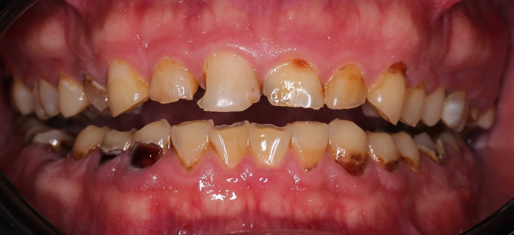
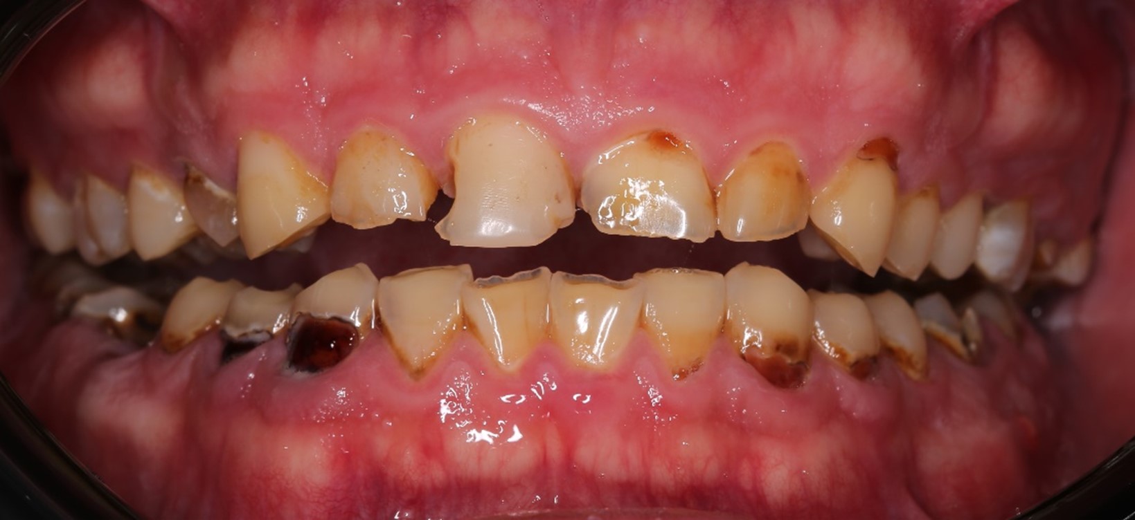
Когда он впервые сел ко мне в кресло, у него не было вообще ни одного целого зуба. Это не преувеличение ради красного словца — реально ни одного! Спустя год и примерно пятьдесят визитов в клинику у Вани улыбка, как говорится, — на миллион! Точнее, на три.
Он сам захотел рассказать здесь свою историю. Поэтому вот.
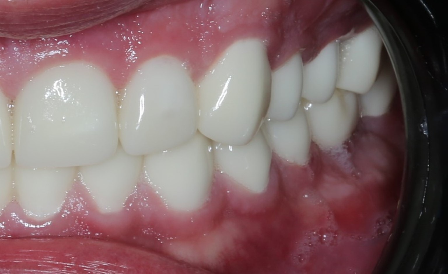
Это Иван, он прошёл зубной квест на хард-левеле и радуется
Сначала будут Ванины впечатления, а потом я, Леван, его ортопед, расскажу, как мы реставрировали его зубы. И заодно про то, как мы работали со сложным пациентом, который мог сорваться и уйти в закат с любого приёма, плюс дополнительно у нас не возникла симпатия с первого раза, что неудивительно, если знать его анамнез.
Дано:


Слово — Ивану:
Привет! По-хорошему, конечно, заняться зубами стоило уже очень давно. Но я решился, только когда нашёл хорошую работу, и у меня резко стало сильно больше денег. Сейчас я quantitative researcher в хедж-фонде. Я занимаюсь матмоделями для анализа финансовых рынков, чтобы понимать, куда инвестировать, а откуда выходить. От качества этих моделей зависит успешность стратегий фонда. Это очистка данных, анализ, моделирование, разные исследования.
До этого на платную стоматологию не хватало, а к бесплатной было отношение «лучше перетерпеть, чем лишний раз там появляться». Однажды я так перетерпел абсцесс. Но вообще от такого можно ненароком умереть.
В «Белую Радугу» я пришёл очень незамутнённым в плане стоматологии человеком. Мне было 28 лет, и раньше ни в каких более-менее нормальных клиниках я не был. Разве что в очень странных местах, типа частного кабинета на втором этаже деревенского дома где-то в Подмосковье. Но мне тогда лечили кариес, никаких удалений, имплантов или коронок.
А этих ребят я давно читал на Хабре, и мне всегда очень нравилась их открытость. На тот момент мне уже хватало денег на любую московскую стоматологию, но они, как дорогие, так и дешёвые, казались какими-то очень одинаковыми. И отзывы были тоже одинаковыми, типа: «Вау, всё круто, мне сделали зубы». Ну и что? А как их сделали-то? Что сделали? Никаких технических деталей я нигде не встречал, а дьявол-то кроется именно в них. Что человеку поставили: простую металлокерамику или какую-то топовую коронку?
Плюс для меня было важно, чтобы врач расписал, что конкретно он делает, какие материалы использует и почему. Как минимум это интересно. Кроме того, мне безумно хотелось посмотреть клинику изнутри. Ведь, судя по статьям, они технически продвинутые, эдакие гики от стоматологии, сильно вкладываются в материалы, оборудование и образование врачей. А я очень люблю хай-тек.
Но больше всего хотелось, чтобы мне просто сделали по-настоящему классные зубы — лучшие из того, что возможно.
Всё время, пока я лечился в «Белой Радуге», у меня непрерывно крутился в голове слоган Артемия Лебедева: «Долго. Дорого. Офигенно».
Сколько это будет стоить, я изначально вообще не представлял
Лечение вылилось примерно в три миллиона рублей. Если посмотреть смету, то я отдал:
- За хирургию — 612 700.
- За терапию — 275 500.
- За гигиену — 66 000.
- За временные коронки — 269 800.
- И за постоянные — 1 863 600.
И оно того однозначно стоило! Тем более что эту сумму я платил постепенно в течение года.
Первое, что меня приятно удивило, — эти ребята реально борются за каждый зуб. С нижней шестёркой, например, я приготовился попрощаться: она болела и выглядела не очень. Я был уверен, что её заменят имплантом. Врач приложил к зубу холод, и когда тот отреагировал, то сказал, что корень ещё живой и его можно спасти. В итоге и вылечил, и восстановил.
Ещё удивило и порадовало отношение к моему самочувствию. Раньше у меня кружилась голова во время анестезии. Я всегда предупреждал об этом стоматологов, а они отмахивались: мол, это я переволновался. А в «Белой Радуге» к моей жалобе отнеслись серьёзно и отправили сдавать аллергопробы на анестетики. Они, кстати, оказались отрицательными.
Выяснилось, что это почему-то скачет давление. Я очень рад, что они в этой проблеме разобрались, а не послали меня лесом, как остальные. Голова, кстати, через какое-то время кружиться перестала, разве что при проводниковой анестезии, когда укол делают очень глубоко в нерв, чтобы обезболить всю челюсть целиком. Будем считать, что это была психосоматика на фоне стресса.
По шагам лечение выглядело так
Сначала я записался по телефону и сказал, что мне нужно поставить коронки.
Первый приём у Левана Зурабовича был очень забавным: я сел в кресло, и доктор начал спрашивать меня, на что жалуюсь. А я предложил ему просто посмотреть: как говорится, лучше один раз увидеть… На этом приёме мне составили план лечения.
Потом я несколько месяцев ходил к терапевту Ярославу Ангелову. Он лечил корни и ставил пломбы, очень много пломб — буквально на каждый зуб. В общей сложности за это время я побывал в клинике около пятнадцати раз.
Дальше пришло время для хирургии. Работа заняла около пяти часов, и нужно было выбрать день, когда «окно» для меня найдётся одновременно и у хирурга Андрея Гребнева, и у анестезиолога Елены Больбот.
В один заход мне удалили восемь зубов, сделали синус-лифтинг (операцию, когда через верхнюю челюсть делают отверстие в гайморовой пазухе, чтобы нарастить там кость) и поставили импланты. Тут я вообще ничего не могу рассказать про сам приём: сел в кресло, мне поставили катетер, и я заснул. Проснулся — уже всё готово. Хирурга даже не видел. Но зато мне сняли прикольное видео.
Единственное, что мне запомнилось про синус-лифтинг, — забавные ограничения. Например, мне неделю нужно было спать полусидя, не чихать, не плавать и обойтись без полётов в самолёте. Само восстановление при этом было довольно быстрым: на пару дней опухла щека — и всё. Возможно, это благодаря моему волшебному организму. Ну или всё зависит от сложности операции и возраста.
Дальше, через пару недель, мне сделали КТ и сняли швы. И затем я вернулся к Левану Зурабовичу, чтобы сделать коронки. Этот этап оказался самым муторным.
Сначала отсканировали челюсть, поставили формирователь десны и отправили гулять на пару месяцев, пока импланты приживаются. Тут я себя почувствовал каким-то киборгом из Cyberpunk: это реально очень странное ощущение, когда к тебе динамометрическим ключом прикручивают какую-то титановую штуковину. Ну и вообще наблюдать, как к одной части импланта прикручивают другую, довольно забавно.
Дальше было несколько приёмов подряд, когда доктора смотрели, как у меня всё заживает, и доделывали какие-то мелочи. На одном из них мне показали и дали примерить модель моих будущих зубов — это был какой-то этап согласования формы перед отправкой задания зубным техникам.
Потом обточили зубы и поставили временные коронки. С ними тоже нужно было ходить несколько месяцев. Тут тоже был прикольный момент. Временные коронки, оказывается, делаются не сразу, и их тоже нужно обтачивать, как постоянные. Процесс их изготовления занимает около недели. Чтобы не оставлять меня на этот период совсем без зубов, сначала поставили какие-то супервременные коронки. Их делают методом простого заливания самозатвердевающего пластика в слепки. Кажется, это называется mock-up. Всё это тоже было очень удобно: зубы мне обтачивали под седацией, и проснулся я уже с коронками. Да, они были пластиковыми. Да, между ними не было промежутков. Но зато этими зубами можно было жевать. Орехи и мясо я есть побаивался, но котлетки с макарошками — вообще без проблем.
Ещё через неделю мне поставили нормальные временные коронки, которые ничем, кроме материала, не отличались от постоянных. Даже цвет подбирали по палитре. И нужно это было в том числе, чтобы я мог к ним привыкнуть заранее. Или заранее выяснить, что меня что-то не устраивает. Их тоже ставили под седацией.
В общем, в начале мая мне сделали операцию и поставили импланты, а в начале июня — временные коронки на все оставшиеся зубы. Импланты пока не трогали.
Из странного выяснилось, что у временных коронок есть одна интересная особенность — они крепятся на очень слабый клей, чтобы можно было их снять без проблем, и поэтому иногда выпадают. У меня они выпадали вообще как-то сильно чаще, чем хотелось бы: раз пятнадцать, наверное. Это было не больно, но неприятно. Впрочем, каждый раз всё происходило по одному и тому же сценарию: коронка выпала, я позвонил Левану Зурабовичу, пожаловался на ситуацию, вызвал такси и приехал в клинику. Доктор находил время между приёмами, за пять минут всё приклеивал на место и отпускал меня восвояси. То есть буквально через час после того, как коронка выпадала, она возвращалась на место.
Постоянные коронки поставили в начале осени. И вот эту процедуру делали уже без седации, о чём я потом пожалел. Коронки крепили в два этапа два дня подряд. Каждый раз на это уходило часов по восемь. В первый день я поленился делать седацию, потому что подумал: «Да там же просто взять и приклеить, ничего особенного». А на второй день нужно было либо приходить и доделывать, либо снова дожидаться «окошка» у анестезиолога. Я выбрал немного потерпеть, чтобы это всё поскорее закончилось.
Если два приёма идут подряд, то анестезия в конце второго перестаёт работать. Неприятный сюрприз, конечно.
Дальше случилось самое интересное. Мне очень понравились мои новые зубы, особенно учитывая исходные данные. Но Леван Зурабович посмотрел, подумал и внезапно заявил: «Нет, давайте-ка мы поменяем за наш счёт верхние передние зубы, что-то они мне не нравятся». И мне бесплатно поменяли шесть коронок на более красивые.
Первые зубы были более короткими и плоскими, а новые — подлиннее и с более выраженными клыками. Тогда я вообще ничего в этом не понимал, но очень удивился и сказал: «ОК, ребят, делайте, что считаете нужным».
Ещё вместе с новыми коронками мне немного подрезали десну.
Но это был ещё не конец. Ещё через три месяца я несколько раз был у пародонтолога, чтобы окончательно привести в порядок дёсны. В самом конце лечения, после всех операций, нужно было удалить из-под десны остатки клея. То есть большую часть, конечно же, удалили сразу, но остались какие-то мелкие подтёки в таких местах, куда без специального оборудования не подлезть. Клей, кстати, оказался рентгенконтрастным, он светился на КТ. Поэтому перед самой процедурой мне сделали томографию, чтобы доктор знал, откуда его выковыривать.
Кстати, я объелся мороженым
Во-первых, после некоторых процедур его давали в клинике. А во-вторых, когда мне поставили импланты, я неделю или две ел только его, чтобы даже не пытаться ничего жевать. Потом добавил к нему протеиновые коктейли.
Если подводить какие-то итоги
Больше всего мне понравилась хай-тековость клиники: она оказалась точно такой же, как и написано на Хабре. А ещё что здесь, с одной стороны, есть возможность контролировать процессы, а с другой — что сюда можно прийти и сказать: «Просто сделайте мне красиво», и больше не объяснять вообще ничего.
Очень круто, что под рукой всегда есть КТ и трёхмерные снимки, что направляющие для имплантации напечатаны на 3D-принтере. Можно посмотреть на трёхмерную модель своих будущих зубов и как они будут смотреться во рту. Модель могут скинуть в STL-формате. Это такие вещи, от которых я был просто в восторге!
Очень круто было лечиться под седацией. То есть я до сих пор так и не знаю, каково это — вырывать зубы, и очень благодарен за это моим докторам.
Здорово, что врач всегда с тобой на связи в Телеграме и у него всегда можно что-то спросить или уточнить. Плюс вся информация о сроках и стоимости и вообще обо всём необходимом вплоть до фоток зубов есть в мессенджере и в специальном приложении.
Отдельный респект — за то, что в «Белой Радуге» составляют смету будущего лечения в самом начале и потом очень чётко её придерживаются. У некоторых стоматологий очень популярна схема, когда сначала называют одну сумму, а потом в ходе лечения она внезапно меняется в гораздо большую сторону.
Не понравились сроки.
Умом-то я понимаю, что работа масштабная и её быстро не сделать. Тем же имплантам приживаться быстрее просто не положено. Немного сократить сроки получилось бы при условии, если бы в клинике я был единственным пациентом, но это так не работает. За год я очень устал от этой зубодробительной истории, внутри себя бесился и мечтал, чтобы это всё поскорее закончилось.
С другой стороны, успокаивал себя тем, что в дешёвых стоматологиях делают быстрее, но хуже.
Ну и пара слов — о приятных мелочах
В «Белой Радуге» — огромное количество каких-то маленьких миленьких штучек, которые должны порадовать пациентов и облегчить им жизнь. Круто продуманы интерьер и вообще всё, что вас окружает. Например, в клинике пахнет яблоками и кофе, а не стоматологией. В туалете есть зубные щётки, чтобы можно было почистить зубы перед приёмом. После приёма дают мороженое. В общем, приходишь к ним, как на праздник!
А теперь — та же история, но уже с нашей стороны
Слово снова беру я, напоминаю: стоматолог-ортопед Леван Магалашвили. Я считаю, что это был один из очень сложных случаев с точки зрения самого пациента. Я периодически начинал гадать, придёт Иван на следующий приём или нет. Дентофобия — она такая.
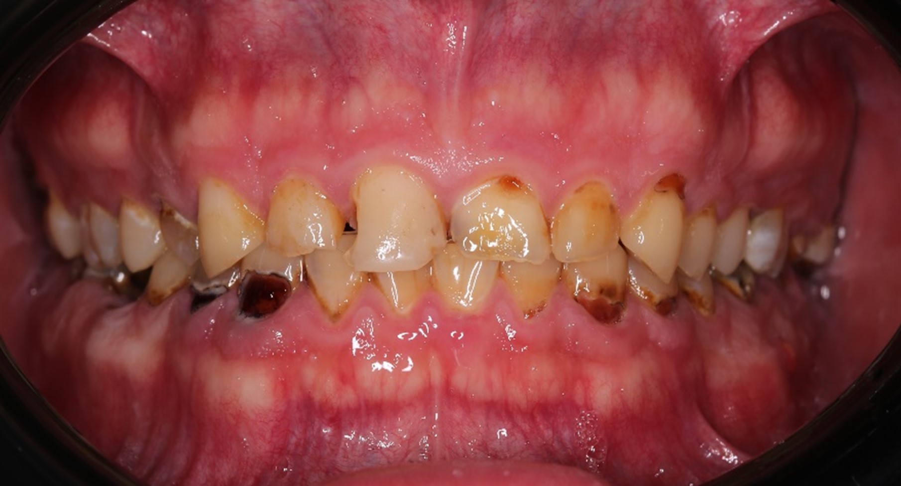
Напоминаю: он пришёл к нам вот в таком состоянии:

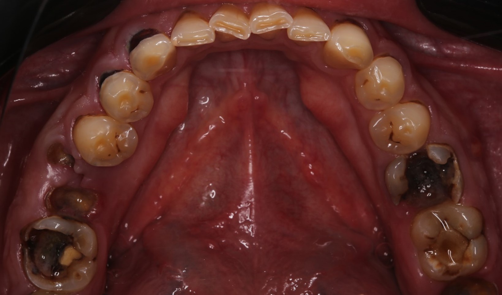
На нижней челюсти у него жевательных зубов не было вообще:

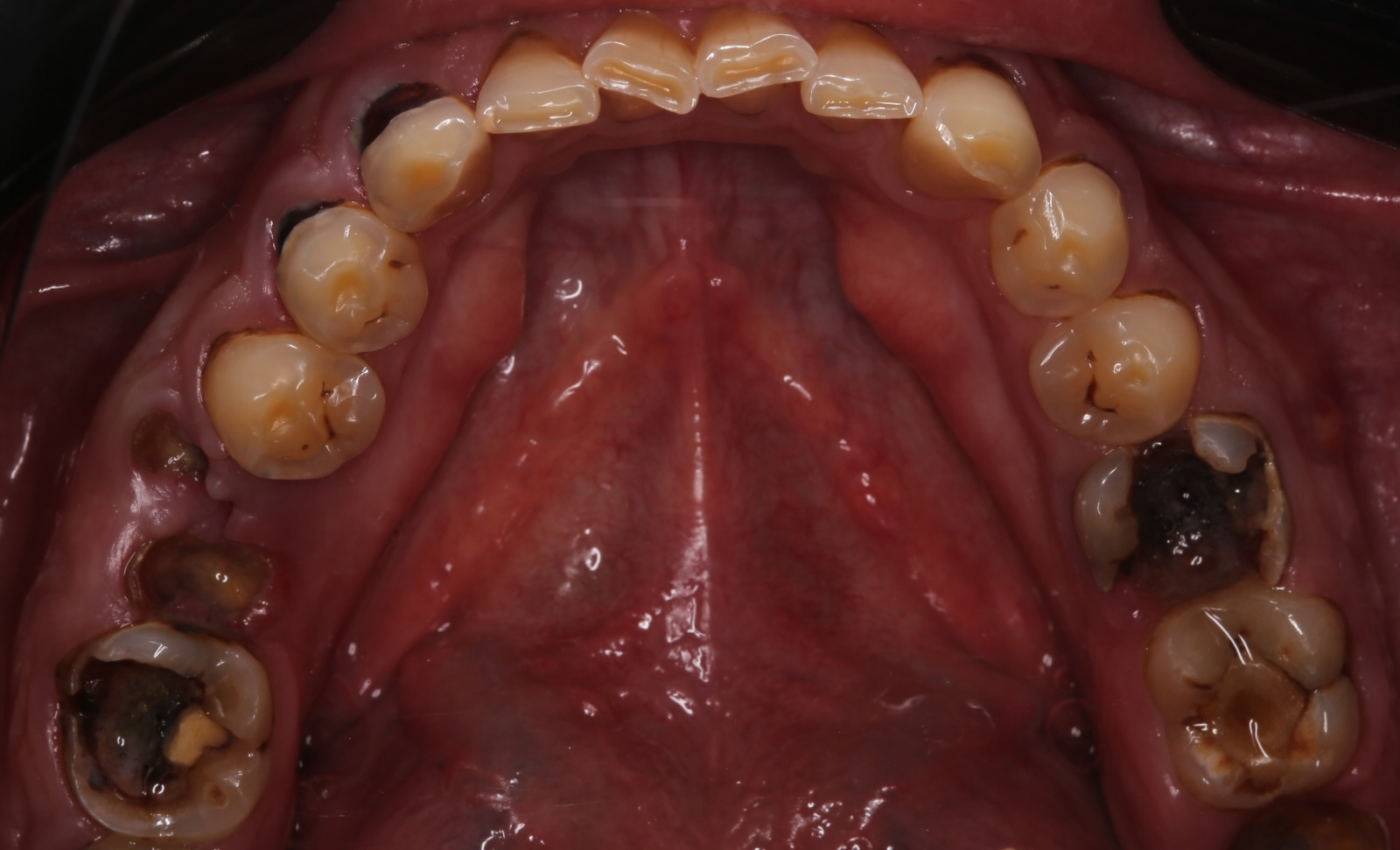
С верхней было немного получше, но не так чтобы сильно:

Жалобы были не только на внешний вид зубов, но ещё и на проблемы с дыханием и приёмом пищи. Общаться с людьми было тоже некомфортно.
Больше всего я переживал, что Иван откажется от лечения
Он мог либо не согласиться на какой-нибудь из этапов, либо вообще просто молча уйти и не вернуться. Например, после того, как избавится у терапевта от всех мучивших его кариозных процессов.

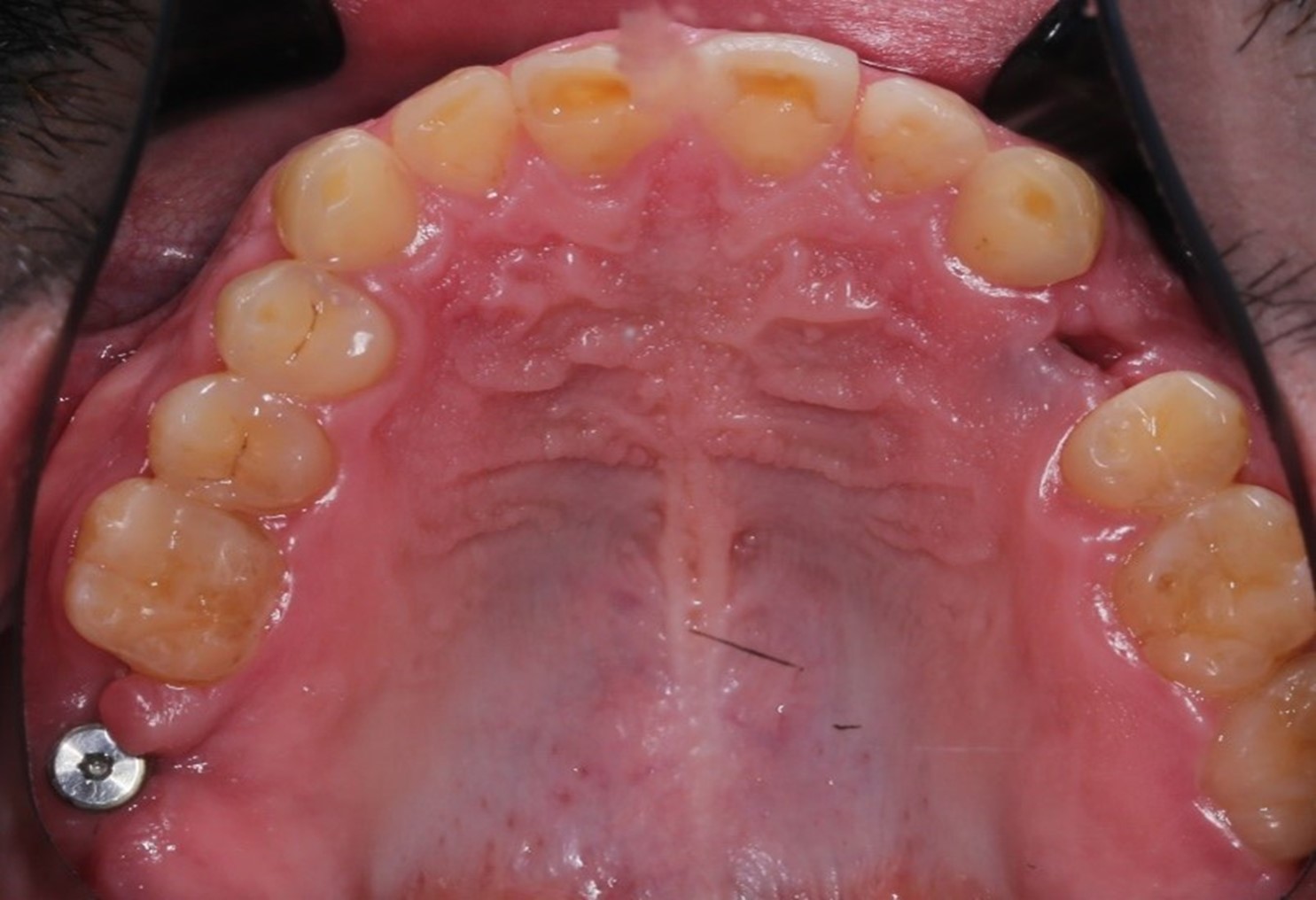
После лечения у терапевта зубы выглядели уже вот так
Но Ваня — кремень: вернулся.
Затем хирург удалил ему зубы на нижней и верхней челюстях. Я снова подумал, что пациент может на этом остановиться, не дожидаясь, когда мы закроем керамической реставрацией разрушенные зубы. Но он дождался, пока приживутся импланты, и продолжил лечение.
С точки зрения самой работы было не очень трудно. Костная пластика приживается не всегда, но у Ивана она прижилась сразу и в полном объёме, импланты тоже сразу интегрировались. Некоторые зубы были слишком чувствительными, но это быстро проходило. После хирургии совсем уж сложных ситуаций не было. Иван вернулся, мы создали цифровой макет зубов, сделали сканирование в трёхмерной модели, которая называется Digital smile design, и тщательно насчитали будущую реставрацию в соответствии с запросами Ивана.
Перед тем как изготавливать временные коронки, мы сделали их модель и примерили на необточенные зубы, чтобы показать, как всё это будет выглядеть в конечном итоге. Модель делается из очень тонкой пластмассы и, по сути, нужна только для того, чтобы определить текстуру и форму зубов. Пластмасса просвечивает, и нормально подобрать цвет на этом этапе просто невозможно.

Ваня примерил эти новые зубы, и ему всё понравилось
Дальше мы перешли на этап изготовления временных коронок для верхней и нижней челюстей, чтобы прикрыть отсутствующие зубы, куда хирург установил импланты. Где-то они были одиночными, а где-то — мостиком в зависимости от высоты и степени поражения. Они у нас были ровно такими же, как должны были быть и постоянные:

После этого мы обрабатывали зубы, ставили временные коронки под седацией, и сделали несколько несложных коррекций во время ношения временных коронок. Это был достаточно комфортный этап.
А следующий этап был коротким, но довольно напряжённым: постоянные коронки мы ставили без седации. Его Иван тоже перенёс с честью.

Цвет зубов, кстати, выбирали совместно. На некоторых фотографиях они кажутся неестественно белоснежными, но это далеко не самый белый вариант. Мы очень топим за естественность, так что взяли оттенок где-то в районе А1-BL3, в живой природе он встречается.

Но несколько сложных моментов всё-таки было
Во-первых, нам нужно было сохранить как можно больше живых зубов при условии, что ни одного целого не было: везде либо вторичный кариес под пломбами, либо сколы, либо стёртые зубы, либо сильно разрушенные. А на фронтальной группе — всё это сразу.
Моим коллегам из терапии удалось спасти несколько очень сложных зубов. Витальными (то есть живыми и с нервами) остались практически все за исключением двух или трёх, которые пришлось депульпировать.
После восстановления сделали малоинвазивное препарирование, то есть сохранили максимальное количество его собственных тканей.
Особенно круто получилось с семёркой на нижней челюсти. Ярослав её пролечил, восстановил, и мы её спротезировали:

Второй сложный момент — сделать хорошую имплантацию и поднять прикус, не перенапрягая височно-нижнечелюстной сустав. Это была очень большая работа, которая вообще никак не затронула пациента. Мы придумали хитрый ход: подняли прикус на временных коронках и вывели их на депрограммирующую сплинт-терапию.
А сделать это нам помогла интересная инновационная методика.
Мы собрали:
- STL-файлы в виде сканов верхней и нижней челюстей.
- Лицевую дугу — это специальное приспособление, которое передаёт положение и угол наклона верхней челюсти.
- Компьютерную томограмму.
- И полный фотопротокол.

Сканы обточенных зубов для временных коронок
Дальше мы отправили все эти данные технику. Он соединил их в единый проект и сделал, грубо говоря, цифровую модель головы пациента, с которой мы могли экспериментировать сколько влезет. Так что перед тем, как что-либо делать с реальным Иваном, мы спроектировали все действия в программе и проверили, как на это отреагирует его височно-нижнечелюстной сустав.
На этапе определения прикуса для временных коронок мы завысили его на 2,5-3 миллиметра. Называется это «джига для депрограммации и завышения прикуса». Джига — это приспособление, которое позволяет найти клиническое положение нижней челюсти и определить высоту нижнего отдела лица.

На этих снимках можно увидеть, на какую высоту мы подняли прикус при помощи джиги
Процесс жевания сложный. Огромное количество рецепторов давления в опорных тканях зуба и рецепторов растяжения в жевательных мышцах позволяет нам совершать с большой точностью тысячи жевательных движений изо дня в день. Если резко с ноги влезть в этот процесс и начать быстро всё чинить, то это закончится плачевно. должен постепенно привыкнуть к тому, что прикус подняли, мышцы стали менее растянуты, а рецепторы пародонта теперь сообщают о том, что нагрузка распределилась иначе после протезирования. Пока протезы временные, есть возможность оценить то, как пациент адаптируется к новому прикусу, и что-то скорректировать для постоянных конструкций.
В этот период пациентам нужно помочь с адаптацией к «новому рту». Если необходимо, то мы также прикрываем процесс медикаментозно миорелаксантами и анксиолитиками, чтобы снизить уровень стресса. Да, внезапно начать нормально жевать после долгого перерыва — это стресс.
Метод оказался настолько крут, что после того, как мы зафиксировали 26 временных коронок на жевательные и фронтальные группы зубов, Иван просто закрыл рот и сказал, что ему удобно. То есть не понадобилось вообще ни одной коррекции.

Цифровая модель зубов
Про дёсны

Человека, который идёт на большую ортопедическую работу, мы всегда отправляем к пародонтологу, чтобы была возможность работать со здоровыми мягкими тканями. С дёснами у Ивана, к счастью, проблем не было.

На этой фотографии с временными коронками хорошо видно, какого состояния мы добиваемся на момент перепротезирования. Здоровая десна выглядит именно так. Она умеренно увлажнена, розового цвета, не имеет очагов воспаления. Это как раз результат работы с пародонтологом. Он тонкими кюретами прочищает поддесневые зубные отложения, если они есть, и учит пациента правильным гигиене и уходу.
У Ивана часто вылетали временные коронки, особенно — на жевательных зубах
Могу предположить, что он не очень точно придерживался наших рекомендаций, либо ему изначально не очень хорошо подходил временный цемент: это вещество бывает более или менее жёстким, но в любом случае он не особенно крепкий. Это нужно для быстрого доступа к зубу.
Для временных коронок существуют определённые довольно строгие ограничения: пациенту нельзя жевать жвачки или ириски, есть жёсткие продукты (например, те же стейки или шашлыки на косточке), важно правильно использовать зубные нити. А ещё они могут довольно легко расцементироваться.
Постоянные коронки мы ставили без седации
Иван перенёс это довольно тяжело. Правда когда он принял такое решение, мы, если честно, обрадовались и не стали его отговаривать.
Злого врачебного умысла тут, конечно же, не было.
Ваня тяжело просыпался после предыдущих длительных манипуляций, к тому же 8–16 часов седации стоили бы дополнительно около 120–200 тысяч рублей, а это довольно внушительная сумма.
И о странном: зачем мы переделывали хорошие коронки
После всех мучений у нас получился очень неплохой результат, который кардинально отличался от исходной картинки. Но через два месяца мы сели его коллегиально анализировать и поняли, что фронтальные зубы не совсем соответствуют нашим представлениям о прекрасном. Решили их немного откорректировать и удлинить, сделать более яркими и брутальными. Финансово пациента это никак не затронуло: мы сделали всё за свой счёт. Просто потому, что так было бы правильно.

Первый вариант
После временных коронок десна достаточно сильно выровнялась, и шесть центральных зубов, от клыка до клыка, стали казаться слишком короткими. После этих изменений улыбка у Ивана стала гораздо выразительнее.

Как собиралась команда для этой работы и какие они все крутые ребята
Каждый раз, когда пациент приходит на большую реставрацию, мы собираем команду докторов конкретно под него.
На первом приёме я внимательно смотрю на фотографию. Глаз у меня уже намётан, так что буквально за полминуты можно увидеть следующее.
В жевательном отделе зубов практически нет. На зубах с первого по пятый появились небольшие фасетки стираний, которые означают, что прикус зафиксирован именно на них. Если они настолько отчётливые, как у Ивана, это значит, что зубы начинают стираться, и высота нижнего отдела лица уменьшается. Значит, придётся повышать прикус, чтобы вернуть височно-нижнечелюстной сустав и зубы в первоначальную здоровую позицию. Это будет моей задачей.

Смотрим дальше.

Такие разрушенные зубы, заросшие десной, кричат о необходимости имплантации

Кариозные процессы сигналят о терапевтической реабилитации и терапевтической санации полости рта

Воспалённые дёсны намекают на пародонтологию
То есть, когда ты смотришь на общую картину, то уже интуитивно понимаешь, кто и на каком этапе должен участвовать. В общем, всё это — годы опыта.
В этот раз команда сложилась такая:
- Я работал как курирующий доктор и ортопед.
- Ярослав Ангелов возглавил терапевтическую часть.
- Андрей Гребнев, который у нас сейчас уже не работает, отвечал за удаление и имплантацию.
- Карина Исаджанян занималась пародонтологией.
- Ольга Кучкарева взяла на себя гигиену и обучение. В гигиене помогали также Виктория Христинина, Сюзанна Монтенейро и Кристина Скрипка.
- Елена Бальбот была анестезиологом.
Слаженная чёткая работа команды играет огромную роль. Когда тот или иной врач заканчивал определённый этап, он возвращался ко мне с обратной связью, и мы обсуждали, что будем делать дальше.
С одной стороны, мы стараемся не втягивать пациента в обсуждение, чтобы не перегружать его информацией. С другой — как только от него поступает определённый запрос, мы собираемся всей командой и советуемся, что делать дальше. Это даёт всем участникам возможность реагировать на изменения достаточно оперативно.
Особенно хочу выделить работу Ярослава, потому что без грамотного фундамента вряд ли Иван ходил бы сейчас с такой красивой улыбкой. Без тщательной подготовки ортопед попросту бессилен.
Ну а главные трения у нас в команде были, наверное, из-за скорости. Мне хотелось быстрых результатов. С Ярославом мы на эту тему особенно зарубались. Я его подгонял быстрее записывать Ивана на три-четыре приёма подряд, а он мне в ответ: «Леван Зурабович, подожди, это сложный зуб, его надо разбирать и очень тщательно лечить».
Андрея я тоже подгонял, чтобы он скорее нагружал четвёртый зуб на верхней челюсти, а он со мной боролся, потому что этот зуб тоже был сложным, и нужно было, чтобы имплант постоял без нагрузки подольше.

Сам Иван, кстати, нас не подгонял и не торопил, только постоянно спрашивал: «Когда мы уже закончим?» Я ему, мол, там только терапии ещё на два-три месяца. А он в ответ вздыхал и говорил: «Блин!»
И это его «Блин!», конечно, обрывало душу.
Без эмпатии такие долгие проекты делать сложно
Я думаю, что такое большое, длинное и сложное лечение, которое заняло у нас целый год и потребовало около 50 визитов в клинику, получилось в первую очередь благодаря первичной эмпатии, возникающей между врачом и пациентом.
Есть врачи, которые в первую очередь хотят продать свою услугу. А есть те, кто заинтересован в том, чтобы помочь пациенту, и сделать так, чтобы ему больше никогда не пришлось возвращаться к этой ситуации. Пациенты этот нюанс чувствуют.
А сейчас я буду самому себе противоречить.
Никакой первичной симпатии у нас с Иваном не возникло. Но я и не ожидал, что человек, который 10 лет терпел разворачивавшийся у него во рту локальный апокалипсис, лишь бы не идти к страшным стоматологам, с ходу начнёт мне доверять.
На первом приёме мы осматриваем пациента, делаем рентгеновский снимок и фотопротокол, осматриваем полость рта, демонстрируем пациенту все эти снимки и рассказываем, что в его ситуации вообще можно сделать. Ну и назначаем следующую встречу, чтобы смежные специалисты тоже составили свои планы и можно было собрать все данные воедино, чтобы показать пациенту поэтапно расписанный подробный план и смету работ.
У меня есть такой архаичный лайфхак для пациентов, который, тем не менее, очень хорошо работает. Когда я выдаю им план лечения, то советую завести заметки в телефоне и записывать туда все возникающие вопросы, даже самые глупые. Возможно, они окажутся особенно важными где-нибудь в середине лечения: это очень помогает установить доверительные отношения.
На второй-третий приём я его познакомил с Ярославом, Андреем и Ольгой. И, мне кажется, только в этот момент Ваня начал немного оттаивать и доверять.
Думаю, на этом доверии сказалось и то, что дальше мы общались с ним всеми возможными способами, я практически всегда был на связи.
Меня поразил подход Ивана к вопросу протезирования: мне даже пришлось запрашивать у фирмы-изготовителя керамики состав разных керамических масс. Круто видеть, что человек настолько сильно интересуется подробностями твоей работы. Было ощущение, что мы вместе работаем над большим сложным проектом. Помню, я ему даже как-то отправлял в переписке огромные PDF-презентации для техников и врачей, и он сидел и разбирался, что такое дисиликат лития и какая нужна температура запекания или синтеризации. И это было ему реально интересно!
Когда Иван сказал, что не очень хорошо переносит анестезию, мы сделали ему аллергопробы. Это стандартная процедура: нужно убедиться, что пациент в ходе лечения не выдаст какой-нибудь анафилактический шок. Аллергии мы у него не нашли, так что тут всё было в порядке.
Я считаю, что эмпатия — это одно из самых важных качеств стоматолога, особенно если речь идёт о работе с людьми, чья стоматологическая история и отношения с нашими коллегами оставляют желать лучшего.
Ещё посты:
- Хирургические случаи: пост про то, как пациент терпел зубную боль до момента, когда ему пришлось резать горло в нескольких местах. Про пациента-проказника, выпавшего с третьего этажа и упавшего на лицо. Про пациента-спортсмена, неожиданно затормозившего в дерево.
- Для гиков: про то, как именно можно умереть от анестезии прямо на приёме терапевта. Как самостоятельно читать КТ. Про моего коллегу Андрея, хирурга senior+. Как мы переворачиваем платную медицину. Про Гусейна, его навигационные шаблоны и участие в разработке ПО для хирургов по всему миру. Как Гусейн разрабатывал матмодель и софт для хирургии по пересборке черепа.
- Инструкции: FAQ про пломбы. Что вам нужно знать про гигиену зубов. Как правильно бояться стоматолога. Что вам нужно знать про наркоз и седацию. Реплантация зубов: как правильно собирать свои зубы в пакетик. Что делать, когда вы нафаршированы зубами (про молочные зубы). Про зубы ваших пожилых родственников. Про типичные зубы ИТ-пациента. Коренные зубы — это атавизм, и почему их часто удаляют «на всякий случай». Как вылечить зубы на год вперёд перед долгой поездкой.
P.S. Если вы дойдёте до наших клиник, то говорите, что вы с Хабра, будет скидка 5%.
Автор: Магалашвили Леван
