
Добрый день уважаемые друзья! Сегодня мне бы хотелось рассказать, а главное, показать вам — как проходит операция по установке имплантата — со всеми инструментами и прочим. Если про процесс удаления зуба, в частности зуба мудрости — я уже рассказывал, то настало время поговорить о чем-то более серьезном.
ВНИМАНИЕ!-Uwaga!-Pažnju!-Attention!-Achtung!-Attenzione!-ВНИМАНИЕ!-Uwaga!-Pažnju!
Ниже будут представлены фотографии сделанные во время операции! С видами зубов, дёсен, крови и расчлененки. Слабонервным прошу отказаться от прочтения данной статьи.
Вы ещё тут? Тогда поехали!
Консультация и обследование
Помимо визуального осмотра

нам требуется провести рентгенологическое исследование. В данном случае простого ОПТГ (Панорамного снимка зубов) нам будет недостаточно. Потребуется КЛКТ (Конусно-лучевая компьютерная томография).

В чем же разница?
ОПТГ (Ортопантомограмма) — обзорный снимок зубочелюстной системы. Данный снимок является плоскостным, а значит происходит наложение каждой детали снимка послойно друг на друга. Следовательно, рассмотреть объект исследования, в частности место планируемой имплантации, во всех плоскостях, под иным углом или другой проекции невозможно.
КЛКТ (Конусно-лучевая компьютерная томография) — 3D объемный снимок, напротив дает нам такую возможность.

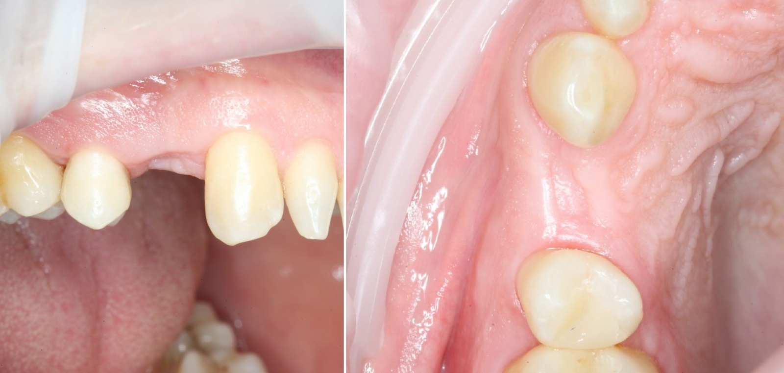
В данном случае, объёмов костной ткани достаточно для стабилизации оптимального по размеру имплантата, а качество десны делает возможным формирование эстетического контура без дополнительных процедур:

После проведения необходимых обследований — переходим непосредственно к имплантации.
Все начинается, конечно, с анестезии. Никто ведь не хочет взвывать от боли во время операции, не так ли?
Для того, чтобы минимизировать все неприятные ощущения и вкол иглы был менее болезненным — используется так называемая аппликационная анестезия

Далее проводится инфильтрация анестетика в области планируемой операции. На фото представлен многоразовый карпульный шприц, который, естественно, после каждого пациента стерилизуется, как и любой другой инструмент. Две одноразовые карпулы с анестетиком и две иглы разной длины:
Как это выглядит в полости рта:

После проведенной анестезии, при помощи скальпеля производится — разрез, а так называемого распатора — скелетирование кости. (отделение надкостницы от компактного вещества кости).

Разрез:

Скелетирование кости:

Далее проводится подготовка лунки под имплантат (препарирование)
Ниже представлен набор одной из немецких имплантологических систем, которые я использую в своей практике.

Кроме хирургического набора, у нас есть специальный прибор называемый физиодиспенсером:

В отличие от обычной стоматологической бормашины, он позволяет не только точно регулировать частоту оборотов и охлаждать режущий инструмент физраствором, но и контролировать крутящий момент.
Имплантация начинается с разметки. Проводится это при помощи шаровидного бора

Далее, с помощью пилотной фрезы диаметром 2 мм задаётся ось лунки будущего имплантата, которую контролируем при помощи пинов*

*Штуковина для контроля положения имплантата
Далее, коль ось лунки задана правильно, нам остаётся лишь довести лунку до нужного диаметра. Для этого используются основные рабочие фрезы. Первая из них — диаметром 3.0 мм:

После чего — контроль положения с помощью входящих в набор аналогов имплантатов

На очереди следующая фреза, диаметром 3.4 мм:

И теперь на очереди самый ответственный этап — финишная фреза для нашего имплантата диаметром 3.8 мм. Теперь мы понижаем обороты на физиодиспенсере до минимума, чтобы избежать перегрева и травмы костной ткани, после чего очень-очень аккуратно проходим лунку:

Еще раз проверяем все с помощью аналогов имплантата. Как говорится, семь раз отмерь, один воткни:

Мы довели лунку до глубины 11 мм и диаметра в 3.8 мм. Но на этом подготовка лунки не заканчивается.
А всё потому, что костная ткань — упругая среда, и чтобы снять напряжение с кортикальной пластинки (и предотвратить периимплантит) мы используем специальную кортикальную фрезу:

При работе с очень плотной костной тканью мы дополнительно используем специальный метчик:

Теперь можно приступать к установке имплантата.
Имплантат нужного размера (3.8х11 мм) фиксируется на гексагональном ключе, после чего устанавливается в подготовленную лунку:

Еще раз проверяем поломжение имплантата:

Далее мы убираем временный абатмент, который в данном случае выполнял функцию имплантодержателя

Следующий этап — установка формирователя десны

С учётом клинических условий, мы подобрали к установленному иплантату формирователь Slim (без расширений) высотой 3 мм:

Заканчиваем нашу операцию наложением швов

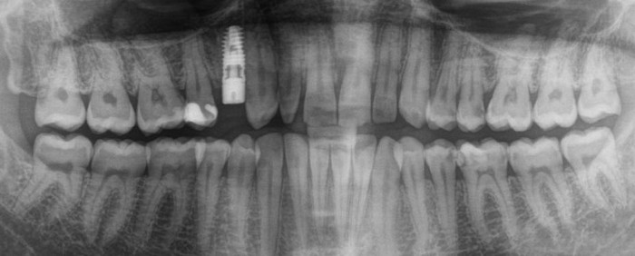
И контрольным снимком

На интеграцию имплантата уходит, в среднем, 4 месяца. Одновременно с этим идёт формирование мягких тканей, поэтому где-то через 12 недель мы получим готовую для установки коронки систему.
Это все на сегодня.
Спасибо за внимание!
С уважением, Андрей Дашков
Что еще почитать про имплантацию зубов?
- Синус-лифтинг и одномоментная имплантация
Автор: Андрей Дашков
