Иногда медицинское вмешательство идёт не по плану. Сейчас будет один из таких примеров. Сначала наш врач ошибся, неверно оценив состояние тканей (мы шли на осознанный очень малый риск, и он отработал), затем вскрылось достаточно большое бактериологическое поражение, а потом добавилось ещё немного сюрпризов.
Мы в хирургии сюрпризы очень не любим. И про такие истории обычно не рассказываем, их хочется спрятать под ковёр и не вспоминать. Но это часть реальности: такое случается во время операций даже у самых подготовленных врачей с самой современной техникой. Вопрос в том, что с пациентом происходит дальше.
Итак, пациентка в возрасте 59 лет пришла к нам, чтобы поставить импланты. Перед этим нужно было сделать несколько удалений, передвинуть зуб и почистить глубокий кариес. Всё началось с простого удаления верхней восьмёрки и сразу пошло не так.
Ниже будут фотографии частей человека изнутри, поэтому аккуратно.

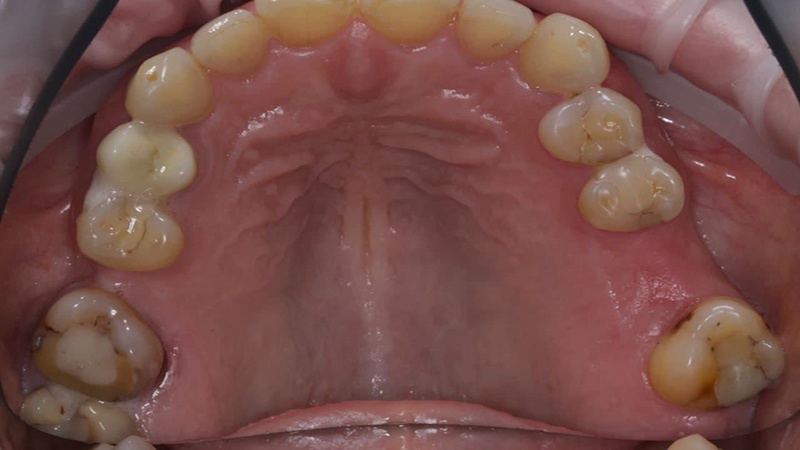
С чем пришла пациентка — нижняя челюсть

Верхняя челюсть
Как планировали лечение
Анамнез: 59 лет, есть ряд проблем, с которыми жить, в общем-то, можно, но лучше бы их решить. То есть часть зубов отсутствует, но не смертельно — улыбаться, разговаривать и есть пока что можно плюс-минус без особой боли. Женщина решает, что пора, и приходит к нам за имплантами. Это частая практика, когда в таком возрасте люди приходят за тотальным протезированием, потому что не хотят бояться стареть. Я такое очень уважаю.
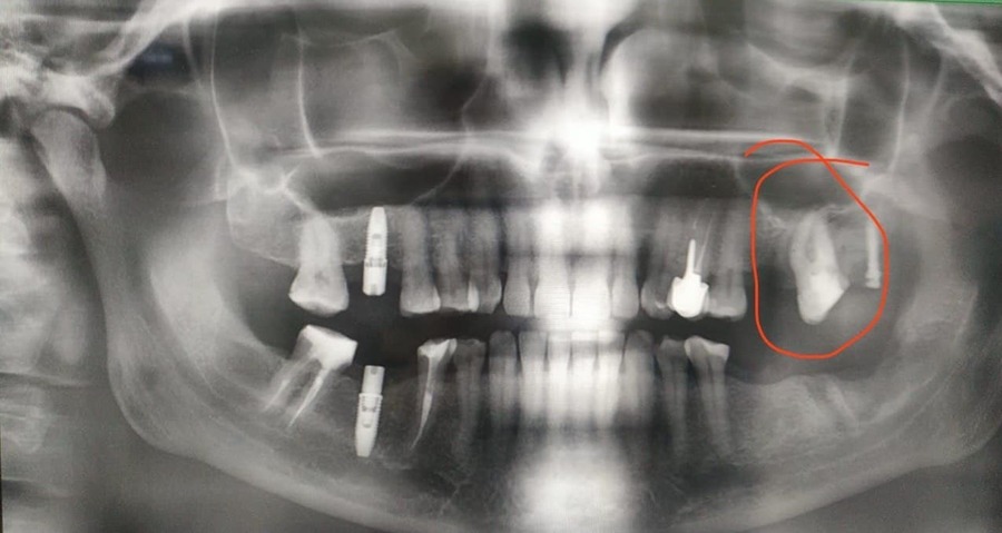
Что у нас было на входе? С правой стороны когда-то были удалены шестой и седьмой зубы, восьмой съехал на место седьмого. С левой — удалён шестой, седьмой с не очень удачно пролеченными каналами, в восьмом огромная полость. Шестой был удалён так давно, что седьмой практически полностью теперь на его месте. Восьмой лежит, не прорезавшийся. Тёмное пятно вокруг седьмого ничего хорошего не говорит, за корнем какая-то проблема локализуется.
Как будем выходить из ситуации:
Во-первых, предлагаем удалить нижний седьмой зуб, потому что он некурабельный (его невозможно вылечить), на всём протяжении одного из его корней уже совсем не было костной ткани. Сохранить его в теории можно, но смысла никакого — это только создавать риски для других зубов. Если его оставить, то через какое-то время он начнёт воспаляться и болеть, а инфекция, которая живёт вокруг него, может перекинуться на соседние зубы. Вот вдоль его корня лежит восьмёрка, и если инфекция перекинется, например, на неё, то придётся удалять оба зуба. Восьмёрки, которые так расположены, мы боимся удалять. Это приличный риск осложнений из-за повреждения нижнелуночкового нерва во время удаления — очень приличный риск. Например, потеря чувствительности в губе. Очень дискомфортная штука и конкретно понижает качество жизни пациента. Не самые радужные перспективы в целом понятны, поэтому такие зубы мы удалять не советуем. Но иногда приходится (это спойлер).
В верхней восьмёрке у пациентки пульпит и большая полость в зубе. Если в зубах мудрости нужно пролечить каналы, то врач на такое, скорее всего, не пойдёт и посоветует зуб удалить. Почему так? Всё дело в сложной анатомии восьмёрок и сложном доступе к ним. Иногда пациент не может даже раскрыть рот достаточно широко, чтобы врач мог ввести 25-миллиметровую иглу, даже для такого действия дистанции нет нужной. У зубов мудрости и в здоровом-то состоянии низкая функциональная пригодность, а когда в них ещё и развивается кариес, сложный доступ практически не даёт врачу возможности для манипуляций. Поэтому лечение пульпита в восьмёрках — дело неблагодарное, поражённый зуб правильно будет удалить.
Помимо всех этих прелестей у нас мало места для установки импланта и коронки шестого зуба. Место нужно освободить, для этого будем двигать седьмой обратно на родину.
Перед тем как перейти в наступление и претворить все эти сложные этапы в жизнь, нужно подготовить почву — провести повторную терапию не очень хорошо ранее пролеченных корневых каналов. На этом этапе мы отдаём нашу пациентку в руки терапевта.
Санация каналов терапевтом
Когда лечение запланировано долгое и сложное, пациент может начать очень сильно переживать и ещё сильнее — бояться, причём и лечения, и стоматолога. Это, конечно, вещь нормальная и логичная, тем более, что мы помним возраст пациентки — почти 60 лет. На начальном этапе мы хотим ей помочь психологически отпустить панику и настроиться на лечение и хорошее взаимодействие с нами.

Процесс лечения корневых каналов: сверление, зачистка и заполнение корневых каналов, установка пломбы
Санация корневых каналов — вещь как раз понятная и несложная, с пломбами мы все сталкивались и знаем, что от них биться в конвульсиях обычно не принято. Мы передаём нашу пациентку в руки врача-терапевта, которая в этих ситуациях вообще немного добрая фея и чуткий психолог. Чудесная женщина, прекрасно справляется с задачей. Всё проходит довольно просто и предсказуемо, и нашей пациентке уже немного попроще морально.
Терапевту теперь проще передать пациентку в руки хирурга, проще объяснить, что сейчас мы перейдём к хирургии, но начнём с самого простого — удаления верхней восьмёрки. Это примитивное удаление, можно сказать, что это знакомство с хирургической стоматологией, и вот сейчас мы как раз аккуратно познакомимся.
Как правило, когда человек проходит через такое удаление, у него всё правильно складывается и он понимает, что было не так уж и сильно страшно, и можно смело переходить к более сложным этапам.
А как всё получилось на самом деле?
Во время стандартного удаления верхней восьмёрки у нас случается нестандартное и редкое осложнение: перелом костного бугра верхней челюсти. Это не потому, что хирург очень тупой и сильный (хотя это частая причина таких переломов), а потому что мы не смогли правильно оценить механическую прочность ткани. То есть помимо зуба хирург щипцами отламывает и ВНЕЗАПНО удаляет ещё и кусок кости. Костная ткань, к сожалению, с возрастом теряет прочность из-за потери кальция, становится хрупкой из-за потери белка и повышается риск переломов. С женщинами такая штука — остеопороз — случается примерно в три раза чаще, чем с мужчинами. Диагностировать это можно, но в таком возрасте и с разными сопутствующими диагнозами некий процент непредсказуемости сохраняется.
Чем это может обернуться? Зависит от того, где и как именно бугор откололся. Может случиться такая неприятная штука, что бугор отломится в том месте, где у нас расположена стенка гайморовой пазухи. Бугор здесь — стенка и опора для верхнечелюстного синуса. Отламывая кусок кости в этом месте, мы обнажаем всю гайморову пазуху, а обнажать слизистую оболочку — действие абсолютно ненужное, потому что это, скорее всего, будет гайморит. Нам придётся делать разрез и аккуратно доставать все обломки. Но такая ситуация — довольно редкая.
Это я сейчас рассказал о незапланированном переломе бугра и последствиях, к которым это может привести. Но вообще в нашей практике сломать бугор также может быть нужно для аутотрансплантации. Хорошая кость. То есть бугор мы часто используем, например, если нужно эту кость пересадить в другое место в этого же пациента или даже в другого.
Вернёмся к нашей пациентке, у которой процесс удаления восьмёрки стал, к сожалению, более травматичным, чем предполагалось. Врач принимает решение и репонирует отломанный бугор, привинчивая его ортоимплантом. Покажу на снимке: на верхней челюсти, где раньше был восьмой зуб, виден такой контрастный гвоздь. Вот это и есть ортоимплант.

Здесь получилось удачно: ортоимплант врач будет использовать не только как исправление ошибки с отломанным бугром, но и по прямому назначению — с его помощью зуб можно переместить или изменить его наклон. Если вдруг запутались, то напомню — седьмой у нас съехал почти полностью на место шестого, нужно его передвинуть на своё законное место, чтобы можно было ставить коронку шестого.
На этом этапе я предчувствую вопросы в ключе «это вот так вы мне скажете — засыпай, сейчас мы тебе удалим зуб, а когда проснёшься, то окажется, что сумма в чеке немножко другая, просто тут ещё действия потребовались, но ты спал, и мы с тобой посоветоваться не смогли, хотя и пытались, касса прямо по коридору, доставай кошелёк». Но к оплате мы это пациенту, конечно, не предоставили.
Репозиция отломка бугра — это такой золотой стандарт при наличии перелома. Можно сравнить с действием аппарата Илизарова, когда два отломка костной ткани соединяют между собой и дают им время на то, чтобы срастись.
Удаление нижней семёрки и установка имплантов
Вторая часть Марлезонского балета — удаление седьмого зуба на нижней челюсти. Наша пациентка под седацией, врач приступает к удалению, всё идет по плану. Почти.
После того как седьмой зуб успешно покинул челюсть, ещё один сюрприз — кариес восьмёрки. Помните начало истории? Про то, что с одной стороны мы не лечим кариес в зубах мудрости, потому что это бессмысленно и беспощадно. А с другой стороны, нижняя восьмёрка лежит опасно — её удаление может спровоцировать повреждение нижнелуночкового нерва, и тогда может отняться нижняя часть лица.
Врач понимает, что это удаление — в любом случае вопрос времени, так как нам нужно поставить импланты, а кариес восьмёрки рано или поздно начнёт вызывать проблемы.
Поэтому врач идёт на сложное удаление сложного зуба, и, к счастью, всё проходит хорошо.
Что имеем на этом этапе? У пациентки удалена верхняя восьмёрка, установлен ортоимплант, который будет тянуть семёрку на своё родное место. Установлена резиновая тяга. Удалена нижняя семёрка и нижняя восьмёрка, установлены импланты на правой стороне.
Как всё снова пошло не по плану
Кажется, в этой истории уже сложно чем-то удивить, да?
После того как нашей пациентке установили тягу, которая должна контролируемо передвинуть семёрку, начинается кое-что вообще неконтролируемое — коронавирус. Представьте уровень паники, особенно в начале пандемии, когда про ковид ещё никто особо ничего не знал, кроме того, что кто-то где-то постоянно умирает. У нашей взрослой пациентки ухудшается общесоматическое состояние здоровья, ей страшно, у неё скачет давление. Она принимает решение уехать за город и отсиживается там как минимум полгода.
Что такое полгода в нашей ситуации? Один месяц тяги — это один миллиметр передвижения в месяц. За время её отсутствия зуб знатно отпутешествовал от пункта назначения — тут без вариантов нужно исправлять ситуацию обратной тягой. Когда пациентка вернулась, мы установили имплант в область шестого зуба и стали тянуть семёрку обратно.
Не вывалится ли зуб к чертям от такого шатания туда-сюда? Может, поэтому тянуть нужно очень аккуратно. Не форсируя, оценивая биологический ответ организма.

Перемещение седьмого зуба
К счастью, здесь всё прошло хорошо. Я бы очень хотел сказать, что на горизонте заиграла приятная музыка и начали медленно и красиво подниматься титры, но нет. Вместо этого на нас свалился очередной сюжетный поворот — на этой несчастной семёрке-кочевнике выявляется глубокая кариозная полость. Тревожная барабанная дробь.
Как так получилось и почему не заметили раньше? Например, почему не увидели на снимке? Здесь нужно понимать, что рентген — это дополнительный метод диагностики. Мы получаем снимок и толкуем, что значат комбинации света и тени на нём. Не всё можно вовремя выявить на снимке — не всё будет очевидно читаться. Поэтому заметить раньше, к сожалению, у нас бы не получилось. Если сейчас, уже задним числом, когда мы знаем, что на этом зубе кариес, вглядеться в снимок и задаться целью найти его в этом самом месте, то можно будет разглядеть намёки. К сожалению, на практике не всегда так срабатывает, что всё можно увидеть заранее.
Тут у нас снова целый детектив: изначально седьмой зуб занимал половину места утраченного шестого зуба. Это произошло в том числе потому, что, когда прорезывалась восьмёрка, она, скорее всего, упиралась в седьмой зуб. Если бы шестой не удалили, то восьмёрка бы так и упиралась в седьмой. За это время зуб мудрости успел навредить седьмому, произошла резорбция костной ткани под влиянием такого сильного давления, и часть зуба опустилась под десну. Именно та часть, в которой развился глубокий кариес, была спрятана, и увидеть её стало возможным только после того, как удалили восьмёрку, ткани подтянулись, зуб выдвинулся немного из лунки и стало очевидно, что есть дефект. Неприятный и непредсказуемый.
Что делать дальше?
Если бы такую картину было возможно увидеть раньше, то мы бы этот зуб посоветовали удалить. В нашей ситуации такое предположить было, конечно, нереально — если вспомнить, что зуб сначала начали двигать после ряда сложных удалений, потом полгода в деревне с давлением, тревожными новостями и общемировой паникой, потом снова передвижение — уже в обратную сторону. Пациентка в возрасте, ей было страшно с самого начала, а у нас ещё успел случиться отлом бугра в верхней челюсти и незапланированное удаление восьмёрки снизу. И вот при таком раскладе сказать — а давайте-ка удалим его к чёртовой матери — ну, вы понимаете.
Нашу пациентку мы отправляем к терапевту, с которого у нас началось лечение. На терапевта мы все буквально молимся, потому что такая тонкая ниточка взаимопонимания осталась с пациентом, что может порваться, если просто неудачно чихнуть. А терапевту теперь нужно выступить не только хорошим психологом в дополнение к своим профессиональным стоматологическим навыкам, но и вылечить реально сложный кариес.



Последовательные снимки перелечивания корневых каналов седьмого с выявленным дефектом задней поверхности корня
Кажется, здесь судьба решила над нами сжалиться, и всё прошло хорошо. Это был длинный ряд факапов, где вмешивалась куча разных факторов — и особенности строения челюсти пациента, и коронавирус, и появившееся от всего происходящего недоверие к врачам. Выровнять ситуацию в таких случаях удаётся последовательными правильными действиями. Нужно, чтобы совпала техническая оснащённость и медицинские скилы, чтобы в конце концов прийти к объективно хорошему клиническому результату и восстановлению взаимопонимания с пациентом.
Сколько это всё стоило?
Нашей пациентке нужно было установить, в общей сложности, пять имплантов. Параллельно во время лечения происходили нештатные ситуации — отлом бугра, незапланированные удаления, ковид, который затянул лечение минимум на полгода.
Лечение стоило в итоге ровно столько, сколько бы стоило и без всех перерывов. Естественно, клиника берёт ещё на себя расходы по устранению осложнений, возникших при операции. Сейчас сумма расходов — один миллион двести пятьдесят восемь тысяч.
Лечение ещё не закончено. Как мы здесь проводим расчёт? Хирургия с имплантацией — 520 тысяч руб. Минимально необходимое протезирование — 879 тысяч. Тотальное протезирование — здесь у нас восстановление утраченных боковых зубов, виниры, которые будут красивые и меньше будут стираться, — это почти два миллиона. Плюс нужно ещё закладывать определённый объём терапии.
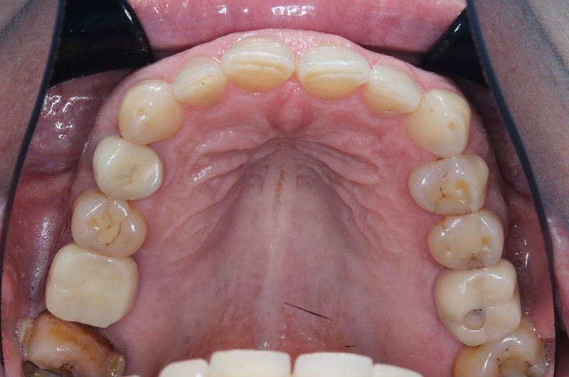
Сейчас у пациентки установлены временные коронки на всех имплантах, она уже может ими жевать. Мы планово ждём, когда сможем заменить все временные коронки на постоянные и робко надеемся, что за это время не случится падения метеорита на землю или зомби-апокалипсиса.


Установленные временные коронки. Объект на шестом зубе легко принять за кариес, но на самом деле это шахта винта, который держит временную коронку на импланте. В общем, зуб выглядит сейчас страшненько, но это живое фото в процессе лечения. Новых фото, где он уже совсем здоровый и красивый, пока ещё нет. Кстати, если бы кариес на этом зубе был, то есть когда у нас не тотальная реставрация зубов, а какие-то небольшие полости, мы бы лечение не задваивали, а устраняли бы дефекты уже во время финальной реставрации. При тотальной реставрации мы бы всё зачистили заранее.
Это слишком дорого?
Мы насчитали сейчас около двух миллионов и понимаем, что цифра не финальная. Конечно, первая мысль, что это офигеть, как дорого.
Тут нужно не забывать одну важную вещь: все этапы лечения — это осознанное желание и решение пациента. Она не умирает, она может дожить с тем, с чем пришла к нам, всю жизнь. Что-то будет болеть, возможно, сильно болеть и нужно будет лечить. Зубы рано или поздно всё равно придётся удалять. Протезирование, особенно дорогие коронки, — да, можно обойтись без него, это роскошь. Но у нашей пациентки есть такая возможность, и она этого хочет. В таком возрасте женщина захотела качественно и красиво жевать. Я такое желание уважаю. Захотела красивые зубы и захотела заняться всем этим заранее, чтобы потом спокойно стареть.
Как избежать такого дорогого лечения и протезирования в будущем?
Я думаю, что Америку сейчас не открою — не забивайте на профилактику. На чистку я рекомендую ходить раз в квартал с четырёх лет. Если вам кажется, что это часто и дорого, то я могу предположить, что профилактика раз в квартал дешевле, чем тотальное протезирование в шестьдесят лет.
Почему наша пациентка столько лет обходила стоматологов стороной? Ей было страшно. Такой страх не очень просто обуздать. И если вам вдруг кажется, что бояться стоматолога стыдно и затягивать лечение сегодня — это уже такой тёмный лес, потому что «ну нужно же понимать» — я вам расскажу одну историю.
У меня сегодня была пациентка — врач анестезиолог-реаниматолог. Это человек, который каждый день вытаскивает людей с того света. Буквально стоит между апостолом Петром и пациентом. Она пришла ко мне на приём только потому, что поняла, что дальше тянуть уже некуда и она просто не отстоит 24-часовую смену очередную. И коллеги её буквально силой заставили идти к стоматологу и решать проблему.
Ей 38 лет. Жевательных зубов у неё уже нет вообще. Не то что жевательных, а уже части зубов в линии улыбки. Она специалист международного класса с высшим образованием, каждый день удерживает нас на этой стороне вечности. Ты думаешь, что она всё понимает и ничего не должна бояться.
Де-юре всё так. Де-факто у меня сегодня в кресле была девочка 4 лет. Мы даже поплакали с ней вместе, чтобы отпустить страх и напряжение хотя бы немного и можно было оказать ту пустячную помощь, за которой она пришла, потому что ей сказали, что к Антону Вадимовичу можно прийти, он всё хорошо сделает.
Итого
Наша пациентка не ходила к стоматологу годами, потому что в своё время ей, может быть, делали больно или пугали в детском кабинете. Сейчас ей потребуется около 4 миллионов, чтобы восстановить здоровье полости рта. Пациентка состоятельная, у неё есть эти 4 миллиона, и она может позволить себе такое лечение. Но, к сожалению, у большинства людей этих 2-4 миллионов нет, и откупаться за грехи (читай за отсутствие профилактики), скорее всего, придётся отсутствием зубов. На этом зарабатывают сейчас маркетологи, придумывая варианты с протезированием всей челюсти за 200 тысяч рублей.
Поэтому мы заранее приводим детей наших к врачу. Даже тогда, когда им ничего лечить не надо, а когда это шутки-прибаутки, что слоник зубки посчитал, не знаю, кто-то пылесосик пособирал. Если мы ходим регулярно, то ребёнок не будет бояться кариеса и не страшно его будет лечить. Со взрослыми, кстати, ровно такая же история.
Ребёнку, скорее всего, сделают расширение верхней челюсти. Исключат львиную долю проблем с прикусом. Потом он, скорее всего, поносит немного брекеты, и у него будет идеальный или почти идеальный прикус. Идеальный прикус — это не только про красоту. Он делает зубы устойчивыми к кариесу. Тогда профилактики, чистки и реминерализации ему хватит для того, чтобы поддерживать в наличии и хорошем состоянии тот комплект зубов, который ему дала природа. Они не будут стираться так, как они стирались у нашей пациентки к шестидесяти годам, не будут подвержены так сильно кариесу.
Тогда мы избежим ужаса всего этого лечения, и вот эти страшные суммы — они будут просто складываться из количества чисток, которые мы сделаем за всю жизнь, и из минимальных задачек — пары коронок, нескольких пломб.
Автор: Антон Артеменко
