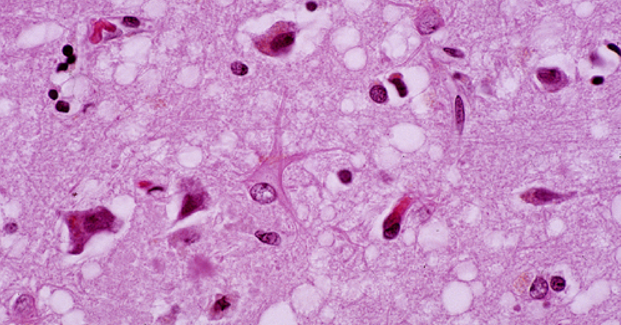
Прионы — это белковые молекулы, даже не вирусы и тем более не хищники, но они — одни из самых опасных и коварных вещей, знакомых человеку. Попадая в организм, они вызывают необратимые и фатальные изменения в структуре головного ; отбросив научные тонкости, можно сказать, что из-за них
О прионных болезнях известно немного — к счастью, они довольно редки. Чаще всего они развиваются произвольно (в 90% случаев), около 10% передается по наследству, еще 1% приходится на заражение от животных или во время медицинских процедур. Способов лечения не существует; известно, что все прионы млекопитающих — это дефектные формы белка PrPC, который кодируется геном PRNP, однако структура этих форм плохо изучена, и ученые до сих пор точно не знают, как прионные формы связываются в
Одно из главных затруднений, с которым сталкиваются ученые, изучающие прионы — это сложность выделения объекта изучения. Были попытки внести мутацию, отвечащую за развитие прионных болезней у грызунов, в геном безвредных бактерий и заставить последние синтезировать прионы; однако недавние исследования показали низкую эффективность этого метода. Человеческие же прионы до сих пор вообще не удавалось получить in vitro. Группа ученых из нескольких университетов США справилась с этой задачей. В статье, опубликованной на этой неделе в журнале Nature Communications, исследователи описывают реакцию нормального человеческого белка PrPC и прионов — возбудителей болезни Крейтцфельдта — Якоба в присутствии нового фермента. Сравнив структуру полученных таким образом прионов с тем, что были получены из организма пациента, ученые убедились в том, что синтезированные ими прионы идентичны тем, что вызвали болезнь у человека. У мышей, получивших инъекции синтетических прионов, патологические нарушения структуры
Получив с помощью своей методики достаточное количество прионной формы белка, ученые установили, какие части дефектной молекулы важны для репликации белка в живом организме, и какие отвечают за связывание с другими молекулами в
