
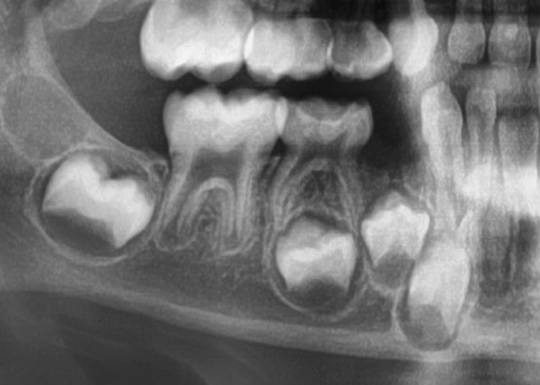
На этом рентгеновском снимке челюсти
Молочные зубы придуманы природой не просто так. И если Зубная Фея придёт за ними раньше времени, ничем хорошим для ребёнка это не закончится. В лучшем случае отделается искривлением зубного ряда и ношением брекетов, в худшем — недоразвитой челюстью, исправить которую уже практически невозможно. А если молочный зуб поразит кариес, то плохих сценариев ещё больше, от сравнительно безобидного, но крайне болезненного периостита до обширной флегмоны и септического шока.
Поэтому молочные зубы нужно обязательно лечить, и чем быстрее — тем лучше. В идеале это нужно делать при первых признаках появления кариеса, потому что молочные зубы разрушаются очень быстро. Если момент уже упущен, то вариантов остаётся всего три:
- Пломбы — при незначительном поражении тканей зуба.
- Коронки — если поражено более 40% окклюзионной поверхности.
- Удаление с заменой временной конструкцией — когда зуб не спасти и речь идёт уже о здоровье ребёнка.
В приоритете у стоматолога всегда сохранение родных зубов детей, потому что они очень важны для дальнейшего развития его зубочелюстного аппарата. Поэтому последний вариант приберегаем на самый крайний случай. Но давайте обо всём по порядку.
Предупреждение: под катом могут быть неприятные фото.
Зачем вообще лечить молочные зубы у ребёнка?

Так выглядят молочные зубы ребёнка. Да, они тоже имеют корни, которые по мере роста зачатка постоянных зубов растворяются, из-за чего молочный зуб и выпадает.
Меня, честно, удивляет, когда на приём ко мне приходят родители со своими детьми и спрашивают: «Зачем лечить молочные зубы, если они и так выпадут?». Подробно эту тему я уже затрагивала в предыдущей статье. Если кратко — по следующим причинам.
Для нормального развития челюстей. Сразу после рождения они у ребёнка недоразвитые, маленькие — поэтому он может пройти по узкому родовому каналу матери и при кормлении грудью не откусить её соски. Соответственно, в течение последующих лет челюсти будут расти и формироваться, и в этом процессе молочные зубы играют большую роль. Если их потерять раньше времени, развитие челюстного скелета замедлится и он останется несформированным. А когда вместо выпавших молочных зубов будут вырастать постоянные, им просто не хватит места на маленьких челюстях. Как результат — искривление зубного ряда, неправильный прикус, нарушенное пережёвывание пищи (и, соответственно, пищеварение), лицевая деформация. Чем это грозит ребёнку в социальном и психологическом плане, особенно в сложном подростковом возрасте, думаю, объяснять не нужно. А ортодонтическая коррекция, особенно когда челюсть уже сформировалась, очень сложная, долгая и дорогая. Да и результат её не то чтобы идеальный.
Предотвращение инфекции. Если молочный зуб поражает кариес, инфекция может проникнуть вглубь и распространиться на зачаток постоянного, расположенный под корнем. В результате он либо вообще не развивается в полноценный крепкий зуб, либо прорезается с дефектами. И это в лучшем случае! В худшем инфекция распространяется ещё глубже, в мягкие ткани и жировую клетчатку, появляется флегмона — острое разлитое гнойное воспаление клетчаточных пространств без чётких границ. А там рукой подать до остеомиелита челюсти, воспаления средостения и сепсиса. Даже если их удастся вылечить, у ребёнка из-за обширного поражения мягких тканей и костей могут остаться необратимые последствия, в том числе внешние. Опять же, это резко снизит качество его жизни, сформирует у него психологические комплексы, которые обязательно скажутся уже во взрослом возрасте.
И это не говоря о таких «стандартных» последствиях детского кариеса, как повышенная чувствительность зубов, пульпит, периодонтит (воспаление тканей, прилегающих к зубному корню) и т. д.
Поэтому лечить кариес молочных зубов нужно обязательно, и чем скорее — тем лучше. Молочные зубы разрушаются гораздо быстрее, чем постоянные. В силу особенностей строения эмали молочных зубов для них характерен кариес в острейшей форме. Мгновенная деминерализация, при которой инфекция успевает разрушить зуб до обломившегося «пенька» в очень короткие сроки. При этом даже окрашивание пигментами из пищи может не успеть произойти. То есть вместо привычных тёмных точек на зубе будет рыхлая, рассыпающаяся под инструментом ткань.
Из-за чего разрушаются молочные зубы?
Собственно, ребёнок может потерять молочный зуб по двум причинам. Во-первых, элементарно сломать или выбить — например, во время детских игр, какой-то физической активности из-за случайных падений, столкновений, ударов часто страдает фронтальный сегмент зубного ряда. Конфликты с драками в детском саду или школе тоже никто не отменял. Плюс дети любят погрызть что-нибудь твёрдое, что тоже может расколоть зуб.
Во-вторых, это кариес молочных зубов, то есть их разрушение под воздействием микрофлоры ротовой полости. Основные причины:
Недостаточная гигиена полости рта. Здесь всё просто — на нечищеных или плохо почищенных зубах быстро скапливаются бактерии, которые перерабатывают остатки пищи и начинают выделять молочную, муравьиную, масляную и другие органические кислоты. Сначала происходит деминерализация (вымывание кальция) эмали, затем разрушается её органический матрикс. Часто недостаточная гигиена полости рта у ребёнка объясняется страхом родителей стереть эмаль или повредить дёсны зубной щёткой. Но здесь нужно просто правильно подобрать щётку и технику чистки.
Углеводистая и мягкая пища. Высокое содержание быстро ферментируемых углеводов (сахарозы, глюкозы, фруктозы, лактозы) в употребляемой ребёнком пище приводит к их брожению в полости рта и повышению кислотности среды. К сожалению, практически вся еда, доступная современным детям (включая детское питание вроде той же «ФрутоНяни»), содержит сахар. Не говоря уже о шоколадках, конфетах, газированных напитках и т. д. Кроме того, многие родители делают большую ошибку, после грудного периода продолжая кормить детей мягкой пищей. Присутствие в питании твёрдых компонентов обязательно по двум причинам:
- Во-первых, они создают жевательную нагрузку, необходимую для корректного развития челюстей и челюстной мускулатуры.
- Во-вторых, твёрдые компоненты чистят зубы от зубного налёта, снижая вероятность развития кариеса.
Конечно, это не значит, что ребёнок с малых лет должен грызть сухарики или орехи в скорлупе. Чрезмерная нагрузка на хрупкую детскую эмаль тоже приводит к её разрушению. Но умеренно твёрдая пища, например, растительные волокна, в рационе ребёнка должна присутствовать. Морковка, яблоки и кусок шашлыка на совместных посиделках — это то, что нужно.
Плохая экология. Несколько исследований распространённости кариеса среди детей и подростков Швеции (два проведены в 1995 и 1997 годах, ещё одно — в 2007-2009 годах) показали, что «городские» страдают от заболеваний зубов чаще, чем «сельские». Похожие результаты дали и исследования, проведённые в Бангладеш. Исследователи не делают однозначных выводов о том, влияет ли на детский кариес именно плохая экология в городе или доступ городских детей к углеводистой пище — скорее всего, причина комплексная. В то же время исследование, проведённое в городе Кемерово, показало, что кариесом молочных зубов больше страдают дети, проживающие в наиболее загрязнённых районах. Впрочем, в аналогичном исследовании в городе Чапаевске, считающемся одним из самых загрязнённых в России, подобная связь не прослеживается.
Низкая кариесорезистентность. У каждого ребёнка свой уровень сопротивляемости зубов кариесу. Он зависит от общего иммунитета, который регулирует количество микробов в ротовой полости, химического состава зубов — в частности, концентрации фтора в эмали. То есть ребёнок с ослабленным иммунитетом более подвержен тому, что на его зубах будут плодиться кариозные бактерии. Здесь ещё нужно сказать, что молочные зубы сами по себе более пористые, а толщина их твёрдых оболочек (эмали и дентина) меньше, чем у постоянных.

На этом фото можно заметить пористую и рыхлую структуру дентина, а также малую толщину эмали молочных зубов
Недостаток фтора. Давно доказана обратная корреляция между распространённостью кариеса и содержанием фтора в питьевой воде и рационе населения. Этот микроэлемент и его соединения играют важную роль в процессе минерализации зубной эмали. Их действие основано на следующих механизмах:
- Фториды взаимодействуют с гидроксиапатитом зубной эмали, превращая его в гидроксифторапатит, более устойчивый к воздействию органических кислот.
- Фтор подавляет рост кариозной микрофлоры во рту, нарушая углеводный обмен у бактерий.
- Фториды через белковый обмен органического матрикса эмали влияют на рост зубов и их устойчивость к кариесу.
Соответственно, недостаток фтора в рационе и питьевой воде приводит к ослаблению зубной эмали и развитию кариеса.
Применение фторидов для профилактики стоматологических заболеваний до настоящего времени вызывает оживлённые дискуссии, несмотря на то, что использование для этой цели искусственно фторированной питьевой воды с концентрацией фторидов 1 мг/л не связано с негативными последствиями для человека.
Исследователи предполагают, что «оптимальный» приём фторида в день колеблется между 0,05 и 0,07 мг на кг веса. Общий приём фторида в день не должен превышать 0,1 мг/кг веса, чтобы избежать появления флюороза зубов и костей.
У лиц, проживающих в области с оптимальным содержанием фторида в воде (около 1 ррм), распространённость очень слабых форм флюороза зубов составляет 15-20%, но это не является клинической или косметической проблемой. Возрастание флюороза обусловлено увеличенным приёмом общего количества фторида во время развития зуба, и это поражение становится клинически выраженным при концентрации фторида в воде свыше 2 мг/л. При этом необходимо учитывать ежедневный приём фторидов из всех источников, включая продукты питания. Например, в областях, где содержание фторида в воде оптимально, дети получают в день 0,5 мг. Если это количество в воде составляет 1,6-1,8 мг/л, то в день в организм поступает 0,75-1 мг, и тогда суммарное количество фторидов может вызвать флюороз.
Влияние поступающего извне фторида на эмаль зубов зависит от того, когда происходит это воздействие. Если оптимальные дозы фторида поступают до прорезывания зубов, то:
- Увеличивается размер кристаллов гидроксиапатита.
- В гидроксиапатите происходит замещение гидроксильных групп (ОН) на ионы фтора с образованием кристаллов фторапатита.
- Снижается содержание карбонатов.
- Эмаль становится более прочной.
- Фиссуры менее глубокие и более широкие.
Если фторид поступает после прорезывания зубов, то он снижает растворимость эмали, способствует реминерализации частично деминерализованной эмали.
Эти особенности определяют значительно большую эффективность использования системных, по сравнению с местными, методов введения фторида.
При воздействии фторида на бактерии зубного налёта нарушается метаболизм патогенных бактерий без влияния на нормальную микрофлору полости рта, в результате чего снижается его кариесогенность.
Там ещё много других причин, причём обусловленных здоровьем не только самого ребёнка, но и его матери, уровнем материально-денежного достатка, социальным положением семьи и т. д. Всё это работает в комплексе, то есть один фактор может усилить или ослабить действие другого. Поэтому так сложно выработать какие-то чёткие закономерности — остаётся только изучать каждый случай индивидуально и назначать соответствующее лечение.
На каком этапе нужно начинать лечение молочных зубов?
Если мы говорим о кариозном поражении зуба, то оно развивается постепенно в несколько этапов:
- Деминерализация эмали — «вымывание» кальция и фосфатов из зубной эмали, проявляющееся как белые матовые пятнышки на её поверхности.
- Кариес эмали — разрушение органического матрикса твёрдой оболочки зуба, проявляющееся в виде постепенно расширяющейся и углубляющейся полости.
- Кариес дентина — разрушение мягкой оболочки зуба, находящейся под эмалью.
- Пульпит — это воспаление мягких тканей зуба (пульпы) с образованием гнойного экссудата.
В идеале кариес молочного зуба нужно «ухватить» на стадии деминерализации, потому что тогда его можно легко лечить чисткой зубов и низкоуглеводной диетой. К сожалению, большинство родителей приходят к стоматологу уже после того, как возник кариес дентина, а некоторые ещё позже, когда ребёнок уже страдает от боли из-за пульпита или периодонтита (воспаления окружающих тканей). На этих стадиях лечение уже более сложное и определяется тем, насколько сильно поражён зуб.
Проблема в том, что кариес у ребёнка некоторое время сложно заметить даже после того, как он появился. Во-первых, сами зубы мелкие, а полость часто образуется не на видимой стороне, а на соприкасающихся поверхностях. Такой кариес ещё называют «целующимся». Во-вторых, молочные зубы разрушаются настолько быстро, что поражённые ткани не успевают темнеть. В результате родитель смотрит на зубы ребёнка — вроде всё хорошо. А потом на осмотре выясняется, что там уже половина тканей поражена.
Смена зубов у ребёнка начинается примерно с 6 лет. Это не одномоментный процесс, зубы меняются постепенно. Например, фронтальные резцы прорезываются раньше всех (в 8-12 месяцев) и, соответственно, за ними первыми приходит Зубная Фея (на 6-7 году жизни ребёнка). Боковые резцы появляются на месяц позже и заменяются уже на 7-8 году, клыки — в 10-12 лет.

Молочные зубы прорезаются и выпадают не разом, а постепенно в определённые сроки. Это нужно учитывать для нормального развития челюсти и зубного ряда ребёнка. Кстати, шестёрка к молочным уже не относится — это постоянный зуб, кариес которого нужно лечить.
Соответственно, если к нам пришёл 5-летний ребёнок, потерявший один или несколько передних резцов, то восстанавливать их нужно не всегда. У него новый начнёт прорезаться уже через полгода-год, а ортодонтическое восстановление фронтальных зубов — это довольно сложно и дорого. Например, у взрослого человека их можно временно заменить «бабочкой» — это такой протез с кламмерами-креплениями на соседних зубах. Был у меня пациент лет 15-16, на скейте катался, упал и себе выбил передний зуб. Мы ему эту «бабочку» поставили, он потом развлекался тем, что что-то языком там делал, и у него этот искусственный зуб то пропадал, то снова появлялся. Забавно выглядело, самое то, чтобы девчонок развлекать. Но маленькому ребёнку этот вариант не подходит, потому что челюсть и соседние здоровые зубы ещё маленькие, крепить сложно, к тому же есть высокий риск проглатывания.
Поэтому если зуб потерян незадолго до естественной замены на постоянный, то мы сначала используем наблюдательную стратегию. То есть мониторим состояние проблемной области 3-4 месяца. Ортодонт смотрит, не сдвигаются ли соседние с потерянным зубы, остаётся ли достаточно места для нормального прорезывания постоянного взамен утраченного молочного. Если передних зубов утеряно несколько, можем поставить временную пластину-протез, закрепить её на дальних.
Но бывают серьёзные ситуации, когда лечение нужно срочно. Например, ребёнку 4-5 лет, а у него поражение дистальной группы зубов, то есть четвёрок или пятёрок периоститом. Это такое нагноение надкостницы из-за набившихся в десневой карман или в полость пульпы остатков пищи. Тогда я в первый визит делаю снимки и назначаю антибиотики, потом снова наблюдаю. Удаление молочного зуба — это крайняя мера, когда ситуация совсем тяжёлая. Например, если антибиотики уже не помогают, а у ребёнка температура под 40 градусов. Тогда есть большой риск, что инфекция может повредить зачаток постоянного зуба. Соответственно, в такой ситуации мы отправляем его в больницу, где проводят экстренное лечение. Там ему этот воспалённый зуб удаляют, прочищают полость от гноя. А дальше мы уже начинаем восстановление, потому что дистальные зубы заменяются поздно и ребёнку ещё несколько лет нужно будет чем-то нормально жевать.

В общем, чтобы было попроще, кратко о нашей стратегии при потере молочных зубов у ребёнка:
- Смотрим на возраст ребёнка, сколько времени ему осталось до естественной замены молочных зубов.
- Смотрим, какой именно зуб повреждён, на его состояние — потерян ли полностью или частично, по какой причине (кариес, механическое повреждение и т. д.).
- Есть ли отягчающие факторы — например, обширное инфекционное поражение окружающих тканей, кости, создающее угрозу зачатку постоянного зуба или жизни ребёнка.
- Регулярно делаем снимки зачатка постоянного зуба, чтобы отслеживать его развитие.
Исходя из этого уже назначаем стратегию лечения, выжидательную или активную. Основная задача — по возможности максимально сохранить родной молочный зуб, чтобы обеспечить нормальное развитие челюсти, хорошее смыкание, пережёвывание пищи и т. д. Поэтому удаление и восстановление — это крайний вариант, когда другие методы оказались неэффективны.
Как мы восстанавливаем молочные зубы?
Если ребёнок уже пришёл к нам с поражённым кариесом или расколотым зубом, то последующие наши действия зависят от многих причин. Например, от темперамента пациента — некоторые воспринимают обследование и лечение абсолютно спокойно, даже удовольствие получают от процесса, другие реагируют крайне эмоционально. У меня недавно был на приёме 6-летний мальчик, который просто зашёл в кабинет и начал рыдать. Папы не было рядом, он второго ребёнка к другому врачу повёл. Так вот этот мальчик просто забился под кресло и наотрез отказывался оттуда выходить. Сидит, плачет, а я думаю — вот что с ним делать? Как общаться? В итоге из-под кресла мы его всё же вызволили, но смогли только сделать снимки и осмотреть. Дальше будем думать, как его лечить.
Это я к тому, что к лечению каждого ребёнка нужно подходить индивидуально. Если у него всё хорошо в эмоциональном плане, нет каких-то травм, связанных со стоматологами, то работать гораздо проще, конечно.
Если говорить непосредственно о методах восстановления молочных зубов, то у нас их всего два.
Пломба. Пломбирование назначается, если поражено не более 40% окклюзионной (жевательной) поверхности зуба. Также нужно смотреть на то, как развивается кариес:
- Например, он бывает опоясывающим, то есть по всей окружности зуба, с дефектом в одной точке. И если я его закрою пломбой, то кариес всё равно будет развиваться по этому «пояску».
- Также бывает, когда в эмали возникает несколько очагов поражения. Если я начну вычищать кариозную ткань, то зуб превратится в эдакий сыр «Маасдам», в котором пломбы просто не будут держаться.
Но если очаг один и он не поразил большую часть зуба — да, ставим пломбу.

Так выглядит опоясывающий кариес — в виде тёмных полосок у оснований центральных и боковых резцов. Он часто появляется из-за того, что зубы недостаточно хорошо чистятся у дёсен из-за страха их повредить.
Коронки. Это такие колпачки, которые насаживаются на повреждённый зуб с помощью стеклоиономерного цемента. Они дают более надёжный и прогнозируемый результат по сравнению с пломбами. Основное показание к коронкам — это повреждение зуба более чем на 40% или какой-то специфичный кариес — тот же опоясывающий или многоочаговый. Потому что пломба в таких случаях надёжной защиты не даст. Коронка же закрывает зуб как колпачок, плюс цемент, которым она фиксируется, содержит фтор и обеспечивает реминерализацию, укрепление зуба. Бывает так, что молочный зуб с коронкой уже выпал, а ткани остались абсолютно здоровыми. Мы сейчас используем 2 типа коронок:
- Циркониевые. Их мы устанавливаем на фронтальные зубы, потому что цирконий белый и даёт максимальный эстетический эффект. Иногда родители просят нас ставить такие коронки и на дистальные зубы — например, если ребёнок занимается театром, пением или ещё какой-то деятельностью, где эстетика очень важна. Но цирконий очень плотный и твёрдый, он плохо подстраивается под прикус. Соответственно, когда у ребёнка развиваются челюсти, меняется контакт, циркониевые коронки могут повредить окклюзионную поверхность противоположного зуба. Поэтому их мы рекомендуем всё же для фронтальных зубов.

Циркониевые коронки — белые, красивые, но очень плотные и твёрдые, поэтому лучше их устанавливать на фронтальных зубах
- Металлические. А вот коронки из металла более мягкие, податливые, быстро адаптируют свой рельеф. Поэтому для дистальных зубов, на которые идёт основная нагрузка при жевании и смыкании челюстей, мы рекомендуем именно их. Некоторых родителей настораживает вид таких коронок, но если на этом не акцентировать внимание, то и ребёнок будет относиться к ним спокойно. Более того, дети даже часто гордятся металлическими зубами. Мальчишки хвастаются тем, что на пиратов похожи, девочки — что у них такие красивые серебристые или золотистые зубы. В общем, при правильном подходе родителей вид металлических коронок для ребёнка проблемой не будет вообще. Плюс они дешевле циркониевых, к ним легче адаптируются десны, другие зубы.

Тонкие металлические коронки быстро принимают нужную форму при контакте с антагонистами и соседними зубами
Ещё в стоматологии используются металлокерамические коронки — у них основа металлическая, а сверху керамическое покрытие. Но около года назад, ещё в разгар эпидемии, у поставщиков что-то там случилось с логистикой и они перестали завозить. А потом не продлили сертификацию, и в итоге металлокерамические коронки у нас сейчас не используются.

Металлокерамические коронки — при всех их достоинствах, верхний керамический слой постепенно стирается, обнажая металлическую основу, что выглядит не очень эстетично
Что будет, если зуб не лечить?
Как я уже говорила, многих детей их родители приводят уже на той стадии, когда зуб уже либо утерян, либо повреждён до такой степени, что его остаётся только удалять. Здесь, опять же, возможно несколько сценариев в зависимости от того, какие зубы были поражены, в каком возрасте и т.д.
Если зуб потерян полностью, но нет инфекционного процесса или его удалось быстро купировать и устранить, то сначала ждём и наблюдаем. Здесь к делу подключается ортодонт. Потеря центральных и боковых резцов не так критична, если это произошло незадолго до их естественной замены. Их можно функционально и эстетически заменить временной пластиной, а потом просто периодически наблюдать, чтобы соседние зубы не сдвигались и не занимали место.
При потере дистальных зубов и клыков всё немного сложнее. На них приходится основная жевательная нагрузка, то есть без них ребёнку будет сложнее питаться. Их нужно заменять какой-то временной конструкцией. К тому же в возрасте 6-7 лет начинает прорезаться шестёрка. Это постоянный, не молочный зуб, и по мере его появления он будет влиять на остальной зубной ряд и процесс его замены. Когда зубы растут, им для правильного развития нужно 5 точек контакта: с щекой, языком, двумя «соседями» и окклюзионной поверхностью антагониста на противоположной челюсти. Если какой-то из этих точек контакта нет, зуб будет стремиться её найти, потому что ему так проще, комфортнее расти. Соответственно, он начинает сдвигаться в сторону отсутствующего зуба и в итоге частично или полностью занимает его место и перекрывает путь зубному зачатку, который должен был заменить потерянный зуб.
Поэтому при потере дистальных зубов (четвёрок, пятёрок, клыков) мы сразу отправляем пациента к ортодонту, который смотрит на состояние челюсти, смыкание зубов. И уже на основе этого назначает лечение:
- Это может быть колечко с петлёй, которое устанавливается над пустой десной и как бы распирает соседние зубы, оставляя свободное пространство для естественной замены потерянного.

Та самая ортопедическая распорка — колечком надевается на один соседний зуб, а вторым концом упирается в другой, не давая им сдвинуться и закрыть пустую десну
- Либо пластина с одним или несколькими искусственными зубами, чтобы сохранить ребёнку жевательную функцию и заодно удержать «соседей» на месте.

В любом случае это уже ортодонтическое лечение, и до него лучше ситуацию не доводить. Во-первых, это дорого, а во-вторых, дискомфортно и болезненно для ребёнка. Двигать уже прорезавшиеся зубы практически всегда больно. А так как дети боль не любят, то носить ортопедическую конструкцию тоже будут в лучшем случае через раз. Что, естественно, на пользу лечению не пойдёт.
Профилактика кариеса молочных зубов
Самый идеальный вариант — вообще не допустить потери молочных зубов. И здесь главную роль играет профилактика. Как только прорезались первые зубки у малыша, я рекомендую сразу же прийти на первый приём к стоматологу. На нём я или другой врач расскажет, как правильно ухаживать за ротовой полостью ребёнка, правильно подберёт щётку, покажет, как ей пользоваться. Большое значение имеет зубная паста — она должна содержать фтор, чтобы происходила реминерализация эмали. Также ребёнку нужно правильно подобрать сбалансированную диету, чтобы поменьше углеводов и побольше умеренно твёрдых ингредиентов. Это поможет избежать закисления ротовой полости и создаст необходимую для нормального развития челюсти жевательную нагрузку.
После этого на осмотры нужно приходить раз в 3-4 месяца, потому что у молочных зубов другая структура по сравнению с постоянными — у них тоньше и мягче эмаль, шире камера пульпы, более пористый и рыхлый дентин. Соответственно, патологические процессы развиваются быстрее, и если ходить на осмотр реже, то можно упустить момент, когда кариес будет только в зачатке и его проще вылечить.
Большую роль в предупреждении кариеса молочных зубов играет фторпрофилактика. Она бывает как системной, так и локальной. Первая заключается во фторировании питьевой воды (как бутилированной, так и водопроводной), пищевых продуктов, таких как молоко и его производные. Второй способ — использование уже упомянутых фторсодержащих зубных паст, гелей, полосканий и т. д. В настоящее время ВОЗ рекомендует проводить системную фторпрофилактику в регионах с недостатком этого элемента. Однако концентрация фтора не должна превышать 1,5 мг/л, иначе у детей вместо кариеса будет развиваться флюороз зубной эмали, а в этом тоже нет ничего хорошего.
Ещё посты:
- Хирургические случаи: пост про то, как пациент терпел зубную боль до момента, когда ему пришлось резать горло в нескольких местах. Про пациента-проказника, выпавшего с третьего этажа и упавшего на лицо. Про пациента-спортсмена, неожиданно затормозившего в дерево.
- Для гиков: про то, как именно можно умереть от анестезии прямо на приёме терапевта. Как самостоятельно читать КТ. Про моего коллегу Андрея, хирурга senior+. Про Гусейна, его навигационные шаблоны и участие в разработке ПО для хирургов по всему миру. Как Гусейн разрабатывал матмодель и софт для хирургии по пересборке черепа.
- Инструкции: FAQ про пломбы. Что вам нужно знать про гигиену зубов. Как правильно бояться стоматолога. Что вам нужно знать про наркоз и седацию. Реплантация зубов: как правильно собирать свои зубы в пакетик. Что делать, когда вы нафаршированы зубами (про молочные зубы). Про зубы ваших пожилых родственников. Про типичные зубы ИТ-пациента. Коренные зубы — это атавизм, и почему их часто удаляют «на всякий случай».
P.S. Если вы дойдёте до наших клиник, то говорите, что вы с Хабра, будет скидка 5%.
Автор: Екатерина Мельникова
