
И снова здравствуйте! Сегодня хотелось бы написать мини пост и ответить на вопрос — «Зачем удалять зубы мудрости, если они не беспокоят?», и прокомментировать утверждение — «Моим родственникам и друзьям, папе/маме/деду/бабуле/соседу/коту — удаляли зуб и всё пошло не так. Абсолютно у всех были осложнения и теперь никаких удалений». Для начала, хотелось бы сказать, что осложнения возникли не от факта удаления зуба, а от того, как это удаление было проведено. Подобное могло случиться по нескольким причинам:
- Во время удаления, что-то пошло не так, и оно было проведено некорректно.
Например, мог остаться фрагмент корня, который не удалось удалить. Иногда действительно случается, что кусочек корня сломался, достать его никак не удается. Доктор принимает решение больше не мучить пациента, дабы не нанести еще большую травму. Ну, или не задеть нижнечелюстной нерв, который проходит очень близко к корням 8ых нижних зубов, пытаясь этот кусочек оттуда достать. Вы спросите — «Как так?» А так. Если не было острого, а еще хуже гнойного воспаления, а в лунке останется небольшой, неподвижный фрагмент корня, то ничего страшного не случится, он просто зарастет. Естественно я не говорю, что надо оставлять сломанные корни в лунках, не пытаясь их удалить. Но если доктор понимает, что «ковыряние» может лишь навредить — это не самое плохое решение. Повторюсь, если не было острого воспаления, в противном случае зуб должен быть удален полностью, так как он инфицирован.
- Не была соблюдена стерильность во время манипуляции.
Я даже не говорю об обработке инструментов и их стерилизации, которые в каждом медицинском учреждении должны быть идеальными. Элементарно доктор может не вымыть руки, уже надев перчатки схватиться за что нибудь, за телефон, за компьютерную мышку, за сумку пациента, который попросил её подать, вариантов масса, а потом этими руками вам в рот. Асептику и антисептику никто не отменял.
- Пациент пренебрег рекомендациями, которые дал доктор.

Если все то, о чем я говорил выше, конечно, может случиться, хотя я думаю таких докторов не много. Я по крайней мере на это надеюсь. То некоторое время назад, когда я работал в клинике, которая находилась в «спальном» районе столицы, не так редко приходили пациенты, напрочь не соблюдающие рекомендаций.
И в баню ходили — «Как нельзя? Я уже 20 лет хожу! Стабильно, каждую неделю!»
И спортом активно занимались — «Как я мог бросить тренировки, я ведь готовлюсь к олимпиаде!»,
И будто не хотели слышали, что полоскать ничем НЕЛЬЗЯ! — «После удаления я пришел/ла домой и сразу пополоскал/а отваром лечебных трав, ромашки, коры дуба, и настоями на рогах оленя, чтобы обеззаразить. Мне посоветовала соседка.»
Даже элементарно самовольный отказ от назначенных доктором лекарственных препаратов может привести к тому, что возникнет огромное количество осложнений. Спросите, — каких препаратов? Классически, никто не хочет пить антибиотики. Хотя попадаются те, кто при первом же ощущении болезненности в горле, или начавшемся насморке, закидываются антибиотиками, как конфетами, не понимая того, что это не противовирусный препарат. А тут не хотят. Антибиотик назначается не просто так, а для того, чтобы избежать осложнений. Область, где находятся 8ые зубы особенно склонна к воспалениям и нагноениям. А значит, прием антибиотиков после удаления ретенированных 8х зубов обязателен. Если, конечно, вы хотите рискнуть и обзавестись окологлоточным абсцессом, как один мой пациент, решивший рекомендациями пренебречь, то пожалуйста.
Так о чем это я… Ах да. Не болит!

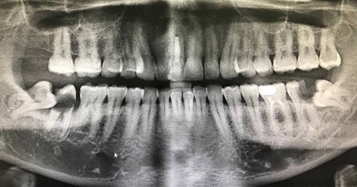
Вот наглядный пример такого того, к чему может привести несвоевременное удаление зуба мудрости. И не болит же! Мужчина обратился совсем с другой проблемой, обнаружили случайно, когда сделали панорамный снимок зубов.

Из-за неправильного положения 8ки на контактной поверхности зуба номер 7, образовалась достаточно глубокая кариозная полость, уходящая глубоко под десну.

Зуб мудрости успешно удален, а вот семерка на очереди… (8ка поделена на три фрагмента — коронковая часть и два корня)

Казалось бы, нормальный зуб. «Ну кариес, вон, пломба стоит одна, поставить еще одну, делов-то!». Все не так просто, так как кариозная полость уходит глубоко под десну, подобные зубы лечению не подлежат. Почему? Потому что при постановке пломбы, обработанная полость должна быть сухой. Добиться этого при таком поражении невозможно. Как минимум из-за того, что в десне содержится «десневая жидкость», которая постоянно будет подтекать в эту область.
Что же делать? Вариант один — удаление зуба и имлантация. Увы.
Едем дальше!

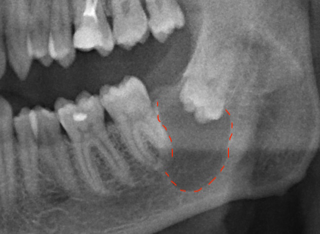
Как вы думаете, с чем пациент обратился? Нет, не с дикой болью или отеком, как многие могли подумать. А вот с чем — «Чет у меня еда забивается снизу справа, посмотрите.» То есть молодого человека беспокоит лишь то, что забивается еда… просто забивается еда, Карл! На вопрос, а болело ли? Ответ — «Да нет, никогда не болело и ничего не беспокоило.» Ну… порядок действий в этом случае вы уже знаете. Вот вам и — «подожду, пока не забеспокоит».
Если вы думаете, что это самое страшное, что может вас ожидать, как бы не так.

Вот такие кисты (а это еще не самая большая) могут расти в вашей челюсти и никак вас не беспокоить. Естественно зуб нужно удалять. Во избежании увеличения данного новообразования, и возникновения возможных осложнений. Перед этим каналы в соседнем 7ом зубе нужно пролечить, так как его корни находятся в просвете кисты.

Проблема решена. Пациент счастлив. А ведь всего этого можно было избежать, сходив планово на осмотр к стоматологу.

Вот такая картина нас ждала спустя год после удаления. Все затянулось. Все прекрасно!
А грозить это могло как переломом челюсти, так и поражением нижнечелюстного нерва, которое сопровождается онемением губы и подбородка со стороны причинного зуба, а онемение это может остаться на всю жизнь.
Проблема в том, что многие не ходят по врачам, даже когда болит. Хотя, не думаю, что это можно отнести к пользователям Хабра. Но для определенной категории людей достаточно сложно донести, что «не беспокоит», не показатель того, что все в порядке.
Могут появится вопросы типа, — «У меня кривая 8ка, а нужно удалять?» Отвечу сразу. Зубы мудрости надо удалять практически всегда! Все эти «практически всегда» я уже описал в этой статье, а как эти зубы удаляются — в этой. Тем более, когда 8ки прорезались неправильно или не прорезались вовсе.
Если у вас «вылезли» все зубы мудрости, не спешите радоваться и думать, что все хорошо. Вам может показаться, что они находятся в правильном положении, но не поленитесь и сходите к стоматологу, это может оказаться заблуждением.
На сегодня все, спасибо за внимание!
Stay tuned!
С уважением, Андрей Дашков
Автор: Андрей Дашков
