
Мы решили, что красочные фотографии генитального герпеса — это не прям то, что вы хотели бы видеть. Поэтому вот вам модель вируса герпеса второго типа, который его вызывает.
Почти все из нас в детстве болели ветрянкой. Некоторые, впрочем, не успели в детском саду поучаствовать в важных ритуалах по нанесению традиционной окраски под зелёного леопарда. В итоге во взрослом возрасте эти счастливчики вынуждены экстренно эвакуироваться как можно дальше при виде пятнистых детей характерной окраски. И не зря.
Сегодня мы будем говорить о целой группе заболеваний, которые на первый взгляд вроде бы не связаны между собой: это герпес, ветрянка и другие проявления вирусов из семейства Herpesviridae. С вероятностью выше 90 % вы инфицированы хотя бы одним из них. В целом они относительно безвредные паразиты, но иногда могут приводить к интересным спецэффектам вроде попытки самостоятельного удаления своих зубов плоскогубцами. Об этом и многом другом мы сегодня и поговорим. Кладите рядом мазь с ацикловиром, зелёнку и приступим.
Основные стратегии вирусной инфекции

Типичный репликативный цикл вируса
Вирусы не совсем живые с точки зрения современной науки. По своим свойствам это скорее упорядоченные белковые структуры с нуклеиновыми кислотами внутри. С одной стороны, они умеют размножаться, им свойственна изменчивость. С другой — они облигатные паразиты, которые не могут существовать вне клетки хозяина. Сложность рибосом и других систем, которых они эксплуатируют, значительно превышает сложность строения самой вирусной частицы.
Пока рядом нет нужной клетки, к которой они могли бы прикрепиться, их свойства напоминают скорее безжизненные комки биополимеров. Своего аппарата синтеза белка и обмена веществ как такового у них нет. Но всё меняется, как только вирусная частица пассивно соприкасается с нужным клеточным рецептором, который комплементарно подходит к поверхностным белкам вирусного капсида. Вирусная частица сливается с мембраной клетки, вводит свой простой генетический код и запускает массовое воспроизводство своих копий на «фабрике» клетки хозяина.
Вирусы крайне изменчивы, особенно те, что хранят информацию в одноцепочной РНК без «резервной копии» для восстановления в случае ошибки. С одной стороны, чрезмерно сильные изменения приводят к нежизнеспособным дефектным вирионам, которые не могут нормально собраться в рабочую копию. С другой, эти же свойства позволяют из миллиардов частиц очень быстро отбирать наиболее приспособленные. Так, есть интересные исследования по скорости мутагенеза ВИЧ-1. Они показывают, что вирус делает настолько много ошибок при размножении, что на появление версии, нечувствительной к одиночному препарату, нужны всего одни сутки. Это одна из причин, почему терапия всегда комбинированная.
Если же частота ошибок в репликации превышает некоторый порог, то популяция вирионов погибает. Дефектных нежизнеспособных частиц становится так много, что это сводит на нет все преимущества от скоростной эволюции.

Молнупиравир, нарушающий синтез РНК у коронавируса
Есть даже отдельная группа препаратов, которая разгоняет мутагенез вирусов до уровня, когда он начинает штамповать почти исключительно неработающие версии. К сожалению, такие препараты могут одновременно повышать риск образования наиболее эффективных мутантов, которые уходят как от препаратов, так и от распространённых видов антител. Есть даже препринт, который говорит, что мы доигрались с молнупиравиром и ускорили эволюцию вируса, вызывающего ковид.
Таким образом, вирусам выгодно сохранять достаточно агрессивный уровень изменчивости для ускользания от антительного ответа, но не разгонять мутагенез до значений, когда от него вреда больше, чем преимуществ. Есть распространённое заблуждение, что в процессе естественного отбора вирусы становятся всё более безвредными. Это действительно очень вероятный вектор развития, но вовсе не обязательный. Да, если сразу после инфицирования у пациента начинает течь ликвор из ушей или появляется другая тяжёлая симптоматика, то контактов с ним все будут избегать. Это снижает шансы для репликации в новом носителе, а потому вирусу более выгодно быть незаметным. При этом заботиться о носителе ему вовсе не обязательно. Главное, чтобы хост успел передать новое поколение вирионов как можно большему числу других носителей. Его дальнейшая судьба не оказывает влияния на эволюцию вируса, так как цикл распространения уже завершён.
Именно поэтому та же натуральная оспа за десятки тысяч лет вовсе не превратилась в малозаметную сыпь, так как состояние пациента становится тяжёлым уже после того, как он заразит десяток других носителей. Многие практически бессимптомные вирусы могут приводить к тяжёлым последствиям спустя годы после инфицирования, так как заметные негативные последствия для носителя становятся видны уже после распространения. Это вполне характерно для ВИЧ, вирусов гепатита B и C, онкогенных линий вируса папилломы человека и других.
Вирусы из группы Herpesviridae в процессе своей эволюции как раз и дошли почти до идеального рецепта максимально широкого распространения, который позволил им инфицировать почти 100 % населения планеты. Они малозаметны: у большинства заражённых людей симптоматика либо отсутствует вовсе, либо почти незаметна. Они прекрасно распространяются контактным путем с поцелуями, биологическими жидкостями и предметами обихода. Всё остальное время они прочно встраиваются в геном и дремлют в нервных ганглиях, изредка активируясь. Одна из гипотез объясняет заразность «здоровых» носителей герпеса тем, что вирус не активируется одновременно с выраженными клиническими проявлениями. В каждый момент времени вирионы собираются только в небольшом числе клеток. В итоге нет явных болезненных проявлений, а в биологических жидкостях присутствует концентрация вирионов, достаточная для передачи. Так мы получили этих идеальных незаметных паразитов и «тихую пандемию», которая мало кого тревожит.
Классификация герпесвирусов

Вирусы из семейства Herpesviridae под электронным микроскопом
Всего к этой категории ДНК-вирусов относится 86 видов, из которых только семь типов вызывают заболевания у людей:
- Тип 1. Вирус простого герпеса первого типа. Чаще всего — оральный, реже — генитальный.
- Тип 2. Вирус простого герпеса второго типа. Чаще всего — генитальный, редко — оральный.
- Тип 3. Вирус ветряной оспы. Ветрянка и опоясывающий лишай впоследствии.
- Тип 4. Вирус Эпштейна — Барр. Инфекционный мононуклеоз. Очень редко — онкологические заболевания.
- Тип 5. Цитомегаловирус человека. Инфекционный мононуклеоз.
- Тип 6. Розеоловирус. Одна из предполагаемых причин синдрома хронической усталости.
- Тип 7. Герпесвирус, ассоциированный с саркомой Капоши.
Остановимся на ключевых: вирус простого герпеса обоих типов, вирус ветряной оспы, вирус Эпштейна — Барр и цитомегаловирус.
Вирус простого герпеса обоих типов

Пузырьки на коже губ — классическое проявление ВПГ-1.
Как и вирус ветряной оспы, относятся к одной группе альфагерпесвирусов. Этим отчасти объясняются схожие симптомы и патогенез.
Если вы думаете, что для заражения тем же генитальным герпесом нужно заниматься сексом с инфицированным человеком в острой фазе, то ошибаетесь. Крайне болезненные пузырьки на коже и слизистых гениталий для большинства людей — не очень хороший мотиватор для эротических игр. Целоваться, когда полость рта просто горит от острого герпетического стоматита, тоже не тянет.
Согласно исследованиям, коварный вирус распространяется в первую очередь от бессимптомных носителей, у которых вирус не размножается массово, вызывая болезненные проявления. У таких людей каждые несколько дней происходит выброс вирионов в достаточной для инфицирования дозе (102–109 копий ДНК на мл), но недостаточной для проявления выраженных симптомов.
Вылечиться от герпеса радикально невозможно. После инфицирования он навсегда встраивается в геном клетки хозяина, где может дремать годами без активации. Многие пациенты формируют универсальные антитела, которые позволяют связывать не только вирус герпеса первого, но и второго типа. Это, впрочем, только помогает его распространению, так как стерильный иммунитет при этом не формируется. Гуморальный ответ в виде антител уменьшает симптоматику, но не мешает дальнейшему распространению. Человек просто выделяет вирионы бессимптомно.
Стоматологи по роду своей деятельности чаще всего сталкиваются с герпетическими высыпаниями в полости рта в виде герпетического гингивостоматита. Это крайне болезненное состояние, когда пациент не может нормально принимать пищу из-за множества мелких пузырьков на слизистой полости рта. В дальнейшем эти пузырьки лопаются, обнажая подлежащие слои слизистой оболочки. Процесс крайне болезненный, но, к счастью, бывает в основном только при первичном заражении, когда антител ещё нет. Дальнейшие рецидивы, как правило, ограничены единичными высыпаниями на слизистых и коже губ.

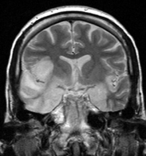
МРТ женщины 33 лет с герпетическим поражением мозга
Одним из наиболее грозных проявлений вируса герпеса является герпетический энцефалит.
Вирус при этом мигрирует по аксону тройничного нерва в головной и далее активно развивается, преимущественно в височных долях. У пациента при этом резко поднимается температура, начинаются эпилептические припадки и другие неврологические симптомы.
Течение тяжёлое, а впоследствии часто развивается деменция. К счастью, это довольно редкая история с рисками в районе 1:500 000.
Радикального лечения не существует, так как вирус прочно встраивается в геном. Основным и главным принципом терапии является назначение специфических противовирусных препаратов в первые 24 часа от момента появления первых предвестников заболевания. Если проще, то лечиться надо начинать как можно раньше, а не когда высыпало на всю полость рта и гениталии. Обычно это валацикловир и ацикловир в различных формах. Для пациентов с тяжёлым рецидивирующим течением часто подбирают схемы с длительным применением специфических противовирусных препаратов, но в любом случае это должен делать врач-инфекционист.
Вирус ветряной оспы

Типичная ветряная оспа у ребёнка
Почти каждый из нас болел ветрянкой в детстве. Это весьма интересный опыт, когда родители запрещают тебе чесаться, одновременно раскрашивая все высыпания во все цвета радуги, если вам посчастливилось родиться на территории бывшего СССР. В ход идёт бриллиантовый зелёный, метиленовый синий и ядовито-розовый фукарцин. Внятного эффекта с точки зрения течения болезни не достигается, но выглядит устрашающе, особенно в комбинации. Во многих других странах ритуал раскрашивания не является обязательным, и обычно лечение сводится к жаропонижающим, антигистаминным и различным местным препаратам для снижения зуда.
Вирус крайне нестойкий в окружающей среде и погибает примерно за 10 минут на открытом воздухе. Вместе с тем он крайне заразен. Именно поэтому он считается традиционно детским заболеванием, так как большинство с ним знакомится ещё в детском саду.
Что интересно, иммунитет от этого типа герпесвируса крайне стойкий и обычно пожизненный.
У большинства людей повторные заражения с высыпаниями встречаются крайне редко. В отличие от вирусов простого герпеса первых двух типов антитела достаточно полноценные, чтобы не допускать повторных высыпаний и предотвращать заразность носителя.
Тем не менее вирус, по-видимому, продолжает существовать в нервной ткани без внешних проявлений. В 10–15 % случаев у ранее болевших это приводит к другой, крайне болезненной форме заболевания — опоясывающему лишаю.
В случае рецидива в этой форме вирус распространяется преимущественно по ходу нервных стволов. Чаще всего это межрёберные и тройничные нервы. Обычно поражение одностороннее.
Начинается всё с легкого покалывания, которое усиливается. Затем начинаются невралгические боли в области будущих высыпаний и, наконец, появляются пузырьки на коже.
Обычно это длится несколько недель, а боли сохраняются до нескольких месяцев. Так как тройничный нерв — это как раз тот самый нерв, который иннервирует зубные ряды, то такие пациенты часто попадают к нам на приём. Обычно пациент страдает от сильной зубной боли на половине верхней или нижней челюсти, но не может показать на причинный зуб. Из-за того, что причина болезненных ощущений — это вирус, на снимках мы нередко видим абсолютно здоровые зубы, которые ну никак не должны давать симптомов острого пульпита. Боль чаще всего плохо снимается анальгетиками и может просто сводить с ума пациента. У нас был случай, когда пожилой мужчина не поверил нескольким стоматологам, которые говорили, что на верхней челюсти у него нет больных зубов и ему нечего лечить. В итоге мужчина самостоятельно удалил плоскогубцами половину зубов с больной стороны. К сожалению, болевого синдрома это не снизило. Уже потом он попал к нам, где мы смогли минимизировать нанесённый ущерб и назначить ему адекватную схему обезболивания. В нашем случае это обычно мощные нестероидные противовоспалительные препараты, но в некоторых странах стандартная терапия может включать в себя даже наркотические анальгетики опиоидного ряда.
Вакцина от ветрянки
Против этого вируса есть вакцина — Varilrix. Это живая вакцина на базе ослабленной и более безопасной версии вируса, которая чаще всего даже не вызывает высыпаний после введения.
Исследования показывают, что она формирует достаточно стойкий и длительный иммунитет.
Почему эта вакцина важна? Как я уже писал ранее, герпесвирусы нацелены преимущественно на нервную ткань. У взрослых заражение вирусом ветряной оспы может приводить к тяжелейшим неврологическим последствиям, которые у детей крайне редки. Так вот, один из основных плюсов этой вакцины — её можно применять для экстренной вакцинопрофилактики.
Если вы счастливчик, который не ходил в детский сад и умудрился не подхватить до 30 лет это заболевание, а затем внезапно столкнулся в тесном лифте с пупырчатым ребёнком, то у вас есть 72 часа. За это время вы должны с криками «Ветрянка! Ветрянка!» успеть добежать до ближайшей клиники, где вам введут однократно дозу доброй версии этого вируса. Риски тяжёлого течения при этом многократно снижаются. Если же вы ещё и сознательный взрослый, который ранее не болел, то лучше не ждать случая, а вакцинироваться заранее. Рано или поздно вы неудачно заберёте своего ребёнка из детского садика.
Вирус Эпштейна — Барр
Антитела к этому вирусу есть примерно у 90 % людей. Это ещё один представитель семейства герпесвирусов, который был открыт случайно при тестировании гипотезы о плохой гигиене как причине онкологии у детей в Уганде.

«Опухолевый пояс» в работе Беркитта
В 1961 году британский хирург Дэнис Беркитт вернулся из Кении в Лондон и анонсировал трёхмесячный «тур» по Африке длиной в 10 000 миль с целью поиска причины опухолей челюстей у детей. К этому моменту хирург описал уже 38 таких однотипных случаев у детей до семи лет.
На тот момент теория об онкологии вирусного происхождения считалась чем-то маргинальным.
Собрав данные о тысячах таких случаев, Беркитт нарисовал карту, на которой явно прослеживалась географически ограниченная локализация заболевания. На этом выступлении сидел вирусолог Майкл Эпштейн, который крайне заинтересовался проблемой и предположил вирусную природу заболевания. Они договорились о сотрудничестве с Беркиттом, и тот начал отправлять ему образцы.
Когда Эпштейн впервые выделил вирус и получил его изображение в электронном микроскопе, то сразу понял, что в семействе герпесвирусов — пополнение. На тот момент их было известно только три. Его группа опубликовала научную работу, но в неё никто не поверил, так как вирусная природа опухолей была ещё чем-то неизвестным ранее.
Эпштейну помогли его коллеги из Филадельфии (США) Вернер и Гертруда Хенли, которые помогли выделить клеточные линии и отработать методику репликации вируса в лабораторных условиях. Тогда вирус и получил имя своего первооткрывателя: Эпштейна — Барр. Вторая фамилия принадлежит его аспирантке, с которой он разработал способ культивации опухолевых клеток из образцов Беркитта.
После того как вирус был выделен и разработаны тесты для выявления антител к нему, начали массово тестировать всех подряд. Внезапно выяснилось, что положительные антитела к нему имеют почти все люди, включая представителей изолированных племён. Связь между вирусом и лимфомой Беркитта была подвергнута сомнению.
Разрешить эту проблему помог случай с заболевшей сотрудницей из лаборатории в Филадельфии, которую использовали как отрицательный контроль: у неё не было антител. Она пришла на работу с температурой и воспалившимися лимфоузлами шеи. Гертруда Хенли взяла у неё анализ крови на всякий случай, так как это было похоже на типичный случай инфекционного мононуклеоза, который ещё называли болезнью поцелуев.
После этого Хенли решила перепроверить кровь лаборантки на антитела к вирусу Эпштейна — Барр и внезапно обнаружила, что она больше не подходит для контроля, так как титр антител резко взлетел вверх.
Инфекционный мононуклеоз был известен довольно давно, ещё с XIX века, однако причину особо никто не искал. Но в 1967 году в филадельфийской лаборатории наконец установили его причину и выявили связь с лимфомой. «Болезнь поцелуев» называется так из-за наиболее распространённого способа инфицирования в подростковом и юношеском возрасте. Если человек без антител поцелует инфицированного в активной фазе выделения вируса, то у него начнётся острая фаза инфекционного мононуклеоза. В большинстве случаев она протекает бессимптомно или в виде лёгкой припухлости лимфоузлов глотки. После этого человек становится пожизненным носителем.
Опухоль развивается в тех случаях, когда Т-лимфоциты, которые формируют клеточный иммунный ответ, не справляются и заражённые B-лимфоциты начинают бесконтрольно делиться, мутируя в опухолевые. Как правило, у здоровых людей этого не происходит. Если же в результате ВИЧ-инфекции или врождённой мутации Т-лимфоциты получились дефектными, то заражение вирусом Эпштейна — Барр может приводить к онкологии.
Насколько опасна эта группа вирусов?
Несмотря на то, что потенциально герпесвирусы могут быть причиной онкологических и острых неврологических заболеваний, они не очень опасны для большинства людей. Судя по ряду исследований, обострения с тяжёлым поражением слизистых и кожи характерны только для людей с врождённым или приобретённым иммунодефицитом.
В какой-то мере регулярные рецидивы лабиального герпеса можно считать маркером генетических дефектов иммунной системы. Большинство здоровых людей просто не заметит этих типов вирусов и продолжит их распространять. Соответственно, онкологические проблемы — это точно так же следствие иммунных нарушений и в отличие от онкогенных линий ВПЧ не так критичны для большинства людей. Ходить в скафандре и отказывать себе в радости целоваться с кем-то точно не стоит.
Единственная рекомендация, которую я однозначно хотел бы дать, — обязательная вакцинация от вируса ветряной оспы, если вы не болели ранее. Это с большой вероятностью поможет избежать тяжёлых форм течения болезни.
Если же вы страдаете от рецидивирующих форм герпетических высыпаний, то начать стоит с консультации с грамотным врачом-инфекционистом. Вылечиться полностью не получится, но скорректировать иммунный статус и снизить вирусную нагрузку ациклическими нуклеотидными препаратами вполне возможно.
Также имеет смысл обратиться к инфекционисту, если вам 15–25 лет и вы проснулись с температурой и очень болезненными лимфоузлами головы и шеи. Картина может напоминать стрептококковый фарингит, будто у вас просто очень болит горло. Часто он может сопровождаться увеличением и болезненными ощущениями в области селезёнки.
Специфического лечения нет, а ацикловир не имеет убедительно доказанной эффективности при этом заболевании. Тем не менее будет нелишним ограничить физические нагрузки на месяц из-за повышенных рисков разрыва селезёнки.
Напоминаю, у меня был другой пост про герпес, где пациенту зубы через один вырвали, вот.
Ещё посты:
- Хирургические случаи: пост про то, как пациент терпел зубную боль до момента, когда ему пришлось резать горло в нескольких местах. Про пациента-проказника, выпавшего с третьего этажа и упавшего на лицо. Про пациента-спортсмена, неожиданно затормозившего в дерево.
- Для гиков: про то, как именно можно умереть от анестезии прямо на приёме терапевта. Как самостоятельно читать КТ. Про моего коллегу Андрея, хирурга senior+. Про Гусейна, его навигационные шаблоны и участие в разработке ПО для хирургов по всему миру. Как Гусейн разрабатывал матмодель и софт для хирургии по пересборке черепа.
- Инструкции: FAQ про пломбы. Что вам нужно знать про гигиену зубов. Как правильно бояться стоматолога. Что вам нужно знать про наркоз и седацию. Реплантация зубов: как правильно собирать свои зубы в пакетик. Что делать, когда вы нафаршированы зубами (про молочные зубы). Про зубы ваших пожилых родственников. Про типичные зубы ИТ-пациента. Коренные зубы — это атавизм, и почему их часто удаляют «на всякий случай». Как вылечить зубы на год вперёд перед долгой поездкой.
P.S. Если вы дойдёте до наших клиник, то говорите, что вы с Хабра, будет скидка 5%.
Автор: Антон Артеменко

