
Уважаемые друзья, в предыдущих статьях, мы с вами обсудили — какие бывают зубы мудрости и как проходит сам удаления этих самых зубов. Сегодня мне бы хотелось немного отвлечься и поговорить об имплантации, а в частности одномоментной имплантации, — когда имплантат устанавливается непосредственно в лунку удаленного зуба и о синус-лифтинге, — увеличении объемов костной ткани по высоте. Это требуется при установке имплантатов в области 6-х, 7-х, реже 5-х зубов на верхней челюсти. Наращивание кости требуется потому, что на верхней челюсти есть полость — Гайморова пазуха. Чаще всего она занимает бОльшую часть верхней челюсти, а расстояния от края кости до дна этой пазухи недостаточно для установки имплантата нужной длины.
На компьютерной томографии четко видно, что есть провал в области отсутствующего зуба.
Нередко слышу, как доктора говорят, мол — «Не-не-не, сразу поставить имплантат нельзя! Вот сначала удалим зуб, а как все заживет, тогда и установим!». Резонный вопрос — почему? Да кто его знает. Самому интересно. То ли из-за неуверенности в прогнозах, то ли из-за страха осложнений, которых, на самом деле не больше, чем при классической операции. Конечно, с условием, что все сделано правильно. В моей практике процент одномоментной имплантации относительно классического подхода, около 85% на 15%. Согласитесь, не мало. Где практически каждая операция, при которой показано удаление зуба, заканчивается имплантацией. Исключением может служить лишь острое воспаление в области причинного зуба, когда течет гноища вперемешку с соплями. Или, когда имплантат совсем уж не стабилен и болтается в лунке, как карандаш в стакане. Финансовые возможности тоже играют немаловажную роль. Любой потратит деньги с бОльшей охотой на что угодно, но не на зубы. С этим не поспоришь. Но есть одно «Но»! Вы должны понимать, что чем больше проходит времени с момента удаления зуба до начала протезирования, тем хуже условия для постановки этого самого имплантата. Как говорится: — «свято место пусто не бывает». Со временем появляется ряд дичайших проблем, которые также приходится решать. А это всегда дополнительные, а зачастую немалые, расходы. Оно вам надо?
Ну что! Перейдем к примерам.
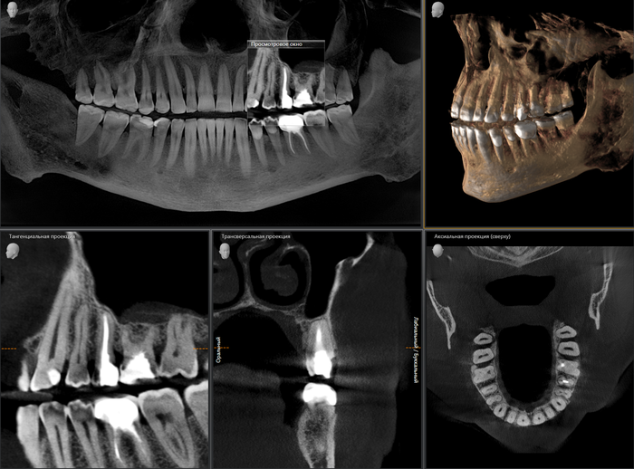
Самым простым случаем одномоментной имплантации является однокорневой зуб. Будь то верхняя или нижняя челюсть.
Эта компьютерная томография была сделана до того, как зуб окончательно развалился.
Что мы видим?

Верхняя левая 5-ка, не подлежащая ни терапевтическому, ни ортопедическому лечению. Что делаем? Правильно — удаляем зуб и вкручиваем болт.

Я провел нежнейшее, атравматичное удаление зуба и установил имплантат с формирователем десны.

Формирователь десны — это что-то типа невысокого (в среднем 3мм. в высоту), металлического пенька, который немного торчит над уровнем десны, тем самым формирует ее контур перед установкой коронки. Выглядит он примерно так:

А так выглядит сам имплантат:

Серая часть — сам имплантат. Синяя часть — так называемый временный абатмент, на котором можно закрепить временную коронку, если имплантация сопровождается немедленной нагрузкой. В основном этот абатмент выступает в роли имплантодержателя. После того, как имплантат установлен, абатмент выкручивается, как конструктор — специальной отверткой, а на его место вкручивается заглушка. Она устанавливается в том случае, если невозможно сразу установить формирователь десны. Тогда имплантат и все составляющие его части находятся полностью под десной, а значит в полости рта после операции мы ничего не увидим. Ну, за исключением швов и… остальных зубов, если те еще остались. При таком раскладе формирователь устанавливается уже после того, как имплантат приживется.
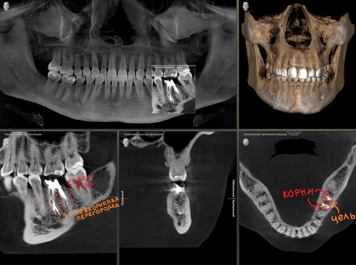
Далее выбираем следующий уровень сложности, когда приходится удалять 6-ой зуб на нижней челюсти. Зуб этот двухкорневой. Мы, конечно, не будем устанавливать по имплантату в область каждого корня, как кто-то мог подумать. Хотя я видел подобные случаи. У доктора, видимо, горел кредит по ипотеке.
Итак, нам надо установить один имплантат, но четко по центру. Целиться мы будем в костную перегородку между двумя корнями.

Устанавливаем имплантат. Слева и справа от него на снимке четко видны лунки от только что удаленного зуба, которые, по мере заживления, затянутся.

Ну что, пришло время рассмотреть случай, когда требуется удалить зуб, установить имплантат и провести наращивание костной ткани на верхней челюсти — синус-лифтинг. А уровень сложности, тем временем, возрастает. Не миссия с вертолетами из Vice City, конечно, но надо быть чуточку внимательнее, чем в предыдущем случае.

Помните, я говорил, что имплантат должен стоять по центру? Так вот 3-х корневой зуб не исключение. Имплантат устанавливается, как и в предыдущем случае, в перегородку, но уже трехкорневого зуба. Как мы видим высота кости в этой области около 3мм. Данного объема недостаточно для постановки имплантата оптимальной длины, следовательно объем нужно увеличивать. Манипуляцию проводят при помощи специального «костного материала». Кто-то называет его «костный порошок», не путать с «белым порошком», хотя он и белый, но представлен все-таки в виде гранул. Выпускается как просто в стеклянной таре,

так и в более удобном виде — специальных шприцах, с помощью которых удобнее работать и вносить материал в операционное поле.

Ошибочно полагать, что синус-лифтинг — это операция «В» верхнечелюстной (Гайморовой) пазухе. На самом же деле манипуляция проводится «ПОД» ней. Как мы уже выяснили, пазуха — это полость в верхней челюсти, пустота, если хотите, которая выстлана изнутри тонкой слизистой оболочкой с мерцательным эпителием. Так вот для того, чтобы операция удаласЪ, местно проводится отслоение слизистой оболочки от костной ткани и в сформировавшееся пространство между дном пазухи и слизистой оболочкой, как в конверт, помещается «костный материал». В данном случае, с параллельной установкой импантата.

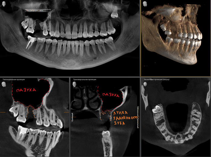
А теперь пример синус-лифтинга и имплантации, но через 2 месяца после того, как был удален 6-ой зуб на верхней челюсти. Этой пациентке удалили 6-ку около недели назад в другой клинике. Ассистентка сделала компьютерную томографию.

В связи с тем, что после удаления прошла всего неделя, то и на снимке мы видим «темную дыру», как ту, что оставила в твоем сердце бывшая. В том месте, где раньше был зуб. То есть костной ткани в этой области нет. К операции я приступил через 2 месяца. Повторную компьютерную томографию после заживления лунки делать не стали, но поверьте все зажило достаточно для того, чтобы можно было провести операцию. В ходе операции жесткой стабилизации имплантата добиться не удалось, поэтому я принял решение установить заглушку, а не формирователь десны. Почему? А потому, что если пациентка начнет грызть сухари, то на имплантат, в частности формирователь, может быть оказано сильное давление, в связи с чем имплантат может расшататься или «улететь» в пазуху. Заодно в утиль пошла и 8-ка.

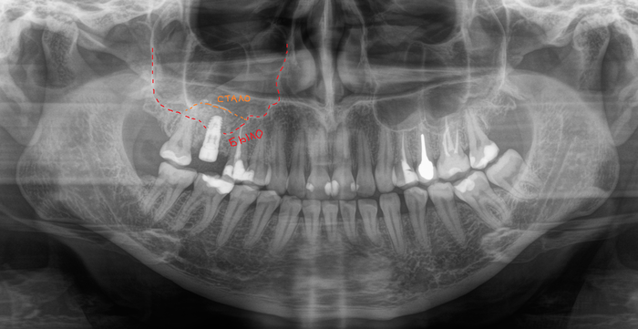
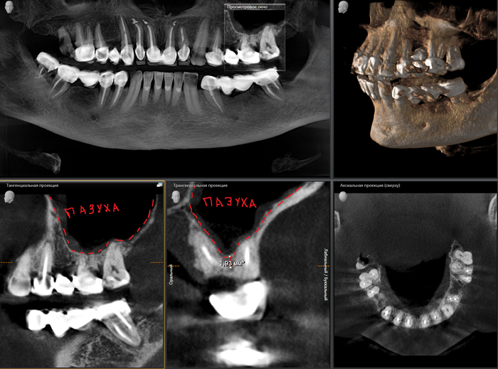
Ну и последний пример на сегодня — удаление 2-х зубов, установка 2-х имплантатов и синус-лифтинг.

Как мы видим условия в данном случае несколько хуже около 2мм. Но это не помешало нам провести операцию в полном объеме.

Вы можете спросить: -«А почему стоят 2 имплантата, а не 3?» «Что, будет мостовидный протез?» «А как же распределение нагрузки», и тд.?

На самом же деле проблема перегрузок, связанных с мостовидными протезами, касаются только своих зубов. Так как у зубов есть связочный аппарат. То есть зуб не намертво сращен с костью, а как бы пружинит в ней. Вот схема:

При наличии мостовидного протеза опорные зубы берут на себя, как свою собственную нагрузку, так и нагрузку того зуба, который отсутствует. Тем самым развивается перегруз зубов, а после они оказываются у зубной феи. У имплантата же нет такой связки. Он намертво срастается с окружающими тканями, поэтому подобных проблем, как в случае со своими зубами нет. Но это не значит, что на два имплантата можно установить огромный мост на всю челюсть. Единственное, что страдает при наличии мостовидных протезов — это гигиена, за ней нужно будет следить особенно внимательно. Потому как ухаживать за отдельно стоящими зубами куда проще, чем за подобными протезами.

Вот, собственно, и все на сегодня. Буду рад ответить на ваши вопросы!
Stay tuned!
С уважением, Андрей Дашков.
Автор: dashkovandrey
