
После публикации предыдущих статей, а в особенности «Зубы мудрости – удалить нельзя оставить», я получил несколько комментариев с вопросом – «А если 7-ой зуб когда-то был удален, 8-ка встанет на его место?» или «А можно ли 8-ой (горизонтальный) зуб вытянуть и поставить на место 7-ого, которого нет?»
Так вот, сделать это так, как вы себе это представляете теоретически можно, но… сложно.
Нет, конечно, есть «мастера», которые активно занимаются и продвигают данную методику. Но ни один из них не даст вам гарантий на то, что после года, а то и двух лет попыток вытянуть подобную 8-ку и поставить её в ряд с остальными зубами увенчается сто процентным успехом. Есть и методики реплантации зуба. К которым я отношусь крайне скептично. Тем более в случае, когда на месте 6ого или 7ого зуба, которые давно удалены, выпиливается искусственная «лунка» (просто «ямка» в кости), в которую помещается так же выпиленный горизонтальный зуб мудрости. Который, в свою очередь, нужно пролечить эндодонтически (то есть удалить из него нерв) Вы не считаете это абсурдом?
На мой взгляд — это просто глупо, но! Подобное имеет место быть. Каждый «работает», как он хочет или умеет, если угодно. Как принято говорить — «все по показаниям». Я выражаю свою точку зрения, которая может кардинально отличаться от мнения других.
Так почему же не вытянуть зуб мудрости?
Ортодонты ведь ставят брекеты, передвигают зубы, тянут «лежачие» ретенированные (непрорезавшиеся) клыки, которые располагаются горизонтально в челюсти. Давайте и 8ку «вытянем»! Скажете вы.
Проблема в том, что область зубов мудрости, а особенно нижних 8-ок достаточно специфическая. Костная ткань в этом месте очень плотная, а сам участок, как правило, широкий. Эта область даже является донорской при проведении костно-пластических операций.

То есть в этом месте, при помощи специальных инструментов, можно взять костный фрагмент (блок) и пересадить его туда, где костной ткани недостаточно для постановки имплантата. А эта зона (где был взят костный фрагмент) со временем восстановится и при необходимости манипуляцию можно будет повторить.
Но костные пластики, это тема отдельных статей, которые мы обязательно рассмотрим позже.
Так вот. Кость – плотная, широкая. Если пытаться вытянуть 8-ой зуб, за ним образуется глубокий костный карман, а любой уважающий себя зуб должен быть окружен костной тканью со всех сторон. Небольшой пример – возьмите палку и воткните её в песок, ведите её, что произойдет? В песке появится «канавка». Также и в кости будет подобная проблема. Вытянуть горизонтальный зуб, да так, чтобы он был окружен костью со всех сторон — крайне сомнительно.

Вы скажете, «Хорошо, а как насчет не горизонтального зуба, а вертикально стоящего?»
Отвечу, ситуация с вертикально стоящим зубом несколько иная, таких серьезных перемещений делать, конечно, не придется. Но проблема будет та же, переместить «корпусно» зуб достаточно сложно. Все мы знаем, что чем старше человек становится, тем медленнее проходят процессы заживления в организме, по сравнению с молодыми людьми. Будь то, к примеру, перелом. А все из-за того, что в костях ребенка куда больше органических веществ, чем у взрослых. Оболочка покрывающая кость снаружи (надкостница) толстая, хорошо кровоснабжается. И т.д. и т.п. А чем старше человек становится, тем дольше и сложнее проходят восстановительные процессы. С зубами та же история. Если вам лет 14, то все перемещения зубов, которые наметил ортодонт, пройдут у вас куда быстрее и проще, чем если бы вам было лет 40. Та же история с «вытягиванием» клыков, про которое я говорил выше – если этим заниматься в возрасте 14-ти лет, то успех этой процедуры максимальный.
Если же вы лет в 40 впервые сделали панорамный снимок зубов и доктор обнаружил там ретенированный горизонтально лежащий клык, то шансов на успех куда меньше. Так же и с 8кой, если бы вам было лет 14, то теоретически подобная манипуляция возможна, даже могу предположить, что та была бы успешной. Но есть большое НО! В этом возрасте корни 8ок еще не сформированы, на панорамном снимке, мы можем увидеть лишь сформированную коронковую часть зуба, находящуюся в фолликуле (капсуле, окружающей зачаток зуба), что тогда «тянуть»?

В таком случае можно повредить зачаток и зуб все равно придется удалить. Да, и если вы в 14 лет довели какой-то из зубов до удаления… Это мягко говоря — печально. Что же тогда будет с зубами к 40 годам?
И еще один момент, не столь важный, но имеющей место быть. Это анатомия формы и размера коронковой части 7ого и 8ого зубов. Они различны. Создать полноценный контакт в этом случае можно, но будет ли это правильно?
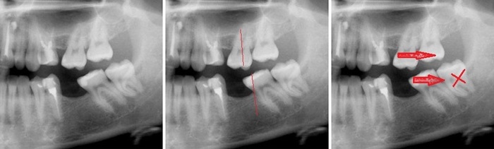
«Если 6-ой зуб давно удален, может 7-ка сместиться на место 6-ого, а 8ка на место 7-ого?»
Нет… Будет что-то типа того —
«Свято место пусто не бывает». При длительном отсутствии какого-либо зуба, соседние зубы начинают постепенно смещаться в их сторону. Подобные перемещения происходят только вперед. То есть, если удалить 8ку, то 7ой зуб не наклонится назад подобно тому, что представлен на снимке. Если нет проблем с прикусом. (смыканием зубов).
«Можно я удалю только нижний зуб мудрости, а верхний оставлю (или наоборот), он же не беспокоит?»
Увы, но тоже нет.
Ниже, правда, представлен пример не с 8ым зубом, но смысл тот же. При отсутствии любого зуба, его антагонист (тот зуб, с которым он смыкается) начинает постепенно выдвигаться в сторону отсутствующего «пытаясь» найти себе контакт.

Поставить имплантат в область 7-ого зуба не проблема, но спротезировать (установить коронку) такой зуб правильно будет невозможно. Почему? Потому что коронка в таком случае будет в два раза ниже по высоте. И образуется так называемый «блок», при движении нижней челюсти, о котором я упоминал в этой статье.
Логичный вопрос — «Как же тогда быть? Что делать с этой ситуацией?»
А вот что. Мы зовем на помощь всеми любимых ортодонтов и при помощи специальных конструкций и тяг стараемся поставить зубы в правильном положении, как это было задумано природой. Я вообще считаю, что ортодонты самые важные стоматологи. Почему? Если вдуматься, все проблемы с зубами от чего? — От их положения. Если «зубы кривые», то остатки пищи активнее забиваются между зубами, отсюда страдает гигиена, отсюда кариес, и все связанные с ним осложнения. Плюс перегрузка зубов из-за неправильного смыкания. Привет стираемости, сколам на зубах и всяким там клиновидным дефектам (некариозное поражение, которые располагаются в области шеек зубов в виде дефекта клиновидной формы). Также страдает ВНЧС (височно-нижнечелюстной сустав), могут появится хруст, щелчки, болевые ощущения и т.д. А если с прикусом проблем нет — знай себе чисти зубы и будет тебе счастье. Но как бы смешно это не звучало — и это нужно делать правильно. Можно по 20 минут начищать зубы, а толку от этого не будет никакого.
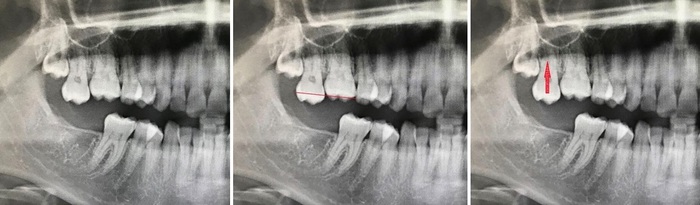
Отвлеклись. Вот небольшой клинический случай.

Был установлен имплантат и параллельно начато лечение у ортодонта. Как мы видим, нижний правый 7-ой зуб наклонен, а верхний правый 6-ой несколько выдвинулся вниз.
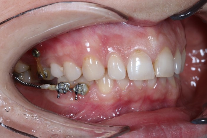
Обратите внимание, необязательно устанавливать полноценную брекет систему для того, чтобы устранить эту проблему. Достаточно приклеить 3 брекета на 4-й, 5-й, и 7-ой зубы, и при помощи специальной пружины толкать проблемный зуб на свое место. На верхней челюсти ситуация несколько иная. Для устранения проблемы устанавливаются два ортодонтических винта. Один со стороны щеки, а второй со стороны неба. К зубам клеятся две кнопки, и дается тяга (специальные резинки). Они-то и «тянут» зуб на место.

И под другим углом — 
А теперь вопрос у меня, а зачем вам это нужно? Я про вытягивание 8-ки.
Зуб мудрости не «запасное колесо». Им нельзя просто так взять и заменить утраченный зуб. Кроме того, что процесс передвижения очень долгий, особенно с возрастом, так еще и не гарантируемый. То есть – вы потратили около года, двух на «вытягивание» 8-ки. На это вам никто не даст гарантий, а в итоге, так случится, вы его все равно удалите. Оно того стоит?
А ведь можно вовремя поставить одиночный имплантат в область удаленного зуба и месяца через 3 (если мы говорим о нижней челюсти) у вас гарантировано полноценный, жующий зуб, который будет служить вам всю жизнь. И никаких дополнительных «тянем-потянем». Все это, при условии соблюдении всех рекомендаций и посещений стоматолога раз в полгода с целью профилактического осмотра. С имплантатом просто так ничего не произойдет. Спросите: -«Тогда для чего приходить?» Для того, что если начнутся проблемы с соседними зубами, то они могут затронуть и имплантат. Будь то проблема десны или костной ткани вокруг. Профилактические осмотры с обязательным рентгеновским снимком зубов помогут избежать такой проблемы. И, конечно, идеальным является профессиональная гигиена полости рта, так же каждые полгода. Тем более у людей с вредными привычками, типа курения. Объяснять для чего думаю не стоит. Все и так понятно.
Вы скажете, — «Это несоизмеримо дорого!» или «Свои зубы же лучше!»
К вопросу стоимости. Я не хочу вас расстраивать, но хирургический этап, плюс установка ортодонтической конструкции и замена тяг, в течение пары лет у ортодонта, в итоге, будет практически соизмерима по стоимости с установкой имплантата и изготовлением коронки. Но в первом случае гарантий никаких нет, а во втором пожизненная. Чувствуете разницу?
Свои зубы – конечно лучше. От слова всегда. Нужно бороться за них до последнего. Но в том случае, если эти зубы важны. И это никак не зубы мудрости, от которых кроме как проблем, ждать нечего.
На сегодня все, спасибо за внимание!
Stay tuned!
С уважением, Андрей Дашков.
Автор: Андрей Дашков
