
Дорогие друзья, рад снова приветствовать вас! Мы уже многое обсудили на тему зубов мудрости, какие бывают, как удаляются, не болит не значит, что все в порядке, нечего делать в ЧЛХ и уж тем более «их вытягивать». Мне очень приятно, что многим из вас статьи понравились, но сегодня — я все же продолжу тему имплантации.
Все мы знаем, что наш народ ходит по врачам в исключительных случаях. Тогда, когда уже поздно. Поход к стоматологу, не является исключением. Конечно, это мало относится к пользователям Хабра, но мне бы хотелось рассказать, а главное показать вам, чем это может закончиться.
Итак, начнем!
Чего же все так боятся? Что их останавливает? У каждого своя причина. Если говорить о стоматологии, то на мой взгляд основных две, это страх, что будет больно (или еще больнее, чем сейчас) и страх того, что будет дорого. Мол лучше потратить эти деньги на отпуск, новую машину или… 8PACK OrionX. Приоритеты у всех разные.
Но мало кто задумывается о том, что несвоевременный поход ко врачу может только усугубить ситуацию. Зачастую, пока вы думаете «потерплю и само пройдет», ситуация может ухудшиться вплоть до появления серьезных осложнений, при которых единственным выходом будет вызвать скорую. Но бывает и так, что многие проблемы с зубами протекают бессимптомно и обнаружить их удается лишь случайно. Вот так «не болит и ладно», позже доходит до того, что ни один из зубов спасти не удается и приходится удалять их все. А как мы знаем, чем больше объем, тем тяжелее работа и выше стоимость. Какой бы сферы это не касалось. Поэтому крайне важно посещать стоматолога каждые полгода, чтобы своевременно отслеживать все эти «не болит». Почему полгода? Считается, что в течение не более чем полгода, можно обнаружить и ликвидировать проблему еще на начальных стадиях ее развития.
Вот один из примеров

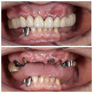
Пациентка достаточно трепетно относится к зубам. Как мы видим, она активно занималась лечением и восстановлением зубов. Но время идет, а следовательно, срок службы пломб, коронок и мостов подошел к концу. Кроме того, что портятся свои зубы, проблемы могут начаться и с установленными имплантатами, как в данном случае. Вторые также приходится удалять. Не говоря уже о том, что некоторые доктора до сих пор устанавливают пластиночные имплантаты без каких-либо показаний. Которые очень легко могут сломаться, как в данном случае. А все почему? Да потому, что не было комплексного подхода, плана лечения и видения ситуации. Вот скажите, зачем сюда «впихнули» тонкую пластину при такой ширине кости? А ведь наверняка перед операцией условия были еще лучше. Ну уж не хуже то точно.

Единственным верным решением будет удаление пластиночного имплантата. Хотя… удаление мягко сказано. Его придется выпиливать. Что я имею в виду? А я имею в виду, ВЫ ПИ ЛИ ВАТЬ. После этого слова, где-то на горизонте кукла Билли верхом на своем велосипеде начинает медленно, но верно приближаться, а возможность адекватно воспринимать информацию потихоньку исчезает, согласитесь.

Как мы знаем, у пластиночных имплантатов отсутствует интеграция. Это значит, они не срастаются/не приживаются в кости. Держатся лишь механически. При формировании ложа под имплантат делается «траншея» вдоль альвеолярного гребня, куда в свою очередь помещается данная пластина. Со временем в отверстия этого имплантата прорастает костная ткань. И получается что-то типа замка. Поэтому иным способом кроме как тем, что я указал выше удалить его не удастся. Вы скажете, а разве привычный, цилиндрический имплантат приходится удалять не таким же образом? Акей, теперь сравните площадь раны при удалении пластины около 2 см. в длину, и цилиндра, в среднем 4,5мм в диаметре. Есть разница? Более того, если по каким-то причинам, возникают проблемы с цилиндрическим имплантатом, то как правило, он либо не интегрировался (не сросся с костью), а следовательно, достать его можно и пальцами рук, либо произошла критичная убыль костной ткани вокруг имплантата, как в данном случае. Зачастую работа бормашины или ультразвукового наконечника сводится к минимуму, также, как и травма после манипуляции. Хотя, конечно, это никак не умаляет сложностей, которые связаны с восстановлением объема утраченной кости в этой области. Так как обычно остается внушительная «дыра».
Итак, после того как были учтены результаты диагностики, консультация ортопеда и, что немаловажно, пожелания пациента (!), было принято решение о удалении всех зубов на верхней и нижней челюсти, в том числе установленных ранее имплантатах. Кроме пластиночного, его я оставил на десерт.
Думаете на этом все? Можем начинать? Как бы не так! На этом этапе начинаются новые страхи, такие как — «Чтооо?! Удалить разом все?!», «А я вообще выживу?», «Как я потом деснами то жевать буду?»

На самом деле в этом нет ничего опасного. Вашему здоровью и уж тем более жизни ничего не угрожает. Более того никто без зубов из клиники вас не отпустит. Перед удалением в обязательном порядке ортопедом снимаются слепки челюстей, а после, техником в лаборатории изготавливаются полные съемные протезы. После того, как работа попадет в клинику, пациента записывают на удаление зубов, а следом сразу на примерку и сдачу конструкции в виде временных протезов. Это значит, что как вы пришли в клинику с зубами, так с зубами из нее и уйдете.
До и после удаления

Временный съемный протез, примеренный сразу после удаления зубов

Перед тем, как приступить к имплантации должно пройти около 2 месяцев, до момента полного заживления раны. Ждать больше этого срока нет никакого смысла, кость от этого не нарастет, а вот уменьшение ее объема все ярче будет выражаться со временем. Челюсть конечно не рассосется, но при длительном отсутствии зуба, а следовательно, нагрузки в той или иной области, костная ткань медленно начинает убывать. Чем дольше затягивать с восстановлением, тем хуже будут условия к моменту имплантации. Это значит, что вероятность и необходимость в костной пластике, лишь возрастет.
Что ж, два месяца позади и пришло время приступать к имплантации! А как же установить имплантаты, если нет ни одного зуба? На что ориентироваться, чтобы они стояли ровно, и на своем месте? Мы же не можем поставить их абы как. Чтобы не получилось вот это:

Поэтому используется хирургический шаблон. Специальная каппа, которая очень напоминает спортивную, с одним лишь условием, в нем проделаны отверстия в области тех зубов, которые в дальнейшем будут имплантироваться. Это требуется для того, чтобы хирург мог понимать в каком именно месте должен стоять имплантат. Ниже представлен позиционный шаблон, который служит лишь для разметки:

В случае с этой пациенткой изготовление отдельного хирургического шаблона не требуется. Ортопед при помощи фрез формирует подобные отверстия в самом временном протезе, который и будет выполнять функцию шаблона. После того, как операция проведена тот же доктор заделает эти отверстия специальным материалом и можно будет дальше пользоваться протезом до момента изготовления постоянной конструкции. И нет, класть его в стакан с водой перед сном будет ненужно.
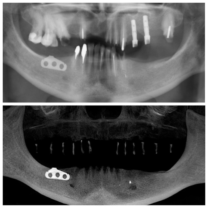
На панорамном снимке ниже по середине четко видны контрастные «белые цилиндры», это как раз и есть тот самый материал, которым были закрыты отверстия в верхнем съемном протезе. Сам протез не рентгеноконтрастен, поэтому его на снимке не видно.

Ну и на десерт. Узрите! Вот оно, ТВАРЬение! Об этом я и говорил, пластиночный имплантат с отверстиями в нем, в которые проросла костная ткань. Ну и сломанный «штырь», который был одной из опор для мостовидного протеза.

Что же было с другой опорой, спросите вы? Барабанная дробь. Свои зубы! Клык и первый премоляр (4ка). Пациентка принесла снимок. Он достаточно древний. Пленочный и не самый четкий, но что есть. (Сфотографировал на телефон)

Кто-то подумает, а что тут такого? Ну имплантат, ну зуб. Мост и мост. А то, что зубы имеют связочный аппарат, одна из функций которого амортизация. То есть при жевании, зубы несколько «пружинят», когда как имплантат жестко фиксирован в кости и лишен данной функции. Выходит нечто напоминающее рычаг. Происходит перегрузка области перехода «штыря» в тело имплантата, как следствие его перелом.
Ну что, подведем итоги!
Дорогие друзья, вы должны понимать, что не страшен ни большой объем работы, ни удаление всех зубов, ни костные пластики, ни количество установленных имплантатов. Страшно лишь то, что одно маленькое «потерплю», может вылиться в большое «надо было еще вчера». Чем больше и дольше вы терпите, тем объёмнее и продолжительнее получится ваше лечение. Почистив вовремя зубы, можно не допустить кариес. Залечив кариес на начальных стадиях, вы избавите себя от его осложнений в виде, к примеру, пульпита или периодонтита. Вылечив вовремя пульпит или периодонтит, удаление зуба обойдет вас стороной. Своевременное восстановление утраченного зуба, убережет вас от костных пластик и т.д. После всего этого говорить о том, что своевременное обращение к стоматологу, да и к любому другому доктору, оградит вас от ненужных нервов и трат, думаю нет смысла. Тут и так все понятно без слов. Поэтому чистите зубы, подтягивайтесь и давайте встречаться чаще на профилактических осмотрах, чем при проблемах с зубами.
Stay Tuned!
С уважением, Андрей Дашков
Что еще почитать про имплантацию зубов?
- Установка имплантата: как это делается?
- Синус-лифтинг и одномоментная имплантация
Автор: dashkovandrey
