Привет!
Сегодня я расскажу свою историю, как мне пришлось установить имплантат и как оно было на самом деле. Историю рассказать свою решил потому, что информация, которая размещена в интернете, не соответствует действительности, а порой и противоречит.
Цель данной статьи: рассказать на своем примере, какова в действительности современная стоматология, как происходит вживление искусственного зуба и к чему вы должны быть готовы.
Внимание! Публикация содержит изображения, которые могут вызвать неприятные эмоции у читателей. Если вы впечатлительный человек, не читайте статью за едой.
Также напоминаем, что не стоит принимать без консультации врача упомянутые лекарственные препараты.
Модератор.
Коротко обо мне
Мне скоро 37 лет. До недавнего времени я хвастался тем, что у меня на месте все мои 32 зуба. И ведь действительно, мало у кого к этому возрасту на месте все зубы. (и в принципе, ничего удивительного: я попробовал прикинуть расходы на стоматологов, исходя из сегодняшних тарифов и вышла сумма, свыше $7.000 или свыше ₽450.000).
Прошу учесть, что в статье фотографии процесса и слабонервным советую не заглядывать.
Часть фотографий не самого лучшего качества, так как весь процесс фотографировался на мобильные телефоны, но самое главное: все фотографии и видеоролики — исключительно мои.

1. Предисловие
В конце Апреля я серьезно простыл, началось воспаление бронхов. Вместе с ним, началась сильная боль в нижней челюсти, слева. Боли я не придал особого значения, думая, наверное, застудил нерв. Из-за воспаления бронхов проколол несколько дней антибиотики, а боль в челюсти заглушал сперва Кеторолом (оставалась пара таблеток), а затем Нимесилом.
Спустя неделю, боль ослабла и я мог уже обходиться без обезболивающих препаратов. Однако, еще спустя неделю, при прощупывании пальцами, я нащупал в десне уплотнение.
И тут я понял: что-то пошло не так… С этим вопросом обратился к своему стоматологу, у которого наблюдаюсь последние 15 лет. Он мне напомнил о том, что в той области есть проблема с корнем зуба и порекомендовал сделать снимок.
2. Предварительная диагностика
Направление на снимок мне было выслано в Viber, показал его сотруднице лаборатории и она ткнула пальцем, какие заполнить поля в заявление. Необходимо было сделать снимок в программе Vatech.
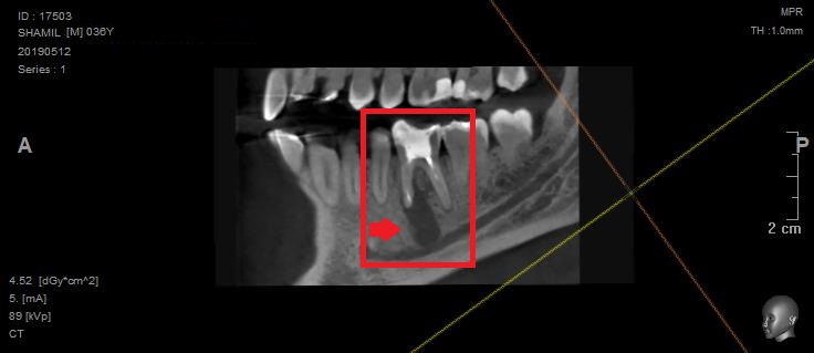
Снимок мне отдали на диске, а за одно, выслали на электронную почту. Вместе со снимком прилагалась программа, в которой можно рассмотреть этот снимок. Естественно, я начал изучать эту программу, высматривать снимки и понять, что происходит.
На этом снимке видно, что вокруг корня зуба образовалась киста, которая заполнена кровяной массой.

Если всмотреться в этот снимок, то можно увидеть участок, где киста пробила кость. Именно это и стало причиной болей и воспаления на челюсти.

3. Причина возникновения проблемы
Киста — защитная реакция организма, с помощью которой организм отгораживается о проблемного зуба. Первичная причина возникновения проблемы – сломанный фрагмент инструмента, который остался в зубе, при лечении его 19 лет назад. Оставшийся в зубе инструмент создает условия для воспалительного процесса.

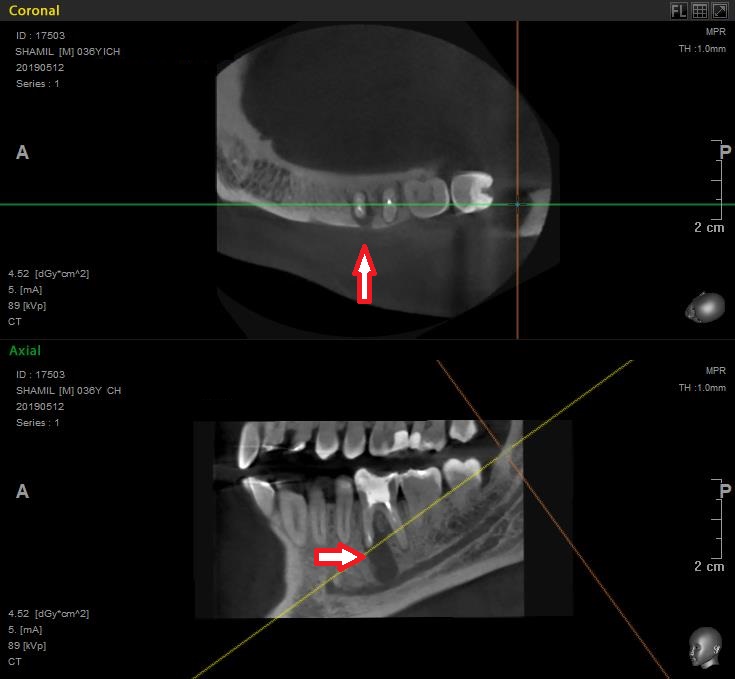
На этой проекции видно повреждение поверхности кости от кисты.
(отверстие, которое вы видите слева, чуть ниже — место выхода нижнечелюстного нерва)

Полазив по своему компьютеру, я нашел снимок от 2008 года. На ней уже видны первые незначительные очаги воспалительного процесса.
Такую проблему необходимо мониторить и если она переходит в кисту, ее удаляют.
Судя по всему, последние 5-6 лет воспалительный процесс перешел в активную стадию, но воспаление происходило закрыто, меня не беспокоило и похоже, под ослабленным иммунитетом, процесс из закрытого перешел в острый.
4. Поход в клинику
В назначенный день пришел в клинику.
Вот сам зуб. Внешне все хорошо, а вот внутри, нет.

4.1. Сделали анестезию

Одним уколом обезболили всю челюсть. Задача стоматолога попасть в область нерва и парализовать его. Если укол будет сделан не правильно, то вы будете ощущать боль.
4.2. Приступили к расточке зуба, перед удалением.
Зуб растачивается, специальным образом, чтобы удаление было с минимальным травмированием. Растачивают зуб в зависимости от того, сколько у него корней.
После расточки вынимают по частям. Растачивал зуб мой стоматолог (терапевт-ортопед), а уже остальные операции проводил его коллега, хирург-имплантолог.
4.3. Взяли некоторое количество крови.
3 небольшие пробирки. Какой объем крови, ответить затрудняюсь.
И опустили их в центрифугу, на 2600 об/мин в течении 12 минут, для выделения плазмы, которая в дальнейшем будет использоваться для изготовления костной субстанции.

4.4. После взятия крови, приступили к удалению зуба.
Процедура прошла совершенно безболезненно: я и представить себе не мог, что зуб удаляется так легко и совершенно безболезненно.
После удаления, я захотел сфотографировать части удаленного зуба, но ассистентка хирурга сказала, что зуб уже в урне. Так что сорри, фотографий частей зуба не будет.
4.5. После удаления зуба, начался процесс удаления кисты.
На стенках кости образовалась защитная пленка, которую надо было соскоблить с кости. Это необходимо для того, чтобы качественно сросся костный материал.
Лично мне данная процедура показалась немного неприятной: в один момент начала кружиться голова, о чем я незамедлительно сообщил. Процедуру немедленно остановили и дали мне отдышаться, прийти в себя, отдохнуть, после чего получив от меня подтверждение моей готовности, продолжили. Как мне сказали: такое иногда бывает и этого не нужно стесняться.
Киста была достаточно большой и перед началом удаления не было понимания, удастся ли одномоментно установить имплантат. Если киста большая, то имплантат некуда вкручивать и необходимо сперва восстановить кость, а лишь затем можно его вкручивать, но придется подождать около 6-8 месяцев, пока сформируется кость.
После того, как вычистили кисту, пришли к тому, что есть возможность установить сразу имплантат. Установку имплантата сразу после удаления зуба, называют «одномоментная имплантация» и стоит, как правило, на ₽10.000 дороже, чем двухэтапная, когда имплантат устанавливают через 6-8 месяцев после удаления зуба.
К сожалению, здесь фото ужасное: фотографировал доктор на мой телефон и… человек может быть очень хорошим доктором, но при этом плохим фотографом :)

4.6. Продолжаем. Установка имплантата.
Сперва сверлят отверстие поменьше, затем больше и больше.
Снято было несколько роликов, в качестве 3840 х 2160 х @60, которые объединил в один ролик.
В конце уже вкручивают сам имплантат — вот здесь уже применяется серьезная физическая сила: имплантат вкручивается на малых оборотах, с высоким давлением.
4.7. Восстановление челюстной кости с помощью костной массы.
После того, как бы вкручен имплантат, подготовили костную массу, для заполнение полости в челюсти. Для этого достали из центрифуги мою кровь, которая в пробирках разделилась на плазму (сверху) и тромбоцитарную массу (снизу).

Отделили плазму от общей массы добавили вещество, которое является минеральной основой для будущей кости.

Этой массой заполнили все полости.

Фото готовой работы
Ушел довольно большой объем: как мне показалось, около 3 кубических сантиметров.
4.8. Финальные этапы восстановления челюстной кости.
После заполнения костной массой, сверху все дело покрыли фибрином, а поверх фибрина, сверху все дело закрыли коллагеновой мембраной. Дело в том, что если этого не сделать, костная масса будет постоянно смещаться, процесс заживления усложняется, масса хуже прорастает кровеносными сосудами, а так же значительно повышается вероятность инфекций.
Есть 2 основных источника получения мембраны:
- Покупка готового материала. Есть ряд производителей, которые предлагают готовое решение.
- Использование в качестве материала свернувшуюся плазму пациента.
Оба варианта имеют свои плюсы и минусы: готовый материал прочнее, но родной биоматериал — это родной биоматериал, который рассасывается 100%, а вероятность отторжения в пределах нулевой вероятности.
В моем случае был использован второй вариант — изготовление мембраны из моей плазмы.

Фотография после установленной мембраны

В конце, все это дело было сшито несколькими швами.

5. Общая теория и практика
Теперь осталось выждать, пока все срастется, заживет. После, будет спроектировано, изготовлено и установлено то, что будет в итоге зубом.
Дело в том, что установка имплантата — это далеко еще не зуб.
Имплантат — это основа, которая вкручена в кость.
Далее, уже на эту основу надевается то, что выглядит как зуб: это может быть как цельная конструкция, так и разборная, состоящая отдельно из абатмента и коронки.
6. Одномоментная и двухэтапная имплантации
Одномоментная считается более эффективной, чем двухэтапная, так как устанавливается сразу в кость, без применения материалов для наращивания кости. В этом случае имплантат лучше приживается, прочнее держится, в итоге, способен дольше прослужить (о сроках жизни расскажу чуть ниже).
Однако, процедура одномоментной имплантации сложнее: далеко не всегда есть возможность установить ее идеально, из-за чего в любом случае необходимо применять абатмент, форма которого заказывается индивидуально, что в свою очередь дополнительно сказывается на стоимости процедуры. Именно из-за дополнительной сложности и нюансов, одномоментная имплантация стоит дороже.
7. Пара слов о самих имплантатах
7.1. Если мы начнем изучать сайты стоматологических клиник, то увидим довольно большой выбор. Вот краткий пример: цены среднемосковские и указанные цифры включают в себя неограниченное количество анестезии и всех необходимых расходных материалов
Имплантат «Brand A» (Германия)
— простая — ₽ 19.800, одномоментная — ₽ 29.800
Имплантат «Brand B» (Германия)
— простая — ₽ 35.000, одномоментная — ₽ 45.000
Имплантат «Brand C» (Швейцария)
— простая — ₽ 40.000, одномоментная — ₽ 50.000
Имплантат «Brand D» (Швейцария)
— простая — ₽ 55.000, одномоментная — ₽ 65.000
Видя такой разброс, 20-35-40-55 тыс, возникает вопрос: в чем разница?
За что такая переплата и на сколько она обусловлена?
После прямого вопроса имплантологу, вы скорее всего получите ответ, что-то типа: «Brand D — является ведущим лидером в сфере протезирования, которая тратит огромные средства на исследовании и по факту создает эту сферу. У нее все самые передовые технологии, ее имплантаты выполнены более качественно, лучше приживаются, дольше живут и т.д.»
Так же, вы узнаете о том, что вся фурнитура, выпускаемая тем же «Brand D», более высокого качества, чем фурнитура других производителей. Благодаря этому меньше зазоров, меньше среды для размножения бактерий, легче соблюдать гигиену и т.д.
В принципе, он будет прав, но есть нюансы.
Действительно, Швейцарская компания «Brand D» является новатором в сфере имплантатов: она проводит исследования, создает новые технологии. Но, есть другие компании, которые изучают ее исследования, затем, закупают ее продукцию и ее клонируют.
Да, качество на на столько высокое, как у «Brand D», но если говорить о конкретных цифрах, например, о приживаемости, либо сроке службы, то здесь все целиком и полностью зависят от 2 факторов:
- Профессионализм имплантолога.
- Ваше отношение к искусственному зубу.
1. Профессионализм стоматолога.
Когда стоматолог осуществляет одномоментную имплантацию за ₽ 65.000, то наверняка, в его кресле сидит не курьер Яндекс Еды или Delivery Club, а серьезный дядя. И в случае, если симплантолог накосячит, то есть вероятность того, что одним вечером к нему зайдут в кабинет крепкие братки, привяжут к креслу и вкрутят ему в череп все запасы имплантатов, которые в данный момент нашлись в клинике.
Конечно, я немного утрирую, но факт остается фактом: ему его косяк может очень дорого по итогу обойтись. Поэтому, он будет более внимательно относиться к своей работе.
Но если взять, к примеру, специалиста уровнем 75lvl, который любит свою работу, установившего имплант «Brand B» за ₽35.000 и специалиста уровнем 60lvl, который просто выполняет свою работу, установившего имплант «Brand D» за ₽55.000, то первый будет правильнее установлен, ниже риск отторжения и дольше прослужит, чем второй.
2. Ваше отношение к искусственному зубу.
В первые 2 месяца необходимо серьезно изменить стиль жизни.
Курите? Бросайте, либо серьезно сократите количество сигарет.
Пьете? Завязывайте с этим.
Серьезно занимаетесь спортом? Сократите нагрузки: не обязательно полностью прекращать, но серьезно сократить необходимо.
Если вы раньше плохо чистили зубы, вы должны изменить свое отношение к гигиене.
Если раньше зубами ломали орехи — забудьте про это. На всю жизнь.
По итогу, проведя глубокий анализ, мы получаем довольно интересную ситуацию, при которой выбранный изначально бренд производителя имплантата играет мизерную роль по сравнению с профессионализмом стоматолога и вашим отношением к зубу.
Кстати, если говорить о сроках жизни имплантов, то все производители называют срок: «имплантат служит столько же, сколько и настоящий зуб».
7.2. Дополнительные факторы, влияющие на стоимость имплантатов
На самом деле, разница в качестве между имплантатами разных производителей — мизерная. Здесь оговорюсь сразу, что под фразой «разные производители» подразумеваются не имплантаты, купленные на Aliexpress, а… если проецировать ситуацию на производителей смартфонов, то получим, что-то типа Apple, Samsung, LG, Lenovo, Huawei, Xiaomi, Meizu.
Ведущие компании, такие как тот же «Brand D», ежегодно вкладывают сумасшедшие деньги в исследования и разработки. Но им ведь как-то необходимо окупать свои расходы — поэтому, они в итоге накладываются на стоимость из продукции. Чтобы далеко не ходить, фот вам ссылка на Forbes, перейдя по которой и прочитав статью, вы сильно удивитесь.
Если же используется имплантат производителей «второго эшелона», которые не тратят на исследования, а копируют, будь то копии в черную, либо с лицензионными отчислениями, то отсутствие расходов на исследования и является ключевым фактором того, почему их продукция ощутимо дешевле.
7.3. Как я писал выше, имплантированный зуб состоит из нескольких частей.
Так вот, у именитых брендов своя экосистема, примерно так же, как и у Apple: если используется их имплантат, то должна использоваться и их фурнитура, а так же их коронки.
Таким образом, к стоимости имплантата добавится довольно серьезная дополнительная сумма, а итоговая стоимость работ может приблизиться к отметке в ₽200.000!
В случае, если же используется имплантат производителей «второго эшелона», то у них нет своей экосистемы и открывается возможность использования огромного количества тех же абатментов и коронок других производителей, которые по качеству не сильно уступают именитым производителям, но при этом стоят ощутимо дешевле.
8. Итоговая стоимость работ
Прежде чем перейти к цифрам, скажу сразу, не нужно их обсуждать, типа: «а у нас в Мухосранске вам сделали бы это в 2 раза дешевле».
У клиники, в которой мне делали эту процедуру, свыше половины пациентов люди, которым в свое время полечили зубы в «Мухосранске» в два раза дешевле и теперь им восстанавливают последствия дешевой работы (собственно, в моем случае и произошла аналогичная ситуация).
Предварительная стоимость работ выглядит следующим образом:
(стоимость работ указана с учетом персональной скидки)
+ удаление зуба — ₽0
+ одномоментная имплантация системы «Brand B» (Германия) — ₽45.000
+ изготовление костной массы и восстановление челюстной кости — ₽15.000
+ изготовление и установка фибрина и коллагеновой мембраны — ₽15.000
Через 3 месяца:
+ установка формирователя десны — ₽0
Еще через 10 дней:
Временная коронка с трансокклюзионным винтом — ₽12.000
Данная коронка используется в качестве черновика, на котором отрабатывается будущая конструкция и самое главное, ложе для индивидуального формирования десны под постоянную конструкцию. Дело в том, что сразу невозможно предусмотреть все нюансы, например, особенности прикуса, пережевывания пищи и иные моменты.
Еще через 15-30 дней ставится уже постоянная конструкция.
На выбор было предложено 2 варианта:
а) Постоянная конструкция с трансокклюзионным винтом — ₽45.000
б) Индивидуальный циркониевый абатмент — ₽30.000
+ цельноциркониевая коронка — ₽25.000 (суммарно получаем ₽55.000).
Второй вариант, а именно, использование индивидуального циркониевого аббатмента и цельноциркониевой коронки более предпочтителен, так как упрощает саму процедуру установки зуба (более точное формирование прикуса), а так же если к примеру, будет повреждена коронка, то можно будет заказать новую коронку.
Итоговая стоимость, с учетом скидок, выходит от ₽132.000 до ₽142.000. Но поскольку был в итоге выбран второй вариант, то в моем случае, стоимость составляет ₽142.000.
Плюс ₽3.000 за лекарства (ниже об этом расписано).
Итого, ~ ₽145.000.
За один зуб.
… до того, как я сам столкнулся с темой имплантатов, я проще к этому относился: в моем представлении стоимость зуба была примерно раза в 4 ниже…
Перед тем, как согласиться на процедуру, я сравнил цены с другими Московскими клиниками. В процессе анализа, я пробежался по сайтам 8 клиник. После этого, лично посетил 3 клиники, находящиеся рядом с домом, в которых попросил расписать мне подробнее весь план, для понимания, сколько мне приготовить денег. В итоге, разброс цен оказался относительно небольшим, примерно +-15%.
Познакомил меня с ним мой дальний родственник, работающий зуботехником, занимающийся изготовлением коронок. Он охарактеризовал данного стоматолога как: «конкретный геморройщик, который вечно к чему-то придирается, требует невозможного, из-за чего нередко приходится переделывать изготовленные для него коронки».
После того, как данный стоматолог в 2003 году приехал к ним лично в лабораторию и устроил скандал, с применением нецензурной брани в адрес изготовленной коронки, требуя третью переделку, они познакомились лично. После данного скандала, этот зуботехник сам у этого стоматолога начал лечить свои зубы.».
9. Текущая ситуация с моим имплантатом
После того, как закончили всю процедуру, я спокойно вернулся в офис и продолжил свою работу.
Спустя 10 часов: состояние отличное. Если рот не открываю, то будто вообще ничего и не делали. Это скорее всего из-за того, что применялась очень сильная гормональная анестезия, которая работает примерно сутки. Дописал черновой вариант статьи и пора спать — завтра на работу.
Спустя сутки: все отлично, боли нет. Дополнительные обезболивающие не пью. Опухоли нет.
Спустя 2 суток: все отлично, боли нет. Дополнительные обезболивающие не пью. Опухоли нет.
Рана заживает.
На 4 день я должен был приехать на контрольный осмотр, однако, из-за работы не смог, приехал лишь на 5-й день. Фотография состояния

Особого секрета в том, что все идет хорошо, нет: мне дали список лекарств, которые должен обязательно принимать, а так же рекомендации. Получив список, я дошел до ближайшей аптеки, в которой оставил фармацевту на кассе сумму, чуть больше ₽3.000.
Все сложил в пищевой контейнер, который нашел в шкафу на кухне, который положил на холодильник. Все принимаю строго по рекомендации.

10. Эпилог
Спустя некоторое время, на месте швов будет стоять искусственный зуб, который визуально никак не будет выделяться от моих других зубов. Через несколько месяцев будет дополнение статьи: расскажу как проектировали, изготавливали и устанавливали абатмент и коронку. Соответственно, будет интересное дополнение к данной статье, вместе с реальными фотографиями проделанной работы.
Кому интересно, советую подписаться на нее и периодически в нее заглядывать.
Возможно, я упустил какие-то моменты, которые мне кажутся очевидными, но при этом другим хаброжителям они не до конца понятны. Поэтому, если у вас остались какие-то вопросы, пишите в комментариях и я обязательно дополню статью.
11. В ролях снимались
Я — айтишник, технический директор и пациент описанного процесса.
Велибеков Эльман Сабирович, терапевт-ортопед, которые ведет мои зубы последние 15 лет.
+ предварительное растачивание зуба перед удалением;
+ все остальные работы, связанные с абатментом и коронкой (будущее продолжение статьи).
Небежев Заур Бабиевич, хирург-имплантолог, который произвел мне:
+ удаление зуба;
+ удаление кисты;
+ имплантация;
+ восстановление кости;
+ установка мембраны и финальные швы.
Место действия: «32 Жемчужины».
Автор: Velibekov
