаны на графиках ниже:

Показатель гематокрита

Гемоглобин

Уровень кровяных телец

Уровень белых кровяных телец
На этих графиках показаны результаты анализа биохимического состава крови:

Фермент гидролаза

Аспартатаминотрансфераза

Аланинаминотрансфераза

Фермент глутамилтрансферазы
Судя по графикам становится ясно, что содержание Alkaline Phosphatase – фермента гидролаза (щелочная фосфатаза) опускается ниже нормы. В свою очередь тенденцию к увеличению показывает аспартатаминотрансфераза. Как правило, к схожим изменениям может привести травма печени. То есть изменения AST и ALT подтверждают наличие деградации клеток печени.
Уже после одного месяца воздействия излучения понижается уровень Глобулина. Еще через два месяца видна еще большая тенденция к уменьшению. Значительно ниже нормы находится уровень глутамилтрансферазы. Напротив, выше нормы после был уровень лактатдегидрогеназы. Этот фермент имеет свойство высвобождаться при повреждении клеток, а высокий уровень аммиак в крови говорит о том, что печень просто не способна превращать аммиак в мочевину, что ведет к заболеванию гепатитом.
Показатели уровня Глобулина (сывороточный белок) становится значительно ниже нормального диапазона уже после месяца воздействия СВЧ-излучения, и этот уровень дополнительно уменьшается еще через 2 месяца исследований. Уровень глутамилтрансферазы (ферменты), значительно ниже относительно уровня, а уровень лактатдегидрогеназы для всех образцов под воздействием СВЧ был значительно выше, по сравнению с нормальным значением. Отметим, что этот фермент высвобождается из клеток в кровоток, когда клетки повреждены. Высокий уровень аммиака в крови показывает, что печень не способна превращать аммиак в мочевину. Это в свою очередь может вызывать гепатит.
Результаты исследования говорят сами за себя — СВЧ-излучение оказывает неблагоприятный эффект на биологические организмы. При воздействии излучения за в течение длительного периода начинаются изменения в тканях органов, а также отклоняются от нормы биохимические показатели крови. Это наглядно показывает, что Wi-Fi излучение приводит к деградации некоторых органов и тканей.
Источники:
1. http://ieeexplore.ie...cument/5296279/
2. http://ieeexplore.ie...cument/6944290/
3. http://ieeexplore.ie...cument/1232183/
4. http://ieeexplore.ie...cument/6717901/
Автор: НАГ
