
У каждого человека есть воспоминания, которые он старается забыть. Некоторые из них просто неприятны, вызывающие грусть, стыд, страх, а некоторые могут наносить серьезный ущерб, вызывая у человека самые настоящие психические расстройства (ПТСР, тревожное расстройство и т.д.). Если бы можно было манипулировать человеческой памятью, как данными на флешке, и удалять нежелательные, то было бы проще бороться с подобными недугами. Именно об этом и пойдет речь в рассматриваемом нами сегодня исследовании, в котором ученые указывают на то, что стимуляция определенных клеток гиппокампа может помочь «стереть» одни воспоминания и сделать ярче другие. Как именно ученым это удалось, насколько сложна подобная процедура и насколько она эффективна в борьбе с заболеваниями психики? На эти и другие вопросы мы будем искать ответы в докладе исследовательской группы. Поехали.
Основа исследования
Основным подопытным в данном труде является, как мы уже поняли, гиппокамп. Этот участок головного человека, состоящий из 30 миллионов нейронов, отвечает за наши эмоции и за переход кратковременной памяти в долговременную. Помимо этого, гиппокамп также играет важную роль в обработке и хранении пространственной информации, что в результате приводит к формированию пространственной памяти. Этот аспект наших воспоминаний используется нами ежедневно и постоянно, а мы об этом и не задумываемся. Путь от дома до работы, лица знакомых и близких, как правильно держать вилку и т.д. — это все кусочки нашей пространственной памяти. Проще говоря, ее формирует все, что нас окружает.

Еще одной важной задачей гиппокампа является, как бы это странно не звучало, забывание. Именно в этом отделе
С возрастом активность гиппокампа и обновление его нейронов замедляется, именно потому уменьшение гиппокампа является одним из ярких симптомов болезни Альцгеймера.
Ученые указывают на ранее проводившиеся исследования, в которых было доказано, что разные домены (участки) гиппокампа отвечают за разные эмоции и воспоминания: дорсальные — пространственная и временная память и контекстная информация; вентральные — реакция на стресс, тревогу и эмоциональное состояние в целом.
Следовательно, если каким-то образом заполучить контроль над этими конкретными доменами, то можно изменить механизм их работы. Ранее уже проводились опыты с оптической манипуляцией клеток дорсального региона гиппокампа, позволившие управлять поведенческой экспрессией позитивных и негативных воспоминаний. Однако пока остается неизвестно будут ли иметь подобный эффект манипуляции с вентральными доменами гиппокампа.
Помимо этого исследователи отмечают важность поисков механизма взаимосвязи воспоминаний, сохраненных гиппокампом, и поведением человека. Ибо именно от того, как и почему именно та или иная информация обрабатывается (вызывается из архивов памяти, так сказать), и зависит проявление стрессов, тревоги, посттравматического расстройства и даже депрессий.
Результаты исследования
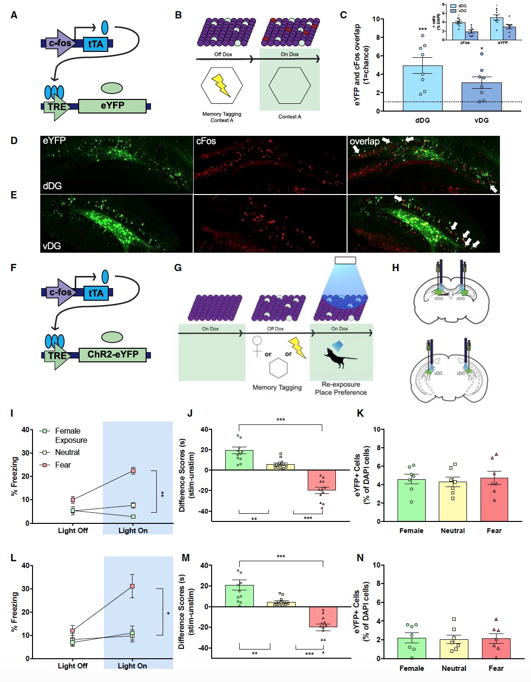
Для начала необходимо было определить какие участки гиппокампа на что и в какой степени реагируют.

Изображение №1
Для этого ученые применили индуцибельную* вирусную смесь AAV9-c-Fos-tTA и AAV9-TRE-eYFP, которую ввели в дорсальную или в вентральную зубчатую фасцию* гиппокампа мыши (самец). Эта смесь помечала нейроны зубчатой фасции, которые экспрессировали ген c-Fos в зависимости от доксициклина (Dox). В этот момент подопытные мыши наблюдали перед собой нейтральную обстановку, то есть они находились в спокойном состоянии и никаких внешних стрессов или поощрений не применялось (1А и 1B).
Индуцибельный* — фермент, который не вырабатывается клеткой, пока его синтез не индуцируется (активируется) его собственным субстратом или другим близкородственным соединением.
Зубчатая фасция* (зубчатая извилина) — зазубренная извилина, расположенная в глубине борозды гиппокампа и переходящая в ленточную извилину.
У мышей без Dox во время изучения окружающей информации увеличивалась экспрессия eYFP (т.е. eYFP+) в дорсальной и вентральной зубчатых фасциях, в отличие от контрольной группы испытуемых с Dox (1G, 1H, 1J и 1K).
На второй день у мышей наблюдалось значительное увеличение числа клеток eYFP+ и c-Fos+ именно в дорсальной части, а не в вентральной (1C-1F, 1I и 1L). Это подтверждает важность дорсального домена гиппокампа в процессе распознавания окружающей обстановки.
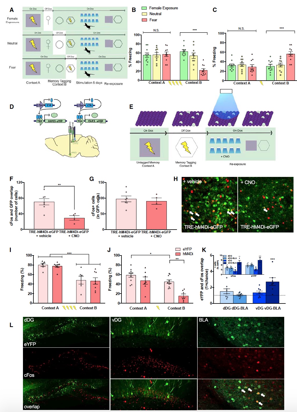
Далее ученые решили проверить активность клеток зубчатых извилин во время формирования страха и во время воспроизведения воспоминаний, связанных с ним, на следующий день.
Испытуемые мыши, как и в предыдущем тесте, получили укол вирусной смеси, потом им перестали давать Dox. Через 48 часов после этого мышей поместили в камеры, где к ним применялись 4 слабых разряда электрического тока (через пол камеры) с временным промежутком в 180 секунд. После этого мышей вернули в камеры с нейтральной обстановкой и вновь начали давать доксициклин (Dox).
На следующий день этих мышей опять поместили в шоковые камеры (при этом разряды уже не применялись) для воспроизведения чувства страха у них (2А и 2В).

Изображение №2
Данные
Как и ожидалось, в обоих участках гиппокампа (дорсальном и вентральном) сильно возросла реактивация клеток (2C-2E). Это объясняется тем, что оба эти участка играют роль в формировании воспоминаний, связанных с определенными эмоциями.
Промежуточный итог таков: клетки зубчатых извилин в дорсальной области реактивируются после пребывания мышей в нейтральной и в стрессовой обстановке; а вот клетки из вентральной области реактивируются исключительно после стрессовой.
В следующем этапе исследования ученые поставили перед собой задачу выяснить будет ли точная оптогенетическая* активация клеток вдоль продольной оси гиппокампа влиять на поведение, связанное с аппетитом и страхом.
Оптогенетика* — метод исследования нервных клеток посредством внедрения в их мембрану опсинов (светочувствительных рецепторов), которые реагируют на свет.
Подопытным мышам в дорсальную или вентральную области ввели зависимый от активности вирусный коктейль, экспрессирующий канал-родопсин-2 (ChR2). После на месте инъекции были имплантированы оптические волокна (2F и 2H).
Применение доксициклина было прекращено для маркировки клеток, ответственных за реакцию на следующие сценарии: нейтральная обстановка; стрессовая обстановка (применение электрического тока через пол камеры) и размещение в камере самки (2G).
Ученые активировали воспоминания, связанные со страхом, через дорсальные или вентральные части гиппокампа. Это приводило к замиранию самца-подопытного, что является стандартной реакцией мышей в случае опасности (2I, 2J, 2L и 2M).
Активация воспоминаний, связанных с нахождением самки в камере, приводила к перемещению самца в тут точку камеры, где была самка. То есть самец помнил, что вчера она стояла в левом углу, например, и при активации гиппокампа он перемещался именно туда.
А вот активация воспоминаний, связанных к нейтральной обстановкой, не вызвала никакой реакции у самца-подопытного, что также вполне ожидаемо (2K и 2N).
Вышеописанные опыты и их результаты практическим путем подтверждают, что дорсальная и вентральная области гиппокампа участвуют в формировании страха и воспоминаний, связанных с ним. Управление этими участками посредством реактивации определенных клеток позволяет вызывать у подопытных поведенческую экспрессию страха. Другими словами, эти опыты подтвердили факт возможности манипулировать воспоминаниями и эмоциями посредством управления гиппокампом.
Наконец, исследователи приступили к экспериментам, которые должны были ответить на вопрос — можно ли внести долговременные изменения в поведение, связанное с воспоминаниями, посредством внешнего воздействия.
Все подопытные сначала прошли этап со стрессовой камерой (обстановка А), после чего в камеру помещалась самка, следом была нейтральная обстановка и вновь стрессовая (обстановка В).
После проведения подготовки ученые провели процедуры реактивации клеток дорсальной и вентральной областей гиппокампа мышей (сеансы по 10 минут, 2 раза в день в течение 5 дней). Спустя еще 24 часа после реактивации был проведен поведенческий тест без применения световой стимуляции (3А).

Изображение №3
Процедура стимуляции дорсальной области у мышей, которые прошли стрессовый этап (4 разряда тока), показало значительное снижение реакции замирания (3B). А вот стимуляция вентральной области мышей, на которых воздействовали лишь одним разрядом, показала усиление реакции замирания (3С).
Дабы удостовериться, что подобные отличия в поведении подопытных не связано с работой базолатеральной миндалины, которая играет важную роль в обработке именно страха и стрессов, ученые использовали специальные рецепторы, которые активируются только на препарат DREADD. Это позволило ослабить базолатеральную миндалину во время проведения стимуляции гиппокампа (3D и 3E). За счет клозапин-N-оксида (CNO) была снижена активность cFos в hM4Di-экспрессирующих клетках, а исследуемые клетки остались нетронуты (3F и 3H).
Ученые отмечают, что хемогенетическое ингибирование обрабатывающих страх клеток базолатеральной миндалины во время стимуляции дорсальной области гиппокампа не предотвратило подавление реакции замирания (3G). То есть, клетки базолатеральной миндалины говорят
Самое любопытное в том, что усиление реакции замирания при стимуляции вентральной области нарушилось ввиду внедрения клеток базолатеральной миндалины (3Н). Опять же утрировано, то есть в случае вентральной области клетки базолатеральной миндалины смогли обойти стимуляцию и снизить реакцию замирания. Получается, что мы наблюдаем противоположные реакции в случае стимуляции дорсальной и вентральной областей.
Таким образом становится понятно, что влияние базолатеральной миндалины достаточно значимо, ибо ее механизм обработки страха и стрессов отличается от аналогичного в гиппокампе и является более первичным.
В отсутствие CNO подопытные, прошедшие стимуляцию клеток гиппокампа, ответственных за страх, показали реактивацию клеток в дорсальной и вентральной областях при возвращении в нейтральную обстановку (3K и 3L). Однако эти изменения были на уровне случайности, то есть весьма незначительны. При этом в группах мышей, которым стимулировали только вентральную область, наблюдалось значительное увеличение совпадения обработки страха клетками базолатеральной миндалины и активными клетками во время воспроизведения воспоминаний, связанных со страхом (3K и 3L).
В совокупности эти данные подтверждают, что реактивация клеток зубчатой извилины устойчиво изменяет нервную активность как в исследуемых клетках зубчатой извилины, так и в базолатеральной миндалине. А это говорит о том, что перепрограммировать клетки, обрабатывающие воспоминания, достаточно реально.
Для более детального ознакомления с нюансами исследования рекомендую заглянуть в доклад ученых.
Эпилог
Данное исследование не только на практике подтвердило факт того, что разные участки гиппокампа отвечают за разные, хоть и связанные между собой процессы, но и продемонстрировало реальную возможность влиять на процесс обработки воспоминаний извне.
Как я уже говорил ранее, у всех есть то, что мы были бы рады забыть. Болезненные воспоминания могут влиять на настоящее и будущее человека, в зависимости от степени болезненности, так сказать. Конечно, в случае манипуляций с памятью могут возникнуть морально-этические вопросы: должен ли человек забывать что-то; а если кто-то использует подобную методику, чтобы избежать ответственности; а если кто-то применит эту программируемую амнезию на ком-то без его согласия и т.д.
С появлением новой технологии или методики, которые вмешиваются в процессы, ранее недоступные для манипуляций, всегда вызывают много споров. Всегда будут противники и сторонники. Однако, если верным образом ограничить использование технологий, которые в дурных руках могут служить во вред, то проблем можно избежать.
Пока рано судить технологию, ибо она пока на начальном этапе. Сами же ученые не намерены останавливаться на достигнутом и будут продолжать свое исследование. По их заявлению подобная технология позволит бороться с многими психическими расстройствами, связанными с очень болезненным опытом, который многие рады забыть.
Благодарю за внимание, оставайтесь любопытствующими и хорошей всем рабочей недели, ребята.
Спасибо, что остаётесь с нами. Вам нравятся наши статьи? Хотите видеть больше интересных материалов? Поддержите нас оформив заказ или порекомендовав знакомым, 30% скидка для пользователей Хабра на уникальный аналог entry-level серверов, который был придуман нами для Вас: Вся правда о VPS (KVM) E5-2650 v4 (6 Cores) 10GB DDR4 240GB SSD 1Gbps от $20 или как правильно делить сервер? (доступны варианты с RAID1 и RAID10, до 24 ядер и до 40GB DDR4).
Dell R730xd в 2 раза дешевле? Только у нас 2 х Intel TetraDeca-Core Xeon 2x E5-2697v3 2.6GHz 14C 64GB DDR4 4x960GB SSD 1Gbps 100 ТВ от $199 в Нидерландах! Dell R420 — 2x E5-2430 2.2Ghz 6C 128GB DDR3 2x960GB SSD 1Gbps 100TB — от $99! Читайте о том Как построить инфраструктуру корп. класса c применением серверов Dell R730xd Е5-2650 v4 стоимостью 9000 евро за копейки?
Автор: Dmytro_Kikot
