Я уже писал пост про то, как самостоятельно читать базовые вещи. Теперь же я собрал для вас набор редких медицинских случаев, где по трепыханиям белого на белом можно сильно поменять жизнь человеку.
Потом был прошлый пост со случаем у ребёнка, который стал для меня своего рода врачебным катарсисом, потому что точно такой же случай, только мой, лишил меня части нижней челюсти.
Буквально — врачи снимали её остатки и делали новую челюсть из фрагментов моих тазовых костей (это нормальная практика).
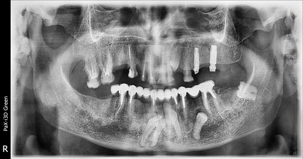
Теперь ещё несколько редких и странных случаев. Например, пациент с девятым зубом. Сейчас восьмёрки-то не у всех есть, а он где-то нашёл сверхкомплектный. Но начнём мы с другого пациента, у которого до старости зубы остались внутри челюсти, вот:

В общем, заходите в пост. Сегодня страшных картинок не будет, только КТ-снимки. И все случаи с хорошим концом.
Зубы внутри челюсти
Вот ещё раз картинка:
Это довольно печальный случай пожилого пациента. Внизу в челюсти (да и слева — буква R означает правую сторону челюсти с точки зрения пациента) вы можете увидеть непрорезавшиеся зубы.
Напоминаю, ребёнок в норме выглядит вот так:

Сверху временные, то есть молочные зубы, снизу постоянные. Вот подробный пост, как это устроено и какие особенности лечения детей вызывает. Здесь важно то, что пациент в возрасте около 60 лет всё ещё имеет несколько непрорезавшихся зубов.
Увы, они не прорежутся никогда.
Пациент из региона, в молодости денег на поездку в Москву или Европу для лечения у него, очевидно, не было, да и про достижения науки там вряд ли знали достаточно. Советский врач на месте сделал лучшее из возможного: когда молочные зубы износились, поставил сначала какую-то временную конструкцию, а потом, позже, когда пациент дорос до своего номинального размера, установил постоянную большую мостовидную конструкцию, которую вы тоже видите.
Сейчас такие конструкции мы ставим пациентам вообще без зубов, например, как вот этому пациенту-проказнику, выпавшему с третьего этажа прямо на зубы. Получается вот такая челюсть терминатора:

Тем не менее, когда зубы есть (а у пациента они в детстве были почти в комплекте), их можно попробовать вытащить наружу, прикладывая долгое механическое усилие. То есть мы бы вкрутили маленькие винты в кости выше и начали бы тянуть несколько месяцев.
Так мы поступаем с восьмыми зубами, которые нужно удалять очень аккуратно, если через их корни проходит нерв, вот пример:

А вот рассказ моего коллеги про то, почему это так «дико» дорого — 80 тысяч за удаление.
Сейчас тянуть зубы бесполезно, они давно уже живут в толще челюсти. Тем не менее вмешательство всё же нужно. Мост кончается. На таких больших конструкциях часто страдает точность. Слева в заднем отделе конструкция потеряла геометрию, там не было хорошей посадки — и образовался рецидив кариеса под металлом. Можно было санировать очаг и снова вернуть всё как было, но пациент хотел комфорта на всю оставшуюся жизнь. Поэтому протезирование. То есть мы вместо одной большой конструкции поставили несколько поменьше независимых, что в перспективе означает очень высокую точность и совершенно другие нагрузки. Вот рассказ про эту разницу, он вам пригодится, если ваши родители потеряют зубы.
В этой ситуации я был слегка удивлён, как долго пациент ходил в конструкции, которую делал мой неизвестный коллега довольно давно без современной лаборатории при клинике.
Причины генетические. Увы, корни сформированы, но не прорезались. Называется такое явление полной ретенцией. Ещё бывает вариант, когда пациент рождается без второго комплекта зубов вообще. Тогда они не выпадают, так как им не на что сменяться, нечему прорезываться. Они поражаются кариесом и осложнениями, стираются и изнашиваются, как менее крепкие. В любом случае решения сейчас есть, и они функционально и эстетически близки к норме (если не считать отсутствие чувствительности на имплантатах).
Пациенту мы поставили протезы, всё прошло хорошо, он теперь может радостно жевать стейк. А может не жевать. Главное — такой выбор есть.
Вот вдогонку ещё случай у мальчика:

Внизу временный есть, а зачатка постоянного нет. Нет и зачатков седьмых зубов. Внизу нет пятых зубов, а наверху есть. В общем, тут хотя бы часть зубов прорежется нормально, но потом эти зубы будут двигаться, стараясь заполнить пустоту. К счастью, есть мы с имплантатами. У пациента всё будет хорошо.
Странная кость

По центру почти всегда видно позиционирующее устройство КЛКТ-установки, за которое пациент хватается зубами
Итак, слева (справа на снимке) мостовидный протез со странной штукой в тканях выше его середины.
История этой женщины в следующем: пациентка пришла к врачу другой клиники и сказала, что хочет имплантацию. Врач сделал ортоснимок — то есть он снял вот этот же кадр, только склеив из нескольких 2D, а не из облака точек в результате множественных измерений КТ. Вот тут и тут больше деталей про то, в чём разница. Коротко — панорамный рентген сшивается из целых плоских снимков геометрическими преобразованиями, а КТ даёт сырые данные, из которых можно построить трёхмерное облако точек и, например, напечатать фрагмент головы пациента со всеми зубами, сосудами и нервами для тренировок перед операцией.
Панорамный рентген означает, что сделанный снимок предыдущего врача никогда не был 3D и не позволял провести дальнейшее исследование. Иногда надо заглянуть глубже либо повернуть и посмотреть за угол какого-то зуба. Это важно, потому что это вопрос оснащения клиники: ортопантомограф легче согласуется для жилых домов, обладает меньшей мощностью и дешевле. Конусно-лучевая установка компьютерной томографии даёт максимально полную картину, но минимум на 1,5 миллиона дороже, а часто больше.
Итак, там вы можете видеть кость, которая поднялась довольно высоко. Врач той клиники решил, что это большая удача, что такой объём кости внезапно сохранился, никакая аугментация не требуется, — и попытался засверлить туда имплантат. Во время операции он понял, что что-то идёт не так и кость слишком твёрдая. Тем не менее он закончил и подождал несколько месяцев. Когда пришло время протезировать (то есть ставить коронку на винт-имплантат), выяснилось, что винт подвижный. То есть имплантат не интегрировался. Его выкрутили, затем поверх поставили мостовидный протез. В середине кости на снимке видно след — «скважину» имплантации.

Нетипичный вид периодонтальной щели (место, где располагается связочный аппарат зуба), косвенный признак, привлекающий внимание к костной ткани, окружающей зуб
Я не знаю, что врач сказал пациентке, но больше её этот вопрос не волновал.
Когда пациентка пришла к нам по другому вопросу, мы сделали томограмму, увидели результат и подозрительно зашипели. КТ позволяла с высокой степенью достоверности предположить, что это нечто, имеющее все признаки опухоли. Напоминаю, ни один снимок такого типа не даёт ставить диагноз, делать это можно только по гистологии. Но по снимку можно сказать, на какие диагнозы это сильно похоже. С точки зрения принятия решений о лечении дальше это даёт очень много.
Так вот, если вы посмотрите на снимок, то увидите, что костнотканный рисунок наверху и внизу отличается. Плотность и минерализация подозрительного участка этой изменённой костной ткани очень высокая.
По всем признакам это доброкачественная опухоль в теле верхней челюсти. Она характеризуется тем, что плотность кости выше обычной. Причину явления установить пока нельзя, это наука ещё не может однозначно сказать — мы же просто сталкиваемся с последствиями. В общем, что-то в организме пациента привело к тому, что костная ткань стала более плотной: это могла быть генетика, токсикология, инфекция — что угодно, мы не знаем. Образовалась кость с минимальным количеством сосудов, без стандартных механизмов регенерации и тому подобное — нарушился баланс между разными типами клеток в ткани.
Соответственно, стенки шахты имплантата не охватили винт, поскольку за это отвечает именно регенеративный процесс. Скорее всего, костная ткань была плотная настолько, что на срезе кость могла спечься от инструмента врача. В итоге туда, в промежуток между имплантатом и этой новой тканью, пророс эпителий десны, и винт держался на нём.
А эпителий как конструкционный материал не очень-то похож на кость.
В общем, пациентка с некоторой долей ужаса отправилась к онкологу (хотя мы сразу предупредили, что, скорее всего, ничего серьёзного). Онколог подтвердил остеому, сказал, чтобы никакой идиот не пытался её разрезать, иссечь или что-то в неё вкрутить, а затем сказал наблюдать. Это одна из самых позитивных вещей, которую только может сказать онколог, кстати.
Пациентка наблюдалась у нас достаточно, чтобы накопить исторические записи. Динамики развития нет, объём сохраняется. Поэтому всё в порядке. Вот снимок через год после обнаружения:

И вот ещё один через два года:

Всё хорошо.
Цементома

Вот клык. Как видите, он стёрся так, что анатомической формы клыка нет. Пациент обратился к нам, чтобы вернуть правильную форму клыка виниром. Это нормальное вмешательство, если вы сточили зубы, — мы без проблем наращиваем их обратно до идеальной формы керамикой.
По протоколу делаем КТ — чтобы создать облако точек, которое даст нам возможность строить навигацию потом по пациенту и формировать точный прикус и точную форму коронки. Видим, кроме интересующего нас зуба, странный объект под ним с чёткими контурами. Всё довольно просто. Это цементома. Это сбой в развитии зубного зачатка. Просто остался объём ткани.
Случайная находка. Никак себя не проявит. Просто будет существовать внутри пациента.
Клык восстановили.
Ещё опухоль
Пациентка пришла получать второе мнение перед лечением имплантацией вместо отсутствующего зуба. Принесла КТ в сыром виде, записанное на флешку. Его посмотрел её лечащий врач, но теперь она показывает КТ и план лечения нам. Это абсолютно нормальная практика, мы аналогично советуем своим же пациентам получать второе мнение, если они сомневаются. В данном случае мы выступили консультантами.
Лечение врач назначал в теории правильное, но есть нюанс. Вот он:


Поближе:

На операцию она уже была записана.
Мы попросили её отменить запись и обратиться к онкологу.
Это какой-то опухолевый процесс, вмешательства могут привести к озлокачествлению. В такой ситуации онколог должен разрешить вмешиваться.
Онколог посмотрел, сориентировался по рентгенологической картине и сказал, что надо наблюдать и ничего пока не делать. Лечение отменили, пациентку поставили на наблюдение.
Коротко — пока смотрим. Если что-то пойдёт не так, челюстно-лицевой хирург пойдёт вырезать ей эту опухоль. КЛКТ делает онколог — в принципе, всё равно, кто его делает, но смотреть должен он. Он по этим самым трепыханиям белого на белом имеет такую насмотренность на опухоли, что наш опыт и рядом не стоял. Собственно, он скажет, нужно ли в какой-то момент вмешиваться.
Почему болит голова от зубов
Это верхнечелюстная пазуха, снимок должен быть практически симметричным, и чёрные области должны быть с двух сторон. Но слева на снимке пазуха как будто ретуширована серым:

Это воспалённая слизистая при обострении хронического гнойного гайморита. Пузырьки, скорее всего, воздух. Классический одонтогенный гайморит. Причём с таким бесполезно бежать к отоларингологу, он не поможет. Посмотрите на эту невероятную красоту природы: ворота в пазуху проделал зуб. На зубе был воспалительный процесс (надо было чистить зубы, скорее всего, всё началось с кариеса или камня, попавшего под десну), он перекинулся на корень. Я не берусь утверждать точно, но всё указывает на то, что пациент перетерпел зубную боль до момента, когда нерв оказался разрушен. Дальше, собственно, воспаление разрушило дно пазухи.
Мораль: чистите зубы, не будет болеть нос и другие органы, не будет вот такого гайморита и хронического насморка. Ходите хотя бы раз в полгода к стоматологу на профилактику, потом не будете платить за новую челюсть. В случае этого пациента — увы, не только челюсть.
Почему я думаю, что пациент именно перетерпел? Потому что у этого зуба нет антагониста, нажимать было не больно, и каждый приём пищи он не страдал от дикой боли. К нам он обратился с температурой и головной болью. Точнее, в целом в больницу он обратился с таким анамнезом, а нам его уже передали коллеги. Воспалительный экссудат начал давить дальше, заболела голова.
И у него же есть ещё одна очень интересная, но куда более частая картинка:

Тут интересен не только зуб, открывший ворота в пазуху
Посмотрите на маленькую точку по стрелке. Это может быть как дефект снимка, так и кариес.
Как отличить? Через знание анатомии. Мы знаем, что это самое вероятное место для кариеса в контактном пункте, поэтому ставим на то, что это он и есть. Статистически вероятность появления в этом месте единичного дефекта куда меньше, чем вероятность кариеса. Открываем пациента — конечно же, это кариес и есть. Кариес здесь — случайная находка, а причина — карман у седьмого зуба, это тот, что через один слева, видно отсутствие кости вокруг.
Гной откачали, полость санировали, пациента вылечили. Голова у него теперь не болит, зубы он будет чистить как минимум ещё пару недель, пока не забудет этот случай.
Весь рот в гвоздиках

Это пины. Тут ещё брекеты, неметаллические. Эстетические выгоднее. Вместо пятого и шестого зубов. Перемещение седьмого зуба — ортодонтию сначала. Моляры отодвигались назад.
А вот аугментация кости. Не та, которая в компьютерных играх со всякими наночипами, а просто наращивание кости экзогенной. Точнее, щебёнка из кости бычка (откуда выжгли весь белок) в качестве стройматериала и фибрин из крови пациента. Получается пластичная масса, которую помещают под мембрану. Мембрану прибивают пинами — вот этими маленькими гвоздиками типа мебельных.
Вот ещё пример:

Здесь объём побольше, просто графт не подходит. Установлен костный блок из нижней челюсти.
Треугольник сбоку — это лунка переднего корня шестого зуба. Костный блок немного меньше ложа, дальше всё нормально заполнится костной тканью. Естественно, выполнение такой работы невозможно без томограммы.
Сверхкомплектные зубы
Тут у пациента постоянные клыки и непрорезавшиеся премоляры в верхней челюсти:

А вот ещё более интересный случай. Мы все знаем истории про восьмые зубы, которые уже атавизм. Вот даже пост про них. А тут ещё интереснее:

Справа у пациента есть целый девятый зуб! Это жёлтая стрелка. А синяя стрелка показывает девятый непрорезанный. Девятый зуб поставляется со своим сосудом и нервом. Он имеет все органы и ткани, как у здорового зуба. Он уже с момента образования зачатка соединён с нервной системой, там сосудисто-нервный пучок. Делать с этими зубами пока ничего не надо, надо наблюдать.
На сегодня всё. Напоминаю, я раньше писал про то, как самому читать КТ.
Ещё посты:
- Хирургические случаи: пост про то, как пациент терпел зубную боль до момента, когда ему пришлось резать горло в нескольких местах. Про пациента-проказника, выпавшего с третьего этажа и упавшего на лицо. Про пациента-спортсмена, неожиданно затормозившего в дерево.
- Для гиков: про то, как именно можно умереть от анестезии прямо на приёме терапевта. Как самостоятельно читать КТ. Про моего коллегу Андрея, хирурга senior+. Про Гусейна, его навигационные шаблоны и участие в разработке ПО для хирургов по всему миру. Как Гусейн разрабатывал матмодель и софт для хирургии по пересборке черепа.
- Инструкции: FAQ про пломбы. Что вам нужно знать про гигиену зубов. Как правильно бояться стоматолога. Что вам нужно знать про наркоз и седацию. Реплантация зубов: как правильно собирать свои зубы в пакетик. Что делать, когда вы нафаршированы зубами (про молочные зубы). Про зубы ваших пожилых родственников. Про типичные зубы ИТ-пациента. Коренные зубы — это атавизм, и почему их часто удаляют «на всякий случай». Как вылечить зубы на год вперёд перед долгой поездкой.
P.S. Если вы дойдёте до наших клиник, то говорите, что вы с Хабра, будет скидка 5%.
Автор: Антон Артеменко
