
Добрый день, уважаемые друзья!
В своей предыдущей статье я делился с вами секретами того, по какому принципу формируется стоимость стоматологического лечения. Почему в одной клинике ценник мильён, а через дорогу эту же работу готовы сделать за бесценок. Сегодня же я покажу вам, до чего может довести чрезмерное желание на этом самом лечении сэкономить, если не наоборот, обратившись «не к тому» специалисту.
ВНИМАНИЕ!-Uwaga!-Pažnju!-Attention!-Achtung!-Attenzione!-ВНИМАНИЕ!-Uwaga!-Pažnju!
Ниже будут представлены фотографии сделанные во время операции! С видами зубов, дёсен, крови ирасчлененки. Слабонервных прошу отказаться от прочтения данной статьи.
Как я уже писал, ко мне приходит большое количество пациентов, которые сильно рискнули, обратившись в околоподвальные клиники в максимально спальных и печальных районах города. А кто-то даже решил скататься в страны бывшего СНГ, где им предложили сделать «под ключ» пять имплантатов по цене одного всего за 999.9 рублей и вдобавок навертеть костных пластик. Бонусом.
Вдоволь навидавшись этой дикой дури, я решил выбрать примеры попроще и показать вам то, о чём я тут толкую.
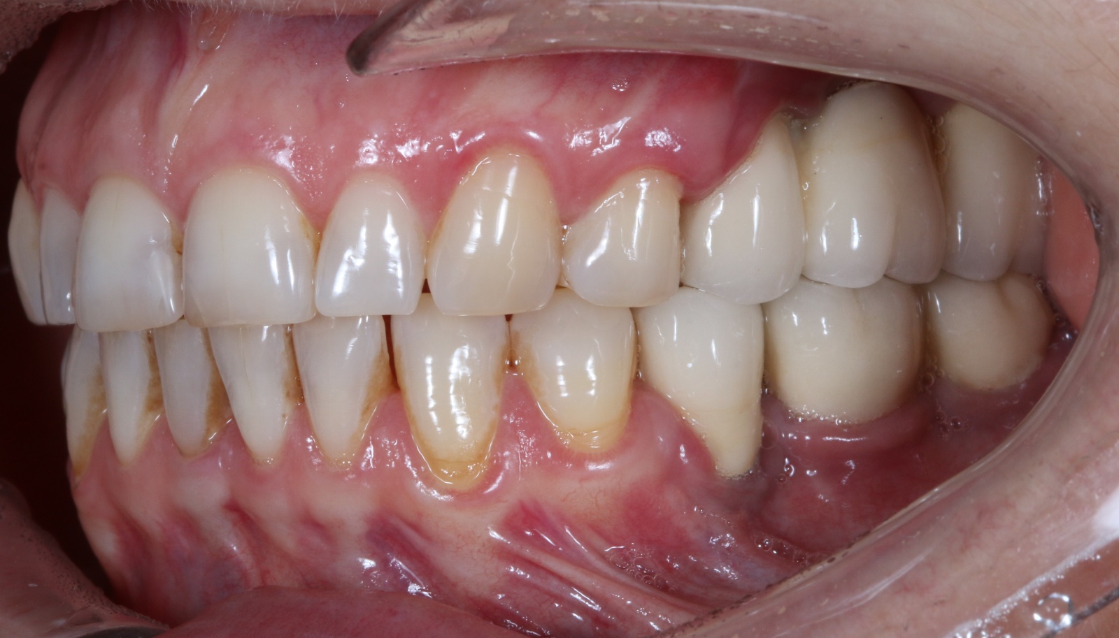
Вот один из моих любимых.
С точки зрения обывателя всё в порядке, а по факту косяк, который сложно будет исправить.
Вот фрагмент компьютерной томографии.

Имплантат стоит под серьёзным наклоном. Его ось не соответствует осям «родных» зубов. Нагрузка по принципу рычага распределяется неправильно, да и коронка имеет неправильную анатомическую форму — с нависающими краями, под которые забивается пища и зубной налет.

Развивается воспаление и, как следствие, убыль костной ткани и десны вокруг имплантата. Мало кто из вас хотел бы заплатить деньги за работу, которая в итоге пойдет по бороде. Даже индивидуальные абатменты тут не помогут.
Дальше на очереди гуру планирования и расчетов.
Сразу ясно: что-то тут не так. Пациент был лишен 6-ого и 7-ого зуба на верхней челюсти справа. Но хирург почему-то установил имплантаты в проекции зубов 7 и 8. В связи с этим доктору-ортопеду и зубному технику пришлось извращаться и изготавливать вот такой ущербный мостовидный протез. Такая причудливая форма способствует забиванию и скоплению пищи под этим навесом. Именно это, собственно, и привело к критичной убыли костной ткани вокруг имплантатов.

Это чудо необходимо демонтировать и начинать сношаться с проблемой отсутствия зубов заново. Писать о том, что ценник в связи с этим подлетает до небес, думаю, не стоит. Не так ли? Ведь в переделку входят:
- Удаление имплантатов и утилизация коронок, которые уже были когда-то оплачены.
- Серьезная костная пластика (потому как костный дефект после удаления имплантатов будет еще больше, чем сейчас).
- Уходит костная ткань – уходит и десна, поэтому потребуется восстановление мягких тканей.
- И, наконец, снова установка имплантатов и изготовление новых коронок.
Не забывайте про период восстановления, сопровождающийся не самыми приятными, но незабываемыми ощущениями.
«Как можно было избежать данной проблемы», – спросите вы. Элементарно!
Например, можно было воспользоваться хирургическим шаблоном, который помогает чётко спозиционировать имплантаты. Он представляет собой каппу с отверстиями, где те должны располагаться.

Ортопед снимает слепок зубов, отправляет его в лабораторию, где техник переносит его в цифру.

Вот так выглядит модель верхней челюсти. Данная программа позволяет в формате 3D рассмотреть каждую область в деталях.
Далее техник моделирует отсутствующие зубы 5, 6 и 7.

После чего формирует каппу

Отверстия, предназначенные для хирургической фрезы, находятся четко по центру оси зубов, следовательно, ошибиться с позиционированием имплантата во время операции становится сложнее.
Но ведь можно забить болт и не заморачиваться, так ведь проще, неправда ли?
Косяк хирурга заключается в неправильном позиционировании имплантатов, а ортопеда, – что тот вообще взялся за их протезирование.
Забегая вперед, отмечу, что имплантат – это фундамент, на котором в дальнейшем будет возведен дом – коронка. Так вот фиксация этой самой коронки бывает винтовая (когда коронка фиксируется на имплантате при помощи винта) и цементная (когда фиксация происходит при помощи специального цемента). Ваш КЭП.
Ортопеды, практикующие цементную фиксацию, нередко сталкиваются со следующей проблемой.

Пациент обратился в клинику с жалобами на забивание пищи и периодические боли в области установленных коронок на нижней челюсти слева. После того, как наш ортопед их снял, сразу стало понятно, в чем же тут проблема.

Вот эти шматки и есть фиксирующий цемент. Почему это произошло? А все потому, что очень сложно вычистить его из-под десны полностью. В связи с чем возникают серьезные проблемы.
После снятия коронок в полости рта мы наблюдаем воспаленную гиперемированную десну.

Была произведена антисептическая обработка и установка формирователей десны. Фото ниже сделано на момент восстановления.

А так это выглядит на рентгеновском снимке

Как можно заметить, костная ткань не так сильно «пострадала», как в предыдущем случае (недокрученный формирователь десны на снимке слева был докручен).
Ниже то, как выглядит десна без формирователей, на начальном этапе снятия слепков.

Изготовлены временные коронки из фрезерованной пластмассы на 3х имплантатах уже с винтовой фиксацией (снимок с зеркалом, это не другая сторона).

А вот случай, где исправить проблему на начальном этапе не успели.

Данный пациент обратился уже с критичной убылью костной ткани в области установленных имплантатов.

Тут представлена ошибка, как в позиционировании иплантата, так и в изготовлении вот такого великолепного мостовидного протеза.

Кроме уже известной нам цементной фиксации, с выведением материала под десну, меня добила форма этой конструкции. Она идеальна для того, чтобы под протез забивалась пища и хранилась там годами.
На самом деле, если бы был изготовлен мост адекватной формы, без нависающих краев, с хорошей промывной частью и винтовой фиксацией, то можно было бы избежать этой проблемы.
Но с другой стороны, если бы хирург правильно спозиционировал имплантаты, можно было бы изготовить коронки на каждый зуб по отдельности и не извращаться с мостовидным протезом. Это упрощает гигиену и уход за ортопедическими конструкциями.
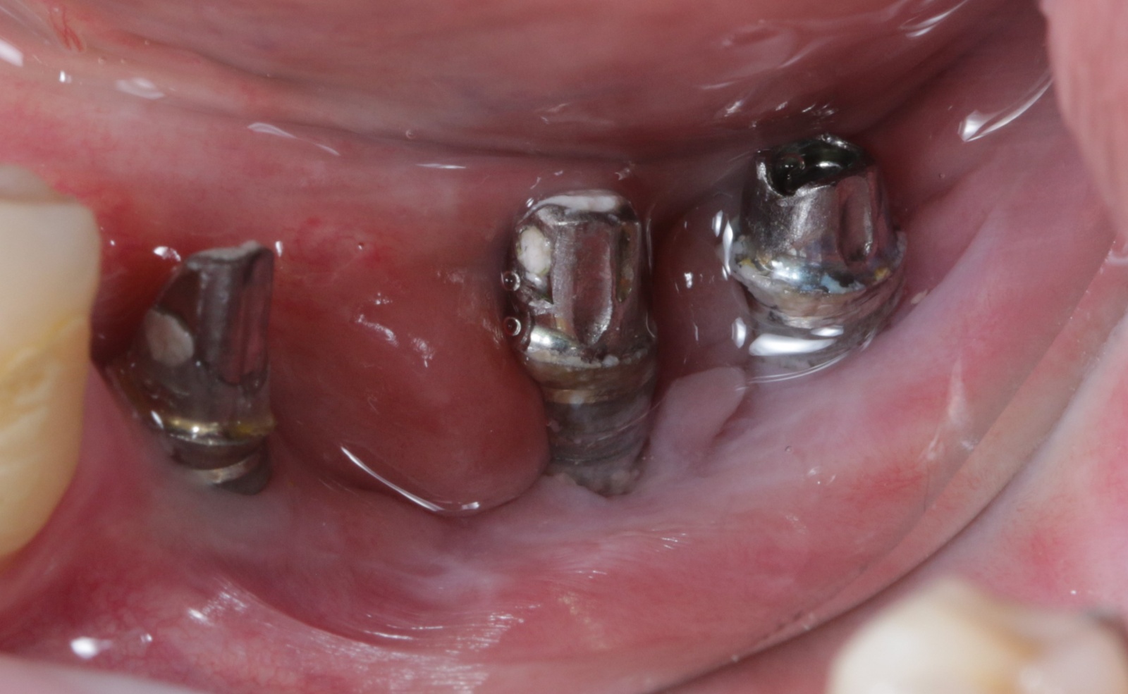
Картина в полости рта после снятия коронок.

Такое себе…
Ну и на десерт. Вот случай, где ортопед из другой клиники запорол мою хирургию цементной фиксацией. Почему из другой клиники? А потому, что там было дешевле.
Снимок на момент обращения.

Пациент категорически не хотел снимать коронки. Была попытка чистки воспалительных явлений в области имплантатов. Но тщетно. Убыль прогрессировала.

К слову, в связи с разрастанием воспаления соседний с имплантатом зуб номер 4 стал подвижным. Его пришлось удалить.
Нередко меня спрашивают, можно ли провести хирургию у меня, а коронки установить в другой клинике? Конечно можно, но в таком случае не будет никаких гарантий на работу. Потому как отвечать за геморрой, который может возникнуть по вине доктора из другой клиники, никто не будет.
Конечно, накосячить может каждый, но, если это наш косяк, то это не ваша, а НАША проблема, которая будет устранена за НАШ счёт.
Хочу отметить, что я показал вам самые безобидные примеры того, с чем приходится сталкиваться.
Пы.Сы.
Предчувствую шквал недовольных комментариев типа «вот снова всех говном поливаешь»?
Я вам так скажу: в стоматологии, как и везде, есть какие-то основы, на которых все зиждется. Есть принципы, которые надо соблюдать. Если этого не делать, работа не может быть успешной. Если электрик перепутал соединение, возникло короткое замыкание. Если сантехник не соблюдает правило перепада высот, то в туалет вам лучше не ходить. Если в автосервисе вам забыли докрутить болты после сезонной смены резины, понятно, чем это закончится. Всё то же самое и в стоматологии. Если «доктор» – ЭТО дуб, который исполняет вот такие финты, то успех работы тает на глазах.
Stay Tuned!
С уважением, Андрей Дашков
Что еще почитать?
Про имплантацию зубов:
- Установка имплантата: как это делается?
- Синус-лифтинг и одномоментная имплантация
- Имплантация при полном отсутствии зубов, как следствие несвоевременного обращения к стоматологу
Про зубы мудрости и их удаление:
- Зубы мудрости: удалить нельзя оставить
- Все еще тянешь с удалением зубов мудрости, потому что «не болит»? Ну-ну...
- Удаление зубов мудрости. Как это делается?
- ЧЛХ или не ЧЛХ? Вот в чем вопрос…
- Зубы мудрости: Тянем-потянем!
И, конечно:
- — Рекомендации после приёма хирурга-стоматолога
- Голая правда (статья о формировании стоимости лечения в стоматологической клинике)
Автор: Андрей Дашков
